自发性萎缩和生长的颅底脊索瘤。

IF 0.7 Q4 CLINICAL NEUROLOGY
Journal of Neurological Surgery Reports Pub Date : 2025-05-09 eCollection Date: 2025-04-01 DOI:10.1055/a-2587-6573
Esmée M Bosman, Max E Keizer, Jasper van Aalst, Martinus P G Broen, Alida A Postma, Astrid I P Vernemmen, Henricus P M Kunst, Yasin Temel
{"title":"自发性萎缩和生长的颅底脊索瘤。","authors":"Esmée M Bosman, Max E Keizer, Jasper van Aalst, Martinus P G Broen, Alida A Postma, Astrid I P Vernemmen, Henricus P M Kunst, Yasin Temel","doi":"10.1055/a-2587-6573","DOIUrl":null,"url":null,"abstract":"<p><strong>Background: </strong>Chordomas are rare slow-growing tumors occurring in the axial skeleton and can demonstrate local aggressive behavior, typically extending from the median axis, compressing surrounding tissue. Complete surgical resection and adjuvant radiotherapy are the preferred treatments. We present an unusual case of a spontaneously shrinking and growing off-midline petroclival chordoma.</p><p><strong>Case description: </strong>A 23-year-old woman presented with right abducens nerve palsy. Computed tomography and magnetic resonance imaging (MRI) revealed an off-midline petroclival lesion compressing the abducens nerve with characteristics of a chondrosarcoma. Preoperative MRI indicated spontaneous lesion regression, and the abducens nerve showed clinical improvement. Hence, the planned surgery was canceled. During the wait-and-scan period, abducens nerve palsy recurred. MRI confirmed lesion growth and showed an intratumoral linear structure indicative of blood. Even though preoperative MRI again demonstrated shrinkage, the lesion was surgically removed. Despite the unusual presentation, histopathological examination diagnosed a conventional chordoma. A second surgery was required to remove the residual tumor, after which the patient received high-dose photon beam therapy.</p><p><strong>Conclusion: </strong>This article discusses the uncommon presentation and behavior of a petroclival chordoma, showing fluctuating cycles of off-midline growth and spontaneous regression. While intratumoral hemorrhage is hypothesized to explain this tumor behavior, the exact etiology needs further investigation. The case presented here emphasizes the importance of considering chordoma in the differential diagnosis despite an atypical disease course.</p>","PeriodicalId":44256,"journal":{"name":"Journal of Neurological Surgery Reports","volume":"86 2","pages":"e107-e111"},"PeriodicalIF":0.7000,"publicationDate":"2025-05-09","publicationTypes":"Journal Article","fieldsOfStudy":null,"isOpenAccess":false,"openAccessPdf":"https://www.ncbi.nlm.nih.gov/pmc/articles/PMC12064314/pdf/","citationCount":"0","resultStr":"{\"title\":\"Spontaneous Shrinking and Growing Skull Base Chordoma.\",\"authors\":\"Esmée M Bosman, Max E Keizer, Jasper van Aalst, Martinus P G Broen, Alida A Postma, Astrid I P Vernemmen, Henricus P M Kunst, Yasin Temel\",\"doi\":\"10.1055/a-2587-6573\",\"DOIUrl\":null,\"url\":null,\"abstract\":\"<p><strong>Background: </strong>Chordomas are rare slow-growing tumors occurring in the axial skeleton and can demonstrate local aggressive behavior, typically extending from the median axis, compressing surrounding tissue. Complete surgical resection and adjuvant radiotherapy are the preferred treatments. We present an unusual case of a spontaneously shrinking and growing off-midline petroclival chordoma.</p><p><strong>Case description: </strong>A 23-year-old woman presented with right abducens nerve palsy. Computed tomography and magnetic resonance imaging (MRI) revealed an off-midline petroclival lesion compressing the abducens nerve with characteristics of a chondrosarcoma. Preoperative MRI indicated spontaneous lesion regression, and the abducens nerve showed clinical improvement. Hence, the planned surgery was canceled. During the wait-and-scan period, abducens nerve palsy recurred. MRI confirmed lesion growth and showed an intratumoral linear structure indicative of blood. Even though preoperative MRI again demonstrated shrinkage, the lesion was surgically removed. Despite the unusual presentation, histopathological examination diagnosed a conventional chordoma. A second surgery was required to remove the residual tumor, after which the patient received high-dose photon beam therapy.</p><p><strong>Conclusion: </strong>This article discusses the uncommon presentation and behavior of a petroclival chordoma, showing fluctuating cycles of off-midline growth and spontaneous regression. While intratumoral hemorrhage is hypothesized to explain this tumor behavior, the exact etiology needs further investigation. The case presented here emphasizes the importance of considering chordoma in the differential diagnosis despite an atypical disease course.</p>\",\"PeriodicalId\":44256,\"journal\":{\"name\":\"Journal of Neurological Surgery Reports\",\"volume\":\"86 2\",\"pages\":\"e107-e111\"},\"PeriodicalIF\":0.7000,\"publicationDate\":\"2025-05-09\",\"publicationTypes\":\"Journal Article\",\"fieldsOfStudy\":null,\"isOpenAccess\":false,\"openAccessPdf\":\"https://www.ncbi.nlm.nih.gov/pmc/articles/PMC12064314/pdf/\",\"citationCount\":\"0\",\"resultStr\":null,\"platform\":\"Semanticscholar\",\"paperid\":null,\"PeriodicalName\":\"Journal of Neurological Surgery Reports\",\"FirstCategoryId\":\"1085\",\"ListUrlMain\":\"https://doi.org/10.1055/a-2587-6573\",\"RegionNum\":0,\"RegionCategory\":null,\"ArticlePicture\":[],\"TitleCN\":null,\"AbstractTextCN\":null,\"PMCID\":null,\"EPubDate\":\"2025/4/1 0:00:00\",\"PubModel\":\"eCollection\",\"JCR\":\"Q4\",\"JCRName\":\"CLINICAL NEUROLOGY\",\"Score\":null,\"Total\":0}","platform":"Semanticscholar","paperid":null,"PeriodicalName":"Journal of Neurological Surgery Reports","FirstCategoryId":"1085","ListUrlMain":"https://doi.org/10.1055/a-2587-6573","RegionNum":0,"RegionCategory":null,"ArticlePicture":[],"TitleCN":null,"AbstractTextCN":null,"PMCID":null,"EPubDate":"2025/4/1 0:00:00","PubModel":"eCollection","JCR":"Q4","JCRName":"CLINICAL NEUROLOGY","Score":null,"Total":0}
引用次数: 0

