基于EFSUMB指南的对比增强超声在实性肾病变评估和治疗中的应用。

IF 2.1 4区 医学 Q3 RADIOLOGY, NUCLEAR MEDICINE & MEDICAL IMAGING
Journal of Medical Ultrasonics Pub Date : 2025-07-01 Epub Date: 2025-04-25 DOI:10.1007/s10396-025-01546-z
Laura Eusebi, Federica Masino, Michele Bertolotto, Manuela Montatore, Giuseppe Sortino, Lucia Pitoni, Stefano Santarelli, Andrea Benedetto Galosi, Giuseppe Guglielmi
{"title":"基于EFSUMB指南的对比增强超声在实性肾病变评估和治疗中的应用。","authors":"Laura Eusebi, Federica Masino, Michele Bertolotto, Manuela Montatore, Giuseppe Sortino, Lucia Pitoni, Stefano Santarelli, Andrea Benedetto Galosi, Giuseppe Guglielmi","doi":"10.1007/s10396-025-01546-z","DOIUrl":null,"url":null,"abstract":"<p><p>Contrast-enhanced ultrasound (CEUS) has become an important tool for the detection and characterization of solid renal lesions, complementing traditional B-mode US, which often struggles to distinguish between solid and cystic masses. CEUS enhances diagnostic accuracy by providing detailed vascularization information, helping to identify potentially malignant solid lesions and differentiate between pseudotumours and solid masses. Moreover, CEUS employs a contrast agent that is safe even for nephropathic patients and can be used without concern for kidney function, making it an advantageous method for renal imaging. In this narrative review, following the European Federation of Societies for Ultrasound in Medicine and Biology guidelines, the authors show its main indications: characterizing indeterminate renal lesions in patients with transplanted kidney, monitoring non-surgical lesions, diagnosing inflammatory-infectious renal pathologies, and assessing advanced renal lesions and masses in the surgical bed.</p>","PeriodicalId":50130,"journal":{"name":"Journal of Medical Ultrasonics","volume":" ","pages":"293-303"},"PeriodicalIF":2.1000,"publicationDate":"2025-07-01","publicationTypes":"Journal Article","fieldsOfStudy":null,"isOpenAccess":false,"openAccessPdf":"https://www.ncbi.nlm.nih.gov/pmc/articles/PMC12241257/pdf/","citationCount":"0","resultStr":"{\"title\":\"Contrast-enhanced ultrasound in the evaluation and management of solid renal lesions based on EFSUMB guidelines.\",\"authors\":\"Laura Eusebi, Federica Masino, Michele Bertolotto, Manuela Montatore, Giuseppe Sortino, Lucia Pitoni, Stefano Santarelli, Andrea Benedetto Galosi, Giuseppe Guglielmi\",\"doi\":\"10.1007/s10396-025-01546-z\",\"DOIUrl\":null,\"url\":null,\"abstract\":\"<p><p>Contrast-enhanced ultrasound (CEUS) has become an important tool for the detection and characterization of solid renal lesions, complementing traditional B-mode US, which often struggles to distinguish between solid and cystic masses. CEUS enhances diagnostic accuracy by providing detailed vascularization information, helping to identify potentially malignant solid lesions and differentiate between pseudotumours and solid masses. Moreover, CEUS employs a contrast agent that is safe even for nephropathic patients and can be used without concern for kidney function, making it an advantageous method for renal imaging. In this narrative review, following the European Federation of Societies for Ultrasound in Medicine and Biology guidelines, the authors show its main indications: characterizing indeterminate renal lesions in patients with transplanted kidney, monitoring non-surgical lesions, diagnosing inflammatory-infectious renal pathologies, and assessing advanced renal lesions and masses in the surgical bed.</p>\",\"PeriodicalId\":50130,\"journal\":{\"name\":\"Journal of Medical Ultrasonics\",\"volume\":\" \",\"pages\":\"293-303\"},\"PeriodicalIF\":2.1000,\"publicationDate\":\"2025-07-01\",\"publicationTypes\":\"Journal Article\",\"fieldsOfStudy\":null,\"isOpenAccess\":false,\"openAccessPdf\":\"https://www.ncbi.nlm.nih.gov/pmc/articles/PMC12241257/pdf/\",\"citationCount\":\"0\",\"resultStr\":null,\"platform\":\"Semanticscholar\",\"paperid\":null,\"PeriodicalName\":\"Journal of Medical Ultrasonics\",\"FirstCategoryId\":\"3\",\"ListUrlMain\":\"https://doi.org/10.1007/s10396-025-01546-z\",\"RegionNum\":4,\"RegionCategory\":\"医学\",\"ArticlePicture\":[],\"TitleCN\":null,\"AbstractTextCN\":null,\"PMCID\":null,\"EPubDate\":\"2025/4/25 0:00:00\",\"PubModel\":\"Epub\",\"JCR\":\"Q3\",\"JCRName\":\"RADIOLOGY, NUCLEAR MEDICINE & MEDICAL IMAGING\",\"Score\":null,\"Total\":0}","platform":"Semanticscholar","paperid":null,"PeriodicalName":"Journal of Medical Ultrasonics","FirstCategoryId":"3","ListUrlMain":"https://doi.org/10.1007/s10396-025-01546-z","RegionNum":4,"RegionCategory":"医学","ArticlePicture":[],"TitleCN":null,"AbstractTextCN":null,"PMCID":null,"EPubDate":"2025/4/25 0:00:00","PubModel":"Epub","JCR":"Q3","JCRName":"RADIOLOGY, NUCLEAR MEDICINE & MEDICAL IMAGING","Score":null,"Total":0}
引用次数: 0

