使用OpTIMUS的线圈组合可以提高7 T时获得的体内MR光谱的信噪比。

IF 2.7 4区 医学 Q2 BIOPHYSICS
Eva Martinez Luque, Dongsuk Sung, Benjamin B Risk, Rachel M Goldberg, Candace C Fleischer
{"title":"使用OpTIMUS的线圈组合可以提高7 T时获得的体内MR光谱的信噪比。","authors":"Eva Martinez Luque, Dongsuk Sung, Benjamin B Risk, Rachel M Goldberg, Candace C Fleischer","doi":"10.1002/nbm.70044","DOIUrl":null,"url":null,"abstract":"<p><p>Magnetic resonance spectroscopy (MRS) enables noninvasive quantification of metabolites, but its utility in vivo can be limited by low signal-to-noise ratios (SNRs) and long acquisition times. The use of ultrahigh-field (UHF) strengths (> 3 T) combined with multichannel phased receive arrays can improve spectral SNR. A crucial step in the use of multichannel arrays is the combination of spectra acquired from individual coil channels. We previously developed a coil combination method at 3 T, optimized truncation to integrate multichannel MRS data using rank-R singular value decomposition (OpTIMUS), which uses noise-whitened windowed spectra and iterative rank-R singular value decomposition (SVD) to combine multichannel MRS data. Here, we evaluated OpTIMUS for combination of MR spectra acquired using a multichannel phased array at 7 T and compared spectral SNR and metabolite quantification with spectra combined using whitened SVD (WSVD), signal/noise squared (S/N<sup>2</sup>), and the Brown method. Data were acquired from 14 healthy volunteers, including five with data acquired at both 3 and 7 T, and from nine people living with HIV. Spectra combined using OpTIMUS resulted in a higher SNR compared to the three other methods, consistent with our prior results at 3 T. With half the number of averages (N = 32), spectra combined with OpTIMUS had higher SNR compared to spectra using the Brown method with 64 averages. Additionally, spectra combined using OpTIMUS at 7 T were compared to spectra acquired at 3 T with the same number of averages (N = 64) or matched acquisition times (N = 110 averages), and spectral fitting was consistently improved at 7 T even when comparable SNR was obtained at 3 T. The ability to increase SNR and maintain spectral quality by optimizing spectral coil combination has the potential to reduce scan time, a key challenge for routine clinical use of MRS.</p>","PeriodicalId":19309,"journal":{"name":"NMR in Biomedicine","volume":"38 6","pages":"e70044"},"PeriodicalIF":2.7000,"publicationDate":"2025-06-01","publicationTypes":"Journal Article","fieldsOfStudy":null,"isOpenAccess":false,"openAccessPdf":"https://www.ncbi.nlm.nih.gov/pmc/articles/PMC12035523/pdf/","citationCount":"0","resultStr":"{\"title\":\"Coil Combination Using OpTIMUS Results in Improved Signal-to-Noise Ratios of In Vivo MR Spectra Acquired at 7 T.\",\"authors\":\"Eva Martinez Luque, Dongsuk Sung, Benjamin B Risk, Rachel M Goldberg, Candace C Fleischer\",\"doi\":\"10.1002/nbm.70044\",\"DOIUrl\":null,\"url\":null,\"abstract\":\"<p><p>Magnetic resonance spectroscopy (MRS) enables noninvasive quantification of metabolites, but its utility in vivo can be limited by low signal-to-noise ratios (SNRs) and long acquisition times. The use of ultrahigh-field (UHF) strengths (> 3 T) combined with multichannel phased receive arrays can improve spectral SNR. A crucial step in the use of multichannel arrays is the combination of spectra acquired from individual coil channels. We previously developed a coil combination method at 3 T, optimized truncation to integrate multichannel MRS data using rank-R singular value decomposition (OpTIMUS), which uses noise-whitened windowed spectra and iterative rank-R singular value decomposition (SVD) to combine multichannel MRS data. Here, we evaluated OpTIMUS for combination of MR spectra acquired using a multichannel phased array at 7 T and compared spectral SNR and metabolite quantification with spectra combined using whitened SVD (WSVD), signal/noise squared (S/N<sup>2</sup>), and the Brown method. Data were acquired from 14 healthy volunteers, including five with data acquired at both 3 and 7 T, and from nine people living with HIV. Spectra combined using OpTIMUS resulted in a higher SNR compared to the three other methods, consistent with our prior results at 3 T. With half the number of averages (N = 32), spectra combined with OpTIMUS had higher SNR compared to spectra using the Brown method with 64 averages. Additionally, spectra combined using OpTIMUS at 7 T were compared to spectra acquired at 3 T with the same number of averages (N = 64) or matched acquisition times (N = 110 averages), and spectral fitting was consistently improved at 7 T even when comparable SNR was obtained at 3 T. The ability to increase SNR and maintain spectral quality by optimizing spectral coil combination has the potential to reduce scan time, a key challenge for routine clinical use of MRS.</p>\",\"PeriodicalId\":19309,\"journal\":{\"name\":\"NMR in Biomedicine\",\"volume\":\"38 6\",\"pages\":\"e70044\"},\"PeriodicalIF\":2.7000,\"publicationDate\":\"2025-06-01\",\"publicationTypes\":\"Journal Article\",\"fieldsOfStudy\":null,\"isOpenAccess\":false,\"openAccessPdf\":\"https://www.ncbi.nlm.nih.gov/pmc/articles/PMC12035523/pdf/\",\"citationCount\":\"0\",\"resultStr\":null,\"platform\":\"Semanticscholar\",\"paperid\":null,\"PeriodicalName\":\"NMR in Biomedicine\",\"FirstCategoryId\":\"3\",\"ListUrlMain\":\"https://doi.org/10.1002/nbm.70044\",\"RegionNum\":4,\"RegionCategory\":\"医学\",\"ArticlePicture\":[],\"TitleCN\":null,\"AbstractTextCN\":null,\"PMCID\":null,\"EPubDate\":\"\",\"PubModel\":\"\",\"JCR\":\"Q2\",\"JCRName\":\"BIOPHYSICS\",\"Score\":null,\"Total\":0}","platform":"Semanticscholar","paperid":null,"PeriodicalName":"NMR in Biomedicine","FirstCategoryId":"3","ListUrlMain":"https://doi.org/10.1002/nbm.70044","RegionNum":4,"RegionCategory":"医学","ArticlePicture":[],"TitleCN":null,"AbstractTextCN":null,"PMCID":null,"EPubDate":"","PubModel":"","JCR":"Q2","JCRName":"BIOPHYSICS","Score":null,"Total":0}
引用次数: 0

