生成设计是一种分析复杂骨架结构不确定载荷的工具。

IF 3.5 2区 综合性期刊 Q1 MULTIDISCIPLINARY SCIENCES
Journal of The Royal Society Interface Pub Date : 2025-05-01 Epub Date: 2025-05-14 DOI:10.1098/rsif.2025.0023
John Michael Racy, Bart Boom, Adam Summers
{"title":"生成设计是一种分析复杂骨架结构不确定载荷的工具。","authors":"John Michael Racy, Bart Boom, Adam Summers","doi":"10.1098/rsif.2025.0023","DOIUrl":null,"url":null,"abstract":"<p><p>The morphology of a skeletal structure is driven in part by the forces it endures over evolutionary time. We demonstrate that generative design, an iterative engineering tool, can yield insight into the loading regimes of complex skeletal elements. With only a simple model of the spatial constraints and potential forces seen by a skeletal element, we generated analogous structures. We used this technique to provide insights into the specialization of the radial elements of batoid pectoral fins, a case that would be challenging to analyse by conventional means. Particular configurations of generative designs resulted in structures with a morphology remarkably similar to that of real radials. We suggest that these cases reveal the loading configurations that the real radials have evolved to withstand.</p>","PeriodicalId":17488,"journal":{"name":"Journal of The Royal Society Interface","volume":"22 226","pages":"20250023"},"PeriodicalIF":3.5000,"publicationDate":"2025-05-01","publicationTypes":"Journal Article","fieldsOfStudy":null,"isOpenAccess":false,"openAccessPdf":"https://www.ncbi.nlm.nih.gov/pmc/articles/PMC12076017/pdf/","citationCount":"0","resultStr":"{\"title\":\"Generative design as a tool to analyse the uncertain loading regimes of intricate skeletal structures.\",\"authors\":\"John Michael Racy, Bart Boom, Adam Summers\",\"doi\":\"10.1098/rsif.2025.0023\",\"DOIUrl\":null,\"url\":null,\"abstract\":\"<p><p>The morphology of a skeletal structure is driven in part by the forces it endures over evolutionary time. We demonstrate that generative design, an iterative engineering tool, can yield insight into the loading regimes of complex skeletal elements. With only a simple model of the spatial constraints and potential forces seen by a skeletal element, we generated analogous structures. We used this technique to provide insights into the specialization of the radial elements of batoid pectoral fins, a case that would be challenging to analyse by conventional means. Particular configurations of generative designs resulted in structures with a morphology remarkably similar to that of real radials. We suggest that these cases reveal the loading configurations that the real radials have evolved to withstand.</p>\",\"PeriodicalId\":17488,\"journal\":{\"name\":\"Journal of The Royal Society Interface\",\"volume\":\"22 226\",\"pages\":\"20250023\"},\"PeriodicalIF\":3.5000,\"publicationDate\":\"2025-05-01\",\"publicationTypes\":\"Journal Article\",\"fieldsOfStudy\":null,\"isOpenAccess\":false,\"openAccessPdf\":\"https://www.ncbi.nlm.nih.gov/pmc/articles/PMC12076017/pdf/\",\"citationCount\":\"0\",\"resultStr\":null,\"platform\":\"Semanticscholar\",\"paperid\":null,\"PeriodicalName\":\"Journal of The Royal Society Interface\",\"FirstCategoryId\":\"103\",\"ListUrlMain\":\"https://doi.org/10.1098/rsif.2025.0023\",\"RegionNum\":2,\"RegionCategory\":\"综合性期刊\",\"ArticlePicture\":[],\"TitleCN\":null,\"AbstractTextCN\":null,\"PMCID\":null,\"EPubDate\":\"2025/5/14 0:00:00\",\"PubModel\":\"Epub\",\"JCR\":\"Q1\",\"JCRName\":\"MULTIDISCIPLINARY SCIENCES\",\"Score\":null,\"Total\":0}","platform":"Semanticscholar","paperid":null,"PeriodicalName":"Journal of The Royal Society Interface","FirstCategoryId":"103","ListUrlMain":"https://doi.org/10.1098/rsif.2025.0023","RegionNum":2,"RegionCategory":"综合性期刊","ArticlePicture":[],"TitleCN":null,"AbstractTextCN":null,"PMCID":null,"EPubDate":"2025/5/14 0:00:00","PubModel":"Epub","JCR":"Q1","JCRName":"MULTIDISCIPLINARY SCIENCES","Score":null,"Total":0}
引用次数: 0

