眼底成像中多节段晶状体的视网膜阴影。

IF 2.4 3区 医学 Q1 OPHTHALMOLOGY
Ophthalmic and Physiological Optics Pub Date : 2025-07-01 Epub Date: 2025-05-14 DOI:10.1111/opo.13524
Arthur Ho, Lisa Feng, Jos J Rozema, David A Atchison
{"title":"眼底成像中多节段晶状体的视网膜阴影。","authors":"Arthur Ho, Lisa Feng, Jos J Rozema, David A Atchison","doi":"10.1111/opo.13524","DOIUrl":null,"url":null,"abstract":"<p><strong>Purpose: </strong>To provide a more sophisticated explanation of the optics involved when retinal 'shadows' are seen in scanning laser ophthalmoscopic images during the wear of multisegment and diffusion optic spectacle lenses.</p><p><strong>Methods: </strong>Images were recorded with a system that uses a scanning broad line fundus imaging principle in participants with undilated pupils wearing a multisegment spectacle lens. The live infra-red preview display of the system was also acquired during image recording. Ray-tracing and image simulations were performed, assuming a Maxwellian illumination system in which a source was refracted first through a lens and then through a model of a multisegment spectacle lens focused onto the pupil of an eye model and hence to the retina. A detector surface was positioned slightly in front of the retina to record the irradiation distribution. The light source was varied from 0.1 μm to 1.8 mm in diameter to investigate the effect of light source size on retinal irradiation distribution.</p><p><strong>Results: </strong>The retinal shadow pattern was visible on the live infra-red preview display, as reported previously. However, the recorded images of the retina do not exhibit the same shadow pattern. The simulations predict that the circular shadows corresponding to lenslet positions become progressively less discernible with increasing light source size.</p><p><strong>Conclusion: </strong>An explanation is provided for the shadows on retinal images due to multisegment lenses, which may be observable under certain illumination conditions.</p>","PeriodicalId":19522,"journal":{"name":"Ophthalmic and Physiological Optics","volume":" ","pages":"1098-1103"},"PeriodicalIF":2.4000,"publicationDate":"2025-07-01","publicationTypes":"Journal Article","fieldsOfStudy":null,"isOpenAccess":false,"openAccessPdf":"https://www.ncbi.nlm.nih.gov/pmc/articles/PMC12153018/pdf/","citationCount":"0","resultStr":"{\"title\":\"Retinal shadows of multisegment lenses in fundus imaging.\",\"authors\":\"Arthur Ho, Lisa Feng, Jos J Rozema, David A Atchison\",\"doi\":\"10.1111/opo.13524\",\"DOIUrl\":null,\"url\":null,\"abstract\":\"<p><strong>Purpose: </strong>To provide a more sophisticated explanation of the optics involved when retinal 'shadows' are seen in scanning laser ophthalmoscopic images during the wear of multisegment and diffusion optic spectacle lenses.</p><p><strong>Methods: </strong>Images were recorded with a system that uses a scanning broad line fundus imaging principle in participants with undilated pupils wearing a multisegment spectacle lens. The live infra-red preview display of the system was also acquired during image recording. Ray-tracing and image simulations were performed, assuming a Maxwellian illumination system in which a source was refracted first through a lens and then through a model of a multisegment spectacle lens focused onto the pupil of an eye model and hence to the retina. A detector surface was positioned slightly in front of the retina to record the irradiation distribution. The light source was varied from 0.1 μm to 1.8 mm in diameter to investigate the effect of light source size on retinal irradiation distribution.</p><p><strong>Results: </strong>The retinal shadow pattern was visible on the live infra-red preview display, as reported previously. However, the recorded images of the retina do not exhibit the same shadow pattern. The simulations predict that the circular shadows corresponding to lenslet positions become progressively less discernible with increasing light source size.</p><p><strong>Conclusion: </strong>An explanation is provided for the shadows on retinal images due to multisegment lenses, which may be observable under certain illumination conditions.</p>\",\"PeriodicalId\":19522,\"journal\":{\"name\":\"Ophthalmic and Physiological Optics\",\"volume\":\" \",\"pages\":\"1098-1103\"},\"PeriodicalIF\":2.4000,\"publicationDate\":\"2025-07-01\",\"publicationTypes\":\"Journal Article\",\"fieldsOfStudy\":null,\"isOpenAccess\":false,\"openAccessPdf\":\"https://www.ncbi.nlm.nih.gov/pmc/articles/PMC12153018/pdf/\",\"citationCount\":\"0\",\"resultStr\":null,\"platform\":\"Semanticscholar\",\"paperid\":null,\"PeriodicalName\":\"Ophthalmic and Physiological Optics\",\"FirstCategoryId\":\"3\",\"ListUrlMain\":\"https://doi.org/10.1111/opo.13524\",\"RegionNum\":3,\"RegionCategory\":\"医学\",\"ArticlePicture\":[],\"TitleCN\":null,\"AbstractTextCN\":null,\"PMCID\":null,\"EPubDate\":\"2025/5/14 0:00:00\",\"PubModel\":\"Epub\",\"JCR\":\"Q1\",\"JCRName\":\"OPHTHALMOLOGY\",\"Score\":null,\"Total\":0}","platform":"Semanticscholar","paperid":null,"PeriodicalName":"Ophthalmic and Physiological Optics","FirstCategoryId":"3","ListUrlMain":"https://doi.org/10.1111/opo.13524","RegionNum":3,"RegionCategory":"医学","ArticlePicture":[],"TitleCN":null,"AbstractTextCN":null,"PMCID":null,"EPubDate":"2025/5/14 0:00:00","PubModel":"Epub","JCR":"Q1","JCRName":"OPHTHALMOLOGY","Score":null,"Total":0}
引用次数: 0

