不典型子宫内膜息肉并发宫颈上皮内瘤变1例。

IF 1 Q3 OBSTETRICS & GYNECOLOGY
Journal of Mid-life Health Pub Date : 2025-01-01 Epub Date: 2025-04-05 DOI:10.4103/jmh.jmh_188_24
Anusha Devalla, Aparna Jarathi, Immanuel Pradeep, Annapurna Srirambhatla, Subhrajyoti Roy
{"title":"不典型子宫内膜息肉并发宫颈上皮内瘤变1例。","authors":"Anusha Devalla, Aparna Jarathi, Immanuel Pradeep, Annapurna Srirambhatla, Subhrajyoti Roy","doi":"10.4103/jmh.jmh_188_24","DOIUrl":null,"url":null,"abstract":"<p><p>Postmenopausal bleeding is an alarming symptom that needs careful consideration. Endometrial polyps co-existing in the background of endometrial hyperplasia/endometrial cancer is well-established. However, it has been very sparsely reported in the background of atrophic endometrium. The authors report a unique case of concurrent atypical endometrial polyp with cervical intraepithelial neoplasia (CIN) in the background of an atrophic endometrium. A 53-year-old multiparous, postmenopausal lady of Asian ethnicity presented with recurrent episodes of bleeding per vaginum. She did not give any history of exogenous estrogen intake, diabetes, hypertension, or any other surgical risk factors for endometrial malignancy. Her body mass index was 23.9 kg/m<sup>2</sup>. Magnetic Resonance Imaging revealed a large cervical fibroid, endometrial thickness 8 mm (mixed with blood clots), and focal adenomyosis. Outpatient endometrial sampling was unsatisfactory. She underwent a total hysterectomy with bilateral salpingo-oophorectomy. An incidental hidden diagnosis of concurrent atypical endometrial polyp with CIN underlying the cervical leiomyoma was made. This is the first of its kind to be reported so far. It is not known whether such an association could be due to cervical leiomyoma or <i>de novo</i>.</p>","PeriodicalId":37717,"journal":{"name":"Journal of Mid-life Health","volume":"16 1","pages":"110-112"},"PeriodicalIF":1.0000,"publicationDate":"2025-01-01","publicationTypes":"Journal Article","fieldsOfStudy":null,"isOpenAccess":false,"openAccessPdf":"https://www.ncbi.nlm.nih.gov/pmc/articles/PMC12052278/pdf/","citationCount":"0","resultStr":"{\"title\":\"Silent Intruders: A Case Report of Concurrent Atypical Endometrial Polyp with Cervical Intraepithelial Neoplasia.\",\"authors\":\"Anusha Devalla, Aparna Jarathi, Immanuel Pradeep, Annapurna Srirambhatla, Subhrajyoti Roy\",\"doi\":\"10.4103/jmh.jmh_188_24\",\"DOIUrl\":null,\"url\":null,\"abstract\":\"<p><p>Postmenopausal bleeding is an alarming symptom that needs careful consideration. Endometrial polyps co-existing in the background of endometrial hyperplasia/endometrial cancer is well-established. However, it has been very sparsely reported in the background of atrophic endometrium. The authors report a unique case of concurrent atypical endometrial polyp with cervical intraepithelial neoplasia (CIN) in the background of an atrophic endometrium. A 53-year-old multiparous, postmenopausal lady of Asian ethnicity presented with recurrent episodes of bleeding per vaginum. She did not give any history of exogenous estrogen intake, diabetes, hypertension, or any other surgical risk factors for endometrial malignancy. Her body mass index was 23.9 kg/m<sup>2</sup>. Magnetic Resonance Imaging revealed a large cervical fibroid, endometrial thickness 8 mm (mixed with blood clots), and focal adenomyosis. Outpatient endometrial sampling was unsatisfactory. She underwent a total hysterectomy with bilateral salpingo-oophorectomy. An incidental hidden diagnosis of concurrent atypical endometrial polyp with CIN underlying the cervical leiomyoma was made. This is the first of its kind to be reported so far. It is not known whether such an association could be due to cervical leiomyoma or <i>de novo</i>.</p>\",\"PeriodicalId\":37717,\"journal\":{\"name\":\"Journal of Mid-life Health\",\"volume\":\"16 1\",\"pages\":\"110-112\"},\"PeriodicalIF\":1.0000,\"publicationDate\":\"2025-01-01\",\"publicationTypes\":\"Journal Article\",\"fieldsOfStudy\":null,\"isOpenAccess\":false,\"openAccessPdf\":\"https://www.ncbi.nlm.nih.gov/pmc/articles/PMC12052278/pdf/\",\"citationCount\":\"0\",\"resultStr\":null,\"platform\":\"Semanticscholar\",\"paperid\":null,\"PeriodicalName\":\"Journal of Mid-life Health\",\"FirstCategoryId\":\"1085\",\"ListUrlMain\":\"https://doi.org/10.4103/jmh.jmh_188_24\",\"RegionNum\":0,\"RegionCategory\":null,\"ArticlePicture\":[],\"TitleCN\":null,\"AbstractTextCN\":null,\"PMCID\":null,\"EPubDate\":\"2025/4/5 0:00:00\",\"PubModel\":\"Epub\",\"JCR\":\"Q3\",\"JCRName\":\"OBSTETRICS & GYNECOLOGY\",\"Score\":null,\"Total\":0}","platform":"Semanticscholar","paperid":null,"PeriodicalName":"Journal of Mid-life Health","FirstCategoryId":"1085","ListUrlMain":"https://doi.org/10.4103/jmh.jmh_188_24","RegionNum":0,"RegionCategory":null,"ArticlePicture":[],"TitleCN":null,"AbstractTextCN":null,"PMCID":null,"EPubDate":"2025/4/5 0:00:00","PubModel":"Epub","JCR":"Q3","JCRName":"OBSTETRICS & GYNECOLOGY","Score":null,"Total":0}
引用次数: 0

