围断奶期发育不良综合征(PFTS):猪健康日益受到关注。

IF 3.1 2区 农林科学 Q1 VETERINARY SCIENCES
Macarena Rodríguez-Ruiz, Librado Carrasco, Inés Ruedas-Torres, José M Sánchez-Carvajal, Karola Fristiková, Carmen Álvarez-Delgado, Irene M Rodríguez-Gómez, Jaime Gómez-Laguna, Francisco J Pallarés
{"title":"围断奶期发育不良综合征(PFTS):猪健康日益受到关注。","authors":"Macarena Rodríguez-Ruiz, Librado Carrasco, Inés Ruedas-Torres, José M Sánchez-Carvajal, Karola Fristiková, Carmen Álvarez-Delgado, Irene M Rodríguez-Gómez, Jaime Gómez-Laguna, Francisco J Pallarés","doi":"10.1186/s40813-025-00434-9","DOIUrl":null,"url":null,"abstract":"<p><strong>Background: </strong>Porcine Periweaning Failure to Thrive syndrome (PFTS) is a complex and scarcely investigated syndrome that has been of increasing concern in the swine industry during the last decade. Its aetiology is believed to be multifactorial, and although both infectious and non-infectious factors may be involved, including a possible genetic predisposition, consistent association needs to be elucidated.</p><p><strong>Main body: </strong>PFTS is characterised by growth retardation and non-specific clinical symptoms that may include progressive debilitation of weaned pigs that typically emerge within two to three weeks after weaning and repetitive oral behaviour such as chomping and licking. Currently, the diagnosis of the syndrome is based on gross examination, where the main observation is a thymus severely atrophic and the gastrointestinal tract empty, and the following characteristic histologic lesions: thymic atrophy, superficial lymphoplasmacytic fundic gastritis, villus atrophy in the small intestine, superficial colitis, lymphocytic and neutrophilic rhinitis, and mild nonsuppurative meningoencephalitis. Research on PFTS has explored various factors contributing to the syndrome, including viral agents, genetic predisposition, and nutritional deficiencies. Studies have identified potential infectious agents, but the definitive association with the syndrome remains unclear. Genetic predisposition has also been suggested to play a role during PFTS, identifying potential boars to individually contribute to PFTS and paternity tests have linked affected piglets to certain boars, suggesting individual susceptibility. In this review, we will explore the contributing factors which may be involved in the development of the syndrome, as well as examine the current knowledge on its diagnosis and pathogenesis.</p><p><strong>Conclusion: </strong>PFTS presents a significant challenge in the swine industry due the unknown aetiology and the difficulty to establish an appropriate diagnosis of the syndrome. Therefore, additional research is needed to investigate the microbial, genetic, and environmental factors that influence PFTS, as this is crucial for developing targeted control measures and potential treatments.</p>","PeriodicalId":20352,"journal":{"name":"Porcine Health Management","volume":"11 1","pages":"20"},"PeriodicalIF":3.1000,"publicationDate":"2025-04-10","publicationTypes":"Journal Article","fieldsOfStudy":null,"isOpenAccess":false,"openAccessPdf":"https://www.ncbi.nlm.nih.gov/pmc/articles/PMC11987433/pdf/","citationCount":"0","resultStr":"{\"title\":\"Periweaning failure to thrive syndrome (PFTS): A growing concern in swine health.\",\"authors\":\"Macarena Rodríguez-Ruiz, Librado Carrasco, Inés Ruedas-Torres, José M Sánchez-Carvajal, Karola Fristiková, Carmen Álvarez-Delgado, Irene M Rodríguez-Gómez, Jaime Gómez-Laguna, Francisco J Pallarés\",\"doi\":\"10.1186/s40813-025-00434-9\",\"DOIUrl\":null,\"url\":null,\"abstract\":\"<p><strong>Background: </strong>Porcine Periweaning Failure to Thrive syndrome (PFTS) is a complex and scarcely investigated syndrome that has been of increasing concern in the swine industry during the last decade. Its aetiology is believed to be multifactorial, and although both infectious and non-infectious factors may be involved, including a possible genetic predisposition, consistent association needs to be elucidated.</p><p><strong>Main body: </strong>PFTS is characterised by growth retardation and non-specific clinical symptoms that may include progressive debilitation of weaned pigs that typically emerge within two to three weeks after weaning and repetitive oral behaviour such as chomping and licking. Currently, the diagnosis of the syndrome is based on gross examination, where the main observation is a thymus severely atrophic and the gastrointestinal tract empty, and the following characteristic histologic lesions: thymic atrophy, superficial lymphoplasmacytic fundic gastritis, villus atrophy in the small intestine, superficial colitis, lymphocytic and neutrophilic rhinitis, and mild nonsuppurative meningoencephalitis. Research on PFTS has explored various factors contributing to the syndrome, including viral agents, genetic predisposition, and nutritional deficiencies. Studies have identified potential infectious agents, but the definitive association with the syndrome remains unclear. Genetic predisposition has also been suggested to play a role during PFTS, identifying potential boars to individually contribute to PFTS and paternity tests have linked affected piglets to certain boars, suggesting individual susceptibility. In this review, we will explore the contributing factors which may be involved in the development of the syndrome, as well as examine the current knowledge on its diagnosis and pathogenesis.</p><p><strong>Conclusion: </strong>PFTS presents a significant challenge in the swine industry due the unknown aetiology and the difficulty to establish an appropriate diagnosis of the syndrome. Therefore, additional research is needed to investigate the microbial, genetic, and environmental factors that influence PFTS, as this is crucial for developing targeted control measures and potential treatments.</p>\",\"PeriodicalId\":20352,\"journal\":{\"name\":\"Porcine Health Management\",\"volume\":\"11 1\",\"pages\":\"20\"},\"PeriodicalIF\":3.1000,\"publicationDate\":\"2025-04-10\",\"publicationTypes\":\"Journal Article\",\"fieldsOfStudy\":null,\"isOpenAccess\":false,\"openAccessPdf\":\"https://www.ncbi.nlm.nih.gov/pmc/articles/PMC11987433/pdf/\",\"citationCount\":\"0\",\"resultStr\":null,\"platform\":\"Semanticscholar\",\"paperid\":null,\"PeriodicalName\":\"Porcine Health Management\",\"FirstCategoryId\":\"97\",\"ListUrlMain\":\"https://doi.org/10.1186/s40813-025-00434-9\",\"RegionNum\":2,\"RegionCategory\":\"农林科学\",\"ArticlePicture\":[],\"TitleCN\":null,\"AbstractTextCN\":null,\"PMCID\":null,\"EPubDate\":\"\",\"PubModel\":\"\",\"JCR\":\"Q1\",\"JCRName\":\"VETERINARY SCIENCES\",\"Score\":null,\"Total\":0}","platform":"Semanticscholar","paperid":null,"PeriodicalName":"Porcine Health Management","FirstCategoryId":"97","ListUrlMain":"https://doi.org/10.1186/s40813-025-00434-9","RegionNum":2,"RegionCategory":"农林科学","ArticlePicture":[],"TitleCN":null,"AbstractTextCN":null,"PMCID":null,"EPubDate":"","PubModel":"","JCR":"Q1","JCRName":"VETERINARY SCIENCES","Score":null,"Total":0}
引用次数: 0

