脑转移作为类癌的首发表现:病例报告及文献复习。

IF 0.8 Q3 MEDICINE, GENERAL & INTERNAL
Qusai A Alsalah, Taha Z Makhlouf, Donya Y Alqam, Maen HajMohammad, Ahmad G Hammouri, Marwan Qubaja, Bashir Abu Aqeel
{"title":"脑转移作为类癌的首发表现:病例报告及文献复习。","authors":"Qusai A Alsalah, Taha Z Makhlouf, Donya Y Alqam, Maen HajMohammad, Ahmad G Hammouri, Marwan Qubaja, Bashir Abu Aqeel","doi":"10.1177/23247096251339308","DOIUrl":null,"url":null,"abstract":"<p><p>Neuroendocrine neoplasms of the lung include neuroendocrine carcinomas and neuroendocrine tumors (NETs). NETs are also known as carcinoid tumors (CaTs), which are categorized as typical carcinoid and atypical carcinoid (AC). Pulmonary CaTs often metastasize to various sites, including regional lymph nodes, lungs, liver, and bone; however, metastasis to the brain is relatively rare. It is even rarer for patients with CaTs to present with signs of brain metastasis initially. We report the case of a 50-year-old female patient who initially presented with neurological symptoms and magnetic resonance imaging findings suggestive of multiple sclerosis. Despite initial treatment for multiple sclerosis, further evaluation uncovered a rare case of bronchopulmonary AC tumor metastasis to the brain. This case highlights the importance of considering metastatic disease in patients presenting with atypical neurological symptoms, especially when initial management fails to yield expected outcomes. Our literature review revealed 7 cases of CaTs initially presenting with brain metastases, with our patient being the youngest among all published cases.</p>","PeriodicalId":16198,"journal":{"name":"Journal of investigative medicine high impact case reports","volume":"13 ","pages":"23247096251339308"},"PeriodicalIF":0.8000,"publicationDate":"2025-01-01","publicationTypes":"Journal Article","fieldsOfStudy":null,"isOpenAccess":false,"openAccessPdf":"https://www.ncbi.nlm.nih.gov/pmc/articles/PMC12065991/pdf/","citationCount":"0","resultStr":"{\"title\":\"Brain Metastasis as the Initial Presentation of Carcinoid Tumor: Case Report and Literature Review.\",\"authors\":\"Qusai A Alsalah, Taha Z Makhlouf, Donya Y Alqam, Maen HajMohammad, Ahmad G Hammouri, Marwan Qubaja, Bashir Abu Aqeel\",\"doi\":\"10.1177/23247096251339308\",\"DOIUrl\":null,\"url\":null,\"abstract\":\"<p><p>Neuroendocrine neoplasms of the lung include neuroendocrine carcinomas and neuroendocrine tumors (NETs). NETs are also known as carcinoid tumors (CaTs), which are categorized as typical carcinoid and atypical carcinoid (AC). Pulmonary CaTs often metastasize to various sites, including regional lymph nodes, lungs, liver, and bone; however, metastasis to the brain is relatively rare. It is even rarer for patients with CaTs to present with signs of brain metastasis initially. We report the case of a 50-year-old female patient who initially presented with neurological symptoms and magnetic resonance imaging findings suggestive of multiple sclerosis. Despite initial treatment for multiple sclerosis, further evaluation uncovered a rare case of bronchopulmonary AC tumor metastasis to the brain. This case highlights the importance of considering metastatic disease in patients presenting with atypical neurological symptoms, especially when initial management fails to yield expected outcomes. Our literature review revealed 7 cases of CaTs initially presenting with brain metastases, with our patient being the youngest among all published cases.</p>\",\"PeriodicalId\":16198,\"journal\":{\"name\":\"Journal of investigative medicine high impact case reports\",\"volume\":\"13 \",\"pages\":\"23247096251339308\"},\"PeriodicalIF\":0.8000,\"publicationDate\":\"2025-01-01\",\"publicationTypes\":\"Journal Article\",\"fieldsOfStudy\":null,\"isOpenAccess\":false,\"openAccessPdf\":\"https://www.ncbi.nlm.nih.gov/pmc/articles/PMC12065991/pdf/\",\"citationCount\":\"0\",\"resultStr\":null,\"platform\":\"Semanticscholar\",\"paperid\":null,\"PeriodicalName\":\"Journal of investigative medicine high impact case reports\",\"FirstCategoryId\":\"1085\",\"ListUrlMain\":\"https://doi.org/10.1177/23247096251339308\",\"RegionNum\":0,\"RegionCategory\":null,\"ArticlePicture\":[],\"TitleCN\":null,\"AbstractTextCN\":null,\"PMCID\":null,\"EPubDate\":\"2025/5/9 0:00:00\",\"PubModel\":\"Epub\",\"JCR\":\"Q3\",\"JCRName\":\"MEDICINE, GENERAL & INTERNAL\",\"Score\":null,\"Total\":0}","platform":"Semanticscholar","paperid":null,"PeriodicalName":"Journal of investigative medicine high impact case reports","FirstCategoryId":"1085","ListUrlMain":"https://doi.org/10.1177/23247096251339308","RegionNum":0,"RegionCategory":null,"ArticlePicture":[],"TitleCN":null,"AbstractTextCN":null,"PMCID":null,"EPubDate":"2025/5/9 0:00:00","PubModel":"Epub","JCR":"Q3","JCRName":"MEDICINE, GENERAL & INTERNAL","Score":null,"Total":0}
引用次数: 0

