使用女性衬垫的创新无创HPV筛查:一项增强宫颈癌检测的试点研究。

IF 1.3 Q3 OBSTETRICS & GYNECOLOGY
Obstetrics and Gynecology International Pub Date : 2025-04-28 eCollection Date: 2025-01-01 DOI:10.1155/ogi/9344596
Rodrigo Aldariz-Amaya, Miriam Rodríguez-Esquivel, Alfonso Ruiz-Romero, Fernanda Anthor, Emmanuel Mares, Angélica Flores-Martínez, Edgar Alejandro Gómez-Villa, Marco Antonio Fuentes-Garcia, Teresa Apresa-García, Ricardo López-Romero, Emmanuel Salcedo, María de Jesús Nambo-Lucio, Mauricio Salcedo
{"title":"使用女性衬垫的创新无创HPV筛查:一项增强宫颈癌检测的试点研究。","authors":"Rodrigo Aldariz-Amaya, Miriam Rodríguez-Esquivel, Alfonso Ruiz-Romero, Fernanda Anthor, Emmanuel Mares, Angélica Flores-Martínez, Edgar Alejandro Gómez-Villa, Marco Antonio Fuentes-Garcia, Teresa Apresa-García, Ricardo López-Romero, Emmanuel Salcedo, María de Jesús Nambo-Lucio, Mauricio Salcedo","doi":"10.1155/ogi/9344596","DOIUrl":null,"url":null,"abstract":"<p><p><b>Background:</b> Human papillomavirus (HPV) is a major contributor to cervical cancer (CC), with Papanicolaou (Pap) smears and HPV testing serving as primary screening tools in developed countries. The effectiveness of these methods can vary based on a country's epidemiological and socioeconomic context. This study introduces an innovative, noninvasive method employing surgical gauze worn as a feminine pad for HPV detection, with the aim of simplifying and improving screening processes. <b>Materials and Methods:</b> A total of 184 participants, including individuals classified as healthy, with cervical precursor lesions, or as with confirmed CC, were enrolled. All participants underwent cytological and colposcopic evaluations, with biopsies taken in cases of abnormal results. Each participant wore the device for 8 h, after which DNA was extracted from the soiled devices and analyzed via PCR for mitochondrial and HPV-DNA. Sensitivity and specificity were calculated to assess the effectiveness of HPV detection. Sensitivity and specificity values for HPV detection were obtained. Analysis of diagnostic tests was performed by OpenEpi software. <b>Results:</b> The device was well-received, with high compliance among participants. PCR analysis revealed that 17.7% of healthy, 72.1% of precursor-lesion cases, and 97.1% of CC cases tested positive for HPV. The calculated sensitivity and specificity for detecting high-grade lesions (CIN2+ or CIN2/3 and CC) were 94.81% and 51.28%, respectively. For CC detection, sensitivity was 97.14% with a specificity of 54.39%. <b>Conclusions:</b> The use of this noninvasive device demonstrated a significant correlation with clinical outcomes, supporting its potential as an effective and accessible tool for HPV screening. This method offers a promising alternative to conventional screening techniques, particularly in settings where traditional methods face logistical and socioeconomic challenges.</p>","PeriodicalId":19439,"journal":{"name":"Obstetrics and Gynecology International","volume":"2025 ","pages":"9344596"},"PeriodicalIF":1.3000,"publicationDate":"2025-04-28","publicationTypes":"Journal Article","fieldsOfStudy":null,"isOpenAccess":false,"openAccessPdf":"https://www.ncbi.nlm.nih.gov/pmc/articles/PMC12052458/pdf/","citationCount":"0","resultStr":"{\"title\":\"Innovative Noninvasive HPV Screening Using a Feminine Pad: A Pilot Study for Enhanced Cervical Cancer Detection.\",\"authors\":\"Rodrigo Aldariz-Amaya, Miriam Rodríguez-Esquivel, Alfonso Ruiz-Romero, Fernanda Anthor, Emmanuel Mares, Angélica Flores-Martínez, Edgar Alejandro Gómez-Villa, Marco Antonio Fuentes-Garcia, Teresa Apresa-García, Ricardo López-Romero, Emmanuel Salcedo, María de Jesús Nambo-Lucio, Mauricio Salcedo\",\"doi\":\"10.1155/ogi/9344596\",\"DOIUrl\":null,\"url\":null,\"abstract\":\"<p><p><b>Background:</b> Human papillomavirus (HPV) is a major contributor to cervical cancer (CC), with Papanicolaou (Pap) smears and HPV testing serving as primary screening tools in developed countries. The effectiveness of these methods can vary based on a country's epidemiological and socioeconomic context. This study introduces an innovative, noninvasive method employing surgical gauze worn as a feminine pad for HPV detection, with the aim of simplifying and improving screening processes. <b>Materials and Methods:</b> A total of 184 participants, including individuals classified as healthy, with cervical precursor lesions, or as with confirmed CC, were enrolled. All participants underwent cytological and colposcopic evaluations, with biopsies taken in cases of abnormal results. Each participant wore the device for 8 h, after which DNA was extracted from the soiled devices and analyzed via PCR for mitochondrial and HPV-DNA. Sensitivity and specificity were calculated to assess the effectiveness of HPV detection. Sensitivity and specificity values for HPV detection were obtained. Analysis of diagnostic tests was performed by OpenEpi software. <b>Results:</b> The device was well-received, with high compliance among participants. PCR analysis revealed that 17.7% of healthy, 72.1% of precursor-lesion cases, and 97.1% of CC cases tested positive for HPV. The calculated sensitivity and specificity for detecting high-grade lesions (CIN2+ or CIN2/3 and CC) were 94.81% and 51.28%, respectively. For CC detection, sensitivity was 97.14% with a specificity of 54.39%. <b>Conclusions:</b> The use of this noninvasive device demonstrated a significant correlation with clinical outcomes, supporting its potential as an effective and accessible tool for HPV screening. This method offers a promising alternative to conventional screening techniques, particularly in settings where traditional methods face logistical and socioeconomic challenges.</p>\",\"PeriodicalId\":19439,\"journal\":{\"name\":\"Obstetrics and Gynecology International\",\"volume\":\"2025 \",\"pages\":\"9344596\"},\"PeriodicalIF\":1.3000,\"publicationDate\":\"2025-04-28\",\"publicationTypes\":\"Journal Article\",\"fieldsOfStudy\":null,\"isOpenAccess\":false,\"openAccessPdf\":\"https://www.ncbi.nlm.nih.gov/pmc/articles/PMC12052458/pdf/\",\"citationCount\":\"0\",\"resultStr\":null,\"platform\":\"Semanticscholar\",\"paperid\":null,\"PeriodicalName\":\"Obstetrics and Gynecology International\",\"FirstCategoryId\":\"1085\",\"ListUrlMain\":\"https://doi.org/10.1155/ogi/9344596\",\"RegionNum\":0,\"RegionCategory\":null,\"ArticlePicture\":[],\"TitleCN\":null,\"AbstractTextCN\":null,\"PMCID\":null,\"EPubDate\":\"2025/1/1 0:00:00\",\"PubModel\":\"eCollection\",\"JCR\":\"Q3\",\"JCRName\":\"OBSTETRICS & GYNECOLOGY\",\"Score\":null,\"Total\":0}","platform":"Semanticscholar","paperid":null,"PeriodicalName":"Obstetrics and Gynecology International","FirstCategoryId":"1085","ListUrlMain":"https://doi.org/10.1155/ogi/9344596","RegionNum":0,"RegionCategory":null,"ArticlePicture":[],"TitleCN":null,"AbstractTextCN":null,"PMCID":null,"EPubDate":"2025/1/1 0:00:00","PubModel":"eCollection","JCR":"Q3","JCRName":"OBSTETRICS & GYNECOLOGY","Score":null,"Total":0}
引用次数: 0

