经颅磁刺激诱导轻度认知障碍患者白质微结构改变。

IF 1.6 Q4 CLINICAL NEUROLOGY
Dementia and Geriatric Cognitive Disorders Extra Pub Date : 2025-04-02 eCollection Date: 2025-01-01 DOI:10.1159/000545553
Shengxue Song, Zhiwei Guo, Qiwen Mu
{"title":"经颅磁刺激诱导轻度认知障碍患者白质微结构改变。","authors":"Shengxue Song, Zhiwei Guo, Qiwen Mu","doi":"10.1159/000545553","DOIUrl":null,"url":null,"abstract":"<p><strong>Introduction: </strong>The aim of this study was to investigate whether exposure to noninvasive brain stimulation with high-frequency repetitive transcranial magnetic stimulation (rTMS) applied over the left dorsolateral prefrontal cortex (DLPFC) can improve memory and regulate white matter (WM) microstructure.</p><p><strong>Methods: </strong>Twenty-two mild cognitive impairment participants who were randomly assigned to the real and the sham groups received 10 sessions and sham-controlled 10 Hz rTMS over the DLPFC. All patients underwent cognitive assessments and diffusion tensor imaging scans before and after the intervention. Brain regions that showed significant differences in fractional anisotropy (FA) values were selected as the regions of interest to calculate the correlation with cognitive scores.</p><p><strong>Results: </strong>In the real group, FA values in the left middle frontal gyrus and bilateral parahippocampal gyrus increased and in the right superior frontal gyrus decreased. No significant FA change was detected in the sham group. Furthermore, the FA value of the left middle frontal gyrus was positively correlated with Boston Naming Test (BNT) scores. The change of FA value in the right superior frontal gyrus was positively correlated with the change in the Trail Making Test (TMT-B) score.</p><p><strong>Conclusions: </strong>This study provides new evidence for rTMS to regulate the abnormal WM microstructure in some special regions and causally ameliorate cognitive performance in MCI, which may be the underlying neural mechanism of intervention.</p>","PeriodicalId":38017,"journal":{"name":"Dementia and Geriatric Cognitive Disorders Extra","volume":"15 1","pages":"58-68"},"PeriodicalIF":1.6000,"publicationDate":"2025-04-02","publicationTypes":"Journal Article","fieldsOfStudy":null,"isOpenAccess":false,"openAccessPdf":"https://www.ncbi.nlm.nih.gov/pmc/articles/PMC12058114/pdf/","citationCount":"0","resultStr":"{\"title\":\"Transcranial Magnetic Stimulation Induces White Matter Microstructure Alterations in Patients with Mild Cognitive Impairment.\",\"authors\":\"Shengxue Song, Zhiwei Guo, Qiwen Mu\",\"doi\":\"10.1159/000545553\",\"DOIUrl\":null,\"url\":null,\"abstract\":\"<p><strong>Introduction: </strong>The aim of this study was to investigate whether exposure to noninvasive brain stimulation with high-frequency repetitive transcranial magnetic stimulation (rTMS) applied over the left dorsolateral prefrontal cortex (DLPFC) can improve memory and regulate white matter (WM) microstructure.</p><p><strong>Methods: </strong>Twenty-two mild cognitive impairment participants who were randomly assigned to the real and the sham groups received 10 sessions and sham-controlled 10 Hz rTMS over the DLPFC. All patients underwent cognitive assessments and diffusion tensor imaging scans before and after the intervention. Brain regions that showed significant differences in fractional anisotropy (FA) values were selected as the regions of interest to calculate the correlation with cognitive scores.</p><p><strong>Results: </strong>In the real group, FA values in the left middle frontal gyrus and bilateral parahippocampal gyrus increased and in the right superior frontal gyrus decreased. No significant FA change was detected in the sham group. Furthermore, the FA value of the left middle frontal gyrus was positively correlated with Boston Naming Test (BNT) scores. The change of FA value in the right superior frontal gyrus was positively correlated with the change in the Trail Making Test (TMT-B) score.</p><p><strong>Conclusions: </strong>This study provides new evidence for rTMS to regulate the abnormal WM microstructure in some special regions and causally ameliorate cognitive performance in MCI, which may be the underlying neural mechanism of intervention.</p>\",\"PeriodicalId\":38017,\"journal\":{\"name\":\"Dementia and Geriatric Cognitive Disorders Extra\",\"volume\":\"15 1\",\"pages\":\"58-68\"},\"PeriodicalIF\":1.6000,\"publicationDate\":\"2025-04-02\",\"publicationTypes\":\"Journal Article\",\"fieldsOfStudy\":null,\"isOpenAccess\":false,\"openAccessPdf\":\"https://www.ncbi.nlm.nih.gov/pmc/articles/PMC12058114/pdf/\",\"citationCount\":\"0\",\"resultStr\":null,\"platform\":\"Semanticscholar\",\"paperid\":null,\"PeriodicalName\":\"Dementia and Geriatric Cognitive Disorders Extra\",\"FirstCategoryId\":\"1085\",\"ListUrlMain\":\"https://doi.org/10.1159/000545553\",\"RegionNum\":0,\"RegionCategory\":null,\"ArticlePicture\":[],\"TitleCN\":null,\"AbstractTextCN\":null,\"PMCID\":null,\"EPubDate\":\"2025/1/1 0:00:00\",\"PubModel\":\"eCollection\",\"JCR\":\"Q4\",\"JCRName\":\"CLINICAL NEUROLOGY\",\"Score\":null,\"Total\":0}","platform":"Semanticscholar","paperid":null,"PeriodicalName":"Dementia and Geriatric Cognitive Disorders Extra","FirstCategoryId":"1085","ListUrlMain":"https://doi.org/10.1159/000545553","RegionNum":0,"RegionCategory":null,"ArticlePicture":[],"TitleCN":null,"AbstractTextCN":null,"PMCID":null,"EPubDate":"2025/1/1 0:00:00","PubModel":"eCollection","JCR":"Q4","JCRName":"CLINICAL NEUROLOGY","Score":null,"Total":0}
引用次数: 0