摘要

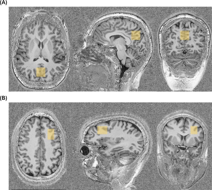
磁共振波谱(MRS)可以实现代谢物的无创定量,但其在体内的应用受到低信噪比(SNRs)和长采集时间的限制。利用超高频(UHF)强度与多通道相控接收阵列相结合可以提高频谱信噪比。使用多通道阵列的一个关键步骤是组合从单个线圈通道获得的光谱。我们之前开发了一种3 T的线圈组合方法,利用秩- r奇异值分解(OpTIMUS)优化截断来整合多通道MRS数据,该方法使用噪声白化的窗口光谱和迭代秩- r奇异值分解(SVD)来组合多通道MRS数据。在这里,我们评估了OpTIMUS在7 T时使用多通道相控阵获得的MR光谱组合,并将光谱信噪比和代谢物量化与使用白化奇异值分解(WSVD)、信噪比平方(S/N2)和布朗方法组合的光谱进行了比较。数据来自14名健康志愿者,包括5名在3岁和7岁时获得数据的志愿者,以及9名艾滋病毒感染者。与其他三种方法相比,使用OpTIMUS的光谱组合获得了更高的信噪比,与我们之前在3t时的结果一致。与使用64个平均值的Brown方法相比,与OpTIMUS结合的光谱具有更高的信噪比,平均次数为平均值的一半(N = 32)。此外,将7 T时使用OpTIMUS组合的光谱与3 T时获得的光谱进行了比较,这些光谱具有相同的平均次数(N = 64)或匹配的采集次数(N = 110次平均),即使在3 T时获得相当的信噪比,光谱拟合也在7 T时得到了持续改善。通过优化光谱线圈组合来提高信噪比和保持光谱质量的能力有可能减少扫描时间,这是MRS常规临床应用的一个关键挑战。
本文章由计算机程序翻译,如有差异,请以英文原文为准。

Coil Combination Using OpTIMUS Results in Improved Signal-to-Noise Ratios of In Vivo MR Spectra Acquired at 7 T.

