Klintrup-Mäkinen (KM)评分对胃癌预后的影响及其与病理参数的关系

IF 2.4 4区 医学 Q1 MEDICINE, GENERAL & INTERNAL
Andreea-Raluca Cozac-Szőke, Georgian-Nicolae Radu, Anca Negovan, Dan Alexandru Cozac, Sabin Turdean, Andreea-Cătălina Tinca, Emőke-Andrea Szász, Iuliu-Gabriel Cocuz, Adrian-Horațiu Sabău, Raluca Niculescu, Diana Maria Chiorean, Alexandru Nicușor Tomuț, Ovidiu Simion Cotoi
{"title":"Klintrup-Mäkinen (KM)评分对胃癌预后的影响及其与病理参数的关系","authors":"Andreea-Raluca Cozac-Szőke, Georgian-Nicolae Radu, Anca Negovan, Dan Alexandru Cozac, Sabin Turdean, Andreea-Cătălina Tinca, Emőke-Andrea Szász, Iuliu-Gabriel Cocuz, Adrian-Horațiu Sabău, Raluca Niculescu, Diana Maria Chiorean, Alexandru Nicușor Tomuț, Ovidiu Simion Cotoi","doi":"10.3390/medicina61040715","DOIUrl":null,"url":null,"abstract":"<p><p><i>Background and Objectives:</i> Gastric cancer (GC) remains a significant global health challenge with a poor prognosis. This study aimed to evaluate the association between Klintrup-Mäkinen (KM) inflammatory infiltrate grading and clinicopathological features in gastric cancer patients, investigating its potential as a prognostic marker. <i>Material and Methods:</i> This retrospective study analyzed 133 gastric adenocarcinoma patients diagnosed between 2020 and 2021 at County Clinical Hospital in Târgu Mureș, Romania. Patients were divided into two groups based on KM grades: low (grades 0-1, <i>n</i> = 62) and high (grades 2-3, <i>n</i> = 71). Clinicopathological characteristics and survival outcomes were compared between the groups. <i>Results:</i> Demographic characteristics were similar between the groups. Patients with low KM grades demonstrated significantly more aggressive tumor features, including a higher prevalence of Borrmann classification types III-IV (75.8% vs. 54.9%, <i>p</i> = 0.01), poorly differentiated histology (74.1% vs. 33.8%, <i>p</i> < 0.0001), advanced T stage (93.5% vs. 80.2%, <i>p</i> = 0.04), and lymph node involvement (87% vs. 60.5%, <i>p</i> = 0.0008). This group also exhibited higher rates of lymphatic invasion (79% vs. 50.7%, <i>p</i> = 0.001), venous invasion (51.6% vs. 30.9%, <i>p</i> = 0.02), perineural invasion (50% vs. 22.5%, <i>p</i> = 0.001), and positive surgical margins (32.2% vs. 15.4%, <i>p</i> = 0.02). Survival analysis revealed a hazard ratio of 1.642 (95% CI: 1.02-2.62) for patients with low KM grades compared to those with high KM grades. <i>Conclusions:</i> Low KM grades are associated with more aggressive tumor characteristics and poorer prognosis in GC patients. The KM score may serve as a valuable, cost-effective histological marker for assessing tumor aggressiveness and could aid in risk stratification when applied to routine H&E-stained slides. While it does not replace immunohistochemical or molecular analyses, integrating the KM score into pathological assessment may enhance prognostic accuracy and support identifying patients who might benefit from immunotherapy.</p>","PeriodicalId":49830,"journal":{"name":"Medicina-Lithuania","volume":"61 4","pages":""},"PeriodicalIF":2.4000,"publicationDate":"2025-04-13","publicationTypes":"Journal Article","fieldsOfStudy":null,"isOpenAccess":false,"openAccessPdf":"https://www.ncbi.nlm.nih.gov/pmc/articles/PMC12029010/pdf/","citationCount":"0","resultStr":"{\"title\":\"Prognostic Impact of Klintrup-Mäkinen (KM) Score in Gastric Cancer and Its Association with Pathological Parameters.