锥形束计算机断层扫描(CBCT)评价青少年和成人中腭缝合成熟阶段的比较研究。

Ravinder Singh, Deepak Gupta, Aashna Garg, Veenu Dahiya, Paras Gupta, Ramandeep Singh Gambhir
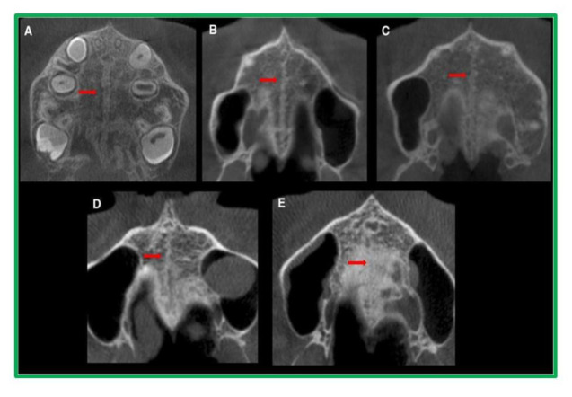
{"title":"锥形束计算机断层扫描(CBCT)评价青少年和成人中腭缝合成熟阶段的比较研究。","authors":"Ravinder Singh, Deepak Gupta, Aashna Garg, Veenu Dahiya, Paras Gupta, Ramandeep Singh Gambhir","doi":"10.71480/nmj.v66i1.744","DOIUrl":null,"url":null,"abstract":"<p><strong>Background: </strong>Several methods have been described in orthodontics for the evaluation of the skeletal age. These include hand-wrist radiography and cervical vertebral maturation (CVM) based on lateral cephalogram. Computed tomography (CT) scan has emerged as an effective tool for image diagnosis in situ. The present study was done to assess the stages of the mid-palatal suture in adolescents and adults utilizing cone beam computed tomography (CBCT).</p><p><strong>Methodology: </strong>A descriptive and prospective study was done on 110 CBCT scans of individuals aged between 10-30 years, who visited the Department of Oral Medicine and Radiology, MMCDSR, Ambala, Haryana. The visualization and classification of the stage of maturation of the mid-palatine suture was done as per Angelieri's method using a cross-sectional axial slice.</p><p><strong>Results: </strong>Stage C was found to be the most prevalent (29.1%) with the majority of cases occurring in the 16-20 age range. Males were more likely to have Stage B, while females had Stage C. In 60 cases (54.5 percent of the overall sample), the mid-palatine suture was found to be open. The Chi-Square test results for each examiner were highly significant (p< 0.01), indicating a statistically significant association between age group and Stage distribution.</p><p><strong>Conclusion: </strong>There is a higher chance that post-adolescents and adults will have an open mid-palatal suture. When maxillary expansion is necessary, orthodontists may take these consequences into account. Furthermore, the middle palatal suture's ossification varies, hence using CBCT to rule out this possibility may be advised.</p>","PeriodicalId":94346,"journal":{"name":"Nigerian medical journal : journal of the Nigeria Medical Association","volume":"66 1","pages":"347-356"},"PeriodicalIF":0.0000,"publicationDate":"2025-04-03","publicationTypes":"Journal Article","fieldsOfStudy":null,"isOpenAccess":false,"openAccessPdf":"https://www.ncbi.nlm.nih.gov/pmc/articles/PMC12038629/pdf/","citationCount":"0","resultStr":"{\"title\":\"Evaluation of Mid-Palatal Suture Maturation Stage in Adolescents and Adults Using Cone Beam Computed Tomography (CBCT)- A Comparative Study.\",\"authors\":\"Ravinder Singh, Deepak Gupta, Aashna Garg, Veenu Dahiya, Paras Gupta, Ramandeep Singh Gambhir\",\"doi\":\"10.71480/nmj.v66i1.744\",\"DOIUrl\":null,\"url\":null,\"abstract\":\"<p><strong>Background: </strong>Several methods have been described in orthodontics for the evaluation of the skeletal age. These include hand-wrist radiography and cervical vertebral maturation (CVM) based on lateral cephalogram. Computed tomography (CT) scan has emerged as an effective tool for image diagnosis in situ. The present study was done to assess the stages of the mid-palatal suture in adolescents and adults utilizing cone beam computed tomography (CBCT).</p><p><strong>Methodology: </strong>A descriptive and prospective study was done on 110 CBCT scans of individuals aged between 10-30 years, who visited the Department of Oral Medicine and Radiology, MMCDSR, Ambala, Haryana. The visualization and classification of the stage of maturation of the mid-palatine suture was done as per Angelieri's method using a cross-sectional axial slice.</p><p><strong>Results: </strong>Stage C was found to be the most prevalent (29.1%) with the majority of cases occurring in the 16-20 age range. Males were more likely to have Stage B, while females had Stage C. In 60 cases (54.5 percent of the overall sample), the mid-palatine suture was found to be open. The Chi-Square test results for each examiner were highly significant (p< 0.01), indicating a statistically significant association between age group and Stage distribution.</p><p><strong>Conclusion: </strong>There is a higher chance that post-adolescents and adults will have an open mid-palatal suture. When maxillary expansion is necessary, orthodontists may take these consequences into account. Furthermore, the middle palatal suture's ossification varies, hence using CBCT to rule out this possibility may be advised.</p>\",\"PeriodicalId\":94346,\"journal\":{\"name\":\"Nigerian medical journal : journal of the Nigeria Medical Association\",\"volume\":\"66 1\",\"pages\":\"347-356\"},\"PeriodicalIF\":0.0000,\"publicationDate\":\"2025-04-03\",\"publicationTypes\":\"Journal Article\",\"fieldsOfStudy\":null,\"isOpenAccess\":false,\"openAccessPdf\":\"https://www.ncbi.nlm.nih.gov/pmc/articles/PMC12038629/pdf/\",\"citationCount\":\"0\",\"resultStr\":null,\"platform\":\"Semanticscholar\",\"paperid\":null,\"PeriodicalName\":\"Nigerian medical journal : journal of the Nigeria Medical Association\",\"FirstCategoryId\":\"1085\",\"ListUrlMain\":\"https://doi.org/10.71480/nmj.v66i1.744\",\"RegionNum\":0,\"RegionCategory\":null,\"ArticlePicture\":[],\"TitleCN\":null,\"AbstractTextCN\":null,\"PMCID\":null,\"EPubDate\":\"2025/1/1 0:00:00\",\"PubModel\":\"eCollection\",\"JCR\":\"\",\"JCRName\":\"\",\"Score\":null,\"Total\":0}","platform":"Semanticscholar","paperid":null,"PeriodicalName":"Nigerian medical journal : journal of the Nigeria Medical Association","FirstCategoryId":"1085","ListUrlMain":"https://doi.org/10.71480/nmj.v66i1.744","RegionNum":0,"RegionCategory":null,"ArticlePicture":[],"TitleCN":null,"AbstractTextCN":null,"PMCID":null,"EPubDate":"2025/1/1 0:00:00","PubModel":"eCollection","JCR":"","JCRName":"","Score":null,"Total":0}
引用次数: 0

