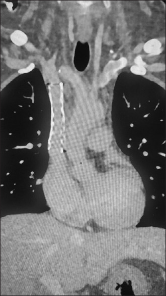
组织胞浆菌病表现为纤维化性纵隔炎和上腔静脉阻塞。

IF 1.2 Q4 RESPIRATORY SYSTEM
Lung India Pub Date : 2025-05-01 Epub Date: 2025-04-29 DOI:10.4103/lungindia.lungindia_485_24
Sagar Poudel, Sanjeev Kumar, Saurabh Mittal, Preyas Sethi, Karan Madan
{"title":"组织胞浆菌病表现为纤维化性纵隔炎和上腔静脉阻塞。","authors":"Sagar Poudel, Sanjeev Kumar, Saurabh Mittal, Preyas Sethi, Karan Madan","doi":"10.4103/lungindia.lungindia_485_24","DOIUrl":null,"url":null,"abstract":"","PeriodicalId":47462,"journal":{"name":"Lung India","volume":"42 3","pages":"264-265"},"PeriodicalIF":1.2000,"publicationDate":"2025-05-01","publicationTypes":"Journal Article","fieldsOfStudy":null,"isOpenAccess":false,"openAccessPdf":"https://www.ncbi.nlm.nih.gov/pmc/articles/PMC12097656/pdf/","citationCount":"0","resultStr":"{\"title\":\"Histoplasmosis presenting as fibrosing mediastinitis and superior vena cava obstruction.\",\"authors\":\"Sagar Poudel, Sanjeev Kumar, Saurabh Mittal, Preyas Sethi, Karan Madan\",\"doi\":\"10.4103/lungindia.lungindia_485_24\",\"DOIUrl\":null,\"url\":null,\"abstract\":\"\",\"PeriodicalId\":47462,\"journal\":{\"name\":\"Lung India\",\"volume\":\"42 3\",\"pages\":\"264-265\"},\"PeriodicalIF\":1.2000,\"publicationDate\":\"2025-05-01\",\"publicationTypes\":\"Journal Article\",\"fieldsOfStudy\":null,\"isOpenAccess\":false,\"openAccessPdf\":\"https://www.ncbi.nlm.nih.gov/pmc/articles/PMC12097656/pdf/\",\"citationCount\":\"0\",\"resultStr\":null,\"platform\":\"Semanticscholar\",\"paperid\":null,\"PeriodicalName\":\"Lung India\",\"FirstCategoryId\":\"1085\",\"ListUrlMain\":\"https://doi.org/10.4103/lungindia.lungindia_485_24\",\"RegionNum\":0,\"RegionCategory\":null,\"ArticlePicture\":[],\"TitleCN\":null,\"AbstractTextCN\":null,\"PMCID\":null,\"EPubDate\":\"2025/4/29 0:00:00\",\"PubModel\":\"Epub\",\"JCR\":\"Q4\",\"JCRName\":\"RESPIRATORY SYSTEM\",\"Score\":null,\"Total\":0}","platform":"Semanticscholar","paperid":null,"PeriodicalName":"Lung India","FirstCategoryId":"1085","ListUrlMain":"https://doi.org/10.4103/lungindia.lungindia_485_24","RegionNum":0,"RegionCategory":null,"ArticlePicture":[],"TitleCN":null,"AbstractTextCN":null,"PMCID":null,"EPubDate":"2025/4/29 0:00:00","PubModel":"Epub","JCR":"Q4","JCRName":"RESPIRATORY SYSTEM","Score":null,"Total":0}
引用次数: 0

摘要

本文章由计算机程序翻译,如有差异,请以英文原文为准。

Histoplasmosis presenting as fibrosing mediastinitis and superior vena cava obstruction.

Histoplasmosis presenting as fibrosing mediastinitis and superior vena cava obstruction.

Histoplasmosis presenting as fibrosing mediastinitis and superior vena cava obstruction.

Histoplasmosis presenting as fibrosing mediastinitis and superior vena cava obstruction.
求助全文
通过发布文献求助,成功后即可免费获取论文全文。 去求助
来源期刊
Lung India
Lung India RESPIRATORY SYSTEM-
CiteScore
2.30
自引率
12.50%
发文量
114
审稿时长
37 weeks
×
引用
GB/T 7714-2015
复制
MLA
复制
APA
复制
导出至
BibTeX EndNote RefMan NoteFirst NoteExpress
×
提示
您的信息不完整,为了账户安全,请先补充。
现在去补充
×
提示
您因"违规操作"
具体请查看互助需知
我知道了
×
提示
确定
请完成安全验证×
copy
已复制链接
快去分享给好友吧!
我知道了
右上角分享
点击右上角分享
0
联系我们:info@booksci.cn Book学术提供免费学术资源搜索服务,方便国内外学者检索中英文文献。致力于提供最便捷和优质的服务体验。 Copyright © 2023 布克学术 All rights reserved.
京ICP备2023020795号-1
ghs 京公网安备 11010802042870号
Book学术文献互助
Book学术文献互助群
群 号:604180095
Book学术官方微信