\",\"authors\":\"Andreea-Raluca Cozac-Szőke, Georgian-Nicolae Radu, Anca Negovan, Dan Alexandru Cozac, Sabin Turdean, Andreea-Cătălina Tinca, Emőke-Andrea Szász, Iuliu-Gabriel Cocuz, Adrian-Horațiu Sabău, Raluca Niculescu, Diana Maria Chiorean, Alexandru Nicușor Tomuț, Ovidiu Simion Cotoi\",\"doi\":\"10.3390/medicina61040715\",\"DOIUrl\":null,\"url\":null,\"abstract\":\"<p><p><i>Background and Objectives:</i> Gastric cancer (GC) remains a significant global health challenge with a poor prognosis. This study aimed to evaluate the association between Klintrup-Mäkinen (KM) inflammatory infiltrate grading and clinicopathological features in gastric cancer patients, investigating its potential as a prognostic marker. <i>Material and Methods:</i> This retrospective study analyzed 133 gastric adenocarcinoma patients diagnosed between 2020 and 2021 at County Clinical Hospital in Târgu Mureș, Romania. Patients were divided into two groups based on KM grades: low (grades 0-1, <i>n</i> = 62) and high (grades 2-3, <i>n</i> = 71). Clinicopathological characteristics and survival outcomes were compared between the groups. <i>Results:</i> Demographic characteristics were similar between the groups. Patients with low KM grades demonstrated significantly more aggressive tumor features, including a higher prevalence of Borrmann classification types III-IV (75.8% vs. 54.9%, <i>p</i> = 0.01), poorly differentiated histology (74.1% vs. 33.8%, <i>p</i> < 0.0001), advanced T stage (93.5% vs. 80.2%, <i>p</i> = 0.04), and lymph node involvement (87% vs. 60.5%, <i>p</i> = 0.0008). This group also exhibited higher rates of lymphatic invasion (79% vs. 50.7%, <i>p</i> = 0.001), venous invasion (51.6% vs. 30.9%, <i>p</i> = 0.02), perineural invasion (50% vs. 22.5%, <i>p</i> = 0.001), and positive surgical margins (32.2% vs. 15.4%, <i>p</i> = 0.02). Survival analysis revealed a hazard ratio of 1.642 (95% CI: 1.02-2.62) for patients with low KM grades compared to those with high KM grades. <i>Conclusions:</i> Low KM grades are associated with more aggressive tumor characteristics and poorer prognosis in GC patients. The KM score may serve as a valuable, cost-effective histological marker for assessing tumor aggressiveness and could aid in risk stratification when applied to routine H&E-stained slides. While it does not replace immunohistochemical or molecular analyses, integrating the KM score into pathological assessment may enhance prognostic accuracy and support identifying patients who might benefit from immunotherapy.</p>\",\"PeriodicalId\":49830,\"journal\":{\"name\":\"Medicina-Lithuania\",\"volume\":\"61 4\",\"pages\":\"\"},\"PeriodicalIF\":2.4000,\"publicationDate\":\"2025-04-13\",\"publicationTypes\":\"Journal Article\",\"fieldsOfStudy\":null,\"isOpenAccess\":false,\"openAccessPdf\":\"https://www.ncbi.nlm.nih.gov/pmc/articles/PMC12029010/pdf/\",\"citationCount\":\"0\",\"resultStr\":null,\"platform\":\"Semanticscholar\",\"paperid\":null,\"PeriodicalName\":\"Medicina-Lithuania\",\"FirstCategoryId\":\"3\",\"ListUrlMain\":\"https://doi.org/10.3390/medicina61040715\",\"RegionNum\":4,\"RegionCategory\":\"医学\",\"ArticlePicture\":[],\"TitleCN\":null,\"AbstractTextCN\":null,\"PMCID\":null,\"EPubDate\":\"\",\"PubModel\":\"\",\"JCR\":\"Q1\",\"JCRName\":\"MEDICINE, GENERAL & INTERNAL\",\"Score\":null,\"Total\":0}","platform":"Semanticscholar","paperid":null,"PeriodicalName":"Medicina-Lithuania","FirstCategoryId":"3","ListUrlMain":"https://doi.org/10.3390/medicina61040715","RegionNum":4,"RegionCategory":"医学","ArticlePicture":[],"TitleCN":null,"AbstractTextCN":null,"PMCID":null,"EPubDate":"","PubModel":"","JCR":"Q1","JCRName":"MEDICINE, GENERAL & INTERNAL","Score":null,"Total":0}
引用次数: 0

