磁共振血管造影诊断C5节段性椎动脉。

IF 1.2 4区 医学 Q2 Medicine
Kenji Takata, Midori Ueda, Kiyotaka Takeuchi, Hideaki Komiya, Daisuke Yoshikawa, Satomi Kanai, Tasuku Wakabayashi, Ayaki Kitano, Mariko Toyooka, Toyohiko Sakai, Tetsuya Tsujikawa
{"title":"磁共振血管造影诊断C5节段性椎动脉。","authors":"Kenji Takata, Midori Ueda, Kiyotaka Takeuchi, Hideaki Komiya, Daisuke Yoshikawa, Satomi Kanai, Tasuku Wakabayashi, Ayaki Kitano, Mariko Toyooka, Toyohiko Sakai, Tetsuya Tsujikawa","doi":"10.1007/s00276-025-03640-w","DOIUrl":null,"url":null,"abstract":"<p><strong>Purpose: </strong>The vertebral artery (VA) typically enters the subarachnoid space at the atlanto-occipital region. However, segmental variations can occur, with the VA entering the spinal canal at atypical levels. While a C3 segmental VA has been reported, no prior studies describe a C5 segmental VA. This case represents the first documented occurrence of this anomaly.</p><p><strong>Methods: </strong>An 8-year-old girl underwent brain magnetic resonance imaging for headache screening, which incidentally revealed an abnormal VA course.</p><p><strong>Results: </strong>Imaging revealed the absence of the left VA at the proximal V2 segment. Instead, a radiculomedullary artery at C4/5 entered the spinal canal and contributed to the formation of the anterior spinal artery (ASA), which ascended along the spinal cord. The right VA appeared normal; however, a radiculomedullary artery at the C3/4 level was identified, joining the contralateral radiculomedullary artery at the C1 level to form the ASA. Additionally, bilateral accessory middle cerebral arteries were observed. No clear association was found between this anomaly and the patient's headache, and she remained under observation.</p><p><strong>Conclusion: </strong>This anomaly may result from persistence of the fifth intersegmental artery. The vascular course resembled collateral circulation observed in acquired VA occlusion. Given its proximity to the spinal cord, potential risks include ischemic complications and spinal cord compression. This case highlights the importance of accurate imaging and careful surgical planning. Further studies on these rare vascular anomalies will enhance our understanding of VA variations and their clinical significance.</p>","PeriodicalId":49461,"journal":{"name":"Surgical and Radiologic Anatomy","volume":"47 1","pages":"132"},"PeriodicalIF":1.2000,"publicationDate":"2025-04-30","publicationTypes":"Journal Article","fieldsOfStudy":null,"isOpenAccess":false,"openAccessPdf":"https://www.ncbi.nlm.nih.gov/pmc/articles/PMC12043754/pdf/","citationCount":"0","resultStr":"{\"title\":\"Diagnosis of C5 segmental vertebral artery using magnetic resonance angiography.\",\"authors\":\"Kenji Takata, Midori Ueda, Kiyotaka Takeuchi, Hideaki Komiya, Daisuke Yoshikawa, Satomi Kanai, Tasuku Wakabayashi, Ayaki Kitano, Mariko Toyooka, Toyohiko Sakai, Tetsuya Tsujikawa\",\"doi\":\"10.1007/s00276-025-03640-w\",\"DOIUrl\":null,\"url\":null,\"abstract\":\"<p><strong>Purpose: </strong>The vertebral artery (VA) typically enters the subarachnoid space at the atlanto-occipital region. However, segmental variations can occur, with the VA entering the spinal canal at atypical levels. While a C3 segmental VA has been reported, no prior studies describe a C5 segmental VA. This case represents the first documented occurrence of this anomaly.</p><p><strong>Methods: </strong>An 8-year-old girl underwent brain magnetic resonance imaging for headache screening, which incidentally revealed an abnormal VA course.</p><p><strong>Results: </strong>Imaging revealed the absence of the left VA at the proximal V2 segment. Instead, a radiculomedullary artery at C4/5 entered the spinal canal and contributed to the formation of the anterior spinal artery (ASA), which ascended along the spinal cord. The right VA appeared normal; however, a radiculomedullary artery at the C3/4 level was identified, joining the contralateral radiculomedullary artery at the C1 level to form the ASA. Additionally, bilateral accessory middle cerebral arteries were observed. No clear association was found between this anomaly and the patient's headache, and she remained under observation.</p><p><strong>Conclusion: </strong>This anomaly may result from persistence of the fifth intersegmental artery. The vascular course resembled collateral circulation observed in acquired VA occlusion. Given its proximity to the spinal cord, potential risks include ischemic complications and spinal cord compression. This case highlights the importance of accurate imaging and careful surgical planning. Further studies on these rare vascular anomalies will enhance our understanding of VA variations and their clinical significance.</p>\",\"PeriodicalId\":49461,\"journal\":{\"name\":\"Surgical and Radiologic Anatomy\",\"volume\":\"47 1\",\"pages\":\"132\"},\"PeriodicalIF\":1.2000,\"publicationDate\":\"2025-04-30\",\"publicationTypes\":\"Journal Article\",\"fieldsOfStudy\":null,\"isOpenAccess\":false,\"openAccessPdf\":\"https://www.ncbi.nlm.nih.gov/pmc/articles/PMC12043754/pdf/\",\"citationCount\":\"0\",\"resultStr\":null,\"platform\":\"Semanticscholar\",\"paperid\":null,\"PeriodicalName\":\"Surgical and Radiologic Anatomy\",\"FirstCategoryId\":\"3\",\"ListUrlMain\":\"https://doi.org/10.1007/s00276-025-03640-w\",\"RegionNum\":4,\"RegionCategory\":\"医学\",\"ArticlePicture\":[],\"TitleCN\":null,\"AbstractTextCN\":null,\"PMCID\":null,\"EPubDate\":\"\",\"PubModel\":\"\",\"JCR\":\"Q2\",\"JCRName\":\"Medicine\",\"Score\":null,\"Total\":0}","platform":"Semanticscholar","paperid":null,"PeriodicalName":"Surgical and Radiologic Anatomy","FirstCategoryId":"3","ListUrlMain":"https://doi.org/10.1007/s00276-025-03640-w","RegionNum":4,"RegionCategory":"医学","ArticlePicture":[],"TitleCN":null,"AbstractTextCN":null,"PMCID":null,"EPubDate":"","PubModel":"","JCR":"Q2","JCRName":"Medicine","Score":null,"Total":0}
引用次数: 0

