急性Vogt-Koyanagi-Harada病的细菌层脱离:巴西队列长期并发症的早期预测因子。

IF 2.4 Q2 OPHTHALMOLOGY
Ruy Felippe Brito Gonçalves Missaka, Mauro Goldbaum, Cleide Guimarães Machado, Emmett T Cunningham, Fernanda Maria Silveira Souto, Marcelo Mendes Lavezzo, Priscilla Figueiredo Campos da Nóbrega, Camillo Carneiro Gusmão, Viviane Mayumi Sakata, Maria Kiyoko Oyamada, Carlos Eduardo Hirata, Joyce Hisae Yamamoto
{"title":"急性Vogt-Koyanagi-Harada病的细菌层脱离:巴西队列长期并发症的早期预测因子。","authors":"Ruy Felippe Brito Gonçalves Missaka, Mauro Goldbaum, Cleide Guimarães Machado, Emmett T Cunningham, Fernanda Maria Silveira Souto, Marcelo Mendes Lavezzo, Priscilla Figueiredo Campos da Nóbrega, Camillo Carneiro Gusmão, Viviane Mayumi Sakata, Maria Kiyoko Oyamada, Carlos Eduardo Hirata, Joyce Hisae Yamamoto","doi":"10.1186/s40942-025-00673-6","DOIUrl":null,"url":null,"abstract":"<p><strong>Background: </strong>Long-term complications occur in some patients with Vogt-Koyanagi-Harada disease (VKHD).This study aimed to evaluate the presence of bacillary layer detachment (BALAD) at presentation as an early predictor of long-term structural and functional outcomes in a Brazilian cohort of patients with VKHD.</p><p><strong>Methods: </strong>Retrospective, clinic-based cohort study in Sao Paulo, Brazil, including 33 patients (66 eyes) with acute VKHD systematically followed for 12 months, since presentation. Clinical and multimodal data collected on spectral domain optical coherence tomography (SD-OCT) were analyzed at baseline and months (M) 1, 3, 6, 9 and 12. Correlations between OCT-based structural findings and the occurrence of subretinal fibrosis (SRFib), sunset glow fundus (SGF), and nummular chorioretinal lesions (NCL) at month 12 were studied. Outcomes were presence of retinal changes on SD-OCT during the study period; risk factors for SRFib, SGF and NCL at month 12. Univariate, bivariate, and multivariate analyses were employed.</p><p><strong>Results: </strong>At baseline, serous retinal detachments (SRD) were observed in 96.4% and BALAD in 48.2% of 56 eyes; at M1, SRD were observed in 42.4% and BALAD in 6.1% of 66 eyes. Subretinal fluid (SRFld) was still present in 9.1% at M3, in 4.5% at M6 and in 3.0% of eyes at M9. Using bivariate analysis, the early presence of BALAD was associated with a larger SRD area (p = 0.036) at presentation, and with the presence of both SRFib (p < 0.001) and SGF (p = 0.008) at M12. Using multivariate regression analysis, both early BALAD (OR, 12.04; p = 0.011) and a longer interval to treatment start (32 vs. 17 days; OR, 1.17; p = 0.004) were each independently associated with the formation of SRFib at M12, whereas both early BALAD (OR, 14.78; p = 0.002) and anterior uveitis recurrences (OR, 30.94; p = 0.022) were each associated with the development of SGF. The late occurrence of NCL was not associated with the presence of BALAD at presentation.</p><p><strong>Conclusions: </strong>In acute VKHD, the presence of BALAD at presentation was associated with a markedly increased long-term risk of developing both SRFib and SGF.</p>","PeriodicalId":14289,"journal":{"name":"International Journal of Retina and Vitreous","volume":"11 1","pages":"50"},"PeriodicalIF":2.4000,"publicationDate":"2025-04-22","publicationTypes":"Journal Article","fieldsOfStudy":null,"isOpenAccess":false,"openAccessPdf":"https://www.ncbi.nlm.nih.gov/pmc/articles/PMC12013148/pdf/","citationCount":"0","resultStr":"{\"title\":\"Bacillary layer detachment in acute Vogt-Koyanagi-Harada disease: an early predictor of long-term complications in a Brazilian cohort.\",\"authors\":\"Ruy Felippe Brito Gonçalves Missaka, Mauro Goldbaum, Cleide Guimarães Machado, Emmett T Cunningham, Fernanda Maria Silveira Souto, Marcelo Mendes Lavezzo, Priscilla Figueiredo Campos da Nóbrega, Camillo Carneiro Gusmão, Viviane Mayumi Sakata, Maria Kiyoko Oyamada, Carlos Eduardo Hirata, Joyce Hisae Yamamoto\",\"doi\":\"10.1186/s40942-025-00673-6\",\"DOIUrl\":null,\"url\":null,\"abstract\":\"<p><strong>Background: </strong>Long-term complications occur in some patients with Vogt-Koyanagi-Harada disease (VKHD).This study aimed to evaluate the presence of bacillary layer detachment (BALAD) at presentation as an early predictor of long-term structural and functional outcomes in a Brazilian cohort of patients with VKHD.</p><p><strong>Methods: </strong>Retrospective, clinic-based cohort study in Sao Paulo, Brazil, including 33 patients (66 eyes) with acute VKHD systematically followed for 12 months, since presentation. Clinical and multimodal data collected on spectral domain optical coherence tomography (SD-OCT) were analyzed at baseline and months (M) 1, 3, 6, 9 and 12. Correlations between OCT-based structural findings and the occurrence of subretinal fibrosis (SRFib), sunset glow fundus (SGF), and nummular chorioretinal lesions (NCL) at month 12 were studied. Outcomes were presence of retinal changes on SD-OCT during the study period; risk factors for SRFib, SGF and NCL at month 12. Univariate, bivariate, and multivariate analyses were employed.</p><p><strong>Results: </strong>At baseline, serous retinal detachments (SRD) were observed in 96.4% and BALAD in 48.2% of 56 eyes; at M1, SRD were observed in 42.4% and BALAD in 6.1% of 66 eyes. Subretinal fluid (SRFld) was still present in 9.1% at M3, in 4.5% at M6 and in 3.0% of eyes at M9. Using bivariate analysis, the early presence of BALAD was associated with a larger SRD area (p = 0.036) at presentation, and with the presence of both SRFib (p < 0.001) and SGF (p = 0.008) at M12. Using multivariate regression analysis, both early BALAD (OR, 12.04; p = 0.011) and a longer interval to treatment start (32 vs. 17 days; OR, 1.17; p = 0.004) were each independently associated with the formation of SRFib at M12, whereas both early BALAD (OR, 14.78; p = 0.002) and anterior uveitis recurrences (OR, 30.94; p = 0.022) were each associated with the development of SGF. The late occurrence of NCL was not associated with the presence of BALAD at presentation.</p><p><strong>Conclusions: </strong>In acute VKHD, the presence of BALAD at presentation was associated with a markedly increased long-term risk of developing both SRFib and SGF.</p>\",\"PeriodicalId\":14289,\"journal\":{\"name\":\"International Journal of Retina and Vitreous\",\"volume\":\"11 1\",\"pages\":\"50\"},\"PeriodicalIF\":2.4000,\"publicationDate\":\"2025-04-22\",\"publicationTypes\":\"Journal Article\",\"fieldsOfStudy\":null,\"isOpenAccess\":false,\"openAccessPdf\":\"https://www.ncbi.nlm.nih.gov/pmc/articles/PMC12013148/pdf/\",\"citationCount\":\"0\",\"resultStr\":null,\"platform\":\"Semanticscholar\",\"paperid\":null,\"PeriodicalName\":\"International Journal of Retina and Vitreous\",\"FirstCategoryId\":\"1085\",\"ListUrlMain\":\"https://doi.org/10.1186/s40942-025-00673-6\",\"RegionNum\":0,\"RegionCategory\":null,\"ArticlePicture\":[],\"TitleCN\":null,\"AbstractTextCN\":null,\"PMCID\":null,\"EPubDate\":\"\",\"PubModel\":\"\",\"JCR\":\"Q2\",\"JCRName\":\"OPHTHALMOLOGY\",\"Score\":null,\"Total\":0}","platform":"Semanticscholar","paperid":null,"PeriodicalName":"International Journal of Retina and Vitreous","FirstCategoryId":"1085","ListUrlMain":"https://doi.org/10.1186/s40942-025-00673-6","RegionNum":0,"RegionCategory":null,"ArticlePicture":[],"TitleCN":null,"AbstractTextCN":null,"PMCID":null,"EPubDate":"","PubModel":"","JCR":"Q2","JCRName":"OPHTHALMOLOGY","Score":null,"Total":0}
引用次数: 0