摘要

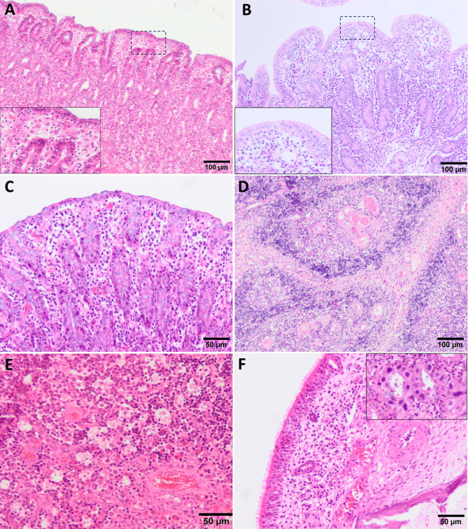
背景:猪围断奶期发育不全综合征(PFTS)是一种复杂且很少被研究的综合征,在过去的十年中在养猪业中越来越受到关注。其病因被认为是多因素的,虽然可能涉及感染性和非感染性因素,包括可能的遗传易感性,但一致的关联需要阐明。主体:PFTS的特点是生长迟缓和非特异性临床症状,可能包括通常在断奶后两至三周内出现的断奶仔猪进行性虚弱,以及重复的口腔行为,如咀嚼和舔食。目前,该综合征的诊断以大体检查为基础,主要观察胸腺严重萎缩、胃肠道空,并伴有以下特征性组织学病变:胸腺萎缩、浅表性淋巴浆细胞性基底性胃炎、小肠绒毛萎缩、浅表性结肠炎、淋巴细胞性和中性粒细胞性鼻炎、轻度非化脓性脑膜脑炎。对PFTS的研究已经探索了导致该综合征的各种因素,包括病毒因子、遗传易感性和营养缺乏。研究已经确定了潜在的传染因子,但与该综合征的确切关联尚不清楚。遗传易感性也被认为在PFTS期间发挥作用,确定潜在的公猪个体对PFTS的贡献,亲子鉴定将受影响的仔猪与某些公猪联系起来,表明个体易感性。在这篇综述中,我们将探讨可能参与该综合征发展的因素,并检查其诊断和发病机制的现有知识。结论:PFTS在养猪业提出了一个重大挑战,由于未知的病因和难以建立一个适当的诊断综合征。因此,需要进一步研究影响PFTS的微生物、遗传和环境因素,因为这对于制定有针对性的控制措施和潜在的治疗方法至关重要。
本文章由计算机程序翻译,如有差异,请以英文原文为准。

