酪氨酸激酶抑制剂奥西替尼和厄洛替尼治疗egfr突变肺腺癌患者失败:一例报告。

IF 0.7 Q3 MEDICINE, GENERAL & INTERNAL
AME Case Reports Pub Date : 2025-04-11 eCollection Date: 2025-01-01 DOI:10.21037/acr-24-122
Malik W Z Khan, Muhammad Ahmad, Salma Qudrat, Long Tu, Salman Khan, Ekrem Yetiskul, Samra Iftikhar
{"title":"酪氨酸激酶抑制剂奥西替尼和厄洛替尼治疗egfr突变肺腺癌患者失败:一例报告。","authors":"Malik W Z Khan, Muhammad Ahmad, Salma Qudrat, Long Tu, Salman Khan, Ekrem Yetiskul, Samra Iftikhar","doi":"10.21037/acr-24-122","DOIUrl":null,"url":null,"abstract":"<p><strong>Background: </strong>Lung adenocarcinoma, a type of non-small cell lung cancer (NSCLC), is the most common type of lung cancer among non-smokers. Lung adenocarcinoma in exon 19 deletion (E19del) mutation-positive cases respond well to treatment with tyrosine kinase inhibitors (TKIs). Our case demonstrates the development of resistance to first- and third-generation TKIs in a 48-year-old woman with epidermal growth factor receptor (EGFR) mutation-positive advanced NSCLC.</p><p><strong>Case description: </strong>A 48 years old woman with no smoking history and no family history of cancer was diagnosed with EGFR mutation-positive advanced lung adenocarcinoma. Molecular analysis indicated a positive EGFR E19del mutation and a positive T790M mutation, and after two rounds of chemotherapy, the patient was treated with osimertinib for 2 years. However, the patient started to experience recurring chest discomfort, dyspnea, insomnia, and bone pain while being treated. A whole-body computed tomography (CT) scan at that time revealed metastasis of the tumor to the paraaortic lymph nodes and lumbar spine. A repeat analysis revealed that the T790M mutation had disappeared while other mutations remained unchanged, and she was switched to erlotinib as per the evidence for the use of erlotinib in osimertinib-resistant lung cancer. The patient developed cutaneous adverse reactions and, although her symptoms subsided initially for 6 months, she developed morning headaches and worsening insomnia. A repeat magnetic resonance imaging (MRI) revealed metastasis to the frontal and occipital lobes of her brain, indicating failure of erlotinib treatment.</p><p><strong>Conclusions: </strong>Resistance development to TKIs poses a significant challenge to the treatment of EGFR mutation-positive advanced lung adenocarcinoma, owing to the scarce availability of further pharmacological agents post-TKIs. This case illustrates the significance of prompt recognition of resistance to erlotinib and osimertinib and highlights the importance of further research to prevent treatment failure and hence, to deter metastatic progression of the tumor in patients with advanced NSCLC.</p>","PeriodicalId":29752,"journal":{"name":"AME Case Reports","volume":"9 ","pages":"53"},"PeriodicalIF":0.7000,"publicationDate":"2025-04-11","publicationTypes":"Journal Article","fieldsOfStudy":null,"isOpenAccess":false,"openAccessPdf":"https://www.ncbi.nlm.nih.gov/pmc/articles/PMC12053439/pdf/","citationCount":"0","resultStr":"{\"title\":\"Failure of the tyrosine kinase inhibitors osimertinib and erlotinib to manage a patient with EGFR-mutant lung adenocarcinoma: a case report.\",\"authors\":\"Malik W Z Khan, Muhammad Ahmad, Salma Qudrat, Long Tu, Salman Khan, Ekrem Yetiskul, Samra Iftikhar\",\"doi\":\"10.21037/acr-24-122\",\"DOIUrl\":null,\"url\":null,\"abstract\":\"<p><strong>Background: </strong>Lung adenocarcinoma, a type of non-small cell lung cancer (NSCLC), is the most common type of lung cancer among non-smokers. Lung adenocarcinoma in exon 19 deletion (E19del) mutation-positive cases respond well to treatment with tyrosine kinase inhibitors (TKIs). Our case demonstrates the development of resistance to first- and third-generation TKIs in a 48-year-old woman with epidermal growth factor receptor (EGFR) mutation-positive advanced NSCLC.</p><p><strong>Case description: </strong>A 48 years old woman with no smoking history and no family history of cancer was diagnosed with EGFR mutation-positive advanced lung adenocarcinoma. Molecular analysis indicated a positive EGFR E19del mutation and a positive T790M mutation, and after two rounds of chemotherapy, the patient was treated with osimertinib for 2 years. However, the patient started to experience recurring chest discomfort, dyspnea, insomnia, and bone pain while being treated. A whole-body computed tomography (CT) scan at that time revealed metastasis of the tumor to the paraaortic lymph nodes and lumbar spine. A repeat analysis revealed that the T790M mutation had disappeared while other mutations remained unchanged, and she was switched to erlotinib as per the evidence for the use of erlotinib in osimertinib-resistant lung cancer. The patient developed cutaneous adverse reactions and, although her symptoms subsided initially for 6 months, she developed morning headaches and worsening insomnia. A repeat magnetic resonance imaging (MRI) revealed metastasis to the frontal and occipital lobes of her brain, indicating failure of erlotinib treatment.</p><p><strong>Conclusions: </strong>Resistance development to TKIs poses a significant challenge to the treatment of EGFR mutation-positive advanced lung adenocarcinoma, owing to the scarce availability of further pharmacological agents post-TKIs. This case illustrates the significance of prompt recognition of resistance to erlotinib and osimertinib and highlights the importance of further research to prevent treatment failure and hence, to deter metastatic progression of the tumor in patients with advanced NSCLC.</p>\",\"PeriodicalId\":29752,\"journal\":{\"name\":\"AME Case Reports\",\"volume\":\"9 \",\"pages\":\"53\"},\"PeriodicalIF\":0.7000,\"publicationDate\":\"2025-04-11\",\"publicationTypes\":\"Journal Article\",\"fieldsOfStudy\":null,\"isOpenAccess\":false,\"openAccessPdf\":\"https://www.ncbi.nlm.nih.gov/pmc/articles/PMC12053439/pdf/\",\"citationCount\":\"0\",\"resultStr\":null,\"platform\":\"Semanticscholar\",\"paperid\":null,\"PeriodicalName\":\"AME Case Reports\",\"FirstCategoryId\":\"1085\",\"ListUrlMain\":\"https://doi.org/10.21037/acr-24-122\",\"RegionNum\":0,\"RegionCategory\":null,\"ArticlePicture\":[],\"TitleCN\":null,\"AbstractTextCN\":null,\"PMCID\":null,\"EPubDate\":\"2025/1/1 0:00:00\",\"PubModel\":\"eCollection\",\"JCR\":\"Q3\",\"JCRName\":\"MEDICINE, GENERAL & INTERNAL\",\"Score\":null,\"Total\":0}","platform":"Semanticscholar","paperid":null,"PeriodicalName":"AME Case Reports","FirstCategoryId":"1085","ListUrlMain":"https://doi.org/10.21037/acr-24-122","RegionNum":0,"RegionCategory":null,"ArticlePicture":[],"TitleCN":null,"AbstractTextCN":null,"PMCID":null,"EPubDate":"2025/1/1 0:00:00","PubModel":"eCollection","JCR":"Q3","JCRName":"MEDICINE, GENERAL & INTERNAL","Score":null,"Total":0}
引用次数: 0