摘要

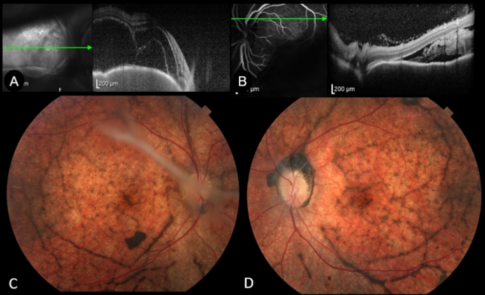
背景:Vogt-Koyanagi-Harada病(VKHD)的一些患者存在长期并发症。本研究旨在评估在巴西VKHD患者队列中出现的细菌层脱离(BALAD)作为长期结构和功能结局的早期预测因子。方法:在巴西圣保罗进行回顾性临床队列研究,包括33例急性VKHD患者(66只眼),自发病以来系统随访12个月。在基线和第1、3、6、9和12个月对光谱域光学相干断层扫描(SD-OCT)收集的临床和多模态数据进行分析。我们研究了基于oct的结构发现与12个月时视网膜下纤维化(SRFib)、晚霞眼底(SGF)和numular绒毛膜视网膜病变(NCL)发生的相关性。结果是在研究期间SD-OCT上存在视网膜改变;第12个月SRFib、SGF和NCL的危险因素。采用单因素、双因素和多因素分析。结果:56只眼基线时浆液性视网膜脱离(SRD)发生率为96.4%,BALAD发生率为48.2%;M1组66只眼中,SRD占42.4%,BALAD占6.1%。视网膜下积液(SRFld)仍然存在于9.1%的M3, 4.5%的M6和3.0%的M9。通过双变量分析,早期BALAD的存在与发病时SRD面积较大(p = 0.036)以及SRFib的存在相关(p结论:在急性VKHD中,发病时BALAD的存在与SRFib和SGF的长期风险显著增加相关)。
本文章由计算机程序翻译,如有差异,请以英文原文为准。

