复发性中枢性浆液性脉络膜视网膜病变的罕见治疗方法:病例报告及文献复习。

Raluca Neacșa, Daniela Manasia, Mădălina-Elena Tobă
{"title":"复发性中枢性浆液性脉络膜视网膜病变的罕见治疗方法:病例报告及文献复习。","authors":"Raluca Neacșa, Daniela Manasia, Mădălina-Elena Tobă","doi":"10.22336/rjo.2025.04","DOIUrl":null,"url":null,"abstract":"<p><strong>Objectives: </strong>The objective of anti-VEGF (Vascular Endothelial Growth Factor) injections in the treatment of central serous chorioretinopathy (CSCR) is to help reduce fluid accumulation beneath the retina, promote resolution of retinal edema, and potentially prevent complications like permanent vision loss.The goal is to stabilize or improve vision by improving visual outcomes by reducing fluid and promoting retina reattachment.</p><p><strong>Case presentation: </strong>A 43-year-old Caucasian male presented with painless, decreased vision in the left eye. The diagnosis of central serous chorioretinopathy was made. After the anti-VEGF injections, the results were good, beyond expectations, and the OCT aspect was maintained at 6 months within normal limits of the foveal affected area without recording extra vision loss.</p><p><strong>Discussions: </strong>In CSCR, the retinal pigment epithelium (RPE) becomes compromised, causing fluid from the choroid to leak under the retina, leading to retinal or serous detachment of the macula. While the exact cause of CSCR is not fully understood, it is believed that the increased permeability of the choroidal vessels, often due to elevated VEGF levels, contributes to fluid leakage. The specific goals of using anti-VEGF injections in CSCR include reducing choroidal vascular leakage, promoting fluid reabsorption, and preventing recurrence or progression.</p><p><strong>Conclusion: </strong>Anti-VEGF agents like aflibercept and ranibizumab are commonly used in treating CSCR, though their effectiveness can vary, and treatment regimens depend on individual patient response. Typically, anti-VEGF injections are administered via intravitreal injection into the eye, with repeat injections, if necessary, based on monitoring the patient's condition.</p>","PeriodicalId":94355,"journal":{"name":"Romanian journal of ophthalmology","volume":"69 1","pages":"17-21"},"PeriodicalIF":0.0000,"publicationDate":"2025-01-01","publicationTypes":"Journal Article","fieldsOfStudy":null,"isOpenAccess":false,"openAccessPdf":"https://www.ncbi.nlm.nih.gov/pmc/articles/PMC12049657/pdf/","citationCount":"0","resultStr":"{\"title\":\"Uncommon Therapeutic Approaches for Patients with Recurrent Central Serous Chorioretinopathy: case report and literature review.\",\"authors\":\"Raluca Neacșa, Daniela Manasia, Mădălina-Elena Tobă\",\"doi\":\"10.22336/rjo.2025.04\",\"DOIUrl\":null,\"url\":null,\"abstract\":\"<p><strong>Objectives: </strong>The objective of anti-VEGF (Vascular Endothelial Growth Factor) injections in the treatment of central serous chorioretinopathy (CSCR) is to help reduce fluid accumulation beneath the retina, promote resolution of retinal edema, and potentially prevent complications like permanent vision loss.The goal is to stabilize or improve vision by improving visual outcomes by reducing fluid and promoting retina reattachment.</p><p><strong>Case presentation: </strong>A 43-year-old Caucasian male presented with painless, decreased vision in the left eye. The diagnosis of central serous chorioretinopathy was made. After the anti-VEGF injections, the results were good, beyond expectations, and the OCT aspect was maintained at 6 months within normal limits of the foveal affected area without recording extra vision loss.</p><p><strong>Discussions: </strong>In CSCR, the retinal pigment epithelium (RPE) becomes compromised, causing fluid from the choroid to leak under the retina, leading to retinal or serous detachment of the macula. While the exact cause of CSCR is not fully understood, it is believed that the increased permeability of the choroidal vessels, often due to elevated VEGF levels, contributes to fluid leakage. The specific goals of using anti-VEGF injections in CSCR include reducing choroidal vascular leakage, promoting fluid reabsorption, and preventing recurrence or progression.</p><p><strong>Conclusion: </strong>Anti-VEGF agents like aflibercept and ranibizumab are commonly used in treating CSCR, though their effectiveness can vary, and treatment regimens depend on individual patient response. Typically, anti-VEGF injections are administered via intravitreal injection into the eye, with repeat injections, if necessary, based on monitoring the patient's condition.</p>\",\"PeriodicalId\":94355,\"journal\":{\"name\":\"Romanian journal of ophthalmology\",\"volume\":\"69 1\",\"pages\":\"17-21\"},\"PeriodicalIF\":0.0000,\"publicationDate\":\"2025-01-01\",\"publicationTypes\":\"Journal Article\",\"fieldsOfStudy\":null,\"isOpenAccess\":false,\"openAccessPdf\":\"https://www.ncbi.nlm.nih.gov/pmc/articles/PMC12049657/pdf/\",\"citationCount\":\"0\",\"resultStr\":null,\"platform\":\"Semanticscholar\",\"paperid\":null,\"PeriodicalName\":\"Romanian journal of ophthalmology\",\"FirstCategoryId\":\"1085\",\"ListUrlMain\":\"https://doi.org/10.22336/rjo.2025.04\",\"RegionNum\":0,\"RegionCategory\":null,\"ArticlePicture\":[],\"TitleCN\":null,\"AbstractTextCN\":null,\"PMCID\":null,\"EPubDate\":\"\",\"PubModel\":\"\",\"JCR\":\"\",\"JCRName\":\"\",\"Score\":null,\"Total\":0}","platform":"Semanticscholar","paperid":null,"PeriodicalName":"Romanian journal of ophthalmology","FirstCategoryId":"1085","ListUrlMain":"https://doi.org/10.22336/rjo.2025.04","RegionNum":0,"RegionCategory":null,"ArticlePicture":[],"TitleCN":null,"AbstractTextCN":null,"PMCID":null,"EPubDate":"","PubModel":"","JCR":"","JCRName":"","Score":null,"Total":0}
引用次数: 0

