副肿瘤肿瘤性脱髓鞘合并潜在的间变性甲状腺癌:1例报告及文献复习。

IF 2.8 Q2 CLINICAL NEUROLOGY
Journal of Central Nervous System Disease Pub Date : 2025-05-08 eCollection Date: 2025-01-01 DOI:10.1177/11795735251340051
Chaloulos-Iakovidis Panagiotis, Arsany Hakim, Stork Lidia, Stadelmann-Nessler Christine, Kollár Attila, Chan Andrew, De Beukelaer Sophie, Salmen Anke, Hoepner Robert, Helly Hammer
{"title":"副肿瘤肿瘤性脱髓鞘合并潜在的间变性甲状腺癌:1例报告及文献复习。","authors":"Chaloulos-Iakovidis Panagiotis, Arsany Hakim, Stork Lidia, Stadelmann-Nessler Christine, Kollár Attila, Chan Andrew, De Beukelaer Sophie, Salmen Anke, Hoepner Robert, Helly Hammer","doi":"10.1177/11795735251340051","DOIUrl":null,"url":null,"abstract":"<p><p>We present a case of paraneoplastic tumefactive demyelination in a 55-year-old female with an underlying anaplastic thyroid carcinoma (ATC), alongside a review of the literature on all cases of tumefactive demyelination associated with non-CNS neoplasia. In the presented case the patient developed a right-sided subacute sensorimotor hemiparesis. The initial cerebral MRI revealed a bilateral frontoparietal tumefactive mass lesion with marked gadolinium uptake and mass effect. Cerebrospinal fluid revealed CSF-specific oligoclonal bands type III, with negative cell count, protein and pathogen testing. Brain biopsy indicated demyelination and T-cell infiltrates and foamy macrophages. A body CT revealed an anaplastic thyroid carcinoma. Despite steroids, plasma exchange, rituximab, and cancer treatment, the patient died due to clinical fluctuation and cancer progression. In addition to our case 9 cases of tumefactive demyelinating have been reported in patients with newly diagnosed extracranial neoplasia, most commonly seminoma germ cell tumour (7/10). 8/10 (80%) of patients were male, with mean age at diagnosis was 52.9 years 95% C.I. [43.8, 62.0]. 5/10 patients presented with sensorimotor hemiparesis and/or confusion/neurocognitive deficits. 4/10 with visual deficits and 2/10 with aphasia. In all cases neoplasia was diagnosed simultaneously or after neurological manifestations. All cases presented initially as solitary lesions. A malignancy specific-treatment as well as steroid treatment in different regiments were applied. In addition in 2/10 plasmapheresis was implemented and 1/10 patients received intravenous immunoglobulins. In the majority of cases including the presented case partial neurological improvement was documented whereas malignancy usually progressed. To our knowledge, this is the first report of paraneoplastic tumefactive demyelination associated with an ATC highlighting the importance of a thorough workup in these patients. This is the first reported case of paraneoplastic tumefactive demyelination associated with ATC, underscoring the necessity of a comprehensive diagnostic approach in similar patients.</p>","PeriodicalId":15218,"journal":{"name":"Journal of Central Nervous System Disease","volume":"17 ","pages":"11795735251340051"},"PeriodicalIF":2.8000,"publicationDate":"2025-05-08","publicationTypes":"Journal Article","fieldsOfStudy":null,"isOpenAccess":false,"openAccessPdf":"https://www.ncbi.nlm.nih.gov/pmc/articles/PMC12062606/pdf/","citationCount":"0","resultStr":"{\"title\":\"Paraneoplastic Tumefactive Demyelination With Underlying Anaplastic Thyroid Cancer: A Case Report and Review of the Literature.