辐射致小脑海绵状畸形2例临床分析。

Hyoung Soo Choi, Chae-Yong Kim, Byung Se Choi, Seung Hyuck Jeon, In Ah Kim, Joo-Young Kim, Kyu Sang Lee, Gheeyoung Choe
{"title":"辐射致小脑海绵状畸形2例临床分析。","authors":"Hyoung Soo Choi, Chae-Yong Kim, Byung Se Choi, Seung Hyuck Jeon, In Ah Kim, Joo-Young Kim, Kyu Sang Lee, Gheeyoung Choe","doi":"10.14791/btrt.2025.0003","DOIUrl":null,"url":null,"abstract":"<p><p>Radiation-induced cavernous malformations (RICMs) are rare but significant late complications of high-dose radiation therapy, particularly in young survivors of brain tumors. This report presents two cases of RICMs following aggressive multimodal treatment, including surgery, chemotherapy, and radiation therapy. Case 1 was a 22-year-old male patient with medulloblastoma treated with craniospinal irradiation, tumor bed boost, and tandem autologous peripheral blood stem cell transplantation. Approximately 8 years after treatment completion, routine follow-up imaging revealed a small focal hemorrhage in the right cerebellum, consistent with an RICM. The lesion was asymptomatic and managed conservatively with regular imaging, showing spontaneous resolution over time, with a significant size reduction noted 9 years post-treatment. Case 2 describes a 32-year-old male with an intracranial germinoma treated with whole-ventricular irradiation. Three years after treatment, the patient developed a symptomatic hemorrhagic RICM near a pre-existing developmental venous anomaly. Surgical resection and Gamma Knife Surgery stabilized the lesion; however, residual symptoms, including tremors and gait disturbances, persisted, affecting the patient's daily activities. These cases illustrate the diverse clinical courses of RICMs, ranging from spontaneous resolution to the necessity of surgical intervention, and emphasize the importance of long-term surveillance and tailored management strategies for late-onset complications.</p>","PeriodicalId":72453,"journal":{"name":"Brain tumor research and treatment","volume":"13 2","pages":"58-64"},"PeriodicalIF":0.0000,"publicationDate":"2025-04-01","publicationTypes":"Journal Article","fieldsOfStudy":null,"isOpenAccess":false,"openAccessPdf":"https://www.ncbi.nlm.nih.gov/pmc/articles/PMC12070075/pdf/","citationCount":"0","resultStr":"{\"title\":\"Radiation-Induced Cavernous Malformation in the Cerebellum: Clinical Features of Two Cases.\",\"authors\":\"Hyoung Soo Choi, Chae-Yong Kim, Byung Se Choi, Seung Hyuck Jeon, In Ah Kim, Joo-Young Kim, Kyu Sang Lee, Gheeyoung Choe\",\"doi\":\"10.14791/btrt.2025.0003\",\"DOIUrl\":null,\"url\":null,\"abstract\":\"<p><p>Radiation-induced cavernous malformations (RICMs) are rare but significant late complications of high-dose radiation therapy, particularly in young survivors of brain tumors. This report presents two cases of RICMs following aggressive multimodal treatment, including surgery, chemotherapy, and radiation therapy. Case 1 was a 22-year-old male patient with medulloblastoma treated with craniospinal irradiation, tumor bed boost, and tandem autologous peripheral blood stem cell transplantation. Approximately 8 years after treatment completion, routine follow-up imaging revealed a small focal hemorrhage in the right cerebellum, consistent with an RICM. The lesion was asymptomatic and managed conservatively with regular imaging, showing spontaneous resolution over time, with a significant size reduction noted 9 years post-treatment. Case 2 describes a 32-year-old male with an intracranial germinoma treated with whole-ventricular irradiation. Three years after treatment, the patient developed a symptomatic hemorrhagic RICM near a pre-existing developmental venous anomaly. Surgical resection and Gamma Knife Surgery stabilized the lesion; however, residual symptoms, including tremors and gait disturbances, persisted, affecting the patient's daily activities. These cases illustrate the diverse clinical courses of RICMs, ranging from spontaneous resolution to the necessity of surgical intervention, and emphasize the importance of long-term surveillance and tailored management strategies for late-onset complications.</p>\",\"PeriodicalId\":72453,\"journal\":{\"name\":\"Brain tumor research and treatment\",\"volume\":\"13 2\",\"pages\":\"58-64\"},\"PeriodicalIF\":0.0000,\"publicationDate\":\"2025-04-01\",\"publicationTypes\":\"Journal Article\",\"fieldsOfStudy\":null,\"isOpenAccess\":false,\"openAccessPdf\":\"https://www.ncbi.nlm.nih.gov/pmc/articles/PMC12070075/pdf/\",\"citationCount\":\"0\",\"resultStr\":null,\"platform\":\"Semanticscholar\",\"paperid\":null,\"PeriodicalName\":\"Brain tumor research and treatment\",\"FirstCategoryId\":\"1085\",\"ListUrlMain\":\"https://doi.org/10.14791/btrt.2025.0003\",\"RegionNum\":0,\"RegionCategory\":null,\"ArticlePicture\":[],\"TitleCN\":null,\"AbstractTextCN\":null,\"PMCID\":null,\"EPubDate\":\"\",\"PubModel\":\"\",\"JCR\":\"\",\"JCRName\":\"\",\"Score\":null,\"Total\":0}","platform":"Semanticscholar","paperid":null,"PeriodicalName":"Brain tumor research and treatment","FirstCategoryId":"1085","ListUrlMain":"https://doi.org/10.14791/btrt.2025.0003","RegionNum":0,"RegionCategory":null,"ArticlePicture":[],"TitleCN":null,"AbstractTextCN":null,"PMCID":null,"EPubDate":"","PubModel":"","JCR":"","JCRName":"","Score":null,"Total":0}
引用次数: 0