Bacillary layer detachment in acute Vogt-Koyanagi-Harada disease: an early predictor of long-term complications in a Brazilian cohort.

Bacillary layer detachment in acute Vogt-Koyanagi-Harada disease: an early predictor of long-term complications in a Brazilian cohort.

Bacillary layer detachment in acute Vogt-Koyanagi-Harada disease: an early predictor of long-term complications in a Brazilian cohort.

Bacillary layer detachment in acute Vogt-Koyanagi-Harada disease: an early predictor of long-term complications in a Brazilian cohort.

Background: Long-term complications occur in some patients with Vogt-Koyanagi-Harada disease (VKHD).This study aimed to evaluate the presence of bacillary layer detachment (BALAD) at presentation as an early predictor of long-term structural and functional outcomes in a Brazilian cohort of patients with VKHD.

Methods: Retrospective, clinic-based cohort study in Sao Paulo, Brazil, including 33 patients (66 eyes) with acute VKHD systematically followed for 12 months, since presentation. Clinical and multimodal data collected on spectral domain optical coherence tomography (SD-OCT) were analyzed at baseline and months (M) 1, 3, 6, 9 and 12. Correlations between OCT-based structural findings and the occurrence of subretinal fibrosis (SRFib), sunset glow fundus (SGF), and nummular chorioretinal lesions (NCL) at month 12 were studied. Outcomes were presence of retinal changes on SD-OCT during the study period; risk factors for SRFib, SGF and NCL at month 12. Univariate, bivariate, and multivariate analyses were employed.

Results: At baseline, serous retinal detachments (SRD) were observed in 96.4% and BALAD in 48.2% of 56 eyes; at M1, SRD were observed in 42.4% and BALAD in 6.1% of 66 eyes. Subretinal fluid (SRFld) was still present in 9.1% at M3, in 4.5% at M6 and in 3.0% of eyes at M9. Using bivariate analysis, the early presence of BALAD was associated with a larger SRD area (p = 0.036) at presentation, and with the presence of both SRFib (p < 0.001) and SGF (p = 0.008) at M12. Using multivariate regression analysis, both early BALAD (OR, 12.04; p = 0.011) and a longer interval to treatment start (32 vs. 17 days; OR, 1.17; p = 0.004) were each independently associated with the formation of SRFib at M12, whereas both early BALAD (OR, 14.78; p = 0.002) and anterior uveitis recurrences (OR, 30.94; p = 0.022) were each associated with the development of SGF. The late occurrence of NCL was not associated with the presence of BALAD at presentation.

Conclusions: In acute VKHD, the presence of BALAD at presentation was associated with a markedly increased long-term risk of developing both SRFib and SGF.

求助全文
通过发布文献求助,成功后即可免费获取论文全文。 去求助
来源期刊
CiteScore
3.50
自引率
4.30%
发文量
81
审稿时长
19 weeks
期刊介绍: International Journal of Retina and Vitreous focuses on the ophthalmic subspecialty of vitreoretinal disorders. The journal presents original articles on new approaches to diagnosis, outcomes of clinical trials, innovations in pharmacological therapy and surgical techniques, as well as basic science advances that impact clinical practice. Topical areas include, but are not limited to: -Imaging of the retina, choroid and vitreous -Innovations in optical coherence tomography (OCT) -Small-gauge vitrectomy, retinal detachment, chromovitrectomy -Electroretinography (ERG), microperimetry, other functional tests -Intraocular tumors -Retinal pharmacotherapy & drug delivery -Diabetic retinopathy & other vascular diseases -Age-related macular degeneration (AMD) & other macular entities
×
引用
GB/T 7714-2015
复制
MLA
复制
APA
复制
导出至
BibTeX EndNote RefMan NoteFirst NoteExpress
×
提示
您的信息不完整,为了账户安全,请先补充。
现在去补充
×
提示
您因"违规操作"
具体请查看互助需知
我知道了
×
提示
确定
请完成安全验证×
copy
已复制链接
快去分享给好友吧!
我知道了
右上角分享
点击右上角分享
0
联系我们:info@booksci.cn Book学术提供免费学术资源搜索服务,方便国内外学者检索中英文文献。致力于提供最便捷和优质的服务体验。 Copyright © 2023 布克学术 All rights reserved.
京ICP备2023020795号-1
ghs 京公网安备 11010802042870号
Book学术文献互助
Book学术文献互助群
群 号:604180095
Book学术官方微信