摘要

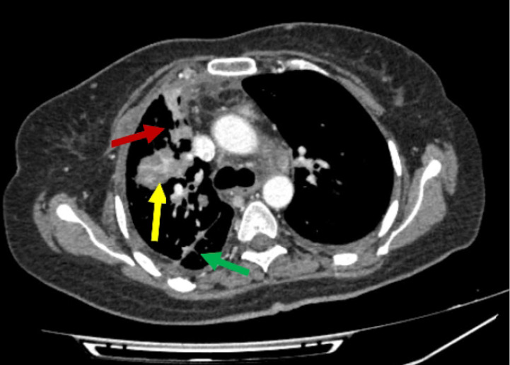
背景:肺腺癌是非小细胞肺癌(NSCLC)的一种,是非吸烟者中最常见的肺癌类型。肺腺癌外显子19缺失(E19del)突变阳性病例对酪氨酸激酶抑制剂(TKIs)治疗反应良好。我们的病例显示了一位48岁的表皮生长因子受体(EGFR)突变阳性的晚期NSCLC患者对第一代和第三代TKIs的耐药性。病例描述:48岁女性,无吸烟史,无癌症家族史,被诊断为EGFR突变阳性晚期肺腺癌。分子分析提示EGFR E19del突变阳性,T790M突变阳性,经2轮化疗后,患者接受奥希替尼治疗2年。然而,在治疗期间,患者开始反复出现胸部不适、呼吸困难、失眠和骨痛。当时的全身计算机断层扫描(CT)显示肿瘤转移到主动脉旁淋巴结和腰椎。重复分析显示,T790M突变消失,而其他突变保持不变,根据厄洛替尼治疗奥西替尼耐药肺癌的证据,她改用厄洛替尼。患者出现皮肤不良反应,虽然症状最初缓解了6个月,但她出现早晨头痛和失眠加重。重复磁共振成像(MRI)显示转移到她的大脑额叶和枕叶,表明厄洛替尼治疗失败。结论:TKIs耐药性的发展对EGFR突变阳性晚期肺腺癌的治疗提出了重大挑战,因为TKIs后缺乏进一步的药物可用性。该病例说明了及时识别厄洛替尼和奥西替尼耐药的重要性,并强调了进一步研究防止治疗失败的重要性,从而阻止晚期NSCLC患者的肿瘤转移进展。
本文章由计算机程序翻译,如有差异,请以英文原文为准。