摘要

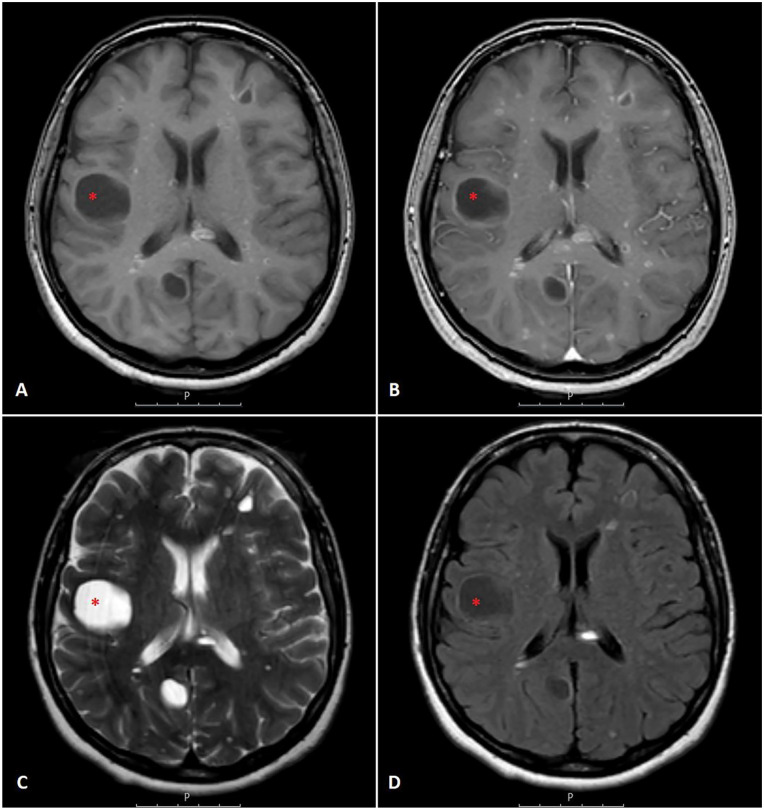
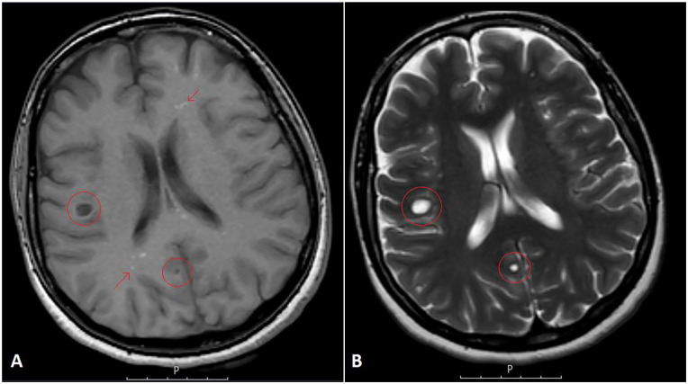
肺神经内分泌肿瘤包括神经内分泌癌和神经内分泌肿瘤(NETs)。net也被称为类癌(CaTs),分为典型类癌和非典型类癌(AC)。肺部cat常转移到不同部位,包括局部淋巴结、肺、肝和骨;然而,转移到大脑是相对罕见的。早期出现脑转移的患者更是罕见。我们报告一例50岁的女性患者,她最初表现为神经系统症状和磁共振成像结果提示多发性硬化症。尽管最初的治疗是多发性硬化症,但进一步的评估发现了一个罕见的支气管肺AC肿瘤转移到脑部的病例。本病例强调了在出现非典型神经症状的患者中考虑转移性疾病的重要性,特别是当初始治疗未能产生预期结果时。我们的文献回顾显示了7例最初表现为脑转移的cat,我们的患者是所有已发表病例中最年轻的。
本文章由计算机程序翻译,如有差异,请以英文原文为准。

