马蹄形肺的产前诊断:附3例报告并文献复习。

IF 2.7 2区 医学 Q2 GENETICS & HEREDITY
Prenatal Diagnosis Pub Date : 2025-07-01 Epub Date: 2025-05-10 DOI:10.1002/pd.6814
Benjamin Birene, Paul Maurice, Catherine Garel, Blandine Prevost, Yohan Soreze, Maud Chabaud, Jean-Marie Jouannic
{"title":"马蹄形肺的产前诊断:附3例报告并文献复习。","authors":"Benjamin Birene, Paul Maurice, Catherine Garel, Blandine Prevost, Yohan Soreze, Maud Chabaud, Jean-Marie Jouannic","doi":"10.1002/pd.6814","DOIUrl":null,"url":null,"abstract":"<p><strong>Objective: </strong>Horseshoe lung is a rare congenital malformation in which the lungs are fused by a parenchymal isthmus. The current literature is very limited regarding cases of prenatal diagnosis and their outcome.</p><p><strong>Method: </strong>We retrospectively examined three cases of fetuses with horseshoe lung diagnosed antenatally in our center from 2015 to 2024. Additionally, we performed a literature review using a PubMed search (MESH terms: \"horseshoe lung\" then \"horseshoe lung\" AND \"prenatal\").</p><p><strong>Results: </strong>One case was diagnosed by magnetic resonance imaging (MRI) and two by ultrasound with MRI confirmation. Two patients were referred to our center for diaphragmatic hernia (with a sac in one case). The third patient was referred because of a thoracic aorta on the very left side. After birth, costal anomalies, agenesis of the body and tail of the pancreas, and an associated pelvic kidney were diagnosed. All neonates were presented with acute respiratory distress; two had a favorable outcome, and the third died within the first few days of life.</p><p><strong>Conclusion: </strong>Horseshoe lung can be diagnosed by ultrasound. The prognostic implications of this malformation remain unclear, particularly given its frequent association with other anomalies, which often are the primary determinants of outcomes.</p>","PeriodicalId":20387,"journal":{"name":"Prenatal Diagnosis","volume":" ","pages":"1027-1038"},"PeriodicalIF":2.7000,"publicationDate":"2025-07-01","publicationTypes":"Journal Article","fieldsOfStudy":null,"isOpenAccess":false,"openAccessPdf":"https://www.ncbi.nlm.nih.gov/pmc/articles/PMC12254439/pdf/","citationCount":"0","resultStr":"{\"title\":\"Prenatal Diagnosis of Horseshoe Lung: A Report of Three Cases and Review of the Literature.\",\"authors\":\"Benjamin Birene, Paul Maurice, Catherine Garel, Blandine Prevost, Yohan Soreze, Maud Chabaud, Jean-Marie Jouannic\",\"doi\":\"10.1002/pd.6814\",\"DOIUrl\":null,\"url\":null,\"abstract\":\"<p><strong>Objective: </strong>Horseshoe lung is a rare congenital malformation in which the lungs are fused by a parenchymal isthmus. The current literature is very limited regarding cases of prenatal diagnosis and their outcome.</p><p><strong>Method: </strong>We retrospectively examined three cases of fetuses with horseshoe lung diagnosed antenatally in our center from 2015 to 2024. Additionally, we performed a literature review using a PubMed search (MESH terms: \\\"horseshoe lung\\\" then \\\"horseshoe lung\\\" AND \\\"prenatal\\\").</p><p><strong>Results: </strong>One case was diagnosed by magnetic resonance imaging (MRI) and two by ultrasound with MRI confirmation. Two patients were referred to our center for diaphragmatic hernia (with a sac in one case). The third patient was referred because of a thoracic aorta on the very left side. After birth, costal anomalies, agenesis of the body and tail of the pancreas, and an associated pelvic kidney were diagnosed. All neonates were presented with acute respiratory distress; two had a favorable outcome, and the third died within the first few days of life.</p><p><strong>Conclusion: </strong>Horseshoe lung can be diagnosed by ultrasound. The prognostic implications of this malformation remain unclear, particularly given its frequent association with other anomalies, which often are the primary determinants of outcomes.</p>\",\"PeriodicalId\":20387,\"journal\":{\"name\":\"Prenatal Diagnosis\",\"volume\":\" \",\"pages\":\"1027-1038\"},\"PeriodicalIF\":2.7000,\"publicationDate\":\"2025-07-01\",\"publicationTypes\":\"Journal Article\",\"fieldsOfStudy\":null,\"isOpenAccess\":false,\"openAccessPdf\":\"https://www.ncbi.nlm.nih.gov/pmc/articles/PMC12254439/pdf/\",\"citationCount\":\"0\",\"resultStr\":null,\"platform\":\"Semanticscholar\",\"paperid\":null,\"PeriodicalName\":\"Prenatal Diagnosis\",\"FirstCategoryId\":\"3\",\"ListUrlMain\":\"https://doi.org/10.1002/pd.6814\",\"RegionNum\":2,\"RegionCategory\":\"医学\",\"ArticlePicture\":[],\"TitleCN\":null,\"AbstractTextCN\":null,\"PMCID\":null,\"EPubDate\":\"2025/5/10 0:00:00\",\"PubModel\":\"Epub\",\"JCR\":\"Q2\",\"JCRName\":\"GENETICS & HEREDITY\",\"Score\":null,\"Total\":0}","platform":"Semanticscholar","paperid":null,"PeriodicalName":"Prenatal Diagnosis","FirstCategoryId":"3","ListUrlMain":"https://doi.org/10.1002/pd.6814","RegionNum":2,"RegionCategory":"医学","ArticlePicture":[],"TitleCN":null,"AbstractTextCN":null,"PMCID":null,"EPubDate":"2025/5/10 0:00:00","PubModel":"Epub","JCR":"Q2","JCRName":"GENETICS & HEREDITY","Score":null,"Total":0}
引用次数: 0