摘要

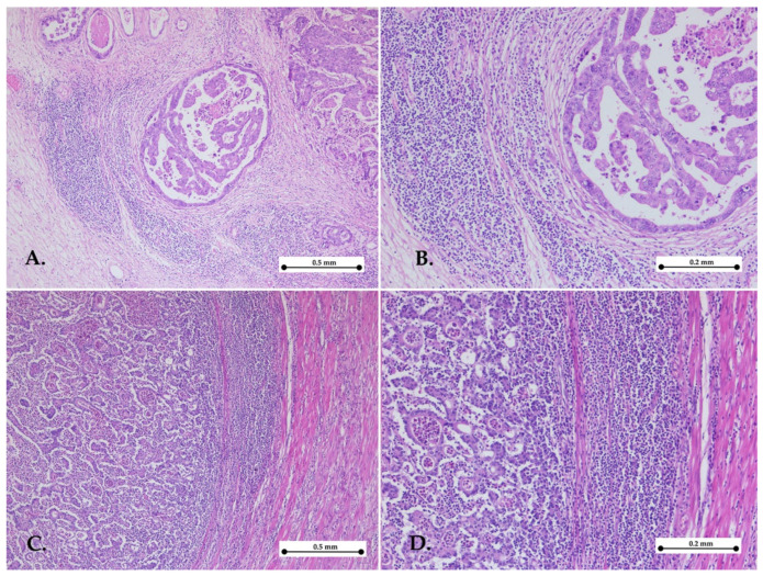
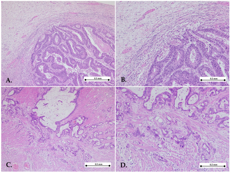
背景和目的:胃癌(GC)仍然是一个重大的全球健康挑战,预后不良。本研究旨在评估Klintrup-Mäkinen (KM)炎症浸润分级与胃癌患者临床病理特征之间的关系,探讨其作为预后指标的潜力。材料和方法:本回顾性研究分析了2020年至2021年在罗马尼亚穆列乌斯县临床医院诊断的133例胃腺癌患者。患者根据KM等级分为两组:低(0-1级,n = 62)和高(2-3级,n = 71)。比较两组患者的临床病理特征和生存结局。结果:两组人口统计学特征相似。KM级别低的患者表现出更具有侵袭性的肿瘤特征,包括Borrmann分类III-IV型(75.8%比54.9%,p = 0.01)、低分化组织学(74.1%比33.8%,p < 0.0001)、晚期T期(93.5%比80.2%,p = 0.04)和淋巴结累及(87%比60.5%,p = 0.0008)的患病率更高。该组淋巴浸润率(79%比50.7%,p = 0.001)、静脉浸润率(51.6%比30.9%,p = 0.02)、神经周围浸润率(50%比22.5%,p = 0.001)和手术切缘阳性率(32.2%比15.4%,p = 0.02)也较高。生存分析显示,与高KM分级患者相比,低KM分级患者的风险比为1.642 (95% CI: 1.02-2.62)。结论:低KM分级与胃癌患者更具侵袭性的肿瘤特征和较差的预后相关。KM评分可以作为评估肿瘤侵袭性的一种有价值的、具有成本效益的组织学标记物,当应用于常规h&e染色玻片时,可以帮助进行风险分层。虽然它不能取代免疫组织化学或分子分析,但将KM评分整合到病理评估中可以提高预后准确性,并支持识别可能受益于免疫治疗的患者。
本文章由计算机程序翻译,如有差异,请以英文原文为准。

Prognostic Impact of Klintrup-Mäkinen (KM) Score in Gastric Cancer and Its Association with Pathological Parameters.

