青少年颅内毛霉根茎病引发脑卒中警报:一个病例报告和儿科病例的系统回顾。

IF 1.6 4区 医学 Q3 CLINICAL NEUROLOGY
Journal of Child Neurology Pub Date : 2025-09-01 Epub Date: 2025-05-07 DOI:10.1177/08830738251334939
Rima El Atrache, Melissa Mizerik, Joaquin Francisco Ruiz Lopez, Eric Engstrom, Karla Patricia Salazar, Mikael C Guzman-Karlsson, Daniel Davila-Williams, Sonali Sen, Kristen S Fisher, Jennifer C Erklauer
{"title":"青少年颅内毛霉根茎病引发脑卒中警报:一个病例报告和儿科病例的系统回顾。","authors":"Rima El Atrache, Melissa Mizerik, Joaquin Francisco Ruiz Lopez, Eric Engstrom, Karla Patricia Salazar, Mikael C Guzman-Karlsson, Daniel Davila-Williams, Sonali Sen, Kristen S Fisher, Jennifer C Erklauer","doi":"10.1177/08830738251334939","DOIUrl":null,"url":null,"abstract":"<p><p>Mucormycosis is a rare, life-threatening opportunistic infection primarily affecting immunocompromised patients. The available literature on <i>Rhizomucor pusillus</i> <i>(R pusillus)</i> infections of the central nervous system (CNS) in children is very limited. We present the case of an immunocompromised adolescent with intracranial mucormycosis due to <i>R pusillus</i> manifesting with stroke-like symptoms. This case highlights this rare condition's diagnostic complexity and management challenges. We include a review of the available literature on pediatric <i>R pusillus</i> CNS infections to increase awareness among health care providers.</p>","PeriodicalId":15319,"journal":{"name":"Journal of Child Neurology","volume":" ","pages":"678-685"},"PeriodicalIF":1.6000,"publicationDate":"2025-09-01","publicationTypes":"Journal Article","fieldsOfStudy":null,"isOpenAccess":false,"openAccessPdf":"https://www.ncbi.nlm.nih.gov/pmc/articles/PMC12332211/pdf/","citationCount":"0","resultStr":"{\"title\":\"Intracranial <i>Rhizomucor Pusillus</i> Mucormycosis in an Adolescent Triggering a Stroke Alert: A Case Report and a Systematic Review of Pediatric Cases.\",\"authors\":\"Rima El Atrache, Melissa Mizerik, Joaquin Francisco Ruiz Lopez, Eric Engstrom, Karla Patricia Salazar, Mikael C Guzman-Karlsson, Daniel Davila-Williams, Sonali Sen, Kristen S Fisher, Jennifer C Erklauer\",\"doi\":\"10.1177/08830738251334939\",\"DOIUrl\":null,\"url\":null,\"abstract\":\"<p><p>Mucormycosis is a rare, life-threatening opportunistic infection primarily affecting immunocompromised patients. The available literature on <i>Rhizomucor pusillus</i> <i>(R pusillus)</i> infections of the central nervous system (CNS) in children is very limited. We present the case of an immunocompromised adolescent with intracranial mucormycosis due to <i>R pusillus</i> manifesting with stroke-like symptoms. This case highlights this rare condition's diagnostic complexity and management challenges. We include a review of the available literature on pediatric <i>R pusillus</i> CNS infections to increase awareness among health care providers.</p>\",\"PeriodicalId\":15319,\"journal\":{\"name\":\"Journal of Child Neurology\",\"volume\":\" \",\"pages\":\"678-685\"},\"PeriodicalIF\":1.6000,\"publicationDate\":\"2025-09-01\",\"publicationTypes\":\"Journal Article\",\"fieldsOfStudy\":null,\"isOpenAccess\":false,\"openAccessPdf\":\"https://www.ncbi.nlm.nih.gov/pmc/articles/PMC12332211/pdf/\",\"citationCount\":\"0\",\"resultStr\":null,\"platform\":\"Semanticscholar\",\"paperid\":null,\"PeriodicalName\":\"Journal of Child Neurology\",\"FirstCategoryId\":\"3\",\"ListUrlMain\":\"https://doi.org/10.1177/08830738251334939\",\"RegionNum\":4,\"RegionCategory\":\"医学\",\"ArticlePicture\":[],\"TitleCN\":null,\"AbstractTextCN\":null,\"PMCID\":null,\"EPubDate\":\"2025/5/7 0:00:00\",\"PubModel\":\"Epub\",\"JCR\":\"Q3\",\"JCRName\":\"CLINICAL NEUROLOGY\",\"Score\":null,\"Total\":0}","platform":"Semanticscholar","paperid":null,"PeriodicalName":"Journal of Child Neurology","FirstCategoryId":"3","ListUrlMain":"https://doi.org/10.1177/08830738251334939","RegionNum":4,"RegionCategory":"医学","ArticlePicture":[],"TitleCN":null,"AbstractTextCN":null,"PMCID":null,"EPubDate":"2025/5/7 0:00:00","PubModel":"Epub","JCR":"Q3","JCRName":"CLINICAL NEUROLOGY","Score":null,"Total":0}
引用次数: 0

