巨大右心房肿块与血小板减少症的关系手术恢复。

IF 0.7 Q3 CARDIAC & CARDIOVASCULAR SYSTEMS
Journal of Cardiovascular and Thoracic Research Pub Date : 2025-03-18 eCollection Date: 2025-03-01 DOI:10.34172/jcvtr.025.32978
Roghayeh Pourkia, Sadegh Sedaghat, Hamid Reza Vafaei, Seyed Sina Taheri Otaghsare
{"title":"巨大右心房肿块与血小板减少症的关系手术恢复。","authors":"Roghayeh Pourkia, Sadegh Sedaghat, Hamid Reza Vafaei, Seyed Sina Taheri Otaghsare","doi":"10.34172/jcvtr.025.32978","DOIUrl":null,"url":null,"abstract":"<p><p>As we know, cardiac myxoma is one of the most primary cardiac masses but laboratory findings in this type of tumor is non-specific and the diagnosis is by imaging. In this case we have reported a 61 year old man came to the emergency ward of hospital with history of recent onset dyspnea and The Laboratory finding indicates polycythemia with thrombocytopenia. Ultrasonography of abdomen and bone marrow aspiration and biopsy revealed no significant diagnosis but on echocardiography a large sized mass was detected in right atrium. After cardiologist and cardiac surgeon consultation the plan was to surgical Excision and after that the thrombocytopenia has been resolved. In this case report we want to write about a rare correlation between cardiac myxoma and thrombocytopenia and show that early diagnosis and treatment of the disease can help and totally cure complaints of patient.</p>","PeriodicalId":15207,"journal":{"name":"Journal of Cardiovascular and Thoracic Research","volume":"17 1","pages":"70-73"},"PeriodicalIF":0.7000,"publicationDate":"2025-03-18","publicationTypes":"Journal Article","fieldsOfStudy":null,"isOpenAccess":false,"openAccessPdf":"https://www.ncbi.nlm.nih.gov/pmc/articles/PMC12068794/pdf/","citationCount":"0","resultStr":"{\"title\":\"Relation of giant right atrial mass and thrombocytopenia; Recovery with surgery.\",\"authors\":\"Roghayeh Pourkia, Sadegh Sedaghat, Hamid Reza Vafaei, Seyed Sina Taheri Otaghsare\",\"doi\":\"10.34172/jcvtr.025.32978\",\"DOIUrl\":null,\"url\":null,\"abstract\":\"<p><p>As we know, cardiac myxoma is one of the most primary cardiac masses but laboratory findings in this type of tumor is non-specific and the diagnosis is by imaging. In this case we have reported a 61 year old man came to the emergency ward of hospital with history of recent onset dyspnea and The Laboratory finding indicates polycythemia with thrombocytopenia. Ultrasonography of abdomen and bone marrow aspiration and biopsy revealed no significant diagnosis but on echocardiography a large sized mass was detected in right atrium. After cardiologist and cardiac surgeon consultation the plan was to surgical Excision and after that the thrombocytopenia has been resolved. In this case report we want to write about a rare correlation between cardiac myxoma and thrombocytopenia and show that early diagnosis and treatment of the disease can help and totally cure complaints of patient.</p>\",\"PeriodicalId\":15207,\"journal\":{\"name\":\"Journal of Cardiovascular and Thoracic Research\",\"volume\":\"17 1\",\"pages\":\"70-73\"},\"PeriodicalIF\":0.7000,\"publicationDate\":\"2025-03-18\",\"publicationTypes\":\"Journal Article\",\"fieldsOfStudy\":null,\"isOpenAccess\":false,\"openAccessPdf\":\"https://www.ncbi.nlm.nih.gov/pmc/articles/PMC12068794/pdf/\",\"citationCount\":\"0\",\"resultStr\":null,\"platform\":\"Semanticscholar\",\"paperid\":null,\"PeriodicalName\":\"Journal of Cardiovascular and Thoracic Research\",\"FirstCategoryId\":\"1085\",\"ListUrlMain\":\"https://doi.org/10.34172/jcvtr.025.32978\",\"RegionNum\":0,\"RegionCategory\":null,\"ArticlePicture\":[],\"TitleCN\":null,\"AbstractTextCN\":null,\"PMCID\":null,\"EPubDate\":\"2025/3/1 0:00:00\",\"PubModel\":\"eCollection\",\"JCR\":\"Q3\",\"JCRName\":\"CARDIAC & CARDIOVASCULAR SYSTEMS\",\"Score\":null,\"Total\":0}","platform":"Semanticscholar","paperid":null,"PeriodicalName":"Journal of Cardiovascular and Thoracic Research","FirstCategoryId":"1085","ListUrlMain":"https://doi.org/10.34172/jcvtr.025.32978","RegionNum":0,"RegionCategory":null,"ArticlePicture":[],"TitleCN":null,"AbstractTextCN":null,"PMCID":null,"EPubDate":"2025/3/1 0:00:00","PubModel":"eCollection","JCR":"Q3","JCRName":"CARDIAC & CARDIOVASCULAR SYSTEMS","Score":null,"Total":0}
引用次数: 0