摘要

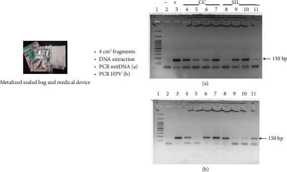
背景:人乳头瘤病毒(HPV)是宫颈癌(CC)的主要致病因素,在发达国家,巴氏涂片和HPV检测是主要的筛查工具。这些方法的有效性可能因国家的流行病学和社会经济背景而异。本研究介绍了一种创新的、无创的方法,使用手术纱布作为女性衬垫进行HPV检测,目的是简化和改进筛查过程。材料和方法:共纳入184名参与者,包括健康、宫颈前体病变或确诊CC的个体。所有的参与者都接受了细胞学和阴道镜检查,在结果异常的情况下进行了活检。每位参与者佩戴该装置8小时,之后从被污染的装置中提取DNA,并通过PCR分析线粒体和HPV-DNA。计算敏感性和特异性以评估HPV检测的有效性。获得HPV检测的敏感性和特异性值。通过OpenEpi软件对诊断测试进行分析。结果:该装置反响良好,受试者依从性高。PCR分析显示17.7%的健康人、72.1%的前体病变病例和97.1%的CC病例检测出HPV阳性。计算出的检测高级病变(CIN2+或CIN2/3和CC)的灵敏度和特异性分别为94.81%和51.28%。CC检测的敏感性为97.14%,特异性为54.39%。结论:使用这种无创设备与临床结果有显著相关性,支持其作为HPV筛查的有效和可获得的工具的潜力。这种方法为传统筛选技术提供了一种有希望的替代方法,特别是在传统方法面临后勤和社会经济挑战的情况下。
本文章由计算机程序翻译,如有差异,请以英文原文为准。

