预测结直肠癌肿瘤沉积的原发肿瘤和淋巴结的光谱计算机断层扫描参数。

IF 1.5 Q3 RADIOLOGY, NUCLEAR MEDICINE & MEDICAL IMAGING
Yi-Fan Lai, Zhao-Ming Liang, Jing-Fang Li, Jia-Ying Zhang, Ding-Hua Xu, Hai-Yang Dai
{"title":"预测结直肠癌肿瘤沉积的原发肿瘤和淋巴结的光谱计算机断层扫描参数。","authors":"Yi-Fan Lai, Zhao-Ming Liang, Jing-Fang Li, Jia-Ying Zhang, Ding-Hua Xu, Hai-Yang Dai","doi":"10.4329/wjr.v17.i4.103359","DOIUrl":null,"url":null,"abstract":"<p><strong>Background: </strong>Tumor deposits (TDs) are an independent predictor of poor prognosis in colorectal cancer (CRC) patients. Enhanced follow-up and treatment monitoring for TD+ patients may improve survival rates and quality of life. However, the detection of TDs relies primarily on postoperative pathological examination, which may have a low detection rate due to sampling limitations.</p><p><strong>Aim: </strong>To evaluate the spectral computed tomography (CT) parameters of primary tumors and the largest regional lymph nodes (LNs), to determine their value in predicting TDs in CRC.</p><p><strong>Methods: </strong>A retrospective analysis was conducted which included 121 patients with CRC whose complete spectral CT data were available. Patients were divided into the TDs+ group and the TDs- group on the basis of their pathological results. Spectral CT parameters of the primary CRC lesion and the largest regional LNs were measured, including the normalized iodine concentration (NIC) in both the arterial and venous phases, and the LN-to-primary tumor ratio was calculated. Statistical methods were used to evaluate the diagnostic efficacy of each spectral parameter.</p><p><strong>Results: </strong>Among the 121 CRC patients, 33 (27.2%) were confirmed to be TDs+. The risk of TDs positivity was greater in patients with positive LN metastasis, higher N stage and elevated carcinoembryonic antigen and cancer antigen 19-9 levels. The NIC (LNs in both the arterial and venous phases), NIC (primary tumors in the venous phase), and the LN-to-primary tumor ratio in both the arterial and venous phases were associated with TDs (<i>P</i> < 0.05). In multivariate logistic regression analysis, the arterial phase LN-to-primary tumor ratio was identified as an independent predictor of TDs, demonstrating the highest diagnostic performance (area under the curve: 0.812, sensitivity: 0.879, specificity: 0.648, cutoff value: 1.145).</p><p><strong>Conclusion: </strong>The spectral CT parameters of the primary colorectal tumor and the largest regional LNs, especially the LN-to-primary tumor ratio, have significant clinical value in predicting TDs in CRC.</p>","PeriodicalId":23819,"journal":{"name":"World journal of radiology","volume":"17 4","pages":"103359"},"PeriodicalIF":1.5000,"publicationDate":"2025-04-28","publicationTypes":"Journal Article","fieldsOfStudy":null,"isOpenAccess":false,"openAccessPdf":"https://www.ncbi.nlm.nih.gov/pmc/articles/PMC12038403/pdf/","citationCount":"0","resultStr":"{\"title\":\"Spectral computed tomography parameters of primary tumors and lymph nodes for predicting tumor deposits in colorectal cancer.\",\"authors\":\"Yi-Fan Lai, Zhao-Ming Liang, Jing-Fang Li, Jia-Ying Zhang, Ding-Hua Xu, Hai-Yang Dai\",\"doi\":\"10.4329/wjr.v17.i4.103359\",\"DOIUrl\":null,\"url\":null,\"abstract\":\"<p><strong>Background: </strong>Tumor deposits (TDs) are an independent predictor of poor prognosis in colorectal cancer (CRC) patients. Enhanced follow-up and treatment monitoring for TD+ patients may improve survival rates and quality of life. However, the detection of TDs relies primarily on postoperative pathological examination, which may have a low detection rate due to sampling limitations.</p><p><strong>Aim: </strong>To evaluate the spectral computed tomography (CT) parameters of primary tumors and the largest regional lymph nodes (LNs), to determine their value in predicting TDs in CRC.</p><p><strong>Methods: </strong>A retrospective analysis was conducted which included 121 patients with CRC whose complete spectral CT data were available. Patients were divided into the TDs+ group and the TDs- group on the basis of their pathological results. Spectral CT parameters of the primary CRC lesion and the largest regional LNs were measured, including the normalized iodine concentration (NIC) in both the arterial and venous phases, and the LN-to-primary tumor ratio was calculated. Statistical methods were used to evaluate the diagnostic efficacy of each spectral parameter.</p><p><strong>Results: </strong>Among the 121 CRC patients, 33 (27.2%) were confirmed to be TDs+. The risk of TDs positivity was greater in patients with positive LN metastasis, higher N stage and elevated carcinoembryonic antigen and cancer antigen 19-9 levels. The NIC (LNs in both the arterial and venous phases), NIC (primary tumors in the venous phase), and the LN-to-primary tumor ratio in both the arterial and venous phases were associated with TDs (<i>P</i> < 0.05). In multivariate logistic regression analysis, the arterial phase LN-to-primary tumor ratio was identified as an independent predictor of TDs, demonstrating the highest diagnostic performance (area under the curve: 0.812, sensitivity: 0.879, specificity: 0.648, cutoff value: 1.145).</p><p><strong>Conclusion: </strong>The spectral CT parameters of the primary colorectal tumor and the largest regional LNs, especially the LN-to-primary tumor ratio, have significant clinical value in predicting TDs in CRC.</p>\",\"PeriodicalId\":23819,\"journal\":{\"name\":\"World journal of radiology\",\"volume\":\"17 4\",\"pages\":\"103359\"},\"PeriodicalIF\":1.5000,\"publicationDate\":\"2025-04-28\",\"publicationTypes\":\"Journal Article\",\"fieldsOfStudy\":null,\"isOpenAccess\":false,\"openAccessPdf\":\"https://www.ncbi.nlm.nih.gov/pmc/articles/PMC12038403/pdf/\",\"citationCount\":\"0\",\"resultStr\":null,\"platform\":\"Semanticscholar\",\"paperid\":null,\"PeriodicalName\":\"World journal of radiology\",\"FirstCategoryId\":\"1085\",\"ListUrlMain\":\"https://doi.org/10.4329/wjr.v17.i4.103359\",\"RegionNum\":0,\"RegionCategory\":null,\"ArticlePicture\":[],\"TitleCN\":null,\"AbstractTextCN\":null,\"PMCID\":null,\"EPubDate\":\"\",\"PubModel\":\"\",\"JCR\":\"Q3\",\"JCRName\":\"RADIOLOGY, NUCLEAR MEDICINE & MEDICAL IMAGING\",\"Score\":null,\"Total\":0}","platform":"Semanticscholar","paperid":null,"PeriodicalName":"World journal of radiology","FirstCategoryId":"1085","ListUrlMain":"https://doi.org/10.4329/wjr.v17.i4.103359","RegionNum":0,"RegionCategory":null,"ArticlePicture":[],"TitleCN":null,"AbstractTextCN":null,"PMCID":null,"EPubDate":"","PubModel":"","JCR":"Q3","JCRName":"RADIOLOGY, NUCLEAR MEDICINE & MEDICAL IMAGING","Score":null,"Total":0}
引用次数: 0

