胃憩室伪装下的大胃肠道间质瘤:1例报告及文献复习。

IF 0.7 Q4 SURGERY
Surgical Case Reports Pub Date : 2025-01-01 Epub Date: 2025-04-02 DOI:10.70352/scrj.cr.24-0133
Vasileios I Lagopoulos, Eleni Gigi, Stavros Savvakis, Maria Sidiropoulou, Ioannis Gkoutziotis, Panagiotis-Konstantinos Emfietzis
{"title":"胃憩室伪装下的大胃肠道间质瘤:1例报告及文献复习。","authors":"Vasileios I Lagopoulos, Eleni Gigi, Stavros Savvakis, Maria Sidiropoulou, Ioannis Gkoutziotis, Panagiotis-Konstantinos Emfietzis","doi":"10.70352/scrj.cr.24-0133","DOIUrl":null,"url":null,"abstract":"<p><strong>Introduction: </strong>Gastrointestinal stromal tumors (GISTs) are a relatively rare clinical entity. They usually appear as solid masses in numerous locations throughout the gastrointestinal tract, varying in size and typically exhibiting extraluminal expansion along with a range of nonspecific symptoms. The exophytic growth pattern of these tumors may occasionally complicate the differential diagnosis from other medical conditions with similar clinical and imaging findings.</p><p><strong>Case presentation: </strong>We describe a case of a 46-year-old male patient who presented to the emergency department with symptoms of upper gastrointestinal tract hemorrhage. Initial endoscopic findings suggested a large gastric diverticulum. Surprisingly, further investigation with computed tomography and a second endoscopy with biopsy sampling revealed that the stomach wall outpouching was actually a disguised, oversized gastric GIST. The patient underwent a posterior wall sleeve gastrectomy en bloc with the mass, the spleen, and the tail of the pancreas and recovered uneventfully. Daily administration of imatinib as adjuvant therapy was included in the treatment plan. No recurrence was observed even up to the 4-year follow-up period.</p><p><strong>Conclusions: </strong>GISTs are uncommon tumors with the ability to masquerade as gastrointestinal tract diverticula, causing diagnostic confusion. Nevertheless, high clinical suspicion combined with a thorough clinical and imaging evaluation can ultimately lead to the correct diagnosis and an appropriate treatment plan.</p>","PeriodicalId":22096,"journal":{"name":"Surgical Case Reports","volume":"11 1","pages":""},"PeriodicalIF":0.7000,"publicationDate":"2025-01-01","publicationTypes":"Journal Article","fieldsOfStudy":null,"isOpenAccess":false,"openAccessPdf":"https://www.ncbi.nlm.nih.gov/pmc/articles/PMC11994293/pdf/","citationCount":"0","resultStr":"{\"title\":\"A Large Gastrointestinal Stromal Tumor under the Disguise of a Gastric Diverticulum: Report of a Case and Review of the Literature.\",\"authors\":\"Vasileios I Lagopoulos, Eleni Gigi, Stavros Savvakis, Maria Sidiropoulou, Ioannis Gkoutziotis, Panagiotis-Konstantinos Emfietzis\",\"doi\":\"10.70352/scrj.cr.24-0133\",\"DOIUrl\":null,\"url\":null,\"abstract\":\"<p><strong>Introduction: </strong>Gastrointestinal stromal tumors (GISTs) are a relatively rare clinical entity. They usually appear as solid masses in numerous locations throughout the gastrointestinal tract, varying in size and typically exhibiting extraluminal expansion along with a range of nonspecific symptoms. The exophytic growth pattern of these tumors may occasionally complicate the differential diagnosis from other medical conditions with similar clinical and imaging findings.</p><p><strong>Case presentation: </strong>We describe a case of a 46-year-old male patient who presented to the emergency department with symptoms of upper gastrointestinal tract hemorrhage. Initial endoscopic findings suggested a large gastric diverticulum. Surprisingly, further investigation with computed tomography and a second endoscopy with biopsy sampling revealed that the stomach wall outpouching was actually a disguised, oversized gastric GIST. The patient underwent a posterior wall sleeve gastrectomy en bloc with the mass, the spleen, and the tail of the pancreas and recovered uneventfully. Daily administration of imatinib as adjuvant therapy was included in the treatment plan. No recurrence was observed even up to the 4-year follow-up period.</p><p><strong>Conclusions: </strong>GISTs are uncommon tumors with the ability to masquerade as gastrointestinal tract diverticula, causing diagnostic confusion. Nevertheless, high clinical suspicion combined with a thorough clinical and imaging evaluation can ultimately lead to the correct diagnosis and an appropriate treatment plan.</p>\",\"PeriodicalId\":22096,\"journal\":{\"name\":\"Surgical Case Reports\",\"volume\":\"11 1\",\"pages\":\"\"},\"PeriodicalIF\":0.7000,\"publicationDate\":\"2025-01-01\",\"publicationTypes\":\"Journal Article\",\"fieldsOfStudy\":null,\"isOpenAccess\":false,\"openAccessPdf\":\"https://www.ncbi.nlm.nih.gov/pmc/articles/PMC11994293/pdf/\",\"citationCount\":\"0\",\"resultStr\":null,\"platform\":\"Semanticscholar\",\"paperid\":null,\"PeriodicalName\":\"Surgical Case Reports\",\"FirstCategoryId\":\"1085\",\"ListUrlMain\":\"https://doi.org/10.70352/scrj.cr.24-0133\",\"RegionNum\":0,\"RegionCategory\":null,\"ArticlePicture\":[],\"TitleCN\":null,\"AbstractTextCN\":null,\"PMCID\":null,\"EPubDate\":\"2025/4/2 0:00:00\",\"PubModel\":\"Epub\",\"JCR\":\"Q4\",\"JCRName\":\"SURGERY\",\"Score\":null,\"Total\":0}","platform":"Semanticscholar","paperid":null,"PeriodicalName":"Surgical Case Reports","FirstCategoryId":"1085","ListUrlMain":"https://doi.org/10.70352/scrj.cr.24-0133","RegionNum":0,"RegionCategory":null,"ArticlePicture":[],"TitleCN":null,"AbstractTextCN":null,"PMCID":null,"EPubDate":"2025/4/2 0:00:00","PubModel":"Epub","JCR":"Q4","JCRName":"SURGERY","Score":null,"Total":0}
引用次数: 0

