生物可吸收性间隔物置入手术及后续质子束治疗不可切除肝细胞癌一例。

IF 0.7 Q4 SURGERY
Surgical Case Reports Pub Date : 2025-01-01 Epub Date: 2025-04-22 DOI:10.70352/scrj.cr.25-0026
Toru Takahashi, Shohei Komatsu, Yusuke Demizu, Keisuke Arai, Nobuaki Ishihara, Akihiro Fujisawa, Hidetoshi Gon, Hirochika Toyama, Sunao Tokumaru, Takumi Fukumoto
{"title":"生物可吸收性间隔物置入手术及后续质子束治疗不可切除肝细胞癌一例。","authors":"Toru Takahashi, Shohei Komatsu, Yusuke Demizu, Keisuke Arai, Nobuaki Ishihara, Akihiro Fujisawa, Hidetoshi Gon, Hirochika Toyama, Sunao Tokumaru, Takumi Fukumoto","doi":"10.70352/scrj.cr.25-0026","DOIUrl":null,"url":null,"abstract":"<p><strong>Introduction: </strong>Hepatocellular carcinoma (HCC) often requires repeated therapy and poses challenges in treatment selection, particularly in patients with impaired liver function. Although hepatic resection, radiofrequency ablation, and liver transplantation are standard local curative therapies, the position of radiotherapy, including proton beam therapy (PBT), remains relatively underexplored. Herein, we report an illustrative case of unresectable HCC treated with spacer placement surgery using a bioabsorbable spacer, followed by PBT.</p><p><strong>Case presentation: </strong>We report the case of a 77-year-old male patient diagnosed with a 6 cm HCC in segment 8, accompanied by impaired liver function, precluding hepatic resection. PBT was planned; however, because of the proximity of the gastrointestinal tract to the tumor, spacer placement was deemed necessary, and a bioabsorbable polyglycolic acid spacer was placed, followed by PBT. Owing to the sufficient space provided by the spacer, curative doses of PBT could be delivered to the tumor, and the patient survived for 26 months after spacer placement surgery without any sign of recurrence.</p><p><strong>Conclusions: </strong>Bioabsorbable spacer placement surgery and subsequent PBT are feasible and promising treatment options for unresectable HCC with impaired liver function.</p>","PeriodicalId":22096,"journal":{"name":"Surgical Case Reports","volume":"11 1","pages":""},"PeriodicalIF":0.7000,"publicationDate":"2025-01-01","publicationTypes":"Journal Article","fieldsOfStudy":null,"isOpenAccess":false,"openAccessPdf":"https://www.ncbi.nlm.nih.gov/pmc/articles/PMC12022998/pdf/","citationCount":"0","resultStr":"{\"title\":\"A Case of Unresectable Hepatocellular Carcinoma Treated with Spacer Placement Surgery with Bioabsorbable Spacer and Subsequent Proton Beam Therapy.\",\"authors\":\"Toru Takahashi, Shohei Komatsu, Yusuke Demizu, Keisuke Arai, Nobuaki Ishihara, Akihiro Fujisawa, Hidetoshi Gon, Hirochika Toyama, Sunao Tokumaru, Takumi Fukumoto\",\"doi\":\"10.70352/scrj.cr.25-0026\",\"DOIUrl\":null,\"url\":null,\"abstract\":\"<p><strong>Introduction: </strong>Hepatocellular carcinoma (HCC) often requires repeated therapy and poses challenges in treatment selection, particularly in patients with impaired liver function. Although hepatic resection, radiofrequency ablation, and liver transplantation are standard local curative therapies, the position of radiotherapy, including proton beam therapy (PBT), remains relatively underexplored. Herein, we report an illustrative case of unresectable HCC treated with spacer placement surgery using a bioabsorbable spacer, followed by PBT.</p><p><strong>Case presentation: </strong>We report the case of a 77-year-old male patient diagnosed with a 6 cm HCC in segment 8, accompanied by impaired liver function, precluding hepatic resection. PBT was planned; however, because of the proximity of the gastrointestinal tract to the tumor, spacer placement was deemed necessary, and a bioabsorbable polyglycolic acid spacer was placed, followed by PBT. Owing to the sufficient space provided by the spacer, curative doses of PBT could be delivered to the tumor, and the patient survived for 26 months after spacer placement surgery without any sign of recurrence.</p><p><strong>Conclusions: </strong>Bioabsorbable spacer placement surgery and subsequent PBT are feasible and promising treatment options for unresectable HCC with impaired liver function.</p>\",\"PeriodicalId\":22096,\"journal\":{\"name\":\"Surgical Case Reports\",\"volume\":\"11 1\",\"pages\":\"\"},\"PeriodicalIF\":0.7000,\"publicationDate\":\"2025-01-01\",\"publicationTypes\":\"Journal Article\",\"fieldsOfStudy\":null,\"isOpenAccess\":false,\"openAccessPdf\":\"https://www.ncbi.nlm.nih.gov/pmc/articles/PMC12022998/pdf/\",\"citationCount\":\"0\",\"resultStr\":null,\"platform\":\"Semanticscholar\",\"paperid\":null,\"PeriodicalName\":\"Surgical Case Reports\",\"FirstCategoryId\":\"1085\",\"ListUrlMain\":\"https://doi.org/10.70352/scrj.cr.25-0026\",\"RegionNum\":0,\"RegionCategory\":null,\"ArticlePicture\":[],\"TitleCN\":null,\"AbstractTextCN\":null,\"PMCID\":null,\"EPubDate\":\"2025/4/22 0:00:00\",\"PubModel\":\"Epub\",\"JCR\":\"Q4\",\"JCRName\":\"SURGERY\",\"Score\":null,\"Total\":0}","platform":"Semanticscholar","paperid":null,"PeriodicalName":"Surgical Case Reports","FirstCategoryId":"1085","ListUrlMain":"https://doi.org/10.70352/scrj.cr.25-0026","RegionNum":0,"RegionCategory":null,"ArticlePicture":[],"TitleCN":null,"AbstractTextCN":null,"PMCID":null,"EPubDate":"2025/4/22 0:00:00","PubModel":"Epub","JCR":"Q4","JCRName":"SURGERY","Score":null,"Total":0}
引用次数: 0