摘要

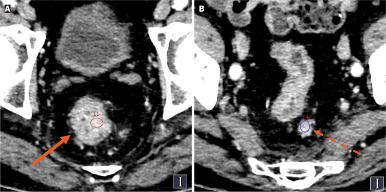
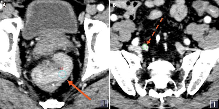
背景:肿瘤沉积(TDs)是结直肠癌(CRC)患者预后不良的独立预测因子。加强对TD+患者的随访和治疗监测可以提高生存率和生活质量。然而,TDs的检测主要依赖于术后病理检查,由于采样的限制,其检出率可能较低。目的:评价原发肿瘤和最大区域淋巴结(LNs)的CT谱参数,探讨其对大肠癌TDs的预测价值。方法:回顾性分析121例可获得完整谱CT资料的结直肠癌患者。根据病理结果将患者分为TDs+组和TDs-组。测量原发性结直肠癌病变的频谱CT参数和最大区域ln,包括动脉期和静脉期归一化碘浓度(NIC),并计算ln与原发肿瘤的比值。采用统计学方法评价各谱参数的诊断效果。结果121例CRC患者中,有33例(27.2%)确诊为td +。淋巴结转移阳性、N分期高、癌胚抗原和癌抗原19-9水平升高的患者TDs阳性的风险更大。NIC(动脉和静脉期均为LNs)、NIC(静脉期原发肿瘤)以及动脉和静脉期ln1 /原发肿瘤比值与TDs相关(P < 0.05)。在多因素logistic回归分析中,动脉期ln与原发肿瘤的比值被确定为TDs的独立预测因子,具有最高的诊断效能(曲线下面积:0.812,敏感性:0.879,特异性:0.648,截止值:1.145)。结论:结直肠癌原发肿瘤的CT频谱参数及最大区域ln,特别是ln与原发肿瘤的比值对预测结直肠癌TDs具有重要的临床价值。
本文章由计算机程序翻译,如有差异,请以英文原文为准。