Innovative Noninvasive HPV Screening Using a Feminine Pad: A Pilot Study for Enhanced Cervical Cancer Detection.

Innovative Noninvasive HPV Screening Using a Feminine Pad: A Pilot Study for Enhanced Cervical Cancer Detection.

Innovative Noninvasive HPV Screening Using a Feminine Pad: A Pilot Study for Enhanced Cervical Cancer Detection.

Background: Human papillomavirus (HPV) is a major contributor to cervical cancer (CC), with Papanicolaou (Pap) smears and HPV testing serving as primary screening tools in developed countries. The effectiveness of these methods can vary based on a country's epidemiological and socioeconomic context. This study introduces an innovative, noninvasive method employing surgical gauze worn as a feminine pad for HPV detection, with the aim of simplifying and improving screening processes. Materials and Methods: A total of 184 participants, including individuals classified as healthy, with cervical precursor lesions, or as with confirmed CC, were enrolled. All participants underwent cytological and colposcopic evaluations, with biopsies taken in cases of abnormal results. Each participant wore the device for 8 h, after which DNA was extracted from the soiled devices and analyzed via PCR for mitochondrial and HPV-DNA. Sensitivity and specificity were calculated to assess the effectiveness of HPV detection. Sensitivity and specificity values for HPV detection were obtained. Analysis of diagnostic tests was performed by OpenEpi software. Results: The device was well-received, with high compliance among participants. PCR analysis revealed that 17.7% of healthy, 72.1% of precursor-lesion cases, and 97.1% of CC cases tested positive for HPV. The calculated sensitivity and specificity for detecting high-grade lesions (CIN2+ or CIN2/3 and CC) were 94.81% and 51.28%, respectively. For CC detection, sensitivity was 97.14% with a specificity of 54.39%. Conclusions: The use of this noninvasive device demonstrated a significant correlation with clinical outcomes, supporting its potential as an effective and accessible tool for HPV screening. This method offers a promising alternative to conventional screening techniques, particularly in settings where traditional methods face logistical and socioeconomic challenges.

求助全文
通过发布文献求助,成功后即可免费获取论文全文。 去求助
来源期刊
Obstetrics and Gynecology International
Obstetrics and Gynecology International OBSTETRICS & GYNECOLOGY-
CiteScore
3.60
自引率
0.00%
发文量
26
审稿时长
19 weeks
期刊介绍: Obstetrics and Gynecology International is a peer-reviewed, Open Access journal that aims to provide a forum for scientists and clinical professionals working in obstetrics and gynecology. The journal publishes original research articles, review articles, and clinical studies related to obstetrics, maternal-fetal medicine, general gynecology, gynecologic oncology, uro-gynecology, reproductive medicine and infertility, reproductive endocrinology, and sexual medicine.
×
引用
GB/T 7714-2015
复制
MLA
复制
APA
复制
导出至
BibTeX EndNote RefMan NoteFirst NoteExpress
×
提示
您的信息不完整,为了账户安全,请先补充。
现在去补充
×
提示
您因"违规操作"
具体请查看互助需知
我知道了
×
提示
确定
请完成安全验证×
copy
已复制链接
快去分享给好友吧!
我知道了
右上角分享
点击右上角分享
0
联系我们:info@booksci.cn Book学术提供免费学术资源搜索服务,方便国内外学者检索中英文文献。致力于提供最便捷和优质的服务体验。 Copyright © 2023 布克学术 All rights reserved.
京ICP备2023020795号-1
ghs 京公网安备 11010802042870号
Book学术文献互助
Book学术文献互助群
群 号:604180095
Book学术官方微信