肼嗪诱导的ANCA血管炎表现为心包炎:一例新病例并文献复习。

IF 0.5 Q4 CARDIAC & CARDIOVASCULAR SYSTEMS
Case Reports in Cardiology Pub Date : 2025-02-27 eCollection Date: 2025-01-01 DOI:10.1155/cric/9932632
Ahmed Sami Hammami, Osejie Oriaifo, Sinda Hidri, Sukhvir Singh, Husam El Sharu, Joshua Peltz, Soroush Nomigolzar, Kunjan Udani
{"title":"肼嗪诱导的ANCA血管炎表现为心包炎:一例新病例并文献复习。","authors":"Ahmed Sami Hammami, Osejie Oriaifo, Sinda Hidri, Sukhvir Singh, Husam El Sharu, Joshua Peltz, Soroush Nomigolzar, Kunjan Udani","doi":"10.1155/cric/9932632","DOIUrl":null,"url":null,"abstract":"<p><p>Hydralazine, a commonly used arterial vasodilator for managing congestive heart failure and hypertension, is known to be associated with drug-induced lupus and, less frequently, antineutrophil cytoplasmic antibody (ANCA)-associated vasculitis (AAV). Drug-induced AAV typically carries a favorable long-term prognosis and is not commonly linked to cardiovascular or ocular involvement. Pericarditis cases associated with hydralazine have not been previously reported. We present a rare case involving an 85-year-old woman on long-term hydralazine therapy, initially presenting with acute lobar pneumonia. During her hospitalization, she developed pericarditis, chemosis, and conjunctivitis in her eyes, along with cutaneous lesions described as a maculopapular rash on her face, tender bullae on her digits, and a petechial rash on her back. Laboratory findings were consistent with drug-induced AAV, showing positive myeloperoxidase and proteinase 3 antibodies. An attempted diagnostic pericardiocentesis was unsuccessful. Hydralazine was discontinued, and she was successfully treated with corticosteroids and tolerated immunosuppression well. Subsequently, she recovered and was discharged from the hospital.</p>","PeriodicalId":51760,"journal":{"name":"Case Reports in Cardiology","volume":"2025 ","pages":"9932632"},"PeriodicalIF":0.5000,"publicationDate":"2025-02-27","publicationTypes":"Journal Article","fieldsOfStudy":null,"isOpenAccess":false,"openAccessPdf":"https://www.ncbi.nlm.nih.gov/pmc/articles/PMC11986942/pdf/","citationCount":"0","resultStr":"{\"title\":\"Hydralazine-Induced ANCA Vasculitis Presenting With Pericarditis: A Novel Case and Literature Review.\",\"authors\":\"Ahmed Sami Hammami, Osejie Oriaifo, Sinda Hidri, Sukhvir Singh, Husam El Sharu, Joshua Peltz, Soroush Nomigolzar, Kunjan Udani\",\"doi\":\"10.1155/cric/9932632\",\"DOIUrl\":null,\"url\":null,\"abstract\":\"<p><p>Hydralazine, a commonly used arterial vasodilator for managing congestive heart failure and hypertension, is known to be associated with drug-induced lupus and, less frequently, antineutrophil cytoplasmic antibody (ANCA)-associated vasculitis (AAV). Drug-induced AAV typically carries a favorable long-term prognosis and is not commonly linked to cardiovascular or ocular involvement. Pericarditis cases associated with hydralazine have not been previously reported. We present a rare case involving an 85-year-old woman on long-term hydralazine therapy, initially presenting with acute lobar pneumonia. During her hospitalization, she developed pericarditis, chemosis, and conjunctivitis in her eyes, along with cutaneous lesions described as a maculopapular rash on her face, tender bullae on her digits, and a petechial rash on her back. Laboratory findings were consistent with drug-induced AAV, showing positive myeloperoxidase and proteinase 3 antibodies. An attempted diagnostic pericardiocentesis was unsuccessful. Hydralazine was discontinued, and she was successfully treated with corticosteroids and tolerated immunosuppression well. Subsequently, she recovered and was discharged from the hospital.</p>\",\"PeriodicalId\":51760,\"journal\":{\"name\":\"Case Reports in Cardiology\",\"volume\":\"2025 \",\"pages\":\"9932632\"},\"PeriodicalIF\":0.5000,\"publicationDate\":\"2025-02-27\",\"publicationTypes\":\"Journal Article\",\"fieldsOfStudy\":null,\"isOpenAccess\":false,\"openAccessPdf\":\"https://www.ncbi.nlm.nih.gov/pmc/articles/PMC11986942/pdf/\",\"citationCount\":\"0\",\"resultStr\":null,\"platform\":\"Semanticscholar\",\"paperid\":null,\"PeriodicalName\":\"Case Reports in Cardiology\",\"FirstCategoryId\":\"1085\",\"ListUrlMain\":\"https://doi.org/10.1155/cric/9932632\",\"RegionNum\":0,\"RegionCategory\":null,\"ArticlePicture\":[],\"TitleCN\":null,\"AbstractTextCN\":null,\"PMCID\":null,\"EPubDate\":\"2025/1/1 0:00:00\",\"PubModel\":\"eCollection\",\"JCR\":\"Q4\",\"JCRName\":\"CARDIAC & CARDIOVASCULAR SYSTEMS\",\"Score\":null,\"Total\":0}","platform":"Semanticscholar","paperid":null,"PeriodicalName":"Case Reports in Cardiology","FirstCategoryId":"1085","ListUrlMain":"https://doi.org/10.1155/cric/9932632","RegionNum":0,"RegionCategory":null,"ArticlePicture":[],"TitleCN":null,"AbstractTextCN":null,"PMCID":null,"EPubDate":"2025/1/1 0:00:00","PubModel":"eCollection","JCR":"Q4","JCRName":"CARDIAC & CARDIOVASCULAR SYSTEMS","Score":null,"Total":0}
引用次数: 0