摘要

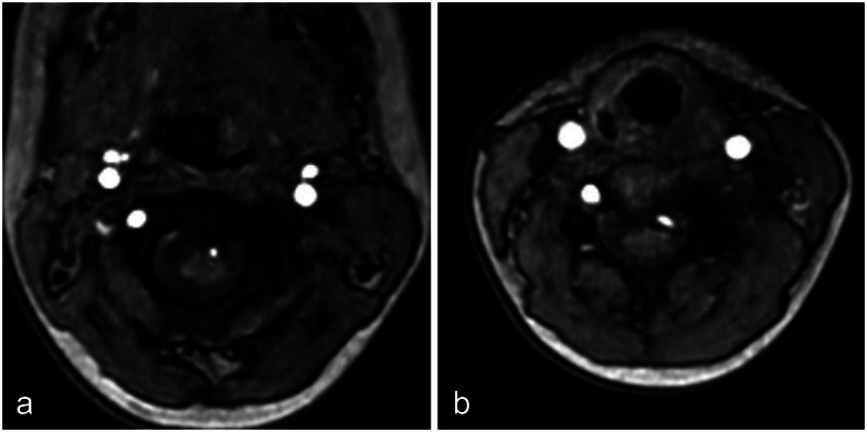
目的:椎动脉(VA)通常在寰枕区进入蛛网膜下腔。然而,当VA以非典型水平进入椎管时,可发生节段性变异。虽然有C3节段性室性变性的报道,但之前没有研究描述C5节段性室性变性。本病例是首次有文献记载的这种异常。方法:1例8岁女童接受脑磁共振检查,发现异常的VA病程。结果:影像学显示左侧VA在近端V2段缺失。相反,C4/5处的根髓动脉进入椎管,形成脊髓前动脉(ASA),沿脊髓上升。右心室正常;然而,在C3/4水平发现了一条髓根动脉,在C1水平与对侧髓根动脉连接形成ASA。另外,观察双侧副脑中动脉。没有发现这种异常与患者头痛之间的明确联系,因此她仍在观察中。结论:这种异常可能是由于第五节段间动脉持续存在所致。在后天性室性静脉闭塞中,血管的运动轨迹与侧支循环相似。由于其靠近脊髓,潜在的风险包括缺血性并发症和脊髓压迫。这个病例强调了准确的影像和仔细的手术计划的重要性。对这些罕见血管异常的进一步研究将有助于我们对VA变异及其临床意义的认识。
本文章由计算机程序翻译,如有差异,请以英文原文为准。

