急性疼痛镰状细胞危像期间自发性无骨下血肿伴严重头痛二例。

Francis Akor, Toby Thenat, Sajjad Hussain, Suresh Kumar
{"title":"急性疼痛镰状细胞危像期间自发性无骨下血肿伴严重头痛二例。","authors":"Francis Akor, Toby Thenat, Sajjad Hussain, Suresh Kumar","doi":"10.71480/nmj.v66i1.615","DOIUrl":null,"url":null,"abstract":"<p><p>Sickle cell disease is an inherited disorder of haemoglobin formation, predominantly affecting individuals of African, Indian, or Mediterranean descent. Acute painful episodes frequently occur in these patients due to the blockage of small blood vessels by sickled cells, leading to tissue infarction. Two children of Nigerian descent, presented with severe headaches during a painful crisis episode with associated swelling on their scalps. CT imaging in both cases showed subgaleal haematoma which was managed conservatively in addition to managing the painful crisis with a good outcome. This report highlights the clinical presentation, diagnostic approach, and management of this uncommon complication of sickle cell anaemia.</p>","PeriodicalId":94346,"journal":{"name":"Nigerian medical journal : journal of the Nigeria Medical Association","volume":"66 1","pages":"379-384"},"PeriodicalIF":0.0000,"publicationDate":"2025-04-03","publicationTypes":"Journal Article","fieldsOfStudy":null,"isOpenAccess":false,"openAccessPdf":"https://www.ncbi.nlm.nih.gov/pmc/articles/PMC12038628/pdf/","citationCount":"0","resultStr":"{\"title\":\"Spontaneous subgaleal haematoma with severe headache in two children during acute painful sickle cell crisis.\",\"authors\":\"Francis Akor, Toby Thenat, Sajjad Hussain, Suresh Kumar\",\"doi\":\"10.71480/nmj.v66i1.615\",\"DOIUrl\":null,\"url\":null,\"abstract\":\"<p><p>Sickle cell disease is an inherited disorder of haemoglobin formation, predominantly affecting individuals of African, Indian, or Mediterranean descent. Acute painful episodes frequently occur in these patients due to the blockage of small blood vessels by sickled cells, leading to tissue infarction. Two children of Nigerian descent, presented with severe headaches during a painful crisis episode with associated swelling on their scalps. CT imaging in both cases showed subgaleal haematoma which was managed conservatively in addition to managing the painful crisis with a good outcome. This report highlights the clinical presentation, diagnostic approach, and management of this uncommon complication of sickle cell anaemia.</p>\",\"PeriodicalId\":94346,\"journal\":{\"name\":\"Nigerian medical journal : journal of the Nigeria Medical Association\",\"volume\":\"66 1\",\"pages\":\"379-384\"},\"PeriodicalIF\":0.0000,\"publicationDate\":\"2025-04-03\",\"publicationTypes\":\"Journal Article\",\"fieldsOfStudy\":null,\"isOpenAccess\":false,\"openAccessPdf\":\"https://www.ncbi.nlm.nih.gov/pmc/articles/PMC12038628/pdf/\",\"citationCount\":\"0\",\"resultStr\":null,\"platform\":\"Semanticscholar\",\"paperid\":null,\"PeriodicalName\":\"Nigerian medical journal : journal of the Nigeria Medical Association\",\"FirstCategoryId\":\"1085\",\"ListUrlMain\":\"https://doi.org/10.71480/nmj.v66i1.615\",\"RegionNum\":0,\"RegionCategory\":null,\"ArticlePicture\":[],\"TitleCN\":null,\"AbstractTextCN\":null,\"PMCID\":null,\"EPubDate\":\"2025/1/1 0:00:00\",\"PubModel\":\"eCollection\",\"JCR\":\"\",\"JCRName\":\"\",\"Score\":null,\"Total\":0}","platform":"Semanticscholar","paperid":null,"PeriodicalName":"Nigerian medical journal : journal of the Nigeria Medical Association","FirstCategoryId":"1085","ListUrlMain":"https://doi.org/10.71480/nmj.v66i1.615","RegionNum":0,"RegionCategory":null,"ArticlePicture":[],"TitleCN":null,"AbstractTextCN":null,"PMCID":null,"EPubDate":"2025/1/1 0:00:00","PubModel":"eCollection","JCR":"","JCRName":"","Score":null,"Total":0}
引用次数: 0