摘要

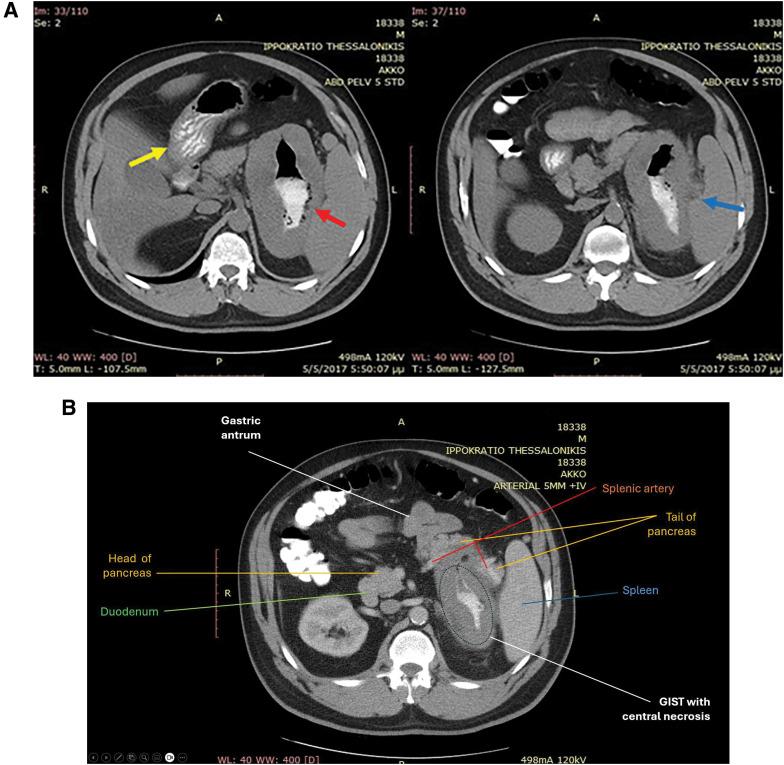
胃肠道间质瘤(gist)是一种较为罕见的临床肿瘤。它们通常表现为实性肿块,分布于胃肠道各处,大小不一,典型表现为腔外扩张,并伴有一系列非特异性症状。这些肿瘤的外生生长模式有时会使其与其他具有类似临床和影像学表现的疾病的鉴别诊断复杂化。病例介绍:我们描述了一个病例46岁的男性患者谁提出了上消化道出血的症状急诊科。初步内窥镜检查显示胃憩室很大。令人惊讶的是,进一步的计算机断层扫描和第二次内镜活检显示,胃壁突出实际上是一个伪装的,过大的胃间质瘤。患者接受了后壁套筒胃切除术,包括肿块、脾脏和胰腺尾部,并顺利恢复。每日给予伊马替尼作为辅助治疗纳入治疗计划。随访4年未见复发。结论:胃肠道间质瘤是一种罕见的肿瘤,可伪装成胃肠道憩室,易引起诊断混淆。然而,高度的临床怀疑结合彻底的临床和影像学评估可以最终导致正确的诊断和适当的治疗方案。
本文章由计算机程序翻译,如有差异,请以英文原文为准。