摘要

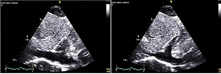
我们知道,心脏黏液瘤是最主要的心脏肿块之一,但这种类型的肿瘤的实验室结果是非特异性的,诊断是通过影像学。在这个病例中,我们报告了一名61岁的男子,他最近出现呼吸困难的病史,实验室检查显示红细胞增多症伴血小板减少症。腹部超声、骨髓穿刺及活检未见明显诊断,但超声心动图发现右心房有大肿块。在心脏病专家和心脏外科医生会诊后,计划进行手术切除,之后血小板减少症得到解决。在这个病例报告中,我们想写心脏黏液瘤和血小板减少症之间罕见的相关性,并表明早期诊断和治疗这种疾病可以帮助和完全治愈患者的抱怨。
本文章由计算机程序翻译,如有差异,请以英文原文为准。

Relation of giant right atrial mass and thrombocytopenia; Recovery with surgery.

Relation of giant right atrial mass and thrombocytopenia; Recovery with surgery.

Relation of giant right atrial mass and thrombocytopenia; Recovery with surgery.

Relation of giant right atrial mass and thrombocytopenia; Recovery with surgery.

As we know, cardiac myxoma is one of the most primary cardiac masses but laboratory findings in this type of tumor is non-specific and the diagnosis is by imaging. In this case we have reported a 61 year old man came to the emergency ward of hospital with history of recent onset dyspnea and The Laboratory finding indicates polycythemia with thrombocytopenia. Ultrasonography of abdomen and bone marrow aspiration and biopsy revealed no significant diagnosis but on echocardiography a large sized mass was detected in right atrium. After cardiologist and cardiac surgeon consultation the plan was to surgical Excision and after that the thrombocytopenia has been resolved. In this case report we want to write about a rare correlation between cardiac myxoma and thrombocytopenia and show that early diagnosis and treatment of the disease can help and totally cure complaints of patient.

求助全文
通过发布文献求助,成功后即可免费获取论文全文。 去求助
来源期刊
Journal of Cardiovascular and Thoracic Research
Journal of Cardiovascular and Thoracic Research CARDIAC & CARDIOVASCULAR SYSTEMS-
CiteScore
2.00
自引率
0.00%
发文量
22
审稿时长
7 weeks
×
引用
GB/T 7714-2015
复制
MLA
复制
APA
复制
导出至
BibTeX EndNote RefMan NoteFirst NoteExpress
×
提示
您的信息不完整,为了账户安全,请先补充。
现在去补充
×
提示
您因"违规操作"
具体请查看互助需知
我知道了
×
提示
确定
请完成安全验证×
copy
已复制链接
快去分享给好友吧!
我知道了
右上角分享
点击右上角分享
0
联系我们:info@booksci.cn Book学术提供免费学术资源搜索服务,方便国内外学者检索中英文文献。致力于提供最便捷和优质的服务体验。 Copyright © 2023 布克学术 All rights reserved.
京ICP备2023020795号-1
ghs 京公网安备 11010802042870号
Book学术文献互助
Book学术文献互助群
群 号:604180095
Book学术官方微信