\",\"authors\":\"Chaloulos-Iakovidis Panagiotis, Arsany Hakim, Stork Lidia, Stadelmann-Nessler Christine, Kollár Attila, Chan Andrew, De Beukelaer Sophie, Salmen Anke, Hoepner Robert, Helly Hammer\",\"doi\":\"10.1177/11795735251340051\",\"DOIUrl\":null,\"url\":null,\"abstract\":\"<p><p>We present a case of paraneoplastic tumefactive demyelination in a 55-year-old female with an underlying anaplastic thyroid carcinoma (ATC), alongside a review of the literature on all cases of tumefactive demyelination associated with non-CNS neoplasia. In the presented case the patient developed a right-sided subacute sensorimotor hemiparesis. The initial cerebral MRI revealed a bilateral frontoparietal tumefactive mass lesion with marked gadolinium uptake and mass effect. Cerebrospinal fluid revealed CSF-specific oligoclonal bands type III, with negative cell count, protein and pathogen testing. Brain biopsy indicated demyelination and T-cell infiltrates and foamy macrophages. A body CT revealed an anaplastic thyroid carcinoma. Despite steroids, plasma exchange, rituximab, and cancer treatment, the patient died due to clinical fluctuation and cancer progression. In addition to our case 9 cases of tumefactive demyelinating have been reported in patients with newly diagnosed extracranial neoplasia, most commonly seminoma germ cell tumour (7/10). 8/10 (80%) of patients were male, with mean age at diagnosis was 52.9 years 95% C.I. [43.8, 62.0]. 5/10 patients presented with sensorimotor hemiparesis and/or confusion/neurocognitive deficits. 4/10 with visual deficits and 2/10 with aphasia. In all cases neoplasia was diagnosed simultaneously or after neurological manifestations. All cases presented initially as solitary lesions. A malignancy specific-treatment as well as steroid treatment in different regiments were applied. In addition in 2/10 plasmapheresis was implemented and 1/10 patients received intravenous immunoglobulins. In the majority of cases including the presented case partial neurological improvement was documented whereas malignancy usually progressed. To our knowledge, this is the first report of paraneoplastic tumefactive demyelination associated with an ATC highlighting the importance of a thorough workup in these patients. This is the first reported case of paraneoplastic tumefactive demyelination associated with ATC, underscoring the necessity of a comprehensive diagnostic approach in similar patients.</p>\",\"PeriodicalId\":15218,\"journal\":{\"name\":\"Journal of Central Nervous System Disease\",\"volume\":\"17 \",\"pages\":\"11795735251340051\"},\"PeriodicalIF\":2.8000,\"publicationDate\":\"2025-05-08\",\"publicationTypes\":\"Journal Article\",\"fieldsOfStudy\":null,\"isOpenAccess\":false,\"openAccessPdf\":\"https://www.ncbi.nlm.nih.gov/pmc/articles/PMC12062606/pdf/\",\"citationCount\":\"0\",\"resultStr\":null,\"platform\":\"Semanticscholar\",\"paperid\":null,\"PeriodicalName\":\"Journal of Central Nervous System Disease\",\"FirstCategoryId\":\"1085\",\"ListUrlMain\":\"https://doi.org/10.1177/11795735251340051\",\"RegionNum\":0,\"RegionCategory\":null,\"ArticlePicture\":[],\"TitleCN\":null,\"AbstractTextCN\":null,\"PMCID\":null,\"EPubDate\":\"2025/1/1 0:00:00\",\"PubModel\":\"eCollection\",\"JCR\":\"Q2\",\"JCRName\":\"CLINICAL NEUROLOGY\",\"Score\":null,\"Total\":0}","platform":"Semanticscholar","paperid":null,"PeriodicalName":"Journal of Central Nervous System Disease","FirstCategoryId":"1085","ListUrlMain":"https://doi.org/10.1177/11795735251340051","RegionNum":0,"RegionCategory":null,"ArticlePicture":[],"TitleCN":null,"AbstractTextCN":null,"PMCID":null,"EPubDate":"2025/1/1 0:00:00","PubModel":"eCollection","JCR":"Q2","JCRName":"CLINICAL NEUROLOGY","Score":null,"Total":0}
引用次数: 0