摘要

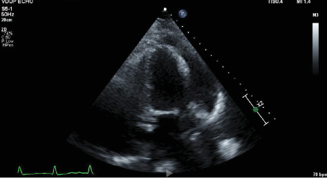
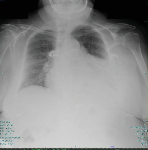
Hydralazine是一种常用的动脉血管扩张剂,用于治疗充血性心力衰竭和高血压,已知与药物性狼疮和抗中性粒细胞胞浆抗体(ANCA)相关血管炎(AAV)有关。药物诱导的AAV通常具有良好的长期预后,通常与心血管或眼部受累无关。与肼相关的心包炎病例以前未见报道。我们提出一个罕见的病例,涉及一名85岁的妇女长期服用肼,最初表现为急性大叶性肺炎。在住院期间,她出现心包炎、化脓和眼睛结膜炎,并伴有皮肤病变,包括面部丘疹、手指上的嫩嫩的大疱和背部的点疹。实验室结果与药物诱导的AAV一致,显示髓过氧化物酶和蛋白酶3抗体阳性。尝试诊断性心包穿刺失败。停用海拉嗪,她成功地用皮质类固醇治疗,免疫抑制耐受良好。随后,她康复出院。
本文章由计算机程序翻译,如有差异,请以英文原文为准。

Hydralazine-Induced ANCA Vasculitis Presenting With Pericarditis: A Novel Case and Literature Review.

Hydralazine-Induced ANCA Vasculitis Presenting With Pericarditis: A Novel Case and Literature Review.

Hydralazine-Induced ANCA Vasculitis Presenting With Pericarditis: A Novel Case and Literature Review.

Hydralazine-Induced ANCA Vasculitis Presenting With Pericarditis: A Novel Case and Literature Review.

Hydralazine, a commonly used arterial vasodilator for managing congestive heart failure and hypertension, is known to be associated with drug-induced lupus and, less frequently, antineutrophil cytoplasmic antibody (ANCA)-associated vasculitis (AAV). Drug-induced AAV typically carries a favorable long-term prognosis and is not commonly linked to cardiovascular or ocular involvement. Pericarditis cases associated with hydralazine have not been previously reported. We present a rare case involving an 85-year-old woman on long-term hydralazine therapy, initially presenting with acute lobar pneumonia. During her hospitalization, she developed pericarditis, chemosis, and conjunctivitis in her eyes, along with cutaneous lesions described as a maculopapular rash on her face, tender bullae on her digits, and a petechial rash on her back. Laboratory findings were consistent with drug-induced AAV, showing positive myeloperoxidase and proteinase 3 antibodies. An attempted diagnostic pericardiocentesis was unsuccessful. Hydralazine was discontinued, and she was successfully treated with corticosteroids and tolerated immunosuppression well. Subsequently, she recovered and was discharged from the hospital.

求助全文
通过发布文献求助,成功后即可免费获取论文全文。 去求助
来源期刊
Case Reports in Cardiology
Case Reports in Cardiology CARDIAC & CARDIOVASCULAR SYSTEMS-
自引率
0.00%
发文量
63
审稿时长
13 weeks
期刊介绍: Case Reports in Cardiology is a peer-reviewed, Open Access journal that publishes case reports and case series related to hypertension, arrhythmia, congestive heart failure, valvular heart disease, vascular disease, congenital heart disease and cardiomyopathy.
×
引用
GB/T 7714-2015
复制
MLA
复制
APA
复制
导出至
BibTeX EndNote RefMan NoteFirst NoteExpress
×
提示
您的信息不完整,为了账户安全,请先补充。
现在去补充
×
提示
您因"违规操作"
具体请查看互助需知
我知道了
×
提示
确定
请完成安全验证×
copy
已复制链接
快去分享给好友吧!
我知道了
右上角分享
点击右上角分享
0
联系我们:info@booksci.cn Book学术提供免费学术资源搜索服务,方便国内外学者检索中英文文献。致力于提供最便捷和优质的服务体验。 Copyright © 2023 布克学术 All rights reserved.
京ICP备2023020795号-1
ghs 京公网安备 11010802042870号
Book学术文献互助
Book学术文献互助群
群 号:604180095
Book学术官方微信