摘要

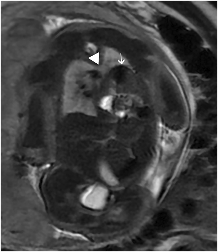
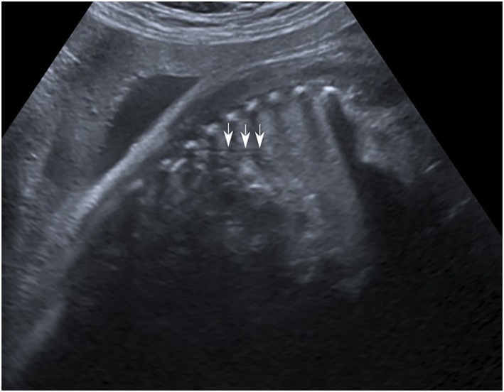
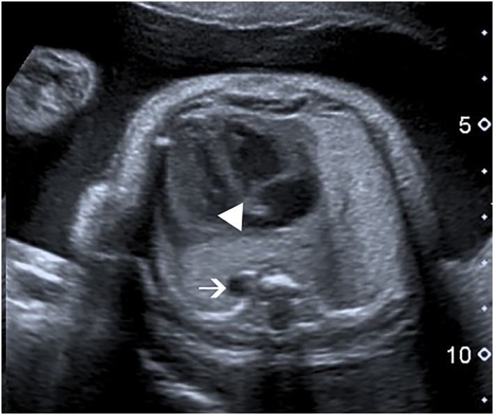
目的:马蹄肺是一种罕见的先天性肺畸形,其肺被实质峡部融合。目前的文献是非常有限的关于产前诊断的情况和他们的结果。方法:回顾性分析2015 ~ 2024年本院产前诊断的3例马蹄肺胎儿。此外,我们使用PubMed检索(MESH检索词:“马蹄肺”,然后“马蹄肺”和“产前”)进行了文献综述。结果:1例经核磁共振诊断,2例经超声诊断,经核磁共振证实。两名患者因膈疝(其中一例为膈囊)被转介到我们的中心。第三个病人是因为左侧有胸主动脉。出生后,诊断为肋部异常,胰腺体和尾部发育不全,并伴有盆腔肾。所有新生儿均出现急性呼吸窘迫;其中两名患者预后良好,第三名患者在出生后几天内死亡。结论:超声可诊断马蹄肺。这种畸形的预后意义尚不清楚,特别是考虑到它与其他异常的频繁关联,这些异常通常是预后的主要决定因素。
本文章由计算机程序翻译,如有差异,请以英文原文为准。

