少即是多:左心耳穿孔伴心包填塞后Watchman装置置放的处理。

IF 0.5 Q4 CARDIAC & CARDIOVASCULAR SYSTEMS
Case Reports in Cardiology Pub Date : 2025-04-11 eCollection Date: 2025-01-01 DOI:10.1155/cric/2574323
Syeda Beenish Bareeqa, Ahmad Nawa, Arooge Towheed, Juwairiya Shuroog, Karthik Ramireddy, Shahabuddin Soherwardi
{"title":"少即是多:左心耳穿孔伴心包填塞后Watchman装置置放的处理。","authors":"Syeda Beenish Bareeqa, Ahmad Nawa, Arooge Towheed, Juwairiya Shuroog, Karthik Ramireddy, Shahabuddin Soherwardi","doi":"10.1155/cric/2574323","DOIUrl":null,"url":null,"abstract":"<p><p>By 2030, the United States will have over 12 million people with atrial fibrillation, which carries a five-fold increase in risk of stroke. Watchman device is an alternative in patients who are poor candidates for anticoagulation. Here, we present a rare case of Watchman device implantation related to left atrial appendage (LAA) perforation noted intraoperatively with portion of the device in the pericardial space. A 93-year-old female with high fall risk and on Coumadin presented for Watchman device placement. During implantation, LAA perforation was noted with exudation of contract in the pericardium during deployment, and decision to deploy the device was made, hoping it would help seal the leak. Retrieving the device was thought to put the patient at risk of bigger perforation. Following which successful pericardial window with temporary drain placement avoided sternotomy and overall had a good outcome. A Watchman device with self-expanding frame covering the left atrial facing surface was deployed, after which a rare but potential complication of perforation was noted during delivery. The device left in place sealed the leak and prevented potential worsening incase device was retrieved. Eventually, this decision improved the outcome of the patient.</p>","PeriodicalId":51760,"journal":{"name":"Case Reports in Cardiology","volume":"2025 ","pages":"2574323"},"PeriodicalIF":0.5000,"publicationDate":"2025-04-11","publicationTypes":"Journal Article","fieldsOfStudy":null,"isOpenAccess":false,"openAccessPdf":"https://www.ncbi.nlm.nih.gov/pmc/articles/PMC12008479/pdf/","citationCount":"0","resultStr":"{\"title\":\"Less Is More: Management of Left Atrial Appendage Perforation With Impending Cardiac Tamponade Following Watchman Device Placement.\",\"authors\":\"Syeda Beenish Bareeqa, Ahmad Nawa, Arooge Towheed, Juwairiya Shuroog, Karthik Ramireddy, Shahabuddin Soherwardi\",\"doi\":\"10.1155/cric/2574323\",\"DOIUrl\":null,\"url\":null,\"abstract\":\"<p><p>By 2030, the United States will have over 12 million people with atrial fibrillation, which carries a five-fold increase in risk of stroke. Watchman device is an alternative in patients who are poor candidates for anticoagulation. Here, we present a rare case of Watchman device implantation related to left atrial appendage (LAA) perforation noted intraoperatively with portion of the device in the pericardial space. A 93-year-old female with high fall risk and on Coumadin presented for Watchman device placement. During implantation, LAA perforation was noted with exudation of contract in the pericardium during deployment, and decision to deploy the device was made, hoping it would help seal the leak. Retrieving the device was thought to put the patient at risk of bigger perforation. Following which successful pericardial window with temporary drain placement avoided sternotomy and overall had a good outcome. A Watchman device with self-expanding frame covering the left atrial facing surface was deployed, after which a rare but potential complication of perforation was noted during delivery. The device left in place sealed the leak and prevented potential worsening incase device was retrieved. Eventually, this decision improved the outcome of the patient.</p>\",\"PeriodicalId\":51760,\"journal\":{\"name\":\"Case Reports in Cardiology\",\"volume\":\"2025 \",\"pages\":\"2574323\"},\"PeriodicalIF\":0.5000,\"publicationDate\":\"2025-04-11\",\"publicationTypes\":\"Journal Article\",\"fieldsOfStudy\":null,\"isOpenAccess\":false,\"openAccessPdf\":\"https://www.ncbi.nlm.nih.gov/pmc/articles/PMC12008479/pdf/\",\"citationCount\":\"0\",\"resultStr\":null,\"platform\":\"Semanticscholar\",\"paperid\":null,\"PeriodicalName\":\"Case Reports in Cardiology\",\"FirstCategoryId\":\"1085\",\"ListUrlMain\":\"https://doi.org/10.1155/cric/2574323\",\"RegionNum\":0,\"RegionCategory\":null,\"ArticlePicture\":[],\"TitleCN\":null,\"AbstractTextCN\":null,\"PMCID\":null,\"EPubDate\":\"2025/1/1 0:00:00\",\"PubModel\":\"eCollection\",\"JCR\":\"Q4\",\"JCRName\":\"CARDIAC & CARDIOVASCULAR SYSTEMS\",\"Score\":null,\"Total\":0}","platform":"Semanticscholar","paperid":null,"PeriodicalName":"Case Reports in Cardiology","FirstCategoryId":"1085","ListUrlMain":"https://doi.org/10.1155/cric/2574323","RegionNum":0,"RegionCategory":null,"ArticlePicture":[],"TitleCN":null,"AbstractTextCN":null,"PMCID":null,"EPubDate":"2025/1/1 0:00:00","PubModel":"eCollection","JCR":"Q4","JCRName":"CARDIAC & CARDIOVASCULAR SYSTEMS","Score":null,"Total":0}
引用次数: 0

