复发性胶质母细胞瘤切除术与微血管自由皮瓣重建和相关γ - matile植入:肿瘤和重建整合的个性化方法。

IF 0.7 Q4 CLINICAL NEUROLOGY
Journal of Neurological Surgery Reports Pub Date : 2025-04-25 eCollection Date: 2025-04-01 DOI:10.1055/a-2576-7559
Russel T Wagner, Jacopo Berardinelli, Amin B Kassam, Julian E Bailes, Melanie B Fukui, George C Bobustuc, Sammy Khalili, Neil S Mundi
{"title":"复发性胶质母细胞瘤切除术与微血管自由皮瓣重建和相关γ - matile植入:肿瘤和重建整合的个性化方法。","authors":"Russel T Wagner, Jacopo Berardinelli, Amin B Kassam, Julian E Bailes, Melanie B Fukui, George C Bobustuc, Sammy Khalili, Neil S Mundi","doi":"10.1055/a-2576-7559","DOIUrl":null,"url":null,"abstract":"<p><strong>Background: </strong>Glioblastoma multiforme (GBM), despite aggressive multimodal treatment comprising surgery followed by chemoradiation, is almost uniformly associated with inevitable recurrence and poor outcomes. In this clinical context, local radiation therapy-an emerging approach-has gained considerable attention over time for its potential to address the limitations of traditional treatment options for GBM. Multiple surgeries and adjuvant chemoradiation therapy can negatively impact the integrity of the scalp soft tissues and can compromise the ability to achieve primary closure over the surgical site. In these circumstances, complex reconstruction with free tissue transfer may be necessary.</p><p><strong>Methods: </strong>We report the case of a 37-year-old female patient with recurrent GBM and associated wound healing complications who underwent single-stage GammaTile surgically targeted radiation therapy combined with microvascular free flap scalp reconstruction.</p><p><strong>Results: </strong>Immediate free flap reconstruction over the site of GammaTile implantation did not result in any wound healing complications and did not compromise the viability of the transplanted tissue. This approach also provided immediate and localized radiation, possibly enhancing patient progression-free survival while reducing the likelihood of radiation-induced adverse effects.</p><p><strong>Conclusion: </strong>We report the first case of GammaTile implantation with immediate reconstruction of the overlaying soft tissue defect with a free flap. Despite the immediate local radiation produced by the tiles abutting the deep surface of the free flap, there were no complications noted in the vascularity of the transplanted tissue. This finding provides preliminary evidence supporting the safety of using free tissue transfer alongside GammaTile implantation for complex reconstruction.</p>","PeriodicalId":44256,"journal":{"name":"Journal of Neurological Surgery Reports","volume":"86 2","pages":"e92-e97"},"PeriodicalIF":0.7000,"publicationDate":"2025-04-25","publicationTypes":"Journal Article","fieldsOfStudy":null,"isOpenAccess":false,"openAccessPdf":"https://www.ncbi.nlm.nih.gov/pmc/articles/PMC12031433/pdf/","citationCount":"0","resultStr":"{\"title\":\"<b>Recurrent Glioblastoma Resection with Microvascular Free Flap Reconstruction and Associated GammaTile Implantation: A Personalized Approach with Oncologic and Reconstructive Integration</b>.\",\"authors\":\"Russel T Wagner, Jacopo Berardinelli, Amin B Kassam, Julian E Bailes, Melanie B Fukui, George C Bobustuc, Sammy Khalili, Neil S Mundi\",\"doi\":\"10.1055/a-2576-7559\",\"DOIUrl\":null,\"url\":null,\"abstract\":\"<p><strong>Background: </strong>Glioblastoma multiforme (GBM), despite aggressive multimodal treatment comprising surgery followed by chemoradiation, is almost uniformly associated with inevitable recurrence and poor outcomes. In this clinical context, local radiation therapy-an emerging approach-has gained considerable attention over time for its potential to address the limitations of traditional treatment options for GBM. Multiple surgeries and adjuvant chemoradiation therapy can negatively impact the integrity of the scalp soft tissues and can compromise the ability to achieve primary closure over the surgical site. In these circumstances, complex reconstruction with free tissue transfer may be necessary.</p><p><strong>Methods: </strong>We report the case of a 37-year-old female patient with recurrent GBM and associated wound healing complications who underwent single-stage GammaTile surgically targeted radiation therapy combined with microvascular free flap scalp reconstruction.</p><p><strong>Results: </strong>Immediate free flap reconstruction over the site of GammaTile implantation did not result in any wound healing complications and did not compromise the viability of the transplanted tissue. This approach also provided immediate and localized radiation, possibly enhancing patient progression-free survival while reducing the likelihood of radiation-induced adverse effects.</p><p><strong>Conclusion: </strong>We report the first case of GammaTile implantation with immediate reconstruction of the overlaying soft tissue defect with a free flap. Despite the immediate local radiation produced by the tiles abutting the deep surface of the free flap, there were no complications noted in the vascularity of the transplanted tissue. This finding provides preliminary evidence supporting the safety of using free tissue transfer alongside GammaTile implantation for complex reconstruction.</p>\",\"PeriodicalId\":44256,\"journal\":{\"name\":\"Journal of Neurological Surgery Reports\",\"volume\":\"86 2\",\"pages\":\"e92-e97\"},\"PeriodicalIF\":0.7000,\"publicationDate\":\"2025-04-25\",\"publicationTypes\":\"Journal Article\",\"fieldsOfStudy\":null,\"isOpenAccess\":false,\"openAccessPdf\":\"https://www.ncbi.nlm.nih.gov/pmc/articles/PMC12031433/pdf/\",\"citationCount\":\"0\",\"resultStr\":null,\"platform\":\"Semanticscholar\",\"paperid\":null,\"PeriodicalName\":\"Journal of Neurological Surgery Reports\",\"FirstCategoryId\":\"1085\",\"ListUrlMain\":\"https://doi.org/10.1055/a-2576-7559\",\"RegionNum\":0,\"RegionCategory\":null,\"ArticlePicture\":[],\"TitleCN\":null,\"AbstractTextCN\":null,\"PMCID\":null,\"EPubDate\":\"2025/4/1 0:00:00\",\"PubModel\":\"eCollection\",\"JCR\":\"Q4\",\"JCRName\":\"CLINICAL NEUROLOGY\",\"Score\":null,\"Total\":0}","platform":"Semanticscholar","paperid":null,"PeriodicalName":"Journal of Neurological Surgery Reports","FirstCategoryId":"1085","ListUrlMain":"https://doi.org/10.1055/a-2576-7559","RegionNum":0,"RegionCategory":null,"ArticlePicture":[],"TitleCN":null,"AbstractTextCN":null,"PMCID":null,"EPubDate":"2025/4/1 0:00:00","PubModel":"eCollection","JCR":"Q4","JCRName":"CLINICAL NEUROLOGY","Score":null,"Total":0}
引用次数: 0