摘要

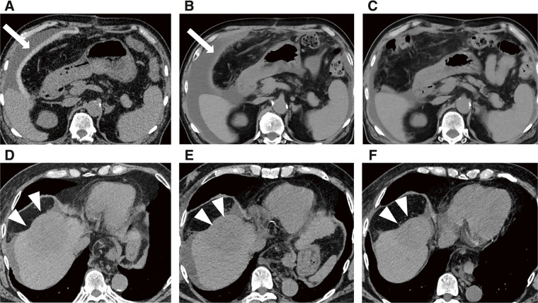
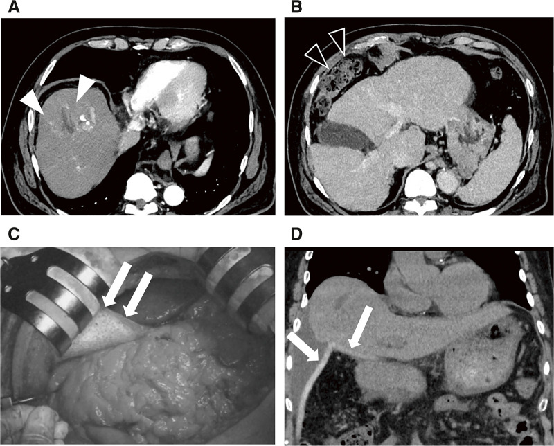
肝细胞癌(HCC)通常需要反复治疗,并在治疗选择上提出挑战,特别是肝功能受损的患者。虽然肝切除术、射频消融和肝移植是标准的局部治疗方法,但放射治疗的地位,包括质子束治疗(PBT),仍然相对缺乏探索。在此,我们报告了一例说导性的不可切除的HCC,使用生物可吸收的间隔物放置手术,然后使用PBT。病例介绍:我们报告一例77岁男性患者,诊断为8节段6cm HCC,伴有肝功能受损,不能行肝切除术。计划进行PBT;然而,由于胃肠道靠近肿瘤,放置间隔物被认为是必要的,并放置了生物可吸收的聚乙醇酸间隔物,然后是PBT。由于间隔器提供了足够的空间,可以将治疗剂量的PBT输送到肿瘤中,患者在间隔器放置手术后存活了26个月,没有任何复发迹象。结论:对于肝功能受损的不可切除HCC,生物可吸收垫片置入手术和随后的PBT是可行且有希望的治疗选择。
本文章由计算机程序翻译,如有差异,请以英文原文为准。

A Case of Unresectable Hepatocellular Carcinoma Treated with Spacer Placement Surgery with Bioabsorbable Spacer and Subsequent Proton Beam Therapy.

A Case of Unresectable Hepatocellular Carcinoma Treated with Spacer Placement Surgery with Bioabsorbable Spacer and Subsequent Proton Beam Therapy.

A Case of Unresectable Hepatocellular Carcinoma Treated with Spacer Placement Surgery with Bioabsorbable Spacer and Subsequent Proton Beam Therapy.

A Case of Unresectable Hepatocellular Carcinoma Treated with Spacer Placement Surgery with Bioabsorbable Spacer and Subsequent Proton Beam Therapy.

Introduction: Hepatocellular carcinoma (HCC) often requires repeated therapy and poses challenges in treatment selection, particularly in patients with impaired liver function. Although hepatic resection, radiofrequency ablation, and liver transplantation are standard local curative therapies, the position of radiotherapy, including proton beam therapy (PBT), remains relatively underexplored. Herein, we report an illustrative case of unresectable HCC treated with spacer placement surgery using a bioabsorbable spacer, followed by PBT.

Case presentation: We report the case of a 77-year-old male patient diagnosed with a 6 cm HCC in segment 8, accompanied by impaired liver function, precluding hepatic resection. PBT was planned; however, because of the proximity of the gastrointestinal tract to the tumor, spacer placement was deemed necessary, and a bioabsorbable polyglycolic acid spacer was placed, followed by PBT. Owing to the sufficient space provided by the spacer, curative doses of PBT could be delivered to the tumor, and the patient survived for 26 months after spacer placement surgery without any sign of recurrence.

Conclusions: Bioabsorbable spacer placement surgery and subsequent PBT are feasible and promising treatment options for unresectable HCC with impaired liver function.

求助全文
通过发布文献求助,成功后即可免费获取论文全文。 去求助
来源期刊
自引率
0.00%
发文量
218
审稿时长
13 weeks
×
引用
GB/T 7714-2015
复制
MLA
复制
APA
复制
导出至
BibTeX EndNote RefMan NoteFirst NoteExpress
×
提示
您的信息不完整,为了账户安全,请先补充。
现在去补充
×
提示
您因"违规操作"
具体请查看互助需知
我知道了
×
提示
确定
请完成安全验证×
copy
已复制链接
快去分享给好友吧!
我知道了
右上角分享
点击右上角分享
0
联系我们:info@booksci.cn Book学术提供免费学术资源搜索服务,方便国内外学者检索中英文文献。致力于提供最便捷和优质的服务体验。 Copyright © 2023 布克学术 All rights reserved.
京ICP备2023020795号-1
ghs 京公网安备 11010802042870号
Book学术文献互助
Book学术文献互助群
群 号:604180095
Book学术官方微信