犬表皮和角化细胞样(角化细胞类器官)的透射电镜评价。

IF 1.4 3区 农林科学 Q3 DERMATOLOGY
Veterinary dermatology Pub Date : 2025-10-01 Epub Date: 2025-05-14 DOI:10.1111/vde.13356
Clinson C Lui, Dominique J Wiener, Katia R Groch, Lauren W Stranahan, Christina R Heard, Aníbal G Armién
{"title":"犬表皮和角化细胞样(角化细胞类器官)的透射电镜评价。","authors":"Clinson C Lui, Dominique J Wiener, Katia R Groch, Lauren W Stranahan, Christina R Heard, Aníbal G Armién","doi":"10.1111/vde.13356","DOIUrl":null,"url":null,"abstract":"<p><strong>Background: </strong>Skin disease is a common complaint in veterinary medicine. Current models often use live animals. Epidermal organoids (keratinocytoids) are 3D miniature organs created in culture from single epidermal keratinocytes. These keratinocytoids can be used as an alternative to live animal studies to investigate epidermal structures and skin diseases.</p><p><strong>Hypothesis/objective: </strong>This study's objective was to compare ultrastructural morphological features of canine keratinocytoids to those features of normal epidermis.</p><p><strong>Results: </strong>Skin and organoids had morphologically similar components, including tight junctions, desmosomes, lamellar bodies and keratin filaments. These structures were similar in both morphology and distribution. Keratinocytes in the organoids had larger and more distinct keratohyalin granules than epidermal keratinocytes and contained small amounts of glycogen. Keratinocytes from the skin showed no glycogen accumulation.</p><p><strong>Conclusions and clinical relevance: </strong>Canine keratinocytoids are a useful model to study canine epidermal disease from a light microscopy and ultrastructural standpoint.</p>","PeriodicalId":23599,"journal":{"name":"Veterinary dermatology","volume":" ","pages":"696-702"},"PeriodicalIF":1.4000,"publicationDate":"2025-10-01","publicationTypes":"Journal Article","fieldsOfStudy":null,"isOpenAccess":false,"openAccessPdf":"https://www.ncbi.nlm.nih.gov/pmc/articles/PMC12420878/pdf/","citationCount":"0","resultStr":"{\"title\":\"Evaluation of canine epidermis and keratinocytoids (keratinocytic organoids) by transmission electron microscopy.\",\"authors\":\"Clinson C Lui, Dominique J Wiener, Katia R Groch, Lauren W Stranahan, Christina R Heard, Aníbal G Armién\",\"doi\":\"10.1111/vde.13356\",\"DOIUrl\":null,\"url\":null,\"abstract\":\"<p><strong>Background: </strong>Skin disease is a common complaint in veterinary medicine. Current models often use live animals. Epidermal organoids (keratinocytoids) are 3D miniature organs created in culture from single epidermal keratinocytes. These keratinocytoids can be used as an alternative to live animal studies to investigate epidermal structures and skin diseases.</p><p><strong>Hypothesis/objective: </strong>This study's objective was to compare ultrastructural morphological features of canine keratinocytoids to those features of normal epidermis.</p><p><strong>Results: </strong>Skin and organoids had morphologically similar components, including tight junctions, desmosomes, lamellar bodies and keratin filaments. These structures were similar in both morphology and distribution. Keratinocytes in the organoids had larger and more distinct keratohyalin granules than epidermal keratinocytes and contained small amounts of glycogen. Keratinocytes from the skin showed no glycogen accumulation.</p><p><strong>Conclusions and clinical relevance: </strong>Canine keratinocytoids are a useful model to study canine epidermal disease from a light microscopy and ultrastructural standpoint.</p>\",\"PeriodicalId\":23599,\"journal\":{\"name\":\"Veterinary dermatology\",\"volume\":\" \",\"pages\":\"696-702\"},\"PeriodicalIF\":1.4000,\"publicationDate\":\"2025-10-01\",\"publicationTypes\":\"Journal Article\",\"fieldsOfStudy\":null,\"isOpenAccess\":false,\"openAccessPdf\":\"https://www.ncbi.nlm.nih.gov/pmc/articles/PMC12420878/pdf/\",\"citationCount\":\"0\",\"resultStr\":null,\"platform\":\"Semanticscholar\",\"paperid\":null,\"PeriodicalName\":\"Veterinary dermatology\",\"FirstCategoryId\":\"97\",\"ListUrlMain\":\"https://doi.org/10.1111/vde.13356\",\"RegionNum\":3,\"RegionCategory\":\"农林科学\",\"ArticlePicture\":[],\"TitleCN\":null,\"AbstractTextCN\":null,\"PMCID\":null,\"EPubDate\":\"2025/5/14 0:00:00\",\"PubModel\":\"Epub\",\"JCR\":\"Q3\",\"JCRName\":\"DERMATOLOGY\",\"Score\":null,\"Total\":0}","platform":"Semanticscholar","paperid":null,"PeriodicalName":"Veterinary dermatology","FirstCategoryId":"97","ListUrlMain":"https://doi.org/10.1111/vde.13356","RegionNum":3,"RegionCategory":"农林科学","ArticlePicture":[],"TitleCN":null,"AbstractTextCN":null,"PMCID":null,"EPubDate":"2025/5/14 0:00:00","PubModel":"Epub","JCR":"Q3","JCRName":"DERMATOLOGY","Score":null,"Total":0}
引用次数: 0