摘要

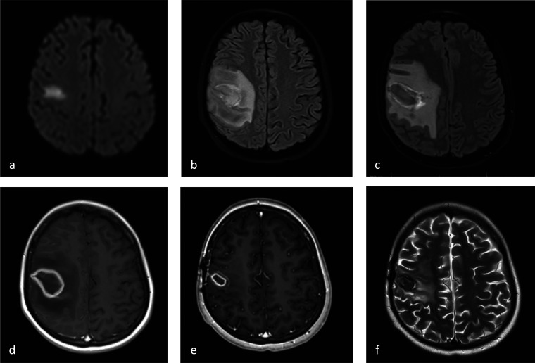
毛霉病是一种罕见的、危及生命的机会性感染,主要影响免疫功能低下的患者。关于儿童中枢神经系统(CNS)的pusillus (R pusillus)感染的现有文献非常有限。我们提出的情况下,免疫功能低下的青少年颅内毛霉病,由于R pusillus表现为中风样症状。该病例突出了这种罕见疾病的诊断复杂性和管理挑战。我们包括对现有文献的回顾小儿扁桃体中枢神经系统感染,以提高卫生保健提供者的认识。
本文章由计算机程序翻译,如有差异,请以英文原文为准。

Intracranial <i>Rhizomucor Pusillus</i> Mucormycosis in an Adolescent Triggering a Stroke Alert: A Case Report and a Systematic Review of Pediatric Cases.

Intracranial <i>Rhizomucor Pusillus</i> Mucormycosis in an Adolescent Triggering a Stroke Alert: A Case Report and a Systematic Review of Pediatric Cases.

Intracranial <i>Rhizomucor Pusillus</i> Mucormycosis in an Adolescent Triggering a Stroke Alert: A Case Report and a Systematic Review of Pediatric Cases.

Intracranial Rhizomucor Pusillus Mucormycosis in an Adolescent Triggering a Stroke Alert: A Case Report and a Systematic Review of Pediatric Cases.

Mucormycosis is a rare, life-threatening opportunistic infection primarily affecting immunocompromised patients. The available literature on Rhizomucor pusillus (R pusillus) infections of the central nervous system (CNS) in children is very limited. We present the case of an immunocompromised adolescent with intracranial mucormycosis due to R pusillus manifesting with stroke-like symptoms. This case highlights this rare condition's diagnostic complexity and management challenges. We include a review of the available literature on pediatric R pusillus CNS infections to increase awareness among health care providers.

求助全文
通过发布文献求助,成功后即可免费获取论文全文。 去求助
来源期刊
Journal of Child Neurology
Journal of Child Neurology 医学-临床神经学
CiteScore
4.20
自引率
5.30%
发文量
111
审稿时长
3-6 weeks
期刊介绍: The Journal of Child Neurology (JCN) embraces peer-reviewed clinical and investigative studies from a wide-variety of neuroscience disciplines. Focusing on the needs of neurologic patients from birth to age 18 years, JCN covers topics ranging from assessment of new and changing therapies and procedures; diagnosis, evaluation, and management of neurologic, neuropsychiatric, and neurodevelopmental disorders; and pathophysiology of central nervous system diseases.
×
引用
GB/T 7714-2015
复制
MLA
复制
APA
复制
导出至
BibTeX EndNote RefMan NoteFirst NoteExpress
×
提示
您的信息不完整,为了账户安全,请先补充。
现在去补充
×
提示
您因"违规操作"
具体请查看互助需知
我知道了
×
提示
确定
请完成安全验证×
copy
已复制链接
快去分享给好友吧!
我知道了
右上角分享
点击右上角分享
0
联系我们:info@booksci.cn Book学术提供免费学术资源搜索服务,方便国内外学者检索中英文文献。致力于提供最便捷和优质的服务体验。 Copyright © 2023 布克学术 All rights reserved.
京ICP备2023020795号-1
ghs 京公网安备 11010802042870号
Book学术文献互助
Book学术文献互助群
群 号:604180095
Book学术官方微信