单纯性牙龈肿胀:一个独特的透明细胞钙化上皮牙源性肿瘤病例报告。

Q3 Medicine
Latha M Cherian, P C Rasla, M Indu, Sabu Paul
{"title":"单纯性牙龈肿胀:一个独特的透明细胞钙化上皮牙源性肿瘤病例报告。","authors":"Latha M Cherian, P C Rasla, M Indu, Sabu Paul","doi":"10.4103/jomfp.jomfp_9_24","DOIUrl":null,"url":null,"abstract":"<p><p>Gingiva is one of the common sites for many reactive, benign and malignant lesions. Localized gingival overgrowths usually present with a wide variety of clinical and histopathological features, and it will create a challenge for proper diagnosis. We report a case of a 48-year-old male patient with a slow-growing swelling on the lower anterior gingiva, extending to the floor of the mouth. A differential diagnosis of pyogenic granuloma or salivary gland neoplasm was considered. The lesion was diagnosed as clear cell variant of calcifying epithelial odontogenic tumour after the histopathological and immunohistochemical evaluation of multiple biopsy specimens from different sites of the lesion. Clear cell variant of calcifying epithelial odontogenic tumour is a very rare, aggressive variant of CEOT which demands proper clinicopathologic and radiographic examination for diagnosis. It also highlights the necessity for multiple biopsies in case of larger gingival lesions.</p>","PeriodicalId":38846,"journal":{"name":"Journal of Oral and Maxillofacial Pathology","volume":"29 1","pages":"140-144"},"PeriodicalIF":0.0000,"publicationDate":"2025-01-01","publicationTypes":"Journal Article","fieldsOfStudy":null,"isOpenAccess":false,"openAccessPdf":"https://www.ncbi.nlm.nih.gov/pmc/articles/PMC12002593/pdf/","citationCount":"0","resultStr":"{\"title\":\"Unravelling a solitary gingival swelling: A unique case report of clear cell calcifying epithelial odontogenic tumour.\",\"authors\":\"Latha M Cherian, P C Rasla, M Indu, Sabu Paul\",\"doi\":\"10.4103/jomfp.jomfp_9_24\",\"DOIUrl\":null,\"url\":null,\"abstract\":\"<p><p>Gingiva is one of the common sites for many reactive, benign and malignant lesions. Localized gingival overgrowths usually present with a wide variety of clinical and histopathological features, and it will create a challenge for proper diagnosis. We report a case of a 48-year-old male patient with a slow-growing swelling on the lower anterior gingiva, extending to the floor of the mouth. A differential diagnosis of pyogenic granuloma or salivary gland neoplasm was considered. The lesion was diagnosed as clear cell variant of calcifying epithelial odontogenic tumour after the histopathological and immunohistochemical evaluation of multiple biopsy specimens from different sites of the lesion. Clear cell variant of calcifying epithelial odontogenic tumour is a very rare, aggressive variant of CEOT which demands proper clinicopathologic and radiographic examination for diagnosis. It also highlights the necessity for multiple biopsies in case of larger gingival lesions.</p>\",\"PeriodicalId\":38846,\"journal\":{\"name\":\"Journal of Oral and Maxillofacial Pathology\",\"volume\":\"29 1\",\"pages\":\"140-144\"},\"PeriodicalIF\":0.0000,\"publicationDate\":\"2025-01-01\",\"publicationTypes\":\"Journal Article\",\"fieldsOfStudy\":null,\"isOpenAccess\":false,\"openAccessPdf\":\"https://www.ncbi.nlm.nih.gov/pmc/articles/PMC12002593/pdf/\",\"citationCount\":\"0\",\"resultStr\":null,\"platform\":\"Semanticscholar\",\"paperid\":null,\"PeriodicalName\":\"Journal of Oral and Maxillofacial Pathology\",\"FirstCategoryId\":\"1085\",\"ListUrlMain\":\"https://doi.org/10.4103/jomfp.jomfp_9_24\",\"RegionNum\":0,\"RegionCategory\":null,\"ArticlePicture\":[],\"TitleCN\":null,\"AbstractTextCN\":null,\"PMCID\":null,\"EPubDate\":\"2025/3/28 0:00:00\",\"PubModel\":\"Epub\",\"JCR\":\"Q3\",\"JCRName\":\"Medicine\",\"Score\":null,\"Total\":0}","platform":"Semanticscholar","paperid":null,"PeriodicalName":"Journal of Oral and Maxillofacial Pathology","FirstCategoryId":"1085","ListUrlMain":"https://doi.org/10.4103/jomfp.jomfp_9_24","RegionNum":0,"RegionCategory":null,"ArticlePicture":[],"TitleCN":null,"AbstractTextCN":null,"PMCID":null,"EPubDate":"2025/3/28 0:00:00","PubModel":"Epub","JCR":"Q3","JCRName":"Medicine","Score":null,"Total":0}
引用次数: 0