摘要

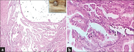
绝经后出血是一个值得警惕的症状,需要仔细考虑。子宫内膜息肉在子宫内膜增生/子宫内膜癌的背景下共存是公认的。然而,在子宫内膜萎缩的背景下,它的报道非常稀少。作者报告了一个独特的情况下,并发非典型子宫内膜息肉与宫颈上皮内瘤变(CIN)在萎缩子宫内膜的背景。一个53岁的多胎,绝经后的亚洲妇女提出了反复发作的每阴道出血。她没有任何外源性雌激素摄入史、糖尿病、高血压或子宫内膜恶性肿瘤的任何其他手术危险因素。体质指数为23.9 kg/m2。磁共振成像显示宫颈大肌瘤,子宫内膜厚8mm(混有血凝块),局灶性血凝块。门诊子宫内膜取样不理想。她接受了全子宫切除术和双侧输卵管卵巢切除术。一个偶然的隐性诊断,并发不典型子宫内膜息肉,宫颈平滑肌瘤下的CIN。这是迄今为止报道的首例此类病例。目前尚不清楚这种关联是否可能是由于宫颈平滑肌瘤或新生。
本文章由计算机程序翻译,如有差异,请以英文原文为准。

Silent Intruders: A Case Report of Concurrent Atypical Endometrial Polyp with Cervical Intraepithelial Neoplasia.

Silent Intruders: A Case Report of Concurrent Atypical Endometrial Polyp with Cervical Intraepithelial Neoplasia.

Silent Intruders: A Case Report of Concurrent Atypical Endometrial Polyp with Cervical Intraepithelial Neoplasia.

Silent Intruders: A Case Report of Concurrent Atypical Endometrial Polyp with Cervical Intraepithelial Neoplasia.

Postmenopausal bleeding is an alarming symptom that needs careful consideration. Endometrial polyps co-existing in the background of endometrial hyperplasia/endometrial cancer is well-established. However, it has been very sparsely reported in the background of atrophic endometrium. The authors report a unique case of concurrent atypical endometrial polyp with cervical intraepithelial neoplasia (CIN) in the background of an atrophic endometrium. A 53-year-old multiparous, postmenopausal lady of Asian ethnicity presented with recurrent episodes of bleeding per vaginum. She did not give any history of exogenous estrogen intake, diabetes, hypertension, or any other surgical risk factors for endometrial malignancy. Her body mass index was 23.9 kg/m2. Magnetic Resonance Imaging revealed a large cervical fibroid, endometrial thickness 8 mm (mixed with blood clots), and focal adenomyosis. Outpatient endometrial sampling was unsatisfactory. She underwent a total hysterectomy with bilateral salpingo-oophorectomy. An incidental hidden diagnosis of concurrent atypical endometrial polyp with CIN underlying the cervical leiomyoma was made. This is the first of its kind to be reported so far. It is not known whether such an association could be due to cervical leiomyoma or de novo.

求助全文
通过发布文献求助,成功后即可免费获取论文全文。 去求助
来源期刊
Journal of Mid-life Health
Journal of Mid-life Health Social Sciences-Health (social science)
CiteScore
1.70
自引率
9.10%
发文量
39
审稿时长
43 weeks
期刊介绍: Journal of mid-life health is the official journal of the Indian Menopause society published Quarterly in January, April, July and October. It is peer reviewed, scientific journal of mid-life health and its problems. It includes all aspects of mid-life health, preventive as well as curative. The journal publishes on subjects such as gynecology, neurology, geriatrics, psychiatry, endocrinology, urology, andrology, psychology, healthy ageing, cardiovascular health, bone health, quality of life etc. as relevant of men and women in their midlife. The Journal provides a visible platform to the researchers as well as clinicians to publish their experiences in this area thereby helping in the promotion of mid-life health leading to healthy ageing, growing need due to increasing life expectancy. The Editorial team has maintained high standards and published original research papers, case reports and review articles from the best of the best contributors both national & international, consistently so that now, it has become a great tool in the hands of menopause practitioners.
×
引用
GB/T 7714-2015
复制
MLA
复制
APA
复制
导出至
BibTeX EndNote RefMan NoteFirst NoteExpress
×
提示
您的信息不完整,为了账户安全,请先补充。
现在去补充
×
提示
您因"违规操作"
具体请查看互助需知
我知道了
×
提示
确定
请完成安全验证×
copy
已复制链接
快去分享给好友吧!
我知道了
右上角分享
点击右上角分享
0
联系我们:info@booksci.cn Book学术提供免费学术资源搜索服务,方便国内外学者检索中英文文献。致力于提供最便捷和优质的服务体验。 Copyright © 2023 布克学术 All rights reserved.
京ICP备2023020795号-1
ghs 京公网安备 11010802042870号
Book学术文献互助
Book学术文献互助群
群 号:604180095
Book学术官方微信