阿喀琉叶治疗局部出血的安全性及止血效果。

IF 2.1 Q4 GASTROENTEROLOGY & HEPATOLOGY
Hepatology Forum Pub Date : 2024-03-22 eCollection Date: 2025-01-01 DOI:10.14744/hf.2022.2022.0041b
Amin Bagheri, Gholamreza Amin, Seyed Mohammad Tavangar, Matineh Heidari, Jamshid Bagheri
{"title":"阿喀琉叶治疗局部出血的安全性及止血效果。","authors":"Amin Bagheri, Gholamreza Amin, Seyed Mohammad Tavangar, Matineh Heidari, Jamshid Bagheri","doi":"10.14744/hf.2022.2022.0041b","DOIUrl":null,"url":null,"abstract":"<p><strong>Background and aim: </strong>The objectives of the study were to present the hemostatic effect of hydroalcoholic extract of <i>Achillea millefolium</i> L. in localized bleeding and to evaluate the safety of this plant after topical usage in rat's liver.</p><p><strong>Materials and methods: </strong>The aerial parts of this plant were macerated for 2 days using methanol. After anesthesia and laparotomy of 12 female Wistar rats (120-220 g), the liver was exposed and two incisions were performed for bleeding. One was packed by sponge with <i>A. millefolium</i> and another without <i>A. millefolium</i> as a control group. Animals were divided into two groups that <i>A. millefolium</i> (150 mg/kg) was used in the first incision for one group and in the second incision for another. Liver biopsy was taken after 4, 6, and 8 weeks.</p><p><strong>Results: </strong>We observed that usage of <i>A. millefolium</i> for liver incisions, either in the first incision or in the second incision; bleeding time decreases significantly (36.1% and 31.9%, respectively). Histopathological evaluations revealed no signs of toxic and hepatic damage for periods 4, 6, and 8 weeks in the female rats.</p><p><strong>Conclusion: </strong>This study confirmed the hemostatic effect of hydroalcoholic extract of <i>A. millefolium</i> in localized bleeding and also the safety of this plant for topical usage.</p>","PeriodicalId":29722,"journal":{"name":"Hepatology Forum","volume":"6 1","pages":"1-4"},"PeriodicalIF":2.1000,"publicationDate":"2024-03-22","publicationTypes":"Journal Article","fieldsOfStudy":null,"isOpenAccess":false,"openAccessPdf":"https://www.ncbi.nlm.nih.gov/pmc/articles/PMC12008460/pdf/","citationCount":"0","resultStr":"{\"title\":\"Safety and hemostatic effect of <i>Achillea millefolium</i> L. in localized bleeding.\",\"authors\":\"Amin Bagheri, Gholamreza Amin, Seyed Mohammad Tavangar, Matineh Heidari, Jamshid Bagheri\",\"doi\":\"10.14744/hf.2022.2022.0041b\",\"DOIUrl\":null,\"url\":null,\"abstract\":\"<p><strong>Background and aim: </strong>The objectives of the study were to present the hemostatic effect of hydroalcoholic extract of <i>Achillea millefolium</i> L. in localized bleeding and to evaluate the safety of this plant after topical usage in rat's liver.</p><p><strong>Materials and methods: </strong>The aerial parts of this plant were macerated for 2 days using methanol. After anesthesia and laparotomy of 12 female Wistar rats (120-220 g), the liver was exposed and two incisions were performed for bleeding. One was packed by sponge with <i>A. millefolium</i> and another without <i>A. millefolium</i> as a control group. Animals were divided into two groups that <i>A. millefolium</i> (150 mg/kg) was used in the first incision for one group and in the second incision for another. Liver biopsy was taken after 4, 6, and 8 weeks.</p><p><strong>Results: </strong>We observed that usage of <i>A. millefolium</i> for liver incisions, either in the first incision or in the second incision; bleeding time decreases significantly (36.1% and 31.9%, respectively). Histopathological evaluations revealed no signs of toxic and hepatic damage for periods 4, 6, and 8 weeks in the female rats.</p><p><strong>Conclusion: </strong>This study confirmed the hemostatic effect of hydroalcoholic extract of <i>A. millefolium</i> in localized bleeding and also the safety of this plant for topical usage.</p>\",\"PeriodicalId\":29722,\"journal\":{\"name\":\"Hepatology Forum\",\"volume\":\"6 1\",\"pages\":\"1-4\"},\"PeriodicalIF\":2.1000,\"publicationDate\":\"2024-03-22\",\"publicationTypes\":\"Journal Article\",\"fieldsOfStudy\":null,\"isOpenAccess\":false,\"openAccessPdf\":\"https://www.ncbi.nlm.nih.gov/pmc/articles/PMC12008460/pdf/\",\"citationCount\":\"0\",\"resultStr\":null,\"platform\":\"Semanticscholar\",\"paperid\":null,\"PeriodicalName\":\"Hepatology Forum\",\"FirstCategoryId\":\"1085\",\"ListUrlMain\":\"https://doi.org/10.14744/hf.2022.2022.0041b\",\"RegionNum\":0,\"RegionCategory\":null,\"ArticlePicture\":[],\"TitleCN\":null,\"AbstractTextCN\":null,\"PMCID\":null,\"EPubDate\":\"2025/1/1 0:00:00\",\"PubModel\":\"eCollection\",\"JCR\":\"Q4\",\"JCRName\":\"GASTROENTEROLOGY & HEPATOLOGY\",\"Score\":null,\"Total\":0}","platform":"Semanticscholar","paperid":null,"PeriodicalName":"Hepatology Forum","FirstCategoryId":"1085","ListUrlMain":"https://doi.org/10.14744/hf.2022.2022.0041b","RegionNum":0,"RegionCategory":null,"ArticlePicture":[],"TitleCN":null,"AbstractTextCN":null,"PMCID":null,"EPubDate":"2025/1/1 0:00:00","PubModel":"eCollection","JCR":"Q4","JCRName":"GASTROENTEROLOGY & HEPATOLOGY","Score":null,"Total":0}
引用次数: 0

