创伤患者放射学检测到血胸的解决时间:一项回顾性观察研究。

IF 1.5 Q3 RADIOLOGY, NUCLEAR MEDICINE & MEDICAL IMAGING
Khalid Ahmed, Ammar Al-Hassani, Ayman El-Menyar, Syed Nabir, Mohamed Nadeem Ahmed, Ammar Almadani, Ismail Mahmood, Ahammed Mekkodathil, Ruben Peralta, Sandro Rizoli, Hassan Al-Thani
{"title":"创伤患者放射学检测到血胸的解决时间:一项回顾性观察研究。","authors":"Khalid Ahmed, Ammar Al-Hassani, Ayman El-Menyar, Syed Nabir, Mohamed Nadeem Ahmed, Ammar Almadani, Ismail Mahmood, Ahammed Mekkodathil, Ruben Peralta, Sandro Rizoli, Hassan Al-Thani","doi":"10.4329/wjr.v17.i4.105960","DOIUrl":null,"url":null,"abstract":"<p><strong>Background: </strong>Traumatic hemothorax is a common complication of chest trauma; however, the timeline for its resolution, even with chest tube thoracostomy, remains unclear.</p><p><strong>Aim: </strong>To determine the time to resolution of the hemothorax to ensure safe discharge based on chest radiography (CXR) findings.</p><p><strong>Methods: </strong>A retrospective observational study was conducted at Hamad General Hospital, Qatar, from June 2014 to October 2019, including all patients with hemothorax diagnosed <i>via</i> computed tomography (CT) following chest trauma. Based on the initial imaging study, the hemothorax was divided into right, left, and bilateral.</p><p><strong>Results: </strong>The study included 422 patients. Of the total, 57.82% (<i>n</i> = 244/422) resolved their hemothorax within three days of admission. Among these, 44 patients required chest tube insertion (CTI) and 200 were cleared without it. Between days 3 and 7, an additional 16.83% (<i>n</i> = 71 /422) of cases were resolved, of which 28 required chest tubes. By days 8 to 14, another 11.37% (<i>n</i> = 48/422) were cleared, with 15 patients requiring chest tubes. After 14 days, 13.98% (<i>n</i> = 59/422) of patients still had hemothorax, 14 of whom required CTI.</p><p><strong>Conclusion: </strong>This study showed that a subset of patients continued to experience retained hemothorax despite early tube thoracostomy. Patients with a larger hemothorax, particularly on the left side, showed prolonged resolution times. Regular imaging such as CXR or CT is recommended for up to 14 days post-intervention. After this period, outpatient follow-up is generally safe, although some patients may still have a persistent hemothorax beyond two weeks.</p>","PeriodicalId":23819,"journal":{"name":"World journal of radiology","volume":"17 4","pages":"105960"},"PeriodicalIF":1.5000,"publicationDate":"2025-04-28","publicationTypes":"Journal Article","fieldsOfStudy":null,"isOpenAccess":false,"openAccessPdf":"https://www.ncbi.nlm.nih.gov/pmc/articles/PMC12038407/pdf/","citationCount":"0","resultStr":"{\"title\":\"Time to resolution of radiologically detected hemothorax in trauma patients: A retrospective observational study.\",\"authors\":\"Khalid Ahmed, Ammar Al-Hassani, Ayman El-Menyar, Syed Nabir, Mohamed Nadeem Ahmed, Ammar Almadani, Ismail Mahmood, Ahammed Mekkodathil, Ruben Peralta, Sandro Rizoli, Hassan Al-Thani\",\"doi\":\"10.4329/wjr.v17.i4.105960\",\"DOIUrl\":null,\"url\":null,\"abstract\":\"<p><strong>Background: </strong>Traumatic hemothorax is a common complication of chest trauma; however, the timeline for its resolution, even with chest tube thoracostomy, remains unclear.