PIK3CA抑制剂治疗转移性阴囊乳腺外佩吉特病1例报告及文献复习

IF 0.7 Q3 MEDICINE, GENERAL & INTERNAL
AME Case Reports Pub Date : 2025-04-10 eCollection Date: 2025-01-01 DOI:10.21037/acr-24-170
Yuanqiong Huang, Siying Dong, Jianqing Ren, Jinyan Li, Chenwang Wu, Hongbo Chen, Yujie Liu, Jia Yuan, Jun Huang, Lin Xiao
{"title":"PIK3CA抑制剂治疗转移性阴囊乳腺外佩吉特病1例报告及文献复习","authors":"Yuanqiong Huang, Siying Dong, Jianqing Ren, Jinyan Li, Chenwang Wu, Hongbo Chen, Yujie Liu, Jia Yuan, Jun Huang, Lin Xiao","doi":"10.21037/acr-24-170","DOIUrl":null,"url":null,"abstract":"<p><strong>Background: </strong>Extramammary Paget's disease (EMPD) is a rare intraepithelial adenocarcinoma that occurs in the genitals, axilla, and anus, where apocrine sweat glands are abundant. This disease is mainly characterized by localized lesions and rare distant metastasis. Scrotal Paget's disease is a rare type of EMPD, and there is no standard treatment for metastatic EMPD.</p><p><strong>Case description: </strong>Here, we reported the genetic results of a patient with a <i>PIK3CA</i> gene mutation in scrotal Paget's disease who developed multiple metastases to the lymph nodes, liver, and bones during adjuvant radiotherapy, as well as the results of treatment with a PIK3CA inhibitor. The latest advances in this field were also summarized. The treatment response was evaluated as stable disease (SD) after 6 courses of docetaxel plus tegafur (DS regimen) chemotherapy. Then, a second-line treatment, a PIK3CA inhibitor, WX390, was administered with tolerable toxicity. There was a treatment-induced increase in blood glucose level during treatment, and insulin was administrated with good control. The progression-free survival (PFS) was 3.9 months and the overall survival (OS) was 16 months.</p><p><strong>Conclusions: </strong><i>PIK3CA</i> is a commonly mutated gene in EMPD. To the best of our knowledge, this is the first case report of a PIK3CA inhibitor for the treatment of primary metastatic EMPD, and the treatment efficacy was good. PIK3CA inhibitors may be promising for the treatment of metastatic EMPD in the future.</p>","PeriodicalId":29752,"journal":{"name":"AME Case Reports","volume":"9 ","pages":"47"},"PeriodicalIF":0.7000,"publicationDate":"2025-04-10","publicationTypes":"Journal Article","fieldsOfStudy":null,"isOpenAccess":false,"openAccessPdf":"https://www.ncbi.nlm.nih.gov/pmc/articles/PMC12053722/pdf/","citationCount":"0","resultStr":"{\"title\":\"PIK3CA inhibitor treatment for metastatic scrotal extramammary Paget's disease: a case report and literature review.