摘要

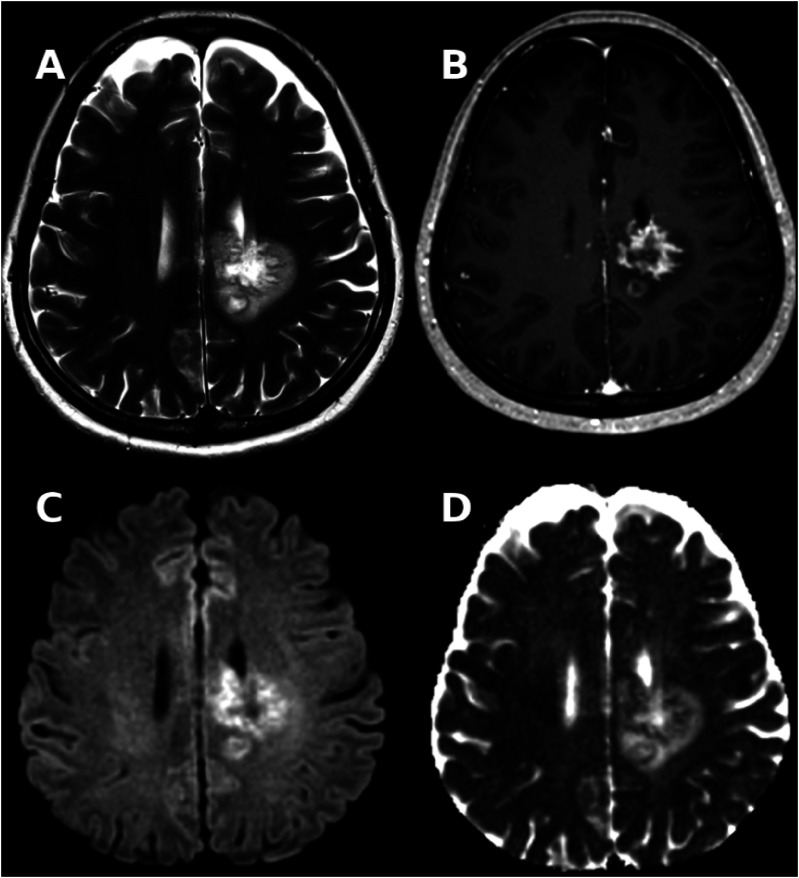
我们报告了一例55岁女性伴甲状腺间变性癌(ATC)的副肿瘤性肿瘤性脱髓鞘,同时回顾了所有与非中枢神经系统肿瘤相关的肿瘤性脱髓鞘病例。在本病例中,患者出现了右侧亚急性感觉运动偏瘫。最初的脑部MRI显示双侧额顶叶膨大性肿块病变,有明显的钆摄取和肿块效应。脑脊液显示csf特异性III型寡克隆带,细胞计数、蛋白和病原体检测均为阴性。脑组织活检显示脱髓鞘、t细胞浸润和泡沫状巨噬细胞。全身CT示甲状腺间变性癌。尽管接受了类固醇、血浆置换、利妥昔单抗和癌症治疗,患者还是因临床波动和癌症进展而死亡。除了我们的病例外,在新诊断的颅外肿瘤患者中报道了9例肿瘤性脱髓鞘,最常见的是精原细胞瘤生殖细胞肿瘤(7/10)。8/10(80%)患者为男性,平均诊断年龄为52.9岁,95% C.I.[43.8, 62.0]。5/10患者表现为感觉运动偏瘫和/或精神错乱/神经认知障碍。4/10有视力缺陷,2/10有失语。所有病例均同时或在神经系统表现后诊断出肿瘤。所有病例最初表现为孤立病变。恶性肿瘤特异性治疗和类固醇治疗在不同的团应用。此外,2/10的患者进行了血浆置换,1/10的患者接受了静脉注射免疫球蛋白。在大多数病例中,包括本病例,部分神经系统改善被记录,而恶性肿瘤通常进展。据我们所知,这是首次报道与ATC相关的副肿瘤肿瘤性脱髓鞘,强调了对这些患者进行彻底检查的重要性。这是首次报道的与ATC相关的副肿瘤肿瘤性脱髓鞘,强调了在类似患者中采用综合诊断方法的必要性。
本文章由计算机程序翻译,如有差异,请以英文原文为准。

Paraneoplastic Tumefactive Demyelination With Underlying Anaplastic Thyroid Cancer: A Case Report and Review of the Literature.

