妊娠和哺乳期相关骨质疏松症伴多椎体脆性骨折用罗莫索单抗治疗:1例报告

IF 0.7 Q3 MEDICINE, GENERAL & INTERNAL
AME Case Reports Pub Date : 2025-04-10 eCollection Date: 2025-01-01 DOI:10.21037/acr-24-163
Hiroshi Nomura, Shigeharu Nomura
{"title":"妊娠和哺乳期相关骨质疏松症伴多椎体脆性骨折用罗莫索单抗治疗:1例报告","authors":"Hiroshi Nomura, Shigeharu Nomura","doi":"10.21037/acr-24-163","DOIUrl":null,"url":null,"abstract":"<p><strong>Background: </strong>Pregnancy- and lactation-related osteoporosis (PLO) is a rare condition of skeletal fragility affecting women during late pregnancy and early lactation. Patients with PLO who experience multiple, rapid-onset vertebral fractures and develop kyphosis face a poorer prognosis when diagnosis and treatment are delayed. Since there is no standard treatment protocol for patients with PLO, treatment should be individually planned. Recently, romosozumab has been recognized as one of the most effective drugs for treating patients with severe osteoporosis. Because it can dramatically increase bone mineral density (BMD) in a short period in postmenopausal women with osteoporosis, it is useful for treating patients with rapidly progressive osteoporosis at a high risk of fracture. Here, we report a case of PLO associated with multiple vertebral fractures treated with romosozumab. To the best of our knowledge, this is the first report on the use of romosozumab alone for PLO.</p><p><strong>Case description: </strong>A middle-aged postpartum and lactating woman experienced back pain at 9 months of pregnancy, which worsened after delivery. PLO was diagnosed based on multiple thoracic vertebral and sacral fragility fractures and low BMD. She was treated with romosozumab, and her back pain gradually subsided. After 12 months of romosozumab treatment, her lumbar spine BMD increased by 22.1% from baseline, and no further fractures occurred.</p><p><strong>Conclusions: </strong>Twelve months of romosozumab treatment successfully improved the clinical condition of the patient with severe PLO, resulting in a remarkable increase in BMD.</p>","PeriodicalId":29752,"journal":{"name":"AME Case Reports","volume":"9 ","pages":"68"},"PeriodicalIF":0.7000,"publicationDate":"2025-04-10","publicationTypes":"Journal Article","fieldsOfStudy":null,"isOpenAccess":false,"openAccessPdf":"https://www.ncbi.nlm.nih.gov/pmc/articles/PMC12053433/pdf/","citationCount":"0","resultStr":"{\"title\":\"Pregnancy and lactation-related osteoporosis associating multiple vertebral fragility fractures treated with romosozumab: a case report.\",\"authors\":\"Hiroshi Nomura, Shigeharu Nomura\",\"doi\":\"10.21037/acr-24-163\",\"DOIUrl\":null,\"url\":null,\"abstract\":\"<p><strong>Background: </strong>Pregnancy- and lactation-related osteoporosis (PLO) is a rare condition of skeletal fragility affecting women during late pregnancy and early lactation. Patients with PLO who experience multiple, rapid-onset vertebral fractures and develop kyphosis face a poorer prognosis when diagnosis and treatment are delayed. Since there is no standard treatment protocol for patients with PLO, treatment should be individually planned. Recently, romosozumab has been recognized as one of the most effective drugs for treating patients with severe osteoporosis. Because it can dramatically increase bone mineral density (BMD) in a short period in postmenopausal women with osteoporosis, it is useful for treating patients with rapidly progressive osteoporosis at a high risk of fracture. Here, we report a case of PLO associated with multiple vertebral fractures treated with romosozumab. To the best of our knowledge, this is the first report on the use of romosozumab alone for PLO.</p><p><strong>Case description: </strong>A middle-aged postpartum and lactating woman experienced back pain at 9 months of pregnancy, which worsened after delivery. PLO was diagnosed based on multiple thoracic vertebral and sacral fragility fractures and low BMD. She was treated with romosozumab, and her back pain gradually subsided. After 12 months of romosozumab treatment, her lumbar spine BMD increased by 22.1% from baseline, and no further fractures occurred.</p><p><strong>Conclusions: </strong>Twelve months of romosozumab treatment successfully improved the clinical condition of the patient with severe PLO, resulting in a remarkable increase in BMD.</p>\",\"PeriodicalId\":29752,\"journal\":{\"name\":\"AME Case Reports\",\"volume\":\"9 \",\"pages\":\"68\"},\"PeriodicalIF\":0.7000,\"publicationDate\":\"2025-04-10\",\"publicationTypes\":\"Journal Article\",\"fieldsOfStudy\":null,\"isOpenAccess\":false,\"openAccessPdf\":\"https://www.ncbi.nlm.nih.gov/pmc/articles/PMC12053433/pdf/\",\"citationCount\":\"0\",\"resultStr\":null,\"platform\":\"Semanticscholar\",\"paperid\":null,\"PeriodicalName\":\"AME Case Reports\",\"FirstCategoryId\":\"1085\",\"ListUrlMain\":\"https://doi.org/10.21037/acr-24-163\",\"RegionNum\":0,\"RegionCategory\":null,\"ArticlePicture\":[],\"TitleCN\":null,\"AbstractTextCN\":null,\"PMCID\":null,\"EPubDate\":\"2025/1/1 0:00:00\",\"PubModel\":\"eCollection\",\"JCR\":\"Q3\",\"JCRName\":\"MEDICINE, GENERAL & INTERNAL\",\"Score\":null,\"Total\":0}","platform":"Semanticscholar","paperid":null,"PeriodicalName":"AME Case Reports","FirstCategoryId":"1085","ListUrlMain":"https://doi.org/10.21037/acr-24-163","RegionNum":0,"RegionCategory":null,"ArticlePicture":[],"TitleCN":null,"AbstractTextCN":null,"PMCID":null,"EPubDate":"2025/1/1 0:00:00","PubModel":"eCollection","JCR":"Q3","JCRName":"MEDICINE, GENERAL & INTERNAL","Score":null,"Total":0}
引用次数: 0