摘要

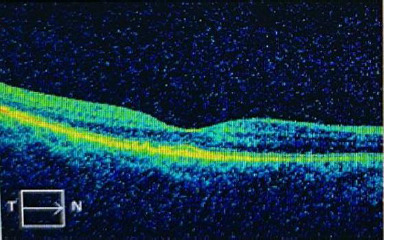
目的:注射抗vegf(血管内皮生长因子)治疗中枢性浆液性脉络膜视网膜病变(CSCR)的目的是帮助减少视网膜下的液体积聚,促进视网膜水肿的消退,并潜在地预防永久性视力丧失等并发症。目的是通过减少液体和促进视网膜再附着来改善视力,从而稳定或改善视力。病例介绍:一名43岁白人男性,左眼无痛性视力下降。诊断为中枢性浆液性脉络膜视网膜病变。抗vegf注射后,结果良好,超出预期,6个月时OCT检查维持在中央凹受累区域正常范围内,未出现额外视力下降。讨论:在CSCR中,视网膜色素上皮(RPE)受损,导致脉络膜液体渗漏到视网膜下,导致黄斑视网膜或浆液脱离。虽然CSCR的确切原因尚不完全清楚,但人们认为脉络膜血管通透性增加,通常是由于VEGF水平升高,导致液体渗漏。在CSCR中使用抗vegf注射剂的具体目标包括减少脉络膜血管渗漏,促进液体重吸收,防止复发或进展。结论:抗vegf药物如阿非利西普和雷尼单抗通常用于治疗CSCR,尽管它们的有效性可能不同,治疗方案取决于个体患者的反应。通常,抗vegf注射是通过玻璃体腔注射到眼睛中,必要时根据患者的病情进行重复注射。
本文章由计算机程序翻译,如有差异,请以英文原文为准。

Uncommon Therapeutic Approaches for Patients with Recurrent Central Serous Chorioretinopathy: case report and literature review.

Uncommon Therapeutic Approaches for Patients with Recurrent Central Serous Chorioretinopathy: case report and literature review.

Uncommon Therapeutic Approaches for Patients with Recurrent Central Serous Chorioretinopathy: case report and literature review.

Uncommon Therapeutic Approaches for Patients with Recurrent Central Serous Chorioretinopathy: case report and literature review.

Objectives: The objective of anti-VEGF (Vascular Endothelial Growth Factor) injections in the treatment of central serous chorioretinopathy (CSCR) is to help reduce fluid accumulation beneath the retina, promote resolution of retinal edema, and potentially prevent complications like permanent vision loss.The goal is to stabilize or improve vision by improving visual outcomes by reducing fluid and promoting retina reattachment.

Case presentation: A 43-year-old Caucasian male presented with painless, decreased vision in the left eye. The diagnosis of central serous chorioretinopathy was made. After the anti-VEGF injections, the results were good, beyond expectations, and the OCT aspect was maintained at 6 months within normal limits of the foveal affected area without recording extra vision loss.

Discussions: In CSCR, the retinal pigment epithelium (RPE) becomes compromised, causing fluid from the choroid to leak under the retina, leading to retinal or serous detachment of the macula. While the exact cause of CSCR is not fully understood, it is believed that the increased permeability of the choroidal vessels, often due to elevated VEGF levels, contributes to fluid leakage. The specific goals of using anti-VEGF injections in CSCR include reducing choroidal vascular leakage, promoting fluid reabsorption, and preventing recurrence or progression.

Conclusion: Anti-VEGF agents like aflibercept and ranibizumab are commonly used in treating CSCR, though their effectiveness can vary, and treatment regimens depend on individual patient response. Typically, anti-VEGF injections are administered via intravitreal injection into the eye, with repeat injections, if necessary, based on monitoring the patient's condition.

求助全文
通过发布文献求助,成功后即可免费获取论文全文。 去求助
来源期刊
自引率
0.00%
发文量
0
×
引用
GB/T 7714-2015
复制
MLA
复制
APA
复制
导出至
BibTeX EndNote RefMan NoteFirst NoteExpress
×
提示
您的信息不完整,为了账户安全,请先补充。
现在去补充
×
提示
您因"违规操作"
具体请查看互助需知
我知道了
×
提示
确定
请完成安全验证×
copy
已复制链接
快去分享给好友吧!
我知道了
右上角分享
点击右上角分享
0
联系我们:info@booksci.cn Book学术提供免费学术资源搜索服务,方便国内外学者检索中英文文献。致力于提供最便捷和优质的服务体验。 Copyright © 2023 布克学术 All rights reserved.
京ICP备2023020795号-1
ghs 京公网安备 11010802042870号
Book学术文献互助
Book学术文献互助群
群 号:604180095
Book学术官方微信