Prenatal Diagnosis of Horseshoe Lung: A Report of Three Cases and Review of the Literature.

Prenatal Diagnosis of Horseshoe Lung: A Report of Three Cases and Review of the Literature.

Prenatal Diagnosis of Horseshoe Lung: A Report of Three Cases and Review of the Literature.

Prenatal Diagnosis of Horseshoe Lung: A Report of Three Cases and Review of the Literature.

Objective: Horseshoe lung is a rare congenital malformation in which the lungs are fused by a parenchymal isthmus. The current literature is very limited regarding cases of prenatal diagnosis and their outcome.

Method: We retrospectively examined three cases of fetuses with horseshoe lung diagnosed antenatally in our center from 2015 to 2024. Additionally, we performed a literature review using a PubMed search (MESH terms: "horseshoe lung" then "horseshoe lung" AND "prenatal").

Results: One case was diagnosed by magnetic resonance imaging (MRI) and two by ultrasound with MRI confirmation. Two patients were referred to our center for diaphragmatic hernia (with a sac in one case). The third patient was referred because of a thoracic aorta on the very left side. After birth, costal anomalies, agenesis of the body and tail of the pancreas, and an associated pelvic kidney were diagnosed. All neonates were presented with acute respiratory distress; two had a favorable outcome, and the third died within the first few days of life.

Conclusion: Horseshoe lung can be diagnosed by ultrasound. The prognostic implications of this malformation remain unclear, particularly given its frequent association with other anomalies, which often are the primary determinants of outcomes.

求助全文
通过发布文献求助,成功后即可免费获取论文全文。 去求助
来源期刊
Prenatal Diagnosis
Prenatal Diagnosis 医学-妇产科学
CiteScore
5.80
自引率
13.30%
发文量
204
审稿时长
2 months
期刊介绍: Prenatal Diagnosis welcomes submissions in all aspects of prenatal diagnosis with a particular focus on areas in which molecular biology and genetics interface with prenatal care and therapy, encompassing: all aspects of fetal imaging, including sonography and magnetic resonance imaging; prenatal cytogenetics, including molecular studies and array CGH; prenatal screening studies; fetal cells and cell-free nucleic acids in maternal blood and other fluids; preimplantation genetic diagnosis (PGD); prenatal diagnosis of single gene disorders, including metabolic disorders; fetal therapy; fetal and placental development and pathology; development and evaluation of laboratory services for prenatal diagnosis; psychosocial, legal, ethical and economic aspects of prenatal diagnosis; prenatal genetic counseling
×
引用
GB/T 7714-2015
复制
MLA
复制
APA
复制
导出至
BibTeX EndNote RefMan NoteFirst NoteExpress
×
提示
您的信息不完整,为了账户安全,请先补充。
现在去补充
×
提示
您因"违规操作"
具体请查看互助需知
我知道了
×
提示
确定
请完成安全验证×
copy
已复制链接
快去分享给好友吧!
我知道了
右上角分享
点击右上角分享
0
联系我们:info@booksci.cn Book学术提供免费学术资源搜索服务,方便国内外学者检索中英文文献。致力于提供最便捷和优质的服务体验。 Copyright © 2023 布克学术 All rights reserved.
京ICP备2023020795号-1
ghs 京公网安备 11010802042870号
Book学术文献互助
Book学术文献互助群
群 号:604180095
Book学术官方微信