Dacomitinib新辅助靶向治疗含有EGFR G719X的IIIA期非小细胞肺癌1例

IF 2.8 4区 医学 Q3 BIOTECHNOLOGY & APPLIED MICROBIOLOGY
OncoTargets and therapy Pub Date : 2025-04-05 eCollection Date: 2025-01-01 DOI:10.2147/OTT.S502112
Dan Li, Xin Liu, Yang Liu, Yue Zhu, Dafu Yang, Jincheng Song, Zhaoxia Dai
{"title":"Dacomitinib新辅助靶向治疗含有EGFR G719X的IIIA期非小细胞肺癌1例","authors":"Dan Li, Xin Liu, Yang Liu, Yue Zhu, Dafu Yang, Jincheng Song, Zhaoxia Dai","doi":"10.2147/OTT.S502112","DOIUrl":null,"url":null,"abstract":"<p><p>The effectiveness of epidermal growth factor receptor tyrosine kinase inhibitors (EGFR TKIs) has been established, leading the NCCN Guidelines to recommend it as a first-line treatment for patients with advanced <i>EGFR</i> mutation-positive non-small cell lung cancer (NSCLC). However, there is still controversy about the use of neoadjuvant TKI treatment for patients with stage III EGFR mutation-positive NSCLC. Here, we firstly report that a stage IIIA lung adenocarcinoma patient benefited from chemotherapy and dacomitinib as neoadjuvant targeted therapy based on <i>EGFR</i> G719X mutation, achieving a pathological downstaging and the chance of radical surgical resection. Our case describes dacomitinib use as neoadjuvant targeted therapy for EGFR positive advanced NSCLC and highlights the application of molecular testing for the better treatment decision making.</p>","PeriodicalId":19534,"journal":{"name":"OncoTargets and therapy","volume":"18 ","pages":"503-507"},"PeriodicalIF":2.8000,"publicationDate":"2025-04-05","publicationTypes":"Journal Article","fieldsOfStudy":null,"isOpenAccess":false,"openAccessPdf":"https://www.ncbi.nlm.nih.gov/pmc/articles/PMC11980937/pdf/","citationCount":"0","resultStr":"{\"title\":\"Neoadjuvant Targeted Therapy with Dacomitinib in a Stage IIIA Non-Small-Cell Lung Cancer Patient Harboring <i>EGFR</i> G719X: A Case Report.\",\"authors\":\"Dan Li, Xin Liu, Yang Liu, Yue Zhu, Dafu Yang, Jincheng Song, Zhaoxia Dai\",\"doi\":\"10.2147/OTT.S502112\",\"DOIUrl\":null,\"url\":null,\"abstract\":\"<p><p>The effectiveness of epidermal growth factor receptor tyrosine kinase inhibitors (EGFR TKIs) has been established, leading the NCCN Guidelines to recommend it as a first-line treatment for patients with advanced <i>EGFR</i> mutation-positive non-small cell lung cancer (NSCLC). However, there is still controversy about the use of neoadjuvant TKI treatment for patients with stage III EGFR mutation-positive NSCLC. Here, we firstly report that a stage IIIA lung adenocarcinoma patient benefited from chemotherapy and dacomitinib as neoadjuvant targeted therapy based on <i>EGFR</i> G719X mutation, achieving a pathological downstaging and the chance of radical surgical resection. Our case describes dacomitinib use as neoadjuvant targeted therapy for EGFR positive advanced NSCLC and highlights the application of molecular testing for the better treatment decision making.</p>\",\"PeriodicalId\":19534,\"journal\":{\"name\":\"OncoTargets and therapy\",\"volume\":\"18 \",\"pages\":\"503-507\"},\"PeriodicalIF\":2.8000,\"publicationDate\":\"2025-04-05\",\"publicationTypes\":\"Journal Article\",\"fieldsOfStudy\":null,\"isOpenAccess\":false,\"openAccessPdf\":\"https://www.ncbi.nlm.nih.gov/pmc/articles/PMC11980937/pdf/\",\"citationCount\":\"0\",\"resultStr\":null,\"platform\":\"Semanticscholar\",\"paperid\":null,\"PeriodicalName\":\"OncoTargets and therapy\",\"FirstCategoryId\":\"3\",\"ListUrlMain\":\"https://doi.org/10.2147/OTT.S502112\",\"RegionNum\":4,\"RegionCategory\":\"医学\",\"ArticlePicture\":[],\"TitleCN\":null,\"AbstractTextCN\":null,\"PMCID\":null,\"EPubDate\":\"2025/1/1 0:00:00\",\"PubModel\":\"eCollection\",\"JCR\":\"Q3\",\"JCRName\":\"BIOTECHNOLOGY & APPLIED MICROBIOLOGY\",\"Score\":null,\"Total\":0}","platform":"Semanticscholar","paperid":null,"PeriodicalName":"OncoTargets and therapy","FirstCategoryId":"3","ListUrlMain":"https://doi.org/10.2147/OTT.S502112","RegionNum":4,"RegionCategory":"医学","ArticlePicture":[],"TitleCN":null,"AbstractTextCN":null,"PMCID":null,"EPubDate":"2025/1/1 0:00:00","PubModel":"eCollection","JCR":"Q3","JCRName":"BIOTECHNOLOGY & APPLIED MICROBIOLOGY","Score":null,"Total":0}
引用次数: 0