摘要

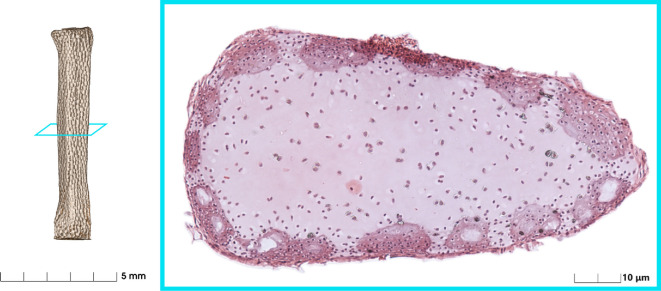
骨骼结构的形态部分是由它在进化过程中所承受的力所驱动的。我们证明,生成设计,一个迭代的工程工具,可以产生洞察复杂的骨架元素的加载制度。通过一个简单的空间约束和潜在力模型,我们生成了类似的结构。我们使用这项技术来深入了解蝙蝠状胸鳍的径向元素的专业化,这是一个用传统方法分析具有挑战性的案例。生成设计的特殊配置导致结构具有与真实径向非常相似的形态。我们认为,这些情况揭示了载荷配置,真正的径向已经演变承受。
本文章由计算机程序翻译,如有差异,请以英文原文为准。

Generative design as a tool to analyse the uncertain loading regimes of intricate skeletal structures.

Generative design as a tool to analyse the uncertain loading regimes of intricate skeletal structures.

Generative design as a tool to analyse the uncertain loading regimes of intricate skeletal structures.

Generative design as a tool to analyse the uncertain loading regimes of intricate skeletal structures.

The morphology of a skeletal structure is driven in part by the forces it endures over evolutionary time. We demonstrate that generative design, an iterative engineering tool, can yield insight into the loading regimes of complex skeletal elements. With only a simple model of the spatial constraints and potential forces seen by a skeletal element, we generated analogous structures. We used this technique to provide insights into the specialization of the radial elements of batoid pectoral fins, a case that would be challenging to analyse by conventional means. Particular configurations of generative designs resulted in structures with a morphology remarkably similar to that of real radials. We suggest that these cases reveal the loading configurations that the real radials have evolved to withstand.

求助全文
通过发布文献求助,成功后即可免费获取论文全文。 去求助
来源期刊
Journal of The Royal Society Interface
Journal of The Royal Society Interface 综合性期刊-综合性期刊
CiteScore
7.10
自引率
2.60%
发文量
234
审稿时长
2.5 months
期刊介绍: J. R. Soc. Interface welcomes articles of high quality research at the interface of the physical and life sciences. It provides a high-quality forum to publish rapidly and interact across this boundary in two main ways: J. R. Soc. Interface publishes research applying chemistry, engineering, materials science, mathematics and physics to the biological and medical sciences; it also highlights discoveries in the life sciences of relevance to the physical sciences. Both sides of the interface are considered equally and it is one of the only journals to cover this exciting new territory. J. R. Soc. Interface welcomes contributions on a diverse range of topics, including but not limited to; biocomplexity, bioengineering, bioinformatics, biomaterials, biomechanics, bionanoscience, biophysics, chemical biology, computer science (as applied to the life sciences), medical physics, synthetic biology, systems biology, theoretical biology and tissue engineering.
×
引用
GB/T 7714-2015
复制
MLA
复制
APA
复制
导出至
BibTeX EndNote RefMan NoteFirst NoteExpress
×
提示
您的信息不完整,为了账户安全,请先补充。
现在去补充
×
提示
您因"违规操作"
具体请查看互助需知
我知道了
×
提示
确定
请完成安全验证×
copy
已复制链接
快去分享给好友吧!
我知道了
右上角分享
点击右上角分享
0
联系我们:info@booksci.cn Book学术提供免费学术资源搜索服务,方便国内外学者检索中英文文献。致力于提供最便捷和优质的服务体验。 Copyright © 2023 布克学术 All rights reserved.
京ICP备2023020795号-1
ghs 京公网安备 11010802042870号
Book学术文献互助
Book学术文献互助群
群 号:604180095
Book学术官方微信
小红书