Periweaning failure to thrive syndrome (PFTS): A growing concern in swine health.

Periweaning failure to thrive syndrome (PFTS): A growing concern in swine health.

Periweaning failure to thrive syndrome (PFTS): A growing concern in swine health.

Periweaning failure to thrive syndrome (PFTS): A growing concern in swine health.

Background: Porcine Periweaning Failure to Thrive syndrome (PFTS) is a complex and scarcely investigated syndrome that has been of increasing concern in the swine industry during the last decade. Its aetiology is believed to be multifactorial, and although both infectious and non-infectious factors may be involved, including a possible genetic predisposition, consistent association needs to be elucidated.

Main body: PFTS is characterised by growth retardation and non-specific clinical symptoms that may include progressive debilitation of weaned pigs that typically emerge within two to three weeks after weaning and repetitive oral behaviour such as chomping and licking. Currently, the diagnosis of the syndrome is based on gross examination, where the main observation is a thymus severely atrophic and the gastrointestinal tract empty, and the following characteristic histologic lesions: thymic atrophy, superficial lymphoplasmacytic fundic gastritis, villus atrophy in the small intestine, superficial colitis, lymphocytic and neutrophilic rhinitis, and mild nonsuppurative meningoencephalitis. Research on PFTS has explored various factors contributing to the syndrome, including viral agents, genetic predisposition, and nutritional deficiencies. Studies have identified potential infectious agents, but the definitive association with the syndrome remains unclear. Genetic predisposition has also been suggested to play a role during PFTS, identifying potential boars to individually contribute to PFTS and paternity tests have linked affected piglets to certain boars, suggesting individual susceptibility. In this review, we will explore the contributing factors which may be involved in the development of the syndrome, as well as examine the current knowledge on its diagnosis and pathogenesis.

Conclusion: PFTS presents a significant challenge in the swine industry due the unknown aetiology and the difficulty to establish an appropriate diagnosis of the syndrome. Therefore, additional research is needed to investigate the microbial, genetic, and environmental factors that influence PFTS, as this is crucial for developing targeted control measures and potential treatments.

求助全文
通过发布文献求助,成功后即可免费获取论文全文。 去求助
来源期刊
Porcine Health Management
Porcine Health Management Veterinary-Food Animals
CiteScore
5.40
自引率
5.90%
发文量
49
审稿时长
14 weeks
期刊介绍: Porcine Health Management (PHM) is an open access peer-reviewed journal that aims to publish relevant, novel and revised information regarding all aspects of swine health medicine and production.
×
引用
GB/T 7714-2015
复制
MLA
复制
APA
复制
导出至
BibTeX EndNote RefMan NoteFirst NoteExpress
×
提示
您的信息不完整,为了账户安全,请先补充。
现在去补充
×
提示
您因"违规操作"
具体请查看互助需知
我知道了
×
提示
确定
请完成安全验证×
copy
已复制链接
快去分享给好友吧!
我知道了
右上角分享
点击右上角分享
0
联系我们:info@booksci.cn Book学术提供免费学术资源搜索服务,方便国内外学者检索中英文文献。致力于提供最便捷和优质的服务体验。 Copyright © 2023 布克学术 All rights reserved.
京ICP备2023020795号-1
ghs 京公网安备 11010802042870号
Book学术文献互助
Book学术文献互助群
群 号:604180095
Book学术官方微信