</p><p><strong>Aim: </strong>To determine the time to resolution of the hemothorax to ensure safe discharge based on chest radiography (CXR) findings.</p><p><strong>Methods: </strong>A retrospective observational study was conducted at Hamad General Hospital, Qatar, from June 2014 to October 2019, including all patients with hemothorax diagnosed <i>via</i> computed tomography (CT) following chest trauma. Based on the initial imaging study, the hemothorax was divided into right, left, and bilateral.</p><p><strong>Results: </strong>The study included 422 patients. Of the total, 57.82% (<i>n</i> = 244/422) resolved their hemothorax within three days of admission. Among these, 44 patients required chest tube insertion (CTI) and 200 were cleared without it. Between days 3 and 7, an additional 16.83% (<i>n</i> = 71 /422) of cases were resolved, of which 28 required chest tubes. By days 8 to 14, another 11.37% (<i>n</i> = 48/422) were cleared, with 15 patients requiring chest tubes. After 14 days, 13.98% (<i>n</i> = 59/422) of patients still had hemothorax, 14 of whom required CTI.</p><p><strong>Conclusion: </strong>This study showed that a subset of patients continued to experience retained hemothorax despite early tube thoracostomy. Patients with a larger hemothorax, particularly on the left side, showed prolonged resolution times. Regular imaging such as CXR or CT is recommended for up to 14 days post-intervention. After this period, outpatient follow-up is generally safe, although some patients may still have a persistent hemothorax beyond two weeks.</p>\",\"PeriodicalId\":23819,\"journal\":{\"name\":\"World journal of radiology\",\"volume\":\"17 4\",\"pages\":\"105960\"},\"PeriodicalIF\":1.5000,\"publicationDate\":\"2025-04-28\",\"publicationTypes\":\"Journal Article\",\"fieldsOfStudy\":null,\"isOpenAccess\":false,\"openAccessPdf\":\"https://www.ncbi.nlm.nih.gov/pmc/articles/PMC12038407/pdf/\",\"citationCount\":\"0\",\"resultStr\":null,\"platform\":\"Semanticscholar\",\"paperid\":null,\"PeriodicalName\":\"World journal of radiology\",\"FirstCategoryId\":\"1085\",\"ListUrlMain\":\"https://doi.org/10.4329/wjr.v17.i4.105960\",\"RegionNum\":0,\"RegionCategory\":null,\"ArticlePicture\":[],\"TitleCN\":null,\"AbstractTextCN\":null,\"PMCID\":null,\"EPubDate\":\"\",\"PubModel\":\"\",\"JCR\":\"Q3\",\"JCRName\":\"RADIOLOGY, NUCLEAR MEDICINE & MEDICAL IMAGING\",\"Score\":null,\"Total\":0}","platform":"Semanticscholar","paperid":null,"PeriodicalName":"World journal of radiology","FirstCategoryId":"1085","ListUrlMain":"https://doi.org/10.4329/wjr.v17.i4.105960","RegionNum":0,"RegionCategory":null,"ArticlePicture":[],"TitleCN":null,"AbstractTextCN":null,"PMCID":null,"EPubDate":"","PubModel":"","JCR":"Q3","JCRName":"RADIOLOGY, NUCLEAR MEDICINE & MEDICAL IMAGING","Score":null,"Total":0}
引用次数: 0