摘要

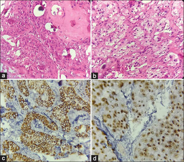
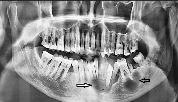
牙龈是许多反应性、良性和恶性病变的常见部位之一。局部牙龈增生通常表现出多种临床和组织病理学特征,这将为正确诊断带来挑战。我们报告一个病例的48岁男性患者缓慢增长的肿胀在下前龈,延伸到口腔的底部。考虑化脓性肉芽肿或唾液腺肿瘤的鉴别诊断。在对病变不同部位的多个活检标本进行组织病理学和免疫组织化学评估后,病变被诊断为钙化上皮牙源性肿瘤的透明细胞变异。钙化上皮性牙源性肿瘤的透明细胞变体是一种非常罕见的侵袭性CEOT变体,需要适当的临床病理和影像学检查才能诊断。它还强调了在较大的牙龈病变情况下进行多次活检的必要性。
本文章由计算机程序翻译,如有差异,请以英文原文为准。

Unravelling a solitary gingival swelling: A unique case report of clear cell calcifying epithelial odontogenic tumour.

Unravelling a solitary gingival swelling: A unique case report of clear cell calcifying epithelial odontogenic tumour.

Unravelling a solitary gingival swelling: A unique case report of clear cell calcifying epithelial odontogenic tumour.

Gingiva is one of the common sites for many reactive, benign and malignant lesions. Localized gingival overgrowths usually present with a wide variety of clinical and histopathological features, and it will create a challenge for proper diagnosis. We report a case of a 48-year-old male patient with a slow-growing swelling on the lower anterior gingiva, extending to the floor of the mouth. A differential diagnosis of pyogenic granuloma or salivary gland neoplasm was considered. The lesion was diagnosed as clear cell variant of calcifying epithelial odontogenic tumour after the histopathological and immunohistochemical evaluation of multiple biopsy specimens from different sites of the lesion. Clear cell variant of calcifying epithelial odontogenic tumour is a very rare, aggressive variant of CEOT which demands proper clinicopathologic and radiographic examination for diagnosis. It also highlights the necessity for multiple biopsies in case of larger gingival lesions.

求助全文
通过发布文献求助,成功后即可免费获取论文全文。 去求助
来源期刊
Journal of Oral and Maxillofacial Pathology
Journal of Oral and Maxillofacial Pathology Medicine-Otorhinolaryngology
CiteScore
1.40
自引率
0.00%
发文量
115
期刊介绍: The journal of Oral and Maxillofacial Pathology [ISSN:print-(0973-029X, online-1998-393X)] is a tri-annual journal published on behalf of “The Indian Association of Oral and Maxillofacial Pathologists” (IAOMP). The publication of JOMFP was started in the year 1993. The journal publishes papers on a wide spectrum of topics associated with the scope of Oral and Maxillofacial Pathology, also, ensuring scientific merit and quality. It is a comprehensive reading material for the professionals who want to upgrade their diagnostic skills in Oral Diseases; allows exposure to newer topics and methods of research in the Oral-facial Tissues and Pathology. New features allow an open minded thinking and approach to various pathologies. It also encourages authors to showcase quality work done by them and to compile relevant cases which are diagnostically challenging. The Journal takes pride in maintaining the quality of articles and photomicrographs.
×
引用
GB/T 7714-2015
复制
MLA
复制
APA
复制
导出至
BibTeX EndNote RefMan NoteFirst NoteExpress
×
提示
您的信息不完整,为了账户安全,请先补充。
现在去补充
×
提示
您因"违规操作"
具体请查看互助需知
我知道了
×
提示
确定
请完成安全验证×
copy
已复制链接
快去分享给好友吧!
我知道了
右上角分享
点击右上角分享
0
联系我们:info@booksci.cn Book学术提供免费学术资源搜索服务,方便国内外学者检索中英文文献。致力于提供最便捷和优质的服务体验。 Copyright © 2023 布克学术 All rights reserved.
京ICP备2023020795号-1
ghs 京公网安备 11010802042870号
Book学术文献互助
Book学术文献互助群
群 号:604180095
Book学术官方微信