摘要

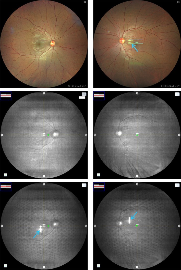
目的:对多段式和扩散式光学镜片佩戴过程中扫描激光检眼镜图像中出现视网膜“阴影”所涉及的光学问题提供更复杂的解释。方法:采用扫描宽线眼底成像原理,对瞳孔未放大的受试者配戴多节段眼镜进行图像记录。在图像记录过程中,还获得了系统的实时红外预览显示。光线追踪和图像模拟进行,假设一个麦克斯韦照明系统中,光源首先通过一个透镜,然后通过一个多段眼镜透镜聚焦到眼睛模型的瞳孔上,从而到达视网膜。检测器表面略位于视网膜前方,记录照射分布。光源直径为0.1 μm ~ 1.8 mm,研究光源尺寸对视网膜辐照分布的影响。结果:在实时红外预览显示器上可见视网膜阴影图案,如前所述。然而,视网膜的记录图像并没有显示出相同的阴影模式。模拟预测,随着光源尺寸的增加,与透镜位置相对应的圆形阴影逐渐变得难以辨认。结论:解释了在一定光照条件下,多节段透镜在视网膜图像上可见的阴影现象。
本文章由计算机程序翻译,如有差异,请以英文原文为准。

Retinal shadows of multisegment lenses in fundus imaging.

Retinal shadows of multisegment lenses in fundus imaging.

Retinal shadows of multisegment lenses in fundus imaging.

Retinal shadows of multisegment lenses in fundus imaging.

Purpose: To provide a more sophisticated explanation of the optics involved when retinal 'shadows' are seen in scanning laser ophthalmoscopic images during the wear of multisegment and diffusion optic spectacle lenses.

Methods: Images were recorded with a system that uses a scanning broad line fundus imaging principle in participants with undilated pupils wearing a multisegment spectacle lens. The live infra-red preview display of the system was also acquired during image recording. Ray-tracing and image simulations were performed, assuming a Maxwellian illumination system in which a source was refracted first through a lens and then through a model of a multisegment spectacle lens focused onto the pupil of an eye model and hence to the retina. A detector surface was positioned slightly in front of the retina to record the irradiation distribution. The light source was varied from 0.1 μm to 1.8 mm in diameter to investigate the effect of light source size on retinal irradiation distribution.

Results: The retinal shadow pattern was visible on the live infra-red preview display, as reported previously. However, the recorded images of the retina do not exhibit the same shadow pattern. The simulations predict that the circular shadows corresponding to lenslet positions become progressively less discernible with increasing light source size.

Conclusion: An explanation is provided for the shadows on retinal images due to multisegment lenses, which may be observable under certain illumination conditions.

求助全文
通过发布文献求助,成功后即可免费获取论文全文。 去求助
来源期刊
CiteScore
5.10
自引率
13.80%
发文量
135
审稿时长
6-12 weeks
期刊介绍: Ophthalmic & Physiological Optics, first published in 1925, is a leading international interdisciplinary journal that addresses basic and applied questions pertinent to contemporary research in vision science and optometry. OPO publishes original research papers, technical notes, reviews and letters and will interest researchers, educators and clinicians concerned with the development, use and restoration of vision.
×
引用
GB/T 7714-2015
复制
MLA
复制
APA
复制
导出至
BibTeX EndNote RefMan NoteFirst NoteExpress
×
提示
您的信息不完整,为了账户安全,请先补充。
现在去补充
×
提示
您因"违规操作"
具体请查看互助需知
我知道了
×
提示
确定
请完成安全验证×
copy
已复制链接
快去分享给好友吧!
我知道了
右上角分享
点击右上角分享
0
联系我们:info@booksci.cn Book学术提供免费学术资源搜索服务,方便国内外学者检索中英文文献。致力于提供最便捷和优质的服务体验。 Copyright © 2023 布克学术 All rights reserved.
京ICP备2023020795号-1
ghs 京公网安备 11010802042870号
Book学术文献互助
Book学术文献互助群
群 号:604180095
Book学术官方微信