出血性和缺血性脑卒中患者卒中相关不宁腿综合征。

IF 2.1 Q2 MEDICINE, GENERAL & INTERNAL
SAGE Open Medicine Pub Date : 2025-04-29 eCollection Date: 2025-01-01 DOI:10.1177/20503121251336900
Do Xuan Tinh, Dinh Viet Hung, Do Duc Thuan, Dang Phuc Duc, Dang Minh Duc, Nguyen Dang Cuong, Phan The Ha, Nguyen Dang Hai, Nguyen Duc Thuan, Tran Minh Tuan, Huynh Ngoc Lang, Nguyen Trong Nghia, Pham Ngoc Thao
{"title":"出血性和缺血性脑卒中患者卒中相关不宁腿综合征。","authors":"Do Xuan Tinh, Dinh Viet Hung, Do Duc Thuan, Dang Phuc Duc, Dang Minh Duc, Nguyen Dang Cuong, Phan The Ha, Nguyen Dang Hai, Nguyen Duc Thuan, Tran Minh Tuan, Huynh Ngoc Lang, Nguyen Trong Nghia, Pham Ngoc Thao","doi":"10.1177/20503121251336900","DOIUrl":null,"url":null,"abstract":"<p><strong>Objectives: </strong>The incidence of stroke-related restless legs syndrome (RLS) has been reported to be high but varies regionally. Therefore, this study aimed to investigate the incidence and some of the factors related to restless legs syndrome after stroke onset in patients in Vietnam.</p><p><strong>Methods: </strong>Data were collected from a total of 423 patients who had stroke, including 283 ischemic and 140 hemorrhagic strokes, which were confirmed by magnetic resonance imaging within 7 days after the onset of symptoms, at the Department of Stroke, Military Hospital 103 from September 2023 to April 2024. Restless legs syndrome was diagnosed 1 month after the stroke onset according to the criteria of the International Restless Legs Syndrome Study Group.</p><p><strong>Results: </strong>Restless legs syndrome was diagnosed in 59 patients (11.6%), including 37 (13.1%) who had ischemic stroke and 12 (8.6%) who had hemorrhagic stroke. An increased rate of restless legs syndrome was observed in stroke patients with brain lesions in the thalamus and lentiform nucleus; those who smoked; and those with a family history of restless legs syndrome.</p><p><strong>Conclusions: </strong>This study found that the incidence of restless legs syndrome after stroke was 11.6% overall and 13.1% and 8.6% after ischemic and hemorrhagic strokes, respectively. Lesion in the thalamus and lentiform nucleus, smoking history, and family history of restless legs syndrome were the predictors of restless legs syndrome after stroke onset.</p>","PeriodicalId":21398,"journal":{"name":"SAGE Open Medicine","volume":"13 ","pages":"20503121251336900"},"PeriodicalIF":2.1000,"publicationDate":"2025-04-29","publicationTypes":"Journal Article","fieldsOfStudy":null,"isOpenAccess":false,"openAccessPdf":"https://www.ncbi.nlm.nih.gov/pmc/articles/PMC12041691/pdf/","citationCount":"0","resultStr":"{\"title\":\"Stroke-related restless leg syndrome in hemorrhagic and ischemic stroke patients.\",\"authors\":\"Do Xuan Tinh, Dinh Viet Hung, Do Duc Thuan, Dang Phuc Duc, Dang Minh Duc, Nguyen Dang Cuong, Phan The Ha, Nguyen Dang Hai, Nguyen Duc Thuan, Tran Minh Tuan, Huynh Ngoc Lang, Nguyen Trong Nghia, Pham Ngoc Thao\",\"doi\":\"10.1177/20503121251336900\",\"DOIUrl\":null,\"url\":null,\"abstract\":\"<p><strong>Objectives: </strong>The incidence of stroke-related restless legs syndrome (RLS) has been reported to be high but varies regionally. Therefore, this study aimed to investigate the incidence and some of the factors related to restless legs syndrome after stroke onset in patients in Vietnam.</p><p><strong>Methods: </strong>Data were collected from a total of 423 patients who had stroke, including 283 ischemic and 140 hemorrhagic strokes, which were confirmed by magnetic resonance imaging within 7 days after the onset of symptoms, at the Department of Stroke, Military Hospital 103 from September 2023 to April 2024. Restless legs syndrome was diagnosed 1 month after the stroke onset according to the criteria of the International Restless Legs Syndrome Study Group.</p><p><strong>Results: </strong>Restless legs syndrome was diagnosed in 59 patients (11.6%), including 37 (13.1%) who had ischemic stroke and 12 (8.6%) who had hemorrhagic stroke. An increased rate of restless legs syndrome was observed in stroke patients with brain lesions in the thalamus and lentiform nucleus; those who smoked; and those with a family history of restless legs syndrome.</p><p><strong>Conclusions: </strong>This study found that the incidence of restless legs syndrome after stroke was 11.6% overall and 13.1% and 8.6% after ischemic and hemorrhagic strokes, respectively. Lesion in the thalamus and lentiform nucleus, smoking history, and family history of restless legs syndrome were the predictors of restless legs syndrome after stroke onset.</p>\",\"PeriodicalId\":21398,\"journal\":{\"name\":\"SAGE Open Medicine\",\"volume\":\"13 \",\"pages\":\"20503121251336900\"},\"PeriodicalIF\":2.1000,\"publicationDate\":\"2025-04-29\",\"publicationTypes\":\"Journal Article\",\"fieldsOfStudy\":null,\"isOpenAccess\":false,\"openAccessPdf\":\"https://www.ncbi.nlm.nih.gov/pmc/articles/PMC12041691/pdf/\",\"citationCount\":\"0\",\"resultStr\":null,\"platform\":\"Semanticscholar\",\"paperid\":null,\"PeriodicalName\":\"SAGE Open Medicine\",\"FirstCategoryId\":\"1085\",\"ListUrlMain\":\"https://doi.org/10.1177/20503121251336900\",\"RegionNum\":0,\"RegionCategory\":null,\"ArticlePicture\":[],\"TitleCN\":null,\"AbstractTextCN\":null,\"PMCID\":null,\"EPubDate\":\"2025/1/1 0:00:00\",\"PubModel\":\"eCollection\",\"JCR\":\"Q2\",\"JCRName\":\"MEDICINE, GENERAL & INTERNAL\",\"Score\":null,\"Total\":0}","platform":"Semanticscholar","paperid":null,"PeriodicalName":"SAGE Open Medicine","FirstCategoryId":"1085","ListUrlMain":"https://doi.org/10.1177/20503121251336900","RegionNum":0,"RegionCategory":null,"ArticlePicture":[],"TitleCN":null,"AbstractTextCN":null,"PMCID":null,"EPubDate":"2025/1/1 0:00:00","PubModel":"eCollection","JCR":"Q2","JCRName":"MEDICINE, GENERAL & INTERNAL","Score":null,"Total":0}
引用次数: 0