摘要

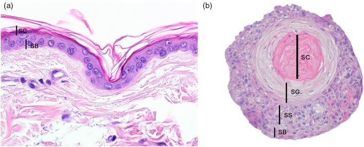
背景:皮肤病是兽医学中一种常见的疾病。目前的模型通常使用活体动物。表皮类器官(类角质细胞)是由单个表皮角质形成细胞培养而成的三维微型器官。这些角化细胞样物可以作为活体动物研究的替代方法来研究表皮结构和皮肤病。假设/目的:本研究的目的是比较犬角化细胞样细胞与正常表皮的超微结构形态特征。结果:皮肤和类器官在形态上具有相似的成分,包括紧密连接、桥粒、板层体和角蛋白丝。这些结构在形态和分布上都相似。类器官中的角质形成细胞比表皮角质形成细胞有更大、更明显的角质透明素颗粒,并含有少量的糖原。皮肤角质形成细胞未见糖原积聚。结论和临床意义:犬角化细胞样物是研究犬表皮疾病的一个有用的模型,从光镜和超微结构的角度来看。
本文章由计算机程序翻译,如有差异,请以英文原文为准。

Evaluation of canine epidermis and keratinocytoids (keratinocytic organoids) by transmission electron microscopy.

Evaluation of canine epidermis and keratinocytoids (keratinocytic organoids) by transmission electron microscopy.

Evaluation of canine epidermis and keratinocytoids (keratinocytic organoids) by transmission electron microscopy.

Evaluation of canine epidermis and keratinocytoids (keratinocytic organoids) by transmission electron microscopy.

Background: Skin disease is a common complaint in veterinary medicine. Current models often use live animals. Epidermal organoids (keratinocytoids) are 3D miniature organs created in culture from single epidermal keratinocytes. These keratinocytoids can be used as an alternative to live animal studies to investigate epidermal structures and skin diseases.

Hypothesis/objective: This study's objective was to compare ultrastructural morphological features of canine keratinocytoids to those features of normal epidermis.

Results: Skin and organoids had morphologically similar components, including tight junctions, desmosomes, lamellar bodies and keratin filaments. These structures were similar in both morphology and distribution. Keratinocytes in the organoids had larger and more distinct keratohyalin granules than epidermal keratinocytes and contained small amounts of glycogen. Keratinocytes from the skin showed no glycogen accumulation.

Conclusions and clinical relevance: Canine keratinocytoids are a useful model to study canine epidermal disease from a light microscopy and ultrastructural standpoint.

求助全文
通过发布文献求助,成功后即可免费获取论文全文。 去求助
来源期刊
Veterinary dermatology
Veterinary dermatology 农林科学-兽医学
CiteScore
3.20
自引率
21.40%
发文量
92
审稿时长
12-24 weeks
期刊介绍: Veterinary Dermatology is a bi-monthly, peer-reviewed, international journal which publishes papers on all aspects of the skin of mammals, birds, reptiles, amphibians and fish. Scientific research papers, clinical case reports and reviews covering the following aspects of dermatology will be considered for publication: -Skin structure (anatomy, histology, ultrastructure) -Skin function (physiology, biochemistry, pharmacology, immunology, genetics) -Skin microbiology and parasitology -Dermatopathology -Pathogenesis, diagnosis and treatment of skin diseases -New disease entities
×
引用
GB/T 7714-2015
复制
MLA
复制
APA
复制
导出至
BibTeX EndNote RefMan NoteFirst NoteExpress
×
提示
您的信息不完整,为了账户安全,请先补充。
现在去补充
×
提示
您因"违规操作"
具体请查看互助需知
我知道了
×
提示
确定
请完成安全验证×
copy
已复制链接
快去分享给好友吧!
我知道了
右上角分享
点击右上角分享
0
联系我们:info@booksci.cn Book学术提供免费学术资源搜索服务,方便国内外学者检索中英文文献。致力于提供最便捷和优质的服务体验。 Copyright © 2023 布克学术 All rights reserved.
京ICP备2023020795号-1
ghs 京公网安备 11010802042870号
Book学术文献互助
Book学术文献互助群
群 号:604180095
Book学术官方微信