Spectral computed tomography parameters of primary tumors and lymph nodes for predicting tumor deposits in colorectal cancer.

Spectral computed tomography parameters of primary tumors and lymph nodes for predicting tumor deposits in colorectal cancer.

Spectral computed tomography parameters of primary tumors and lymph nodes for predicting tumor deposits in colorectal cancer.

Spectral computed tomography parameters of primary tumors and lymph nodes for predicting tumor deposits in colorectal cancer.

Background: Tumor deposits (TDs) are an independent predictor of poor prognosis in colorectal cancer (CRC) patients. Enhanced follow-up and treatment monitoring for TD+ patients may improve survival rates and quality of life. However, the detection of TDs relies primarily on postoperative pathological examination, which may have a low detection rate due to sampling limitations.

Aim: To evaluate the spectral computed tomography (CT) parameters of primary tumors and the largest regional lymph nodes (LNs), to determine their value in predicting TDs in CRC.

Methods: A retrospective analysis was conducted which included 121 patients with CRC whose complete spectral CT data were available. Patients were divided into the TDs+ group and the TDs- group on the basis of their pathological results. Spectral CT parameters of the primary CRC lesion and the largest regional LNs were measured, including the normalized iodine concentration (NIC) in both the arterial and venous phases, and the LN-to-primary tumor ratio was calculated. Statistical methods were used to evaluate the diagnostic efficacy of each spectral parameter.

Results: Among the 121 CRC patients, 33 (27.2%) were confirmed to be TDs+. The risk of TDs positivity was greater in patients with positive LN metastasis, higher N stage and elevated carcinoembryonic antigen and cancer antigen 19-9 levels. The NIC (LNs in both the arterial and venous phases), NIC (primary tumors in the venous phase), and the LN-to-primary tumor ratio in both the arterial and venous phases were associated with TDs (P < 0.05). In multivariate logistic regression analysis, the arterial phase LN-to-primary tumor ratio was identified as an independent predictor of TDs, demonstrating the highest diagnostic performance (area under the curve: 0.812, sensitivity: 0.879, specificity: 0.648, cutoff value: 1.145).

Conclusion: The spectral CT parameters of the primary colorectal tumor and the largest regional LNs, especially the LN-to-primary tumor ratio, have significant clinical value in predicting TDs in CRC.

求助全文
通过发布文献求助,成功后即可免费获取论文全文。 去求助
来源期刊
World journal of radiology
World journal of radiology RADIOLOGY, NUCLEAR MEDICINE & MEDICAL IMAGING-
自引率
8.00%
发文量
35
×
引用
GB/T 7714-2015
复制
MLA
复制
APA
复制
导出至
BibTeX EndNote RefMan NoteFirst NoteExpress
×
提示
您的信息不完整,为了账户安全,请先补充。
现在去补充
×
提示
您因"违规操作"
具体请查看互助需知
我知道了
×
提示
确定
请完成安全验证×
copy
已复制链接
快去分享给好友吧!
我知道了
右上角分享
点击右上角分享
0
联系我们:info@booksci.cn Book学术提供免费学术资源搜索服务,方便国内外学者检索中英文文献。致力于提供最便捷和优质的服务体验。 Copyright © 2023 布克学术 All rights reserved.
京ICP备2023020795号-1
ghs 京公网安备 11010802042870号
Book学术文献互助
Book学术文献互助群
群 号:604180095
Book学术官方微信