A Large Gastrointestinal Stromal Tumor under the Disguise of a Gastric Diverticulum: Report of a Case and Review of the Literature.

A Large Gastrointestinal Stromal Tumor under the Disguise of a Gastric Diverticulum: Report of a Case and Review of the Literature.

A Large Gastrointestinal Stromal Tumor under the Disguise of a Gastric Diverticulum: Report of a Case and Review of the Literature.

A Large Gastrointestinal Stromal Tumor under the Disguise of a Gastric Diverticulum: Report of a Case and Review of the Literature.

Introduction: Gastrointestinal stromal tumors (GISTs) are a relatively rare clinical entity. They usually appear as solid masses in numerous locations throughout the gastrointestinal tract, varying in size and typically exhibiting extraluminal expansion along with a range of nonspecific symptoms. The exophytic growth pattern of these tumors may occasionally complicate the differential diagnosis from other medical conditions with similar clinical and imaging findings.

Case presentation: We describe a case of a 46-year-old male patient who presented to the emergency department with symptoms of upper gastrointestinal tract hemorrhage. Initial endoscopic findings suggested a large gastric diverticulum. Surprisingly, further investigation with computed tomography and a second endoscopy with biopsy sampling revealed that the stomach wall outpouching was actually a disguised, oversized gastric GIST. The patient underwent a posterior wall sleeve gastrectomy en bloc with the mass, the spleen, and the tail of the pancreas and recovered uneventfully. Daily administration of imatinib as adjuvant therapy was included in the treatment plan. No recurrence was observed even up to the 4-year follow-up period.

Conclusions: GISTs are uncommon tumors with the ability to masquerade as gastrointestinal tract diverticula, causing diagnostic confusion. Nevertheless, high clinical suspicion combined with a thorough clinical and imaging evaluation can ultimately lead to the correct diagnosis and an appropriate treatment plan.

求助全文
通过发布文献求助,成功后即可免费获取论文全文。 去求助
来源期刊
自引率
0.00%
发文量
218
审稿时长
13 weeks
×
引用
GB/T 7714-2015
复制
MLA
复制
APA
复制
导出至
BibTeX EndNote RefMan NoteFirst NoteExpress
×
提示
您的信息不完整,为了账户安全,请先补充。
现在去补充
×
提示
您因"违规操作"
具体请查看互助需知
我知道了
×
提示
确定
请完成安全验证×
copy
已复制链接
快去分享给好友吧!
我知道了
右上角分享
点击右上角分享
0
联系我们:info@booksci.cn Book学术提供免费学术资源搜索服务,方便国内外学者检索中英文文献。致力于提供最便捷和优质的服务体验。 Copyright © 2023 布克学术 All rights reserved.
京ICP备2023020795号-1
ghs 京公网安备 11010802042870号
Book学术文献互助
Book学术文献互助群
群 号:604180095
Book学术官方微信