摘要

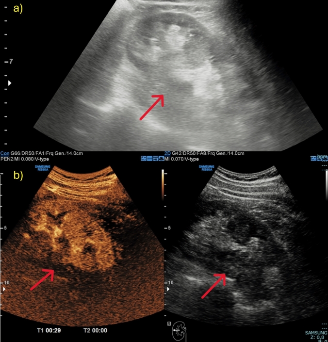
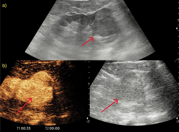
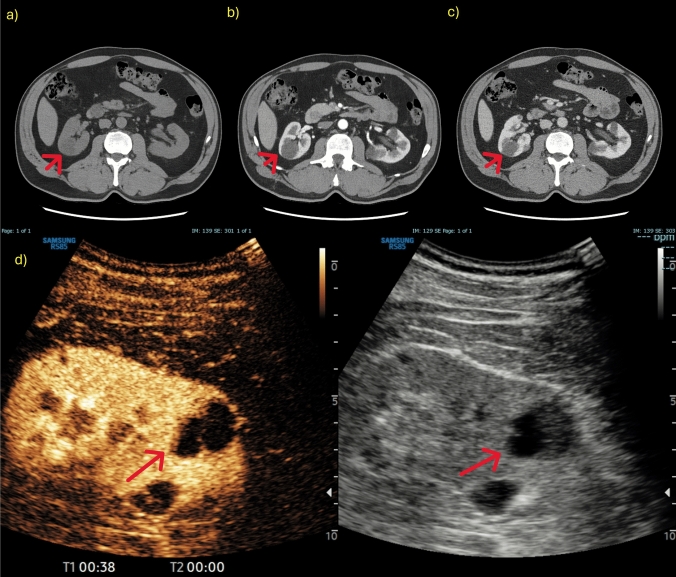
对比增强超声(CEUS)已成为检测和表征实性肾脏病变的重要工具,补充了传统的b型超声,后者往往难以区分实性和囊性肿块。超声造影通过提供详细的血管化信息来提高诊断的准确性,有助于识别潜在的恶性实体病变,并区分假肿瘤和实体肿块。此外,超声造影使用的造影剂即使对肾病患者也是安全的,并且可以不考虑肾功能,使其成为肾脏成像的有利方法。在这篇叙述性综述中,根据欧洲超声医学和生物学协会联合会的指南,作者展示了其主要适应症:在移植肾患者中诊断不确定的肾脏病变,监测非手术病变,诊断炎症-感染性肾脏病变,评估手术床上的晚期肾脏病变和肿块。
本文章由计算机程序翻译,如有差异,请以英文原文为准。

Contrast-enhanced ultrasound in the evaluation and management of solid renal lesions based on EFSUMB guidelines.

Contrast-enhanced ultrasound in the evaluation and management of solid renal lesions based on EFSUMB guidelines.

Contrast-enhanced ultrasound in the evaluation and management of solid renal lesions based on EFSUMB guidelines.

Contrast-enhanced ultrasound in the evaluation and management of solid renal lesions based on EFSUMB guidelines.

Contrast-enhanced ultrasound (CEUS) has become an important tool for the detection and characterization of solid renal lesions, complementing traditional B-mode US, which often struggles to distinguish between solid and cystic masses. CEUS enhances diagnostic accuracy by providing detailed vascularization information, helping to identify potentially malignant solid lesions and differentiate between pseudotumours and solid masses. Moreover, CEUS employs a contrast agent that is safe even for nephropathic patients and can be used without concern for kidney function, making it an advantageous method for renal imaging. In this narrative review, following the European Federation of Societies for Ultrasound in Medicine and Biology guidelines, the authors show its main indications: characterizing indeterminate renal lesions in patients with transplanted kidney, monitoring non-surgical lesions, diagnosing inflammatory-infectious renal pathologies, and assessing advanced renal lesions and masses in the surgical bed.

求助全文
通过发布文献求助,成功后即可免费获取论文全文。 去求助
来源期刊
CiteScore
3.30
自引率
11.10%
发文量
102
审稿时长
>12 weeks
期刊介绍: The Journal of Medical Ultrasonics is the official journal of the Japan Society of Ultrasonics in Medicine. The main purpose of the journal is to provide forum for the publication of papers documenting recent advances and new developments in the entire field of ultrasound in medicine and biology, encompassing both the medical and the engineering aspects of the science.The journal welcomes original articles, review articles, images, and letters to the editor.The journal also provides state-of-the-art information such as announcements from the boards and the committees of the society.
×
引用
GB/T 7714-2015
复制
MLA
复制
APA
复制
导出至
BibTeX EndNote RefMan NoteFirst NoteExpress
×
提示
您的信息不完整,为了账户安全,请先补充。
现在去补充
×
提示
您因"违规操作"
具体请查看互助需知
我知道了
×
提示
确定
请完成安全验证×
copy
已复制链接
快去分享给好友吧!
我知道了
右上角分享
点击右上角分享
0
联系我们:info@booksci.cn Book学术提供免费学术资源搜索服务,方便国内外学者检索中英文文献。致力于提供最便捷和优质的服务体验。 Copyright © 2023 布克学术 All rights reserved.
京ICP备2023020795号-1
ghs 京公网安备 11010802042870号
Book学术文献互助
Book学术文献互助群
群 号:604180095
Book学术官方微信