Coil Combination Using OpTIMUS Results in Improved Signal-to-Noise Ratios of In Vivo MR Spectra Acquired at 7 T.

Coil Combination Using OpTIMUS Results in Improved Signal-to-Noise Ratios of In Vivo MR Spectra Acquired at 7 T.

Coil Combination Using OpTIMUS Results in Improved Signal-to-Noise Ratios of In Vivo MR Spectra Acquired at 7 T.

Magnetic resonance spectroscopy (MRS) enables noninvasive quantification of metabolites, but its utility in vivo can be limited by low signal-to-noise ratios (SNRs) and long acquisition times. The use of ultrahigh-field (UHF) strengths (> 3 T) combined with multichannel phased receive arrays can improve spectral SNR. A crucial step in the use of multichannel arrays is the combination of spectra acquired from individual coil channels. We previously developed a coil combination method at 3 T, optimized truncation to integrate multichannel MRS data using rank-R singular value decomposition (OpTIMUS), which uses noise-whitened windowed spectra and iterative rank-R singular value decomposition (SVD) to combine multichannel MRS data. Here, we evaluated OpTIMUS for combination of MR spectra acquired using a multichannel phased array at 7 T and compared spectral SNR and metabolite quantification with spectra combined using whitened SVD (WSVD), signal/noise squared (S/N2), and the Brown method. Data were acquired from 14 healthy volunteers, including five with data acquired at both 3 and 7 T, and from nine people living with HIV. Spectra combined using OpTIMUS resulted in a higher SNR compared to the three other methods, consistent with our prior results at 3 T. With half the number of averages (N = 32), spectra combined with OpTIMUS had higher SNR compared to spectra using the Brown method with 64 averages. Additionally, spectra combined using OpTIMUS at 7 T were compared to spectra acquired at 3 T with the same number of averages (N = 64) or matched acquisition times (N = 110 averages), and spectral fitting was consistently improved at 7 T even when comparable SNR was obtained at 3 T. The ability to increase SNR and maintain spectral quality by optimizing spectral coil combination has the potential to reduce scan time, a key challenge for routine clinical use of MRS.

求助全文
通过发布文献求助,成功后即可免费获取论文全文。 去求助
来源期刊
NMR in Biomedicine
NMR in Biomedicine 医学-光谱学
CiteScore
6.00
自引率
10.30%
发文量
209
审稿时长
3-8 weeks
期刊介绍: NMR in Biomedicine is a journal devoted to the publication of original full-length papers, rapid communications and review articles describing the development of magnetic resonance spectroscopy or imaging methods or their use to investigate physiological, biochemical, biophysical or medical problems. Topics for submitted papers should be in one of the following general categories: (a) development of methods and instrumentation for MR of biological systems; (b) studies of normal or diseased organs, tissues or cells; (c) diagnosis or treatment of disease. Reports may cover work on patients or healthy human subjects, in vivo animal experiments, studies of isolated organs or cultured cells, analysis of tissue extracts, NMR theory, experimental techniques, or instrumentation.
×
引用
GB/T 7714-2015
复制
MLA
复制
APA
复制
导出至
BibTeX EndNote RefMan NoteFirst NoteExpress
×
提示
您的信息不完整,为了账户安全,请先补充。
现在去补充
×
提示
您因"违规操作"
具体请查看互助需知
我知道了
×
提示
确定
请完成安全验证×
copy
已复制链接
快去分享给好友吧!
我知道了
右上角分享
点击右上角分享
0
联系我们:info@booksci.cn Book学术提供免费学术资源搜索服务,方便国内外学者检索中英文文献。致力于提供最便捷和优质的服务体验。 Copyright © 2023 布克学术 All rights reserved.
京ICP备2023020795号-1
ghs 京公网安备 11010802042870号
Book学术文献互助
Book学术文献互助群
群 号:604180095
Book学术官方微信