摘要

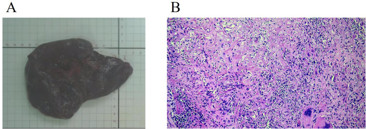
表皮生长因子受体酪氨酸激酶抑制剂(EGFR TKIs)的有效性已经得到证实,因此NCCN指南推荐将其作为晚期EGFR突变阳性非小细胞肺癌(NSCLC)患者的一线治疗。然而,对于EGFR突变阳性的III期NSCLC患者是否使用新辅助TKI治疗仍存在争议。在这里,我们首次报道了一名IIIA期肺腺癌患者,基于EGFR G719X突变,化疗和dacomitinib作为新辅助靶向治疗受益,实现了病理分期降低和根治性手术切除的机会。本病例描述了dacomitinib作为EGFR阳性晚期NSCLC的新辅助靶向治疗,并强调了分子检测在更好的治疗决策中的应用。
本文章由计算机程序翻译,如有差异,请以英文原文为准。

Neoadjuvant Targeted Therapy with Dacomitinib in a Stage IIIA Non-Small-Cell Lung Cancer Patient Harboring <i>EGFR</i> G719X: A Case Report.

Neoadjuvant Targeted Therapy with Dacomitinib in a Stage IIIA Non-Small-Cell Lung Cancer Patient Harboring <i>EGFR</i> G719X: A Case Report.

Neoadjuvant Targeted Therapy with Dacomitinib in a Stage IIIA Non-Small-Cell Lung Cancer Patient Harboring EGFR G719X: A Case Report.

The effectiveness of epidermal growth factor receptor tyrosine kinase inhibitors (EGFR TKIs) has been established, leading the NCCN Guidelines to recommend it as a first-line treatment for patients with advanced EGFR mutation-positive non-small cell lung cancer (NSCLC). However, there is still controversy about the use of neoadjuvant TKI treatment for patients with stage III EGFR mutation-positive NSCLC. Here, we firstly report that a stage IIIA lung adenocarcinoma patient benefited from chemotherapy and dacomitinib as neoadjuvant targeted therapy based on EGFR G719X mutation, achieving a pathological downstaging and the chance of radical surgical resection. Our case describes dacomitinib use as neoadjuvant targeted therapy for EGFR positive advanced NSCLC and highlights the application of molecular testing for the better treatment decision making.

求助全文
通过发布文献求助,成功后即可免费获取论文全文。 去求助
来源期刊
OncoTargets and therapy
OncoTargets and therapy BIOTECHNOLOGY & APPLIED MICROBIOLOGY-ONCOLOGY
CiteScore
9.70
自引率
0.00%
发文量
221
审稿时长
1 months
期刊介绍: OncoTargets and Therapy is an international, peer-reviewed journal focusing on molecular aspects of cancer research, that is, the molecular diagnosis of and targeted molecular or precision therapy for all types of cancer. The journal is characterized by the rapid reporting of high-quality original research, basic science, reviews and evaluations, expert opinion and commentary that shed novel insight on a cancer or cancer subtype. Specific topics covered by the journal include: -Novel therapeutic targets and innovative agents -Novel therapeutic regimens for improved benefit and/or decreased side effects -Early stage clinical trials Further considerations when submitting to OncoTargets and Therapy: -Studies containing in vivo animal model data will be considered favorably. -Tissue microarray analyses will not be considered except in cases where they are supported by comprehensive biological studies involving multiple cell lines. -Biomarker association studies will be considered only when validated by comprehensive in vitro data and analysis of human tissue samples. -Studies utilizing publicly available data (e.g. GWAS/TCGA/GEO etc.) should add to the body of knowledge about a specific disease or relevant phenotype and must be validated using the authors’ own data through replication in an independent sample set and functional follow-up. -Bioinformatics studies must be validated using the authors’ own data through replication in an independent sample set and functional follow-up. -Single nucleotide polymorphism (SNP) studies will not be considered.
×
引用
GB/T 7714-2015
复制
MLA
复制
APA
复制
导出至
BibTeX EndNote RefMan NoteFirst NoteExpress
×
提示
您的信息不完整,为了账户安全,请先补充。
现在去补充
×
提示
您因"违规操作"
具体请查看互助需知
我知道了
×
提示
确定
请完成安全验证×
copy
已复制链接
快去分享给好友吧!
我知道了
右上角分享
点击右上角分享
0
联系我们:info@booksci.cn Book学术提供免费学术资源搜索服务,方便国内外学者检索中英文文献。致力于提供最便捷和优质的服务体验。 Copyright © 2023 布克学术 All rights reserved.
京ICP备2023020795号-1
ghs 京公网安备 11010802042870号
Book学术文献互助
Book学术文献互助群
群 号:604180095
Book学术官方微信