\",\"authors\":\"Yuanqiong Huang, Siying Dong, Jianqing Ren, Jinyan Li, Chenwang Wu, Hongbo Chen, Yujie Liu, Jia Yuan, Jun Huang, Lin Xiao\",\"doi\":\"10.21037/acr-24-170\",\"DOIUrl\":null,\"url\":null,\"abstract\":\"<p><strong>Background: </strong>Extramammary Paget's disease (EMPD) is a rare intraepithelial adenocarcinoma that occurs in the genitals, axilla, and anus, where apocrine sweat glands are abundant. This disease is mainly characterized by localized lesions and rare distant metastasis. Scrotal Paget's disease is a rare type of EMPD, and there is no standard treatment for metastatic EMPD.</p><p><strong>Case description: </strong>Here, we reported the genetic results of a patient with a <i>PIK3CA</i> gene mutation in scrotal Paget's disease who developed multiple metastases to the lymph nodes, liver, and bones during adjuvant radiotherapy, as well as the results of treatment with a PIK3CA inhibitor. The latest advances in this field were also summarized. The treatment response was evaluated as stable disease (SD) after 6 courses of docetaxel plus tegafur (DS regimen) chemotherapy. Then, a second-line treatment, a PIK3CA inhibitor, WX390, was administered with tolerable toxicity. There was a treatment-induced increase in blood glucose level during treatment, and insulin was administrated with good control. The progression-free survival (PFS) was 3.9 months and the overall survival (OS) was 16 months.</p><p><strong>Conclusions: </strong><i>PIK3CA</i> is a commonly mutated gene in EMPD. To the best of our knowledge, this is the first case report of a PIK3CA inhibitor for the treatment of primary metastatic EMPD, and the treatment efficacy was good. PIK3CA inhibitors may be promising for the treatment of metastatic EMPD in the future.</p>\",\"PeriodicalId\":29752,\"journal\":{\"name\":\"AME Case Reports\",\"volume\":\"9 \",\"pages\":\"47\"},\"PeriodicalIF\":0.7000,\"publicationDate\":\"2025-04-10\",\"publicationTypes\":\"Journal Article\",\"fieldsOfStudy\":null,\"isOpenAccess\":false,\"openAccessPdf\":\"https://www.ncbi.nlm.nih.gov/pmc/articles/PMC12053722/pdf/\",\"citationCount\":\"0\",\"resultStr\":null,\"platform\":\"Semanticscholar\",\"paperid\":null,\"PeriodicalName\":\"AME Case Reports\",\"FirstCategoryId\":\"1085\",\"ListUrlMain\":\"https://doi.org/10.21037/acr-24-170\",\"RegionNum\":0,\"RegionCategory\":null,\"ArticlePicture\":[],\"TitleCN\":null,\"AbstractTextCN\":null,\"PMCID\":null,\"EPubDate\":\"2025/1/1 0:00:00\",\"PubModel\":\"eCollection\",\"JCR\":\"Q3\",\"JCRName\":\"MEDICINE, GENERAL & INTERNAL\",\"Score\":null,\"Total\":0}","platform":"Semanticscholar","paperid":null,"PeriodicalName":"AME Case Reports","FirstCategoryId":"1085","ListUrlMain":"https://doi.org/10.21037/acr-24-170","RegionNum":0,"RegionCategory":null,"ArticlePicture":[],"TitleCN":null,"AbstractTextCN":null,"PMCID":null,"EPubDate":"2025/1/1 0:00:00","PubModel":"eCollection","JCR":"Q3","JCRName":"MEDICINE, GENERAL & INTERNAL","Score":null,"Total":0}
引用次数: 0

