给哺乳期Wistar大鼠施用利奈唑胺影响其后代的健康。

IF 3.1 4区 医学 Q2 PHARMACOLOGY & PHARMACY
Aya G Hamouda, Entsar R Abd-Allah, Aya A Mahmoud
{"title":"给哺乳期Wistar大鼠施用利奈唑胺影响其后代的健康。","authors":"Aya G Hamouda, Entsar R Abd-Allah, Aya A Mahmoud","doi":"10.1007/s00210-025-04060-8","DOIUrl":null,"url":null,"abstract":"<p><p>Lactational exposure to antibacterial medications may affect the normal development of newborns during this crucial stage and later in adult life. Linezolid (LNZ) is an oxazolidinone antibacterial drug that is effective against drug-resistant Gram-positive bacteria and multidrug-resistant Mycobacterium tuberculosis. Although it is relatively toxic, there is insufficient data about LNZ use during lactation. This study aimed to elucidate the impact of linezolid administration during lactation on Wistar rats' offspring. Eighteen lactating Wistar female rats were separated into three groups (n = 6): control, therapeutic, and low dose groups. The therapeutic dose group received 61.66 mg/kg of LNZ (equivalent to the human dose), while the low dose group received 15.41 mg/kg of LNZ (1/4 of the human therapeutic dose) by gavage twice daily. All lactating dams and their offspring died four days after receiving a therapeutic dose. In the low dose group, LNZ significantly reduced the body weight of lactating females and their pups. The liver tissue of the pups showed a considerable increase in malondialdehyde levels, along with a decrease in the catalase, glutathione, and superoxide dismutase activities accompanied by moderate histological alterations like congestion, and infiltration, and DNA fragmentation as indicated by comet assay. Microscopic examination of renal tissue revealed glomeruli deterioration, cellular infiltration, and intratubular protein deposits. In conclusion, this study highlights the potential risks linezolid may pose to infants during postpartum. Therefore, there is a need for preweaning monitoring and caution should be taken during breastfeeding.</p>","PeriodicalId":18876,"journal":{"name":"Naunyn-Schmiedeberg's archives of pharmacology","volume":" ","pages":"13695-13705"},"PeriodicalIF":3.1000,"publicationDate":"2025-10-01","publicationTypes":"Journal Article","fieldsOfStudy":null,"isOpenAccess":false,"openAccessPdf":"https://www.ncbi.nlm.nih.gov/pmc/articles/PMC12511270/pdf/","citationCount":"0","resultStr":"{\"title\":\"Linezolid administration to lactating Wistar rats affects the health of their offspring.\",\"authors\":\"Aya G Hamouda, Entsar R Abd-Allah, Aya A Mahmoud\",\"doi\":\"10.1007/s00210-025-04060-8\",\"DOIUrl\":null,\"url\":null,\"abstract\":\"<p><p>Lactational exposure to antibacterial medications may affect the normal development of newborns during this crucial stage and later in adult life. Linezolid (LNZ) is an oxazolidinone antibacterial drug that is effective against drug-resistant Gram-positive bacteria and multidrug-resistant Mycobacterium tuberculosis. Although it is relatively toxic, there is insufficient data about LNZ use during lactation. This study aimed to elucidate the impact of linezolid administration during lactation on Wistar rats' offspring. Eighteen lactating Wistar female rats were separated into three groups (n = 6): control, therapeutic, and low dose groups. The therapeutic dose group received 61.66 mg/kg of LNZ (equivalent to the human dose), while the low dose group received 15.41 mg/kg of LNZ (1/4 of the human therapeutic dose) by gavage twice daily. All lactating dams and their offspring died four days after receiving a therapeutic dose. In the low dose group, LNZ significantly reduced the body weight of lactating females and their pups. The liver tissue of the pups showed a considerable increase in malondialdehyde levels, along with a decrease in the catalase, glutathione, and superoxide dismutase activities accompanied by moderate histological alterations like congestion, and infiltration, and DNA fragmentation as indicated by comet assay. Microscopic examination of renal tissue revealed glomeruli deterioration, cellular infiltration, and intratubular protein deposits. In conclusion, this study highlights the potential risks linezolid may pose to infants during postpartum. Therefore, there is a need for preweaning monitoring and caution should be taken during breastfeeding.</p>\",\"PeriodicalId\":18876,\"journal\":{\"name\":\"Naunyn-Schmiedeberg's archives of pharmacology\",\"volume\":\" \",\"pages\":\"13695-13705\"},\"PeriodicalIF\":3.1000,\"publicationDate\":\"2025-10-01\",\"publicationTypes\":\"Journal Article\",\"fieldsOfStudy\":null,\"isOpenAccess\":false,\"openAccessPdf\":\"https://www.ncbi.nlm.nih.gov/pmc/articles/PMC12511270/pdf/\",\"citationCount\":\"0\",\"resultStr\":null,\"platform\":\"Semanticscholar\",\"paperid\":null,\"PeriodicalName\":\"Naunyn-Schmiedeberg's archives of pharmacology\",\"FirstCategoryId\":\"3\",\"ListUrlMain\":\"https://doi.org/10.1007/s00210-025-04060-8\",\"RegionNum\":4,\"RegionCategory\":\"医学\",\"ArticlePicture\":[],\"TitleCN\":null,\"AbstractTextCN\":null,\"PMCID\":null,\"EPubDate\":\"2025/4/12 0:00:00\",\"PubModel\":\"Epub\",\"JCR\":\"Q2\",\"JCRName\":\"PHARMACOLOGY & PHARMACY\",\"Score\":null,\"Total\":0}","platform":"Semanticscholar","paperid":null,"PeriodicalName":"Naunyn-Schmiedeberg's archives of pharmacology","FirstCategoryId":"3","ListUrlMain":"https://doi.org/10.1007/s00210-025-04060-8","RegionNum":4,"RegionCategory":"医学","ArticlePicture":[],"TitleCN":null,"AbstractTextCN":null,"PMCID":null,"EPubDate":"2025/4/12 0:00:00","PubModel":"Epub","JCR":"Q2","JCRName":"PHARMACOLOGY & PHARMACY","Score":null,"Total":0}
引用次数: 0