摘要

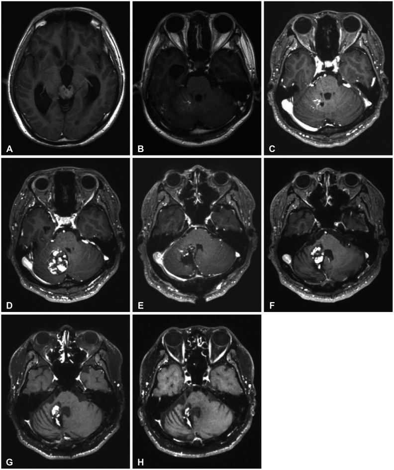
辐射诱发海绵体畸形(RICMs)是高剂量放射治疗的罕见但重要的晚期并发症,特别是在年轻的脑肿瘤幸存者中。本报告报告了两例经积极多模式治疗的RICMs,包括手术、化疗和放疗。病例1是一名22岁男性髓母细胞瘤患者,接受颅脊髓照射、肿瘤床增强和串联自体外周血干细胞移植治疗。治疗完成约8年后,常规随访影像学显示右侧小脑局灶性小出血,符合RICM。该病变无症状,采用常规影像学保守治疗,随着时间的推移显示自发消退,治疗后9年显著缩小。病例2描述了一名32岁男性颅内生殖细胞瘤接受全心室照射治疗。治疗三年后,患者在已存在的发育性静脉异常附近出现了症状性出血性RICM。手术切除和伽玛刀手术稳定病变;然而,残余症状,包括震颤和步态障碍,持续存在,影响患者的日常活动。这些病例说明了RICMs的不同临床过程,从自发消退到手术干预的必要性,并强调了长期监测和针对晚发性并发症的量身定制管理策略的重要性。
本文章由计算机程序翻译,如有差异,请以英文原文为准。

Radiation-Induced Cavernous Malformation in the Cerebellum: Clinical Features of Two Cases.

Radiation-Induced Cavernous Malformation in the Cerebellum: Clinical Features of Two Cases.

Radiation-Induced Cavernous Malformation in the Cerebellum: Clinical Features of Two Cases.

Radiation-Induced Cavernous Malformation in the Cerebellum: Clinical Features of Two Cases.

Radiation-induced cavernous malformations (RICMs) are rare but significant late complications of high-dose radiation therapy, particularly in young survivors of brain tumors. This report presents two cases of RICMs following aggressive multimodal treatment, including surgery, chemotherapy, and radiation therapy. Case 1 was a 22-year-old male patient with medulloblastoma treated with craniospinal irradiation, tumor bed boost, and tandem autologous peripheral blood stem cell transplantation. Approximately 8 years after treatment completion, routine follow-up imaging revealed a small focal hemorrhage in the right cerebellum, consistent with an RICM. The lesion was asymptomatic and managed conservatively with regular imaging, showing spontaneous resolution over time, with a significant size reduction noted 9 years post-treatment. Case 2 describes a 32-year-old male with an intracranial germinoma treated with whole-ventricular irradiation. Three years after treatment, the patient developed a symptomatic hemorrhagic RICM near a pre-existing developmental venous anomaly. Surgical resection and Gamma Knife Surgery stabilized the lesion; however, residual symptoms, including tremors and gait disturbances, persisted, affecting the patient's daily activities. These cases illustrate the diverse clinical courses of RICMs, ranging from spontaneous resolution to the necessity of surgical intervention, and emphasize the importance of long-term surveillance and tailored management strategies for late-onset complications.

求助全文
通过发布文献求助,成功后即可免费获取论文全文。 去求助
来源期刊
自引率
0.00%
发文量
0
×
引用
GB/T 7714-2015
复制
MLA
复制
APA
复制
导出至
BibTeX EndNote RefMan NoteFirst NoteExpress
×
提示
您的信息不完整,为了账户安全,请先补充。
现在去补充
×
提示
您因"违规操作"
具体请查看互助需知
我知道了
×
提示
确定
请完成安全验证×
copy
已复制链接
快去分享给好友吧!
我知道了
右上角分享
点击右上角分享
0
联系我们:info@booksci.cn Book学术提供免费学术资源搜索服务,方便国内外学者检索中英文文献。致力于提供最便捷和优质的服务体验。 Copyright © 2023 布克学术 All rights reserved.
京ICP备2023020795号-1
ghs 京公网安备 11010802042870号
Book学术文献互助
Book学术文献互助群
群 号:604180095
Book学术官方微信