Diagnosis of C5 segmental vertebral artery using magnetic resonance angiography.

Diagnosis of C5 segmental vertebral artery using magnetic resonance angiography.

Diagnosis of C5 segmental vertebral artery using magnetic resonance angiography.

Purpose: The vertebral artery (VA) typically enters the subarachnoid space at the atlanto-occipital region. However, segmental variations can occur, with the VA entering the spinal canal at atypical levels. While a C3 segmental VA has been reported, no prior studies describe a C5 segmental VA. This case represents the first documented occurrence of this anomaly.

Methods: An 8-year-old girl underwent brain magnetic resonance imaging for headache screening, which incidentally revealed an abnormal VA course.

Results: Imaging revealed the absence of the left VA at the proximal V2 segment. Instead, a radiculomedullary artery at C4/5 entered the spinal canal and contributed to the formation of the anterior spinal artery (ASA), which ascended along the spinal cord. The right VA appeared normal; however, a radiculomedullary artery at the C3/4 level was identified, joining the contralateral radiculomedullary artery at the C1 level to form the ASA. Additionally, bilateral accessory middle cerebral arteries were observed. No clear association was found between this anomaly and the patient's headache, and she remained under observation.

Conclusion: This anomaly may result from persistence of the fifth intersegmental artery. The vascular course resembled collateral circulation observed in acquired VA occlusion. Given its proximity to the spinal cord, potential risks include ischemic complications and spinal cord compression. This case highlights the importance of accurate imaging and careful surgical planning. Further studies on these rare vascular anomalies will enhance our understanding of VA variations and their clinical significance.

求助全文
通过发布文献求助,成功后即可免费获取论文全文。 去求助
来源期刊
Surgical and Radiologic Anatomy
Surgical and Radiologic Anatomy Medicine-Pathology and Forensic Medicine
CiteScore
2.40
自引率
14.30%
发文量
0
期刊介绍: Anatomy is a morphological science which cannot fail to interest the clinician. The practical application of anatomical research to clinical problems necessitates special adaptation and selectivity in choosing from numerous international works. Although there is a tendency to believe that meaningful advances in anatomy are unlikely, constant revision is necessary. Surgical and Radiologic Anatomy, the first international journal of Clinical anatomy has been created in this spirit. Its goal is to serve clinicians, regardless of speciality-physicians, surgeons, radiologists or other specialists-as an indispensable aid with which they can improve their knowledge of anatomy. Each issue includes: Original papers, review articles, articles on the anatomical bases of medical, surgical and radiological techniques, articles of normal radiologic anatomy, brief reviews of anatomical publications of clinical interest. Particular attention is given to high quality illustrations, which are indispensable for a better understanding of anatomical problems. Surgical and Radiologic Anatomy is a journal written by anatomists for clinicians with a special interest in anatomy.
×
引用
GB/T 7714-2015
复制
MLA
复制
APA
复制
导出至
BibTeX EndNote RefMan NoteFirst NoteExpress
×
提示
您的信息不完整,为了账户安全,请先补充。
现在去补充
×
提示
您因"违规操作"
具体请查看互助需知
我知道了
×
提示
确定
请完成安全验证×
copy
已复制链接
快去分享给好友吧!
我知道了
右上角分享
点击右上角分享
0
联系我们:info@booksci.cn Book学术提供免费学术资源搜索服务,方便国内外学者检索中英文文献。致力于提供最便捷和优质的服务体验。 Copyright © 2023 布克学术 All rights reserved.
京ICP备2023020795号-1
ghs 京公网安备 11010802042870号
Book学术文献互助
Book学术文献互助群
群 号:604180095
Book学术官方微信