摘要

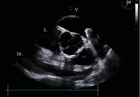
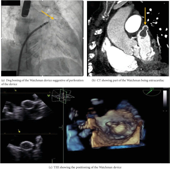
到2030年,美国将有超过1200万人患有心房颤动,这使中风的风险增加了五倍。Watchman装置是抗凝效果不佳的患者的一种选择。在此,我们报告一例罕见的左心耳(LAA)穿孔的Watchman装置植入病例,术中发现该装置部分位于心包间隙。一名93岁女性,有高跌倒风险,服用香豆素,接受瞭望者装置安置。植入过程中,发现LAA穿孔,部署过程中心包有收缩渗出,决定部署装置,希望它有助于密封泄漏。取出该装置被认为会使患者面临更大穿孔的风险。在此之后,成功的心包开窗术和临时引流术避免了胸骨切开,总体效果良好。一个自扩展框架覆盖左心房表面Watchman装置被部署,之后一个罕见的但潜在的并发症穿孔在分娩期间被注意到。留在原地的装置密封了泄漏,并防止了万一装置被取回时可能的恶化。最终,这个决定改善了病人的预后。
本文章由计算机程序翻译,如有差异,请以英文原文为准。

Less Is More: Management of Left Atrial Appendage Perforation With Impending Cardiac Tamponade Following Watchman Device Placement.

Less Is More: Management of Left Atrial Appendage Perforation With Impending Cardiac Tamponade Following Watchman Device Placement.

Less Is More: Management of Left Atrial Appendage Perforation With Impending Cardiac Tamponade Following Watchman Device Placement.

By 2030, the United States will have over 12 million people with atrial fibrillation, which carries a five-fold increase in risk of stroke. Watchman device is an alternative in patients who are poor candidates for anticoagulation. Here, we present a rare case of Watchman device implantation related to left atrial appendage (LAA) perforation noted intraoperatively with portion of the device in the pericardial space. A 93-year-old female with high fall risk and on Coumadin presented for Watchman device placement. During implantation, LAA perforation was noted with exudation of contract in the pericardium during deployment, and decision to deploy the device was made, hoping it would help seal the leak. Retrieving the device was thought to put the patient at risk of bigger perforation. Following which successful pericardial window with temporary drain placement avoided sternotomy and overall had a good outcome. A Watchman device with self-expanding frame covering the left atrial facing surface was deployed, after which a rare but potential complication of perforation was noted during delivery. The device left in place sealed the leak and prevented potential worsening incase device was retrieved. Eventually, this decision improved the outcome of the patient.

求助全文
通过发布文献求助,成功后即可免费获取论文全文。 去求助
来源期刊
Case Reports in Cardiology
Case Reports in Cardiology CARDIAC & CARDIOVASCULAR SYSTEMS-
自引率
0.00%
发文量
63
审稿时长
13 weeks
期刊介绍: Case Reports in Cardiology is a peer-reviewed, Open Access journal that publishes case reports and case series related to hypertension, arrhythmia, congestive heart failure, valvular heart disease, vascular disease, congenital heart disease and cardiomyopathy.
×
引用
GB/T 7714-2015
复制
MLA
复制
APA
复制
导出至
BibTeX EndNote RefMan NoteFirst NoteExpress
×
提示
您的信息不完整,为了账户安全,请先补充。
现在去补充
×
提示
您因"违规操作"
具体请查看互助需知
我知道了
×
提示
确定
请完成安全验证×
copy
已复制链接
快去分享给好友吧!
我知道了
右上角分享
点击右上角分享
0
联系我们:info@booksci.cn Book学术提供免费学术资源搜索服务,方便国内外学者检索中英文文献。致力于提供最便捷和优质的服务体验。 Copyright © 2023 布克学术 All rights reserved.
京ICP备2023020795号-1
ghs 京公网安备 11010802042870号
Book学术文献互助
Book学术文献互助群
群 号:604180095
Book学术官方微信