摘要

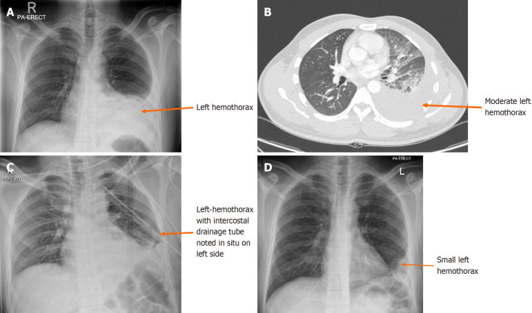
背景:外伤性血胸是胸部外伤的常见并发症;然而,即使采用胸管开胸术,其解决的时间仍不清楚。目的:根据胸片(CXR)的表现,确定血胸的消退时间,以确保安全出院。方法:2014年6月至2019年10月在卡塔尔哈马德总医院进行回顾性观察研究,纳入所有胸部外伤后通过计算机断层扫描(CT)诊断的血胸患者。根据初步影像学检查,血胸分为右、左、双侧。结果:纳入422例患者。其中57.82% (n = 244/422)患者的血胸在入院3天内消除。其中44例患者需要胸腔插管(CTI), 200例患者不需要。在第3 ~ 7天,又有16.83% (n = 71 /422)的病例得到解决,其中28例需要胸管。到第8至14天,又有11.37% (n = 48/422)的患者被清除,其中15例患者需要胸腔插管。14天后,13.98% (n = 59/422)的患者仍有血胸,其中14例需要CTI治疗。结论:本研究表明,尽管早期进行了管式开胸手术,但仍有一部分患者继续经历保留的血胸。血胸较大的患者,尤其是左侧血胸,溶解时间延长。建议在干预后14天内进行常规影像学检查,如CXR或CT。在这段时间后,门诊随访通常是安全的,尽管有些患者可能在两周后仍有持续的血胸。
本文章由计算机程序翻译,如有差异,请以英文原文为准。

Time to resolution of radiologically detected hemothorax in trauma patients: A retrospective observational study.

Time to resolution of radiologically detected hemothorax in trauma patients: A retrospective observational study.

Time to resolution of radiologically detected hemothorax in trauma patients: A retrospective observational study.

Time to resolution of radiologically detected hemothorax in trauma patients: A retrospective observational study.

Background: Traumatic hemothorax is a common complication of chest trauma; however, the timeline for its resolution, even with chest tube thoracostomy, remains unclear.

Aim: To determine the time to resolution of the hemothorax to ensure safe discharge based on chest radiography (CXR) findings.

Methods: A retrospective observational study was conducted at Hamad General Hospital, Qatar, from June 2014 to October 2019, including all patients with hemothorax diagnosed via computed tomography (CT) following chest trauma. Based on the initial imaging study, the hemothorax was divided into right, left, and bilateral.

Results: The study included 422 patients. Of the total, 57.82% (n = 244/422) resolved their hemothorax within three days of admission. Among these, 44 patients required chest tube insertion (CTI) and 200 were cleared without it. Between days 3 and 7, an additional 16.83% (n = 71 /422) of cases were resolved, of which 28 required chest tubes. By days 8 to 14, another 11.37% (n = 48/422) were cleared, with 15 patients requiring chest tubes. After 14 days, 13.98% (n = 59/422) of patients still had hemothorax, 14 of whom required CTI.

Conclusion: This study showed that a subset of patients continued to experience retained hemothorax despite early tube thoracostomy. Patients with a larger hemothorax, particularly on the left side, showed prolonged resolution times. Regular imaging such as CXR or CT is recommended for up to 14 days post-intervention. After this period, outpatient follow-up is generally safe, although some patients may still have a persistent hemothorax beyond two weeks.

求助全文
通过发布文献求助,成功后即可免费获取论文全文。 去求助
来源期刊
World journal of radiology
World journal of radiology RADIOLOGY, NUCLEAR MEDICINE & MEDICAL IMAGING-
自引率
8.00%
发文量
35
×
引用
GB/T 7714-2015
复制
MLA
复制
APA
复制
导出至
BibTeX EndNote RefMan NoteFirst NoteExpress
×
提示
您的信息不完整,为了账户安全,请先补充。
现在去补充
×
提示
您因"违规操作"
具体请查看互助需知
我知道了
×
提示
确定
请完成安全验证×
copy
已复制链接
快去分享给好友吧!
我知道了
右上角分享
点击右上角分享
0
联系我们:info@booksci.cn Book学术提供免费学术资源搜索服务,方便国内外学者检索中英文文献。致力于提供最便捷和优质的服务体验。 Copyright © 2023 布克学术 All rights reserved.
京ICP备2023020795号-1
ghs 京公网安备 11010802042870号
Book学术文献互助
Book学术文献互助群
群 号:604180095
Book学术官方微信