摘要

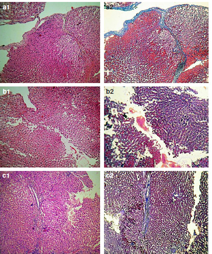
背景与目的:研究千叶水合醇提取物对大鼠局部出血的止血作用,并评价该植物局部应用于大鼠肝脏后的安全性。材料和方法:将该植物的空中部分用甲醇浸泡2天。12只雌性Wistar大鼠(120 ~ 220 g)麻醉开腹后,显露肝脏,开2个切口出血。一组用海绵包装千叶草,另一组不包装千叶草。将动物分为两组,一组在第一切口使用千叶(150 mg/kg),另一组在第二切口使用千叶。4、6、8周后分别行肝活检。结果:我们观察到千叶在肝脏切口的使用,无论是在第一切口还是在第二切口;出血时间明显缩短(分别为36.1%和31.9%)。组织病理学评估显示,雌性大鼠在第4,6和8周没有出现毒性和肝损伤的迹象。结论:本研究证实了千叶水醇提取物对局部出血的止血作用,同时也证实了千叶外用的安全性。
本文章由计算机程序翻译,如有差异,请以英文原文为准。

Safety and hemostatic effect of <i>Achillea millefolium</i> L. in localized bleeding.

Safety and hemostatic effect of <i>Achillea millefolium</i> L. in localized bleeding.

Safety and hemostatic effect of Achillea millefolium L. in localized bleeding.

Background and aim: The objectives of the study were to present the hemostatic effect of hydroalcoholic extract of Achillea millefolium L. in localized bleeding and to evaluate the safety of this plant after topical usage in rat's liver.

Materials and methods: The aerial parts of this plant were macerated for 2 days using methanol. After anesthesia and laparotomy of 12 female Wistar rats (120-220 g), the liver was exposed and two incisions were performed for bleeding. One was packed by sponge with A. millefolium and another without A. millefolium as a control group. Animals were divided into two groups that A. millefolium (150 mg/kg) was used in the first incision for one group and in the second incision for another. Liver biopsy was taken after 4, 6, and 8 weeks.

Results: We observed that usage of A. millefolium for liver incisions, either in the first incision or in the second incision; bleeding time decreases significantly (36.1% and 31.9%, respectively). Histopathological evaluations revealed no signs of toxic and hepatic damage for periods 4, 6, and 8 weeks in the female rats.

Conclusion: This study confirmed the hemostatic effect of hydroalcoholic extract of A. millefolium in localized bleeding and also the safety of this plant for topical usage.

求助全文
通过发布文献求助,成功后即可免费获取论文全文。 去求助
来源期刊
CiteScore
1.90
自引率
12.50%
发文量
0
×
引用
GB/T 7714-2015
复制
MLA
复制
APA
复制
导出至
BibTeX EndNote RefMan NoteFirst NoteExpress
×
提示
您的信息不完整,为了账户安全,请先补充。
现在去补充
×
提示
您因"违规操作"
具体请查看互助需知
我知道了
×
提示
确定
请完成安全验证×
copy
已复制链接
快去分享给好友吧!
我知道了
右上角分享
点击右上角分享
0
联系我们:info@booksci.cn Book学术提供免费学术资源搜索服务,方便国内外学者检索中英文文献。致力于提供最便捷和优质的服务体验。 Copyright © 2023 布克学术 All rights reserved.
京ICP备2023020795号-1
ghs 京公网安备 11010802042870号
Book学术文献互助
Book学术文献互助群
群 号:604180095
Book学术官方微信