Failure of the tyrosine kinase inhibitors osimertinib and erlotinib to manage a patient with EGFR-mutant lung adenocarcinoma: a case report.

Failure of the tyrosine kinase inhibitors osimertinib and erlotinib to manage a patient with EGFR-mutant lung adenocarcinoma: a case report.

Failure of the tyrosine kinase inhibitors osimertinib and erlotinib to manage a patient with EGFR-mutant lung adenocarcinoma: a case report.

Background: Lung adenocarcinoma, a type of non-small cell lung cancer (NSCLC), is the most common type of lung cancer among non-smokers. Lung adenocarcinoma in exon 19 deletion (E19del) mutation-positive cases respond well to treatment with tyrosine kinase inhibitors (TKIs). Our case demonstrates the development of resistance to first- and third-generation TKIs in a 48-year-old woman with epidermal growth factor receptor (EGFR) mutation-positive advanced NSCLC.

Case description: A 48 years old woman with no smoking history and no family history of cancer was diagnosed with EGFR mutation-positive advanced lung adenocarcinoma. Molecular analysis indicated a positive EGFR E19del mutation and a positive T790M mutation, and after two rounds of chemotherapy, the patient was treated with osimertinib for 2 years. However, the patient started to experience recurring chest discomfort, dyspnea, insomnia, and bone pain while being treated. A whole-body computed tomography (CT) scan at that time revealed metastasis of the tumor to the paraaortic lymph nodes and lumbar spine. A repeat analysis revealed that the T790M mutation had disappeared while other mutations remained unchanged, and she was switched to erlotinib as per the evidence for the use of erlotinib in osimertinib-resistant lung cancer. The patient developed cutaneous adverse reactions and, although her symptoms subsided initially for 6 months, she developed morning headaches and worsening insomnia. A repeat magnetic resonance imaging (MRI) revealed metastasis to the frontal and occipital lobes of her brain, indicating failure of erlotinib treatment.

Conclusions: Resistance development to TKIs poses a significant challenge to the treatment of EGFR mutation-positive advanced lung adenocarcinoma, owing to the scarce availability of further pharmacological agents post-TKIs. This case illustrates the significance of prompt recognition of resistance to erlotinib and osimertinib and highlights the importance of further research to prevent treatment failure and hence, to deter metastatic progression of the tumor in patients with advanced NSCLC.

求助全文
通过发布文献求助,成功后即可免费获取论文全文。 去求助
来源期刊
自引率
0.00%
发文量
0
×
引用
GB/T 7714-2015
复制
MLA
复制
APA
复制
导出至
BibTeX EndNote RefMan NoteFirst NoteExpress
×
提示
您的信息不完整,为了账户安全,请先补充。
现在去补充
×
提示
您因"违规操作"
具体请查看互助需知
我知道了
×
提示
确定
请完成安全验证×
copy
已复制链接
快去分享给好友吧!
我知道了
右上角分享
点击右上角分享
0
联系我们:info@booksci.cn Book学术提供免费学术资源搜索服务,方便国内外学者检索中英文文献。致力于提供最便捷和优质的服务体验。 Copyright © 2023 布克学术 All rights reserved.
京ICP备2023020795号-1
ghs 京公网安备 11010802042870号
Book学术文献互助
Book学术文献互助群
群 号:604180095
Book学术官方微信