Brain Metastasis as the Initial Presentation of Carcinoid Tumor: Case Report and Literature Review.

Brain Metastasis as the Initial Presentation of Carcinoid Tumor: Case Report and Literature Review.

Brain Metastasis as the Initial Presentation of Carcinoid Tumor: Case Report and Literature Review.

Brain Metastasis as the Initial Presentation of Carcinoid Tumor: Case Report and Literature Review.

Neuroendocrine neoplasms of the lung include neuroendocrine carcinomas and neuroendocrine tumors (NETs). NETs are also known as carcinoid tumors (CaTs), which are categorized as typical carcinoid and atypical carcinoid (AC). Pulmonary CaTs often metastasize to various sites, including regional lymph nodes, lungs, liver, and bone; however, metastasis to the brain is relatively rare. It is even rarer for patients with CaTs to present with signs of brain metastasis initially. We report the case of a 50-year-old female patient who initially presented with neurological symptoms and magnetic resonance imaging findings suggestive of multiple sclerosis. Despite initial treatment for multiple sclerosis, further evaluation uncovered a rare case of bronchopulmonary AC tumor metastasis to the brain. This case highlights the importance of considering metastatic disease in patients presenting with atypical neurological symptoms, especially when initial management fails to yield expected outcomes. Our literature review revealed 7 cases of CaTs initially presenting with brain metastases, with our patient being the youngest among all published cases.

求助全文
通过发布文献求助,成功后即可免费获取论文全文。 去求助
来源期刊
CiteScore
1.90
自引率
0.00%
发文量
165
审稿时长
12 weeks
期刊介绍: The AFMR is committed to enhancing the training and career development of our members and to furthering its mission to facilitate the conduct of research to improve medical care. Case reports represent an important avenue for trainees (interns, residents, and fellows) and early-stage faculty to demonstrate productive, scholarly activity.
×
引用
GB/T 7714-2015
复制
MLA
复制
APA
复制
导出至
BibTeX EndNote RefMan NoteFirst NoteExpress
×
提示
您的信息不完整,为了账户安全,请先补充。
现在去补充
×
提示
您因"违规操作"
具体请查看互助需知
我知道了
×
提示
确定
请完成安全验证×
copy
已复制链接
快去分享给好友吧!
我知道了
右上角分享
点击右上角分享
0
联系我们:info@booksci.cn Book学术提供免费学术资源搜索服务,方便国内外学者检索中英文文献。致力于提供最便捷和优质的服务体验。 Copyright © 2023 布克学术 All rights reserved.
京ICP备2023020795号-1
ghs 京公网安备 11010802042870号
Book学术文献互助
Book学术文献互助群
群 号:604180095
Book学术官方微信