摘要

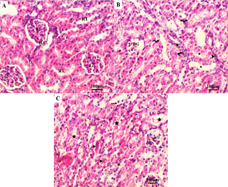
哺乳期接触抗菌药物可能会影响新生儿在这一关键阶段和成年后的正常发育。利奈唑胺(LNZ)是一种对耐药革兰氏阳性菌和耐多药结核分枝杆菌有效的恶唑烷类抗菌药物。虽然它是相对有毒的,但在哺乳期使用LNZ的数据不足。本研究旨在阐明哺乳期给药利奈唑胺对Wistar大鼠子代的影响。将18只哺乳期Wistar雌性大鼠分为3组(n = 6):对照组、治疗组和低剂量组。治疗剂量组给药61.66 mg/kg LNZ(相当于人剂量),低剂量组给药15.41 mg/kg LNZ(相当于人治疗剂量的1/4),每天灌胃2次。所有哺乳期母鼠及其后代在接受治疗剂量后4天死亡。在低剂量组,LNZ显著降低了哺乳期母鼠及其幼崽的体重。幼崽的肝脏组织显示丙二醛水平显著升高,过氧化氢酶、谷胱甘肽和超氧化物歧化酶活性降低,并伴有中度组织学改变,如充血、浸润和DNA断裂,如彗星测定所示。肾组织镜下检查显示肾小球恶化,细胞浸润,小管内蛋白沉积。总之,本研究强调了利奈唑胺可能对产后婴儿造成的潜在风险。因此,有必要进行断奶前监测,并在母乳喂养期间采取谨慎措施。
本文章由计算机程序翻译,如有差异,请以英文原文为准。

Linezolid administration to lactating Wistar rats affects the health of their offspring.