摘要

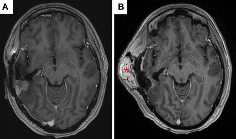
背景:多形性胶质母细胞瘤(GBM),尽管积极的多模式治疗包括手术和放化疗,但几乎一致地与不可避免的复发和不良预后相关。在这种临床背景下,局部放射治疗-一种新兴的方法-随着时间的推移已经获得了相当多的关注,因为它有可能解决传统治疗GBM的局限性。多次手术和辅助放化疗会对头皮软组织的完整性产生负面影响,并可能损害手术部位初步闭合的能力。在这种情况下,复杂的重建与自由组织移植可能是必要的。方法:我们报告一例37岁女性复发性GBM及相关创面愈合并发症患者,接受单期GammaTile手术靶向放疗联合微血管游离皮瓣头皮重建。结果:在GammaTile植入部位即刻重建游离皮瓣,未出现任何伤口愈合并发症,且不影响移植组织的生存能力。该方法还提供即时和局部放疗,可能提高患者的无进展生存期,同时降低辐射引起的不良反应的可能性。结论:我们报告了首例伽玛蒂尔植入术后立即用游离皮瓣重建软组织缺损的病例。尽管邻近游离瓣深表面的瓦片立即产生局部辐射,但移植组织的血管性没有出现并发症。这一发现提供了初步证据,支持使用游离组织移植和GammaTile植入进行复杂重建的安全性。
本文章由计算机程序翻译,如有差异,请以英文原文为准。