摘要

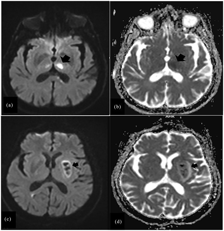
目的:卒中相关不宁腿综合征(RLS)的发病率据报道很高,但因地区而异。因此,本研究旨在调查越南患者卒中后不宁腿综合征的发病率及相关因素。方法:收集军队103医院脑卒中科2023年9月至2024年4月共423例脑卒中患者的资料,其中缺血性脑卒中283例,出血性脑卒中140例,均在发病后7天内通过磁共振成像确诊。根据国际不宁腿综合征研究组的标准,在卒中发作1个月后诊断为不宁腿综合征。结果:不宁腿综合征59例(11.6%),其中缺血性脑卒中37例(13.1%),出血性脑卒中12例(8.6%)。不宁腿综合征的发生率在丘脑和慢状核脑损伤的中风患者中有所增加;吸烟的人;以及那些有不宁腿综合症家族史的人。结论:本研究发现卒中后不宁腿综合征的发生率为11.6%,缺血性卒中后为13.1%,出血性卒中后为8.6%。丘脑和慢状核病变、吸烟史和不宁腿综合征家族史是卒中后不宁腿综合征的预测因素。
本文章由计算机程序翻译,如有差异,请以英文原文为准。

Stroke-related restless leg syndrome in hemorrhagic and ischemic stroke patients.

Stroke-related restless leg syndrome in hemorrhagic and ischemic stroke patients.

Stroke-related restless leg syndrome in hemorrhagic and ischemic stroke patients.

Stroke-related restless leg syndrome in hemorrhagic and ischemic stroke patients.

Objectives: The incidence of stroke-related restless legs syndrome (RLS) has been reported to be high but varies regionally. Therefore, this study aimed to investigate the incidence and some of the factors related to restless legs syndrome after stroke onset in patients in Vietnam.

Methods: Data were collected from a total of 423 patients who had stroke, including 283 ischemic and 140 hemorrhagic strokes, which were confirmed by magnetic resonance imaging within 7 days after the onset of symptoms, at the Department of Stroke, Military Hospital 103 from September 2023 to April 2024. Restless legs syndrome was diagnosed 1 month after the stroke onset according to the criteria of the International Restless Legs Syndrome Study Group.

Results: Restless legs syndrome was diagnosed in 59 patients (11.6%), including 37 (13.1%) who had ischemic stroke and 12 (8.6%) who had hemorrhagic stroke. An increased rate of restless legs syndrome was observed in stroke patients with brain lesions in the thalamus and lentiform nucleus; those who smoked; and those with a family history of restless legs syndrome.

Conclusions: This study found that the incidence of restless legs syndrome after stroke was 11.6% overall and 13.1% and 8.6% after ischemic and hemorrhagic strokes, respectively. Lesion in the thalamus and lentiform nucleus, smoking history, and family history of restless legs syndrome were the predictors of restless legs syndrome after stroke onset.

求助全文
通过发布文献求助,成功后即可免费获取论文全文。 去求助
来源期刊
SAGE Open Medicine
SAGE Open Medicine MEDICINE, GENERAL & INTERNAL-
CiteScore
3.50
自引率
4.30%
发文量
289
审稿时长
12 weeks
×
引用
GB/T 7714-2015
复制
MLA
复制
APA
复制
导出至
BibTeX EndNote RefMan NoteFirst NoteExpress
×
提示
您的信息不完整,为了账户安全,请先补充。
现在去补充
×
提示
您因"违规操作"
具体请查看互助需知
我知道了
×
提示
确定
请完成安全验证×
copy
已复制链接
快去分享给好友吧!
我知道了
右上角分享
点击右上角分享
0
联系我们:info@booksci.cn Book学术提供免费学术资源搜索服务,方便国内外学者检索中英文文献。致力于提供最便捷和优质的服务体验。 Copyright © 2023 布克学术 All rights reserved.
京ICP备2023020795号-1
ghs 京公网安备 11010802042870号
Book学术文献互助
Book学术文献互助群
群 号:604180095
Book学术官方微信