摘要

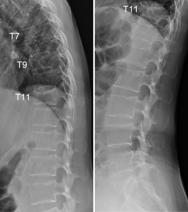
背景:妊娠和哺乳期相关骨质疏松症(PLO)是一种罕见的影响妊娠晚期和哺乳期早期妇女骨骼脆弱的疾病。PLO患者经历多发、快速发作的椎体骨折并发展为后凸,当诊断和治疗延迟时,预后较差。由于没有针对PLO患者的标准治疗方案,治疗应单独计划。近年来,romosozumab已被公认为治疗严重骨质疏松症患者最有效的药物之一。因为它可以在短时间内显著增加绝经后骨质疏松症妇女的骨密度(BMD),它对治疗骨质疏松症进展迅速且骨折风险高的患者是有用的。在这里,我们报告一例PLO合并多椎体骨折用romosozumab治疗。据我们所知,这是首个单独使用romosozumab治疗PLO的报道。病例描述:一名中年产后和哺乳期妇女在怀孕9个月时背部疼痛,分娩后恶化。PLO的诊断基于多发胸椎和骶骨脆性骨折和低骨密度。她接受罗莫索单抗治疗,背部疼痛逐渐消退。经过12个月的罗莫索单抗治疗,她的腰椎骨密度比基线增加了22.1%,并且没有发生进一步的骨折。结论:12个月的romosozumab治疗成功改善了重症PLO患者的临床状况,BMD显著增加。
本文章由计算机程序翻译,如有差异,请以英文原文为准。

Pregnancy and lactation-related osteoporosis associating multiple vertebral fragility fractures treated with romosozumab: a case report.

Pregnancy and lactation-related osteoporosis associating multiple vertebral fragility fractures treated with romosozumab: a case report.

Pregnancy and lactation-related osteoporosis associating multiple vertebral fragility fractures treated with romosozumab: a case report.

Pregnancy and lactation-related osteoporosis associating multiple vertebral fragility fractures treated with romosozumab: a case report.

Background: Pregnancy- and lactation-related osteoporosis (PLO) is a rare condition of skeletal fragility affecting women during late pregnancy and early lactation. Patients with PLO who experience multiple, rapid-onset vertebral fractures and develop kyphosis face a poorer prognosis when diagnosis and treatment are delayed. Since there is no standard treatment protocol for patients with PLO, treatment should be individually planned. Recently, romosozumab has been recognized as one of the most effective drugs for treating patients with severe osteoporosis. Because it can dramatically increase bone mineral density (BMD) in a short period in postmenopausal women with osteoporosis, it is useful for treating patients with rapidly progressive osteoporosis at a high risk of fracture. Here, we report a case of PLO associated with multiple vertebral fractures treated with romosozumab. To the best of our knowledge, this is the first report on the use of romosozumab alone for PLO.

Case description: A middle-aged postpartum and lactating woman experienced back pain at 9 months of pregnancy, which worsened after delivery. PLO was diagnosed based on multiple thoracic vertebral and sacral fragility fractures and low BMD. She was treated with romosozumab, and her back pain gradually subsided. After 12 months of romosozumab treatment, her lumbar spine BMD increased by 22.1% from baseline, and no further fractures occurred.

Conclusions: Twelve months of romosozumab treatment successfully improved the clinical condition of the patient with severe PLO, resulting in a remarkable increase in BMD.

求助全文
通过发布文献求助,成功后即可免费获取论文全文。 去求助
来源期刊
自引率
0.00%
发文量
0
×
引用
GB/T 7714-2015
复制
MLA
复制
APA
复制
导出至
BibTeX EndNote RefMan NoteFirst NoteExpress
×
提示
您的信息不完整,为了账户安全,请先补充。
现在去补充
×
提示
您因"违规操作"
具体请查看互助需知
我知道了
×
提示
确定
请完成安全验证×
copy
已复制链接
快去分享给好友吧!
我知道了
右上角分享
点击右上角分享
0
联系我们:info@booksci.cn Book学术提供免费学术资源搜索服务,方便国内外学者检索中英文文献。致力于提供最便捷和优质的服务体验。 Copyright © 2023 布克学术 All rights reserved.
京ICP备2023020795号-1
ghs 京公网安备 11010802042870号
Book学术文献互助
Book学术文献互助群
群 号:604180095
Book学术官方微信