摘要

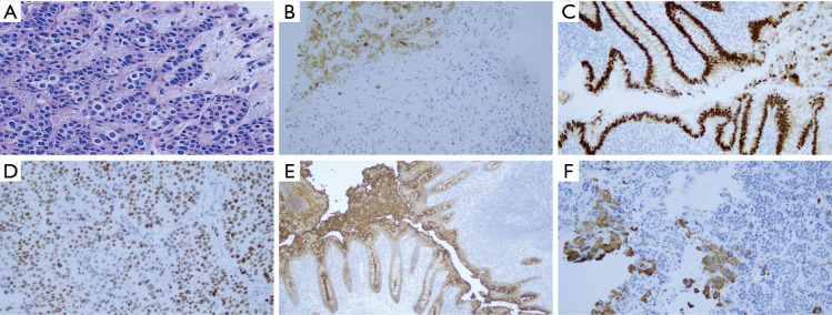
背景:乳腺外佩吉特病(EMPD)是一种罕见的上皮内腺癌,发生在生殖器官、腋窝和肛门,这些部位有大量的大汗腺。本病主要以局部病变和罕见的远处转移为特征。阴囊佩吉特病是一种罕见的EMPD,对于转移性EMPD没有标准的治疗方法。病例描述:在这里,我们报道了一名患有PIK3CA基因突变的阴囊Paget病患者的遗传结果,该患者在辅助放疗期间发生多发淋巴结、肝脏和骨骼转移,以及使用PIK3CA抑制剂治疗的结果。综述了该领域的最新进展。经6个疗程的多西紫杉醇加替加富(DS方案)化疗后,疗效评价为病情稳定(SD)。然后,给予二线治疗,PIK3CA抑制剂WX390,具有可耐受的毒性。治疗期间血糖升高,胰岛素使用控制良好。无进展生存期(PFS)为3.9个月,总生存期(OS)为16个月。结论:PIK3CA是EMPD中常见的突变基因。据我们所知,这是首个使用PIK3CA抑制剂治疗原发性转移性EMPD的病例报道,治疗效果良好。PIK3CA抑制剂有望在未来治疗转移性EMPD。
本文章由计算机程序翻译,如有差异,请以英文原文为准。

PIK3CA inhibitor treatment for metastatic scrotal extramammary Paget's disease: a case report and literature review.

PIK3CA inhibitor treatment for metastatic scrotal extramammary Paget's disease: a case report and literature review.

PIK3CA inhibitor treatment for metastatic scrotal extramammary Paget's disease: a case report and literature review.

PIK3CA inhibitor treatment for metastatic scrotal extramammary Paget's disease: a case report and literature review.

Background: Extramammary Paget's disease (EMPD) is a rare intraepithelial adenocarcinoma that occurs in the genitals, axilla, and anus, where apocrine sweat glands are abundant. This disease is mainly characterized by localized lesions and rare distant metastasis. Scrotal Paget's disease is a rare type of EMPD, and there is no standard treatment for metastatic EMPD.

Case description: Here, we reported the genetic results of a patient with a PIK3CA gene mutation in scrotal Paget's disease who developed multiple metastases to the lymph nodes, liver, and bones during adjuvant radiotherapy, as well as the results of treatment with a PIK3CA inhibitor. The latest advances in this field were also summarized. The treatment response was evaluated as stable disease (SD) after 6 courses of docetaxel plus tegafur (DS regimen) chemotherapy. Then, a second-line treatment, a PIK3CA inhibitor, WX390, was administered with tolerable toxicity. There was a treatment-induced increase in blood glucose level during treatment, and insulin was administrated with good control. The progression-free survival (PFS) was 3.9 months and the overall survival (OS) was 16 months.

Conclusions: PIK3CA is a commonly mutated gene in EMPD. To the best of our knowledge, this is the first case report of a PIK3CA inhibitor for the treatment of primary metastatic EMPD, and the treatment efficacy was good. PIK3CA inhibitors may be promising for the treatment of metastatic EMPD in the future.

求助全文
通过发布文献求助,成功后即可免费获取论文全文。 去求助
来源期刊
自引率
0.00%
发文量
0
×
引用
GB/T 7714-2015
复制
MLA
复制
APA
复制
导出至
BibTeX EndNote RefMan NoteFirst NoteExpress
×
提示
您的信息不完整,为了账户安全,请先补充。
现在去补充
×
提示
您因"违规操作"
具体请查看互助需知
我知道了
×
提示
确定
请完成安全验证×
copy
已复制链接
快去分享给好友吧!
我知道了
右上角分享
点击右上角分享
0
联系我们:info@booksci.cn Book学术提供免费学术资源搜索服务,方便国内外学者检索中英文文献。致力于提供最便捷和优质的服务体验。 Copyright © 2023 布克学术 All rights reserved.
京ICP备2023020795号-1
ghs 京公网安备 11010802042870号
Book学术文献互助
Book学术文献互助群
群 号:604180095
Book学术官方微信