摘要

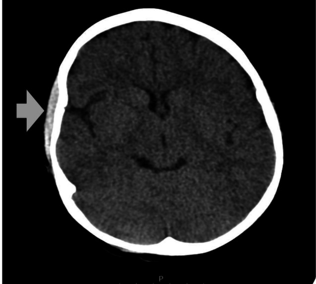
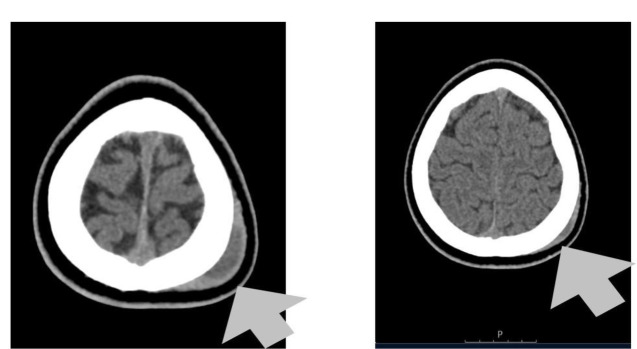
镰状细胞病是一种遗传性的血红蛋白形成疾病,主要影响非洲人、印度人或地中海后裔。由于镰状细胞阻塞小血管,导致组织梗死,这些患者经常发生急性疼痛发作。两名尼日利亚裔儿童在痛苦的危机发作期间出现严重头痛,并伴有头皮肿胀。两例病例的CT成像均显示galgala下血肿,除处理疼痛危机外,还进行了保守处理,结果良好。本报告重点介绍镰状细胞贫血这种罕见并发症的临床表现、诊断方法和治疗。
本文章由计算机程序翻译,如有差异,请以英文原文为准。

Spontaneous subgaleal haematoma with severe headache in two children during acute painful sickle cell crisis.

Spontaneous subgaleal haematoma with severe headache in two children during acute painful sickle cell crisis.

Spontaneous subgaleal haematoma with severe headache in two children during acute painful sickle cell crisis.

Sickle cell disease is an inherited disorder of haemoglobin formation, predominantly affecting individuals of African, Indian, or Mediterranean descent. Acute painful episodes frequently occur in these patients due to the blockage of small blood vessels by sickled cells, leading to tissue infarction. Two children of Nigerian descent, presented with severe headaches during a painful crisis episode with associated swelling on their scalps. CT imaging in both cases showed subgaleal haematoma which was managed conservatively in addition to managing the painful crisis with a good outcome. This report highlights the clinical presentation, diagnostic approach, and management of this uncommon complication of sickle cell anaemia.

求助全文
通过发布文献求助,成功后即可免费获取论文全文。 去求助
来源期刊
自引率
0.00%
发文量
0
×
引用
GB/T 7714-2015
复制
MLA
复制
APA
复制
导出至
BibTeX EndNote RefMan NoteFirst NoteExpress
×
提示
您的信息不完整,为了账户安全,请先补充。
现在去补充
×
提示
您因"违规操作"
具体请查看互助需知
我知道了
×
提示
确定
请完成安全验证×
copy
已复制链接
快去分享给好友吧!
我知道了
右上角分享
点击右上角分享
0
联系我们:info@booksci.cn Book学术提供免费学术资源搜索服务,方便国内外学者检索中英文文献。致力于提供最便捷和优质的服务体验。 Copyright © 2023 布克学术 All rights reserved.
京ICP备2023020795号-1
ghs 京公网安备 11010802042870号
Book学术文献互助
Book学术文献互助群
群 号:604180095
Book学术官方微信