Paraneoplastic Tumefactive Demyelination With Underlying Anaplastic Thyroid Cancer: A Case Report and Review of the Literature.

Paraneoplastic Tumefactive Demyelination With Underlying Anaplastic Thyroid Cancer: A Case Report and Review of the Literature.

Paraneoplastic Tumefactive Demyelination With Underlying Anaplastic Thyroid Cancer: A Case Report and Review of the Literature.

We present a case of paraneoplastic tumefactive demyelination in a 55-year-old female with an underlying anaplastic thyroid carcinoma (ATC), alongside a review of the literature on all cases of tumefactive demyelination associated with non-CNS neoplasia. In the presented case the patient developed a right-sided subacute sensorimotor hemiparesis. The initial cerebral MRI revealed a bilateral frontoparietal tumefactive mass lesion with marked gadolinium uptake and mass effect. Cerebrospinal fluid revealed CSF-specific oligoclonal bands type III, with negative cell count, protein and pathogen testing. Brain biopsy indicated demyelination and T-cell infiltrates and foamy macrophages. A body CT revealed an anaplastic thyroid carcinoma. Despite steroids, plasma exchange, rituximab, and cancer treatment, the patient died due to clinical fluctuation and cancer progression. In addition to our case 9 cases of tumefactive demyelinating have been reported in patients with newly diagnosed extracranial neoplasia, most commonly seminoma germ cell tumour (7/10). 8/10 (80%) of patients were male, with mean age at diagnosis was 52.9 years 95% C.I. [43.8, 62.0]. 5/10 patients presented with sensorimotor hemiparesis and/or confusion/neurocognitive deficits. 4/10 with visual deficits and 2/10 with aphasia. In all cases neoplasia was diagnosed simultaneously or after neurological manifestations. All cases presented initially as solitary lesions. A malignancy specific-treatment as well as steroid treatment in different regiments were applied. In addition in 2/10 plasmapheresis was implemented and 1/10 patients received intravenous immunoglobulins. In the majority of cases including the presented case partial neurological improvement was documented whereas malignancy usually progressed. To our knowledge, this is the first report of paraneoplastic tumefactive demyelination associated with an ATC highlighting the importance of a thorough workup in these patients. This is the first reported case of paraneoplastic tumefactive demyelination associated with ATC, underscoring the necessity of a comprehensive diagnostic approach in similar patients.

求助全文
通过发布文献求助,成功后即可免费获取论文全文。 去求助
来源期刊
CiteScore
6.90
自引率
0.00%
发文量
39
审稿时长
8 weeks
×
引用
GB/T 7714-2015
复制
MLA
复制
APA
复制
导出至
BibTeX EndNote RefMan NoteFirst NoteExpress
×
提示
您的信息不完整,为了账户安全,请先补充。
现在去补充
×
提示
您因"违规操作"
具体请查看互助需知
我知道了
×
提示
确定
请完成安全验证×
copy
已复制链接
快去分享给好友吧!
我知道了
右上角分享
点击右上角分享
0
联系我们:info@booksci.cn Book学术提供免费学术资源搜索服务,方便国内外学者检索中英文文献。致力于提供最便捷和优质的服务体验。 Copyright © 2023 布克学术 All rights reserved.
京ICP备2023020795号-1
ghs 京公网安备 11010802042870号
Book学术文献互助
Book学术文献互助群
群 号:604180095
Book学术官方微信