摘要

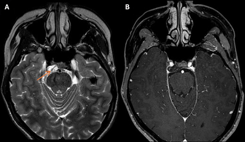
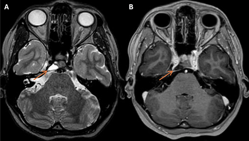
背景:脊索瘤是一种罕见的生长缓慢的肿瘤,发生在中轴骨骼,可表现出局部侵袭性,通常从中轴延伸,压迫周围组织。完全手术切除和辅助放疗是首选的治疗方法。我们提出一个不寻常的情况下,自发萎缩和增长的中线外岩斜脊索瘤。病例描述:一名23岁女性,表现为右外展神经麻痹。计算机断层扫描和磁共振成像(MRI)显示一个脱线的岩石斜坡病变压迫外展神经,具有软骨肉瘤的特征。术前MRI显示病变自发消退,展神经临床好转。因此,计划中的手术被取消了。在等待扫描期间,外展神经麻痹复发。MRI证实病变生长,显示肿瘤内线状结构提示血液。尽管术前MRI再次显示萎缩,但手术切除了病变。尽管表现不寻常,组织病理学检查诊断为常规脊索瘤。需要第二次手术切除残余肿瘤,之后患者接受高剂量光子束治疗。结论:本文讨论了罕见的岩石斜坡脊索瘤的表现和行为,表现出中线外生长和自发消退的波动周期。虽然假设肿瘤内出血可以解释这种肿瘤行为,但确切的病因需要进一步研究。本病例强调了尽管是非典型病程,但在鉴别诊断中考虑脊索瘤的重要性。
本文章由计算机程序翻译,如有差异,请以英文原文为准。

Spontaneous Shrinking and Growing Skull Base Chordoma.

Spontaneous Shrinking and Growing Skull Base Chordoma.

Spontaneous Shrinking and Growing Skull Base Chordoma.

Spontaneous Shrinking and