Linezolid administration to lactating Wistar rats affects the health of their offspring.

Linezolid administration to lactating Wistar rats affects the health of their offspring.

Linezolid administration to lactating Wistar rats affects the health of their offspring.

Lactational exposure to antibacterial medications may affect the normal development of newborns during this crucial stage and later in adult life. Linezolid (LNZ) is an oxazolidinone antibacterial drug that is effective against drug-resistant Gram-positive bacteria and multidrug-resistant Mycobacterium tuberculosis. Although it is relatively toxic, there is insufficient data about LNZ use during lactation. This study aimed to elucidate the impact of linezolid administration during lactation on Wistar rats' offspring. Eighteen lactating Wistar female rats were separated into three groups (n = 6): control, therapeutic, and low dose groups. The therapeutic dose group received 61.66 mg/kg of LNZ (equivalent to the human dose), while the low dose group received 15.41 mg/kg of LNZ (1/4 of the human therapeutic dose) by gavage twice daily. All lactating dams and their offspring died four days after receiving a therapeutic dose. In the low dose group, LNZ significantly reduced the body weight of lactating females and their pups. The liver tissue of the pups showed a considerable increase in malondialdehyde levels, along with a decrease in the catalase, glutathione, and superoxide dismutase activities accompanied by moderate histological alterations like congestion, and infiltration, and DNA fragmentation as indicated by comet assay. Microscopic examination of renal tissue revealed glomeruli deterioration, cellular infiltration, and intratubular protein deposits. In conclusion, this study highlights the potential risks linezolid may pose to infants during postpartum. Therefore, there is a need for preweaning monitoring and caution should be taken during breastfeeding.

求助全文
通过发布文献求助,成功后即可免费获取论文全文。 去求助
来源期刊
CiteScore
6.20
自引率
5.60%
发文量
142
审稿时长
4-8 weeks
期刊介绍: Naunyn-Schmiedeberg''s Archives of Pharmacology was founded in 1873 by B. Naunyn, O. Schmiedeberg and E. Klebs as Archiv für experimentelle Pathologie und Pharmakologie, is the offical journal of the German Society of Experimental and Clinical Pharmacology and Toxicology (Deutsche Gesellschaft für experimentelle und klinische Pharmakologie und Toxikologie, DGPT) and the Sphingolipid Club. The journal publishes invited reviews, original articles, short communications and meeting reports and appears monthly. Naunyn-Schmiedeberg''s Archives of Pharmacology welcomes manuscripts for consideration of publication that report new and significant information on drug action and toxicity of chemical compounds. Thus, its scope covers all fields of experimental and clinical pharmacology as well as toxicology and includes studies in the fields of neuropharmacology and cardiovascular pharmacology as well as those describing drug actions at the cellular, biochemical and molecular levels. Moreover, submission of clinical trials with healthy volunteers or patients is encouraged. Short communications provide a means for rapid publication of significant findings of current interest that represent a conceptual advance in the field.
×
引用
GB/T 7714-2015
复制
MLA
复制
APA
复制
导出至
BibTeX EndNote RefMan NoteFirst NoteExpress
×
提示
您的信息不完整,为了账户安全,请先补充。
现在去补充
×
提示
您因"违规操作"
具体请查看互助需知
我知道了
×
提示
确定
请完成安全验证×
copy
已复制链接
快去分享给好友吧!
我知道了
右上角分享
点击右上角分享
0
联系我们:info@booksci.cn Book学术提供免费学术资源搜索服务,方便国内外学者检索中英文文献。致力于提供最便捷和优质的服务体验。 Copyright © 2023 布克学术 All rights reserved.
京ICP备2023020795号-1
ghs 京公网安备 11010802042870号
Book学术文献互助
Book学术文献互助群
群 号:604180095
Book学术官方微信