Prognostic Impact of Klintrup-Mäkinen (KM) Score in Gastric Cancer and Its Association with Pathological Parameters.

Prognostic Impact of Klintrup-Mäkinen (KM) Score in Gastric Cancer and Its Association with Pathological Parameters.

Prognostic Impact of Klintrup-Mäkinen (KM) Score in Gastric Cancer and Its Association with Pathological Parameters.

Background and Objectives: Gastric cancer (GC) remains a significant global health challenge with a poor prognosis. This study aimed to evaluate the association between Klintrup-Mäkinen (KM) inflammatory infiltrate grading and clinicopathological features in gastric cancer patients, investigating its potential as a prognostic marker. Material and Methods: This retrospective study analyzed 133 gastric adenocarcinoma patients diagnosed between 2020 and 2021 at County Clinical Hospital in Târgu Mureș, Romania. Patients were divided into two groups based on KM grades: low (grades 0-1, n = 62) and high (grades 2-3, n = 71). Clinicopathological characteristics and survival outcomes were compared between the groups. Results: Demographic characteristics were similar between the groups. Patients with low KM grades demonstrated significantly more aggressive tumor features, including a higher prevalence of Borrmann classification types III-IV (75.8% vs. 54.9%, p = 0.01), poorly differentiated histology (74.1% vs. 33.8%, p < 0.0001), advanced T stage (93.5% vs. 80.2%, p = 0.04), and lymph node involvement (87% vs. 60.5%, p = 0.0008). This group also exhibited higher rates of lymphatic invasion (79% vs. 50.7%, p = 0.001), venous invasion (51.6% vs. 30.9%, p = 0.02), perineural invasion (50% vs. 22.5%, p = 0.001), and positive surgical margins (32.2% vs. 15.4%, p = 0.02). Survival analysis revealed a hazard ratio of 1.642 (95% CI: 1.02-2.62) for patients with low KM grades compared to those with high KM grades. Conclusions: Low KM grades are associated with more aggressive tumor characteristics and poorer prognosis in GC patients. The KM score may serve as a valuable, cost-effective histological marker for assessing tumor aggressiveness and could aid in risk stratification when applied to routine H&E-stained slides. While it does not replace immunohistochemical or molecular analyses, integrating the KM score into pathological assessment may enhance prognostic accuracy and support identifying patients who might benefit from immunotherapy.

求助全文
通过发布文献求助,成功后即可免费获取论文全文。 去求助
来源期刊
Medicina-Lithuania
Medicina-Lithuania 医学-医学:内科
CiteScore
3.30
自引率
3.80%
发文量
1578
审稿时长
25.04 days
期刊介绍: The journal’s main focus is on reviews as well as clinical and experimental investigations. The journal aims to advance knowledge related to problems in medicine in developing countries as well as developed economies, to disseminate research on global health, and to promote and foster prevention and treatment of diseases worldwide. MEDICINA publications cater to clinicians, diagnosticians and researchers, and serve as a forum to discuss the current status of health-related matters and their impact on a global and local scale.
×
引用
GB/T 7714-2015
复制
MLA
复制
APA
复制
导出至
BibTeX EndNote RefMan NoteFirst NoteExpress
×
提示
您的信息不完整,为了账户安全,请先补充。
现在去补充
×
提示
您因"违规操作"
具体请查看互助需知
我知道了
×
提示
确定
请完成安全验证×
copy
已复制链接
快去分享给好友吧!
我知道了
右上角分享
点击右上角分享
0
联系我们:info@booksci.cn Book学术提供免费学术资源搜索服务,方便国内外学者检索中英文文献。致力于提供最便捷和优质的服务体验。 Copyright © 2023 布克学术 All rights reserved.
京ICP备2023020795号-1
ghs 京公网安备 11010802042870号
Book学术文献互助
Book学术文献互助群
群 号:604180095
Book学术官方微信