摘要

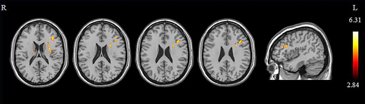
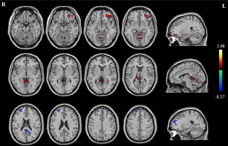
摘要:本研究旨在探讨高频重复经颅磁刺激(rTMS)对左背外侧前额叶皮层(DLPFC)的无创脑刺激是否能改善记忆并调节白质(WM)微观结构。方法:22名轻度认知障碍参与者随机分为真实组和假组,在DLPFC上接受10次假控制的10hz rTMS。所有患者在干预前后都进行了认知评估和弥散张量成像扫描。选取分数各向异性(FA)值有显著差异的脑区作为感兴趣的脑区,计算其与认知评分的相关性。结果:真实组左额叶中回和双侧海马旁回FA值升高,右额叶上回FA值降低。假手术组无明显FA变化。左额中回FA值与波士顿命名测验(Boston Naming Test, BNT)得分呈正相关。右额上回FA值的变化与TMT-B评分的变化呈正相关。结论:本研究为rTMS调节MCI中某些特殊区域的WM异常微结构并改善认知表现提供了新的证据,这可能是干预MCI的潜在神经机制。
本文章由计算机程序翻译,如有差异,请以英文原文为准。

Transcranial Magnetic Stimulation Induces White Matter Microstructure Alterations in Patients with Mild Cognitive Impairment.

Transcranial Magnetic Stimulation Induces White Matter Microstructure Alterations in Patients with Mild Cognitive Impairment.

Transcranial Magnetic Stimulation Induces White Matter Microstructure Alterations in Patients with Mild Cognitive Impairment.

Transcranial Magnetic Stimulation Induces White Matter Microstructure Alterations in Patients with Mild Cognitive Impairment.

Introduction: The aim of this study was to investigate whether exposure to noninvasive brain stimulation with high-frequency repetitive transcranial magnetic stimulation (rTMS) applied over the left dorsolateral prefrontal cortex (DLPFC) can improve memory and regulate white matter (WM) microstructure.

Methods: Twenty-two mild cognitive impairment participants who were randomly assigned to the real and the sham groups received 10 sessions and sham-controlled 10 Hz rTMS over the DLPFC. All patients underwent cognitive assessments and diffusion tensor imaging scans before and after the intervention. Brain regions that showed significant differences in fractional anisotropy (FA) values were selected as the regions of interest to calculate the correlation with cognitive scores.

Results: In the real group, FA values in the left middle frontal gyrus and bilateral parahippocampal gyrus increased and in the right superior frontal gyrus decreased. No significant FA change was detected in the sham group. Furthermore, the FA value of the left middle frontal gyrus was positively correlated with Boston Naming Test (BNT) scores. The change of FA value in the right superior frontal gyrus was positively correlated with the change in the Trail Making Test (TMT-B) score.

Conclusions: This study provides new evidence for rTMS to regulate the abnormal WM microstructure in some special regions and causally ameliorate cognitive performance in MCI, which may be the underlying neural mechanism of intervention.

求助全文
通过发布文献求助,成功后即可免费获取论文全文。 去求助
来源期刊
Dementia and Geriatric Cognitive Disorders Extra
Dementia and Geriatric Cognitive Disorders Extra Medicine-Psychiatry and Mental Health
CiteScore
4.30
自引率
0.00%
发文量
18
审稿时长
9 weeks
期刊介绍: This open access and online-only journal publishes original articles covering the entire spectrum of cognitive dysfunction such as Alzheimer’s and Parkinson’s disease, Huntington’s chorea and other neurodegenerative diseases. The journal draws from diverse related research disciplines such as psychogeriatrics, neuropsychology, clinical neurology, morphology, physiology, genetic molecular biology, pathology, biochemistry, immunology, pharmacology and pharmaceutics. Strong emphasis is placed on the publication of research findings from animal studies which are complemented by clinical and therapeutic experience to give an overall appreciation of the field. Dementia and Geriatric Cognitive Disorders Extra provides additional contents based on reviewed and accepted submissions to the main journal Dementia and Geriatric Cognitive Disorders Extra .
×
引用
GB/T 7714-2015
复制
MLA
复制
APA
复制
导出至
BibTeX EndNote RefMan NoteFirst NoteExpress
×
提示
您的信息不完整,为了账户安全,请先补充。
现在去补充
×
提示
您因"违规操作"
具体请查看互助需知
我知道了
×
提示
确定
请完成安全验证×
copy
已复制链接
快去分享给好友吧!
我知道了
右上角分享
点击右上角分享
0
联系我们:info@booksci.cn Book学术提供免费学术资源搜索服务,方便国内外学者检索中英文文献。致力于提供最便捷和优质的服务体验。 Copyright © 2023 布克学术 All rights reserved.
京ICP备2023020795号-1
ghs 京公网安备 11010802042870号
Book学术文献互助
Book学术文献互助群
群 号:604180095
Book学术官方微信