摘要

背景:在正畸学中有几种评估骨骼年龄的方法。这些包括手腕x线摄影和基于侧位脑电图的颈椎成熟(CVM)。计算机断层扫描(CT)已成为一种有效的原位图像诊断工具。本研究利用锥形束计算机断层扫描(CBCT)评估青少年和成人中腭缝合的分期。方法:一项描述性和前瞻性研究对110名年龄在10-30岁之间的个体进行了CBCT扫描,这些个体访问了哈里亚纳邦安巴拉市MMCDSR口腔医学和放射科。根据Angelieri的方法,使用横断面轴向切片对腭中缝合的成熟阶段进行可视化和分类。结果:C期最常见(29.1%),大多数病例发生在16-20岁年龄段。男性更有可能是B期,而女性是c期。在60例(占总样本的54.5%)中,发现腭中缝合是开放的。各考官卡方检验结果均极显著(p< 0.01),说明年龄组与分期分布有统计学意义。结论:后青少年和成人有较高的机会进行开放的中腭缝合。当上颌需要扩张时,正畸医生可能会考虑这些后果。此外,中腭缝合线骨化情况不同,因此建议使用CBCT排除这种可能性。
本文章由计算机程序翻译,如有差异,请以英文原文为准。

Evaluation of Mid-Palatal Suture Maturation Stage in Adolescents and Adults Using Cone Beam Computed Tomography (CBCT)- A Comparative Study.

Evaluation of Mid-Palatal Suture Maturation Stage in Adolescents and Adults Using Cone Beam Computed Tomography (CBCT)- A Comparative Study.

Evaluation of Mid-Palatal Suture Maturation Stage in Adolescents and Adults Using Cone Beam Computed Tomography (CBCT)- A Comparative Study.

Background: Several methods have been described in orthodontics for the evaluation of the skeletal age. These include hand-wrist radiography and cervical vertebral maturation (CVM) based on lateral cephalogram. Computed tomography (CT) scan has emerged as an effective tool for image diagnosis in situ. The present study was done to assess the stages of the mid-palatal suture in adolescents and adults utilizing cone beam computed tomography (CBCT).

Methodology: A descriptive and prospective study was done on 110 CBCT scans of individuals aged between 10-30 years, who visited the Department of Oral Medicine and Radiology, MMCDSR, Ambala, Haryana. The visualization and classification of the stage of maturation of the mid-palatine suture was done as per Angelieri's method using a cross-sectional axial slice.

Results: Stage C was found to be the most prevalent (29.1%) with the majority of cases occurring in the 16-20 age range. Males were more likely to have Stage B, while females had Stage C. In 60 cases (54.5 percent of the overall sample), the mid-palatine suture was found to be open. The Chi-Square test results for each examiner were highly significant (p< 0.01), indicating a statistically significant association between age group and Stage distribution.

Conclusion: There is a higher chance that post-adolescents and adults will have an open mid-palatal suture. When maxillary expansion is necessary, orthodontists may take these consequences into account. Furthermore, the middle palatal suture's ossification varies, hence using CBCT to rule out this possibility may be advised.

求助全文
通过发布文献求助,成功后即可免费获取论文全文。 去求助
来源期刊
自引率
0.00%
发文量
0
×
引用
GB/T 7714-2015
复制
MLA
复制
APA
复制
导出至
BibTeX EndNote RefMan NoteFirst NoteExpress
×
提示
您的信息不完整,为了账户安全,请先补充。
现在去补充
×
提示
您因"违规操作"
具体请查看互助需知
我知道了
×
提示
确定
请完成安全验证×
copy
已复制链接
快去分享给好友吧!
我知道了
右上角分享
点击右上角分享
0
联系我们:info@booksci.cn Book学术提供免费学术资源搜索服务,方便国内外学者检索中英文文献。致力于提供最便捷和优质的服务体验。 Copyright © 2023 布克学术 All rights reserved.
京ICP备2023020795号-1
ghs 京公网安备 11010802042870号
Book学术文献互助
Book学术文献互助群
群 号:604180095
Book学术官方微信