<b>Recurrent Glioblastoma Resection with Microvascular Free Flap Reconstruction and Associated GammaTile Implantation: A Personalized Approach with Oncologic and Reconstructive Integration</b>.

<b>Recurrent Glioblastoma Resection with Microvascular Free Flap Reconstruction and Associated GammaTile Implantation: A Personalized Approach with Oncologic and Reconstructive Integration</b>.

<b>Recurrent Glioblastoma Resection with Microvascular Free Flap Reconstruction and Associated GammaTile Implantation: A Personalized Approach with Oncologic and Reconstructive Integration</b>.

Recurrent Glioblastoma Resection with Microvascular Free Flap Reconstruction and Associated GammaTile Implantation: A Personalized Approach with Oncologic and Reconstructive Integration.

Background: Glioblastoma multiforme (GBM), despite aggressive multimodal treatment comprising surgery followed by chemoradiation, is almost uniformly associated with inevitable recurrence and poor outcomes. In this clinical context, local radiation therapy-an emerging approach-has gained considerable attention over time for its potential to address the limitations of traditional treatment options for GBM. Multiple surgeries and adjuvant chemoradiation therapy can negatively impact the integrity of the scalp soft tissues and can compromise the ability to achieve primary closure over the surgical site. In these circumstances, complex reconstruction with free tissue transfer may be necessary.

Methods: We report the case of a 37-year-old female patient with recurrent GBM and associated wound healing complications who underwent single-stage GammaTile surgically targeted radiation therapy combined with microvascular free flap scalp reconstruction.

Results: Immediate free flap reconstruction over the site of GammaTile implantation did not result in any wound healing complications and did not compromise the viability of the transplanted tissue. This approach also provided immediate and localized radiation, possibly enhancing patient progression-free survival while reducing the likelihood of radiation-induced adverse effects.

Conclusion: We report the first case of GammaTile implantation with immediate reconstruction of the overlaying soft tissue defect with a free flap. Despite the immediate local radiation produced by the tiles abutting the deep surface of the free flap, there were no complications noted in the vascularity of the transplanted tissue. This finding provides preliminary evidence supporting the safety of using free tissue transfer alongside GammaTile implantation for complex reconstruction.

求助全文
通过发布文献求助,成功后即可免费获取论文全文。 去求助
来源期刊
自引率
0.00%
发文量
31
审稿时长
12 weeks
×
引用
GB/T 7714-2015
复制
MLA
复制
APA
复制
导出至
BibTeX EndNote RefMan NoteFirst NoteExpress
×
提示
您的信息不完整,为了账户安全,请先补充。
现在去补充
×
提示
您因"违规操作"
具体请查看互助需知
我知道了
×
提示
确定
请完成安全验证×
copy
已复制链接
快去分享给好友吧!
我知道了
右上角分享
点击右上角分享
0
联系我们:info@booksci.cn Book学术提供免费学术资源搜索服务,方便国内外学者检索中英文文献。致力于提供最便捷和优质的服务体验。 Copyright © 2023 布克学术 All rights reserved.
京ICP备2023020795号-1
ghs 京公网安备 11010802042870号
Book学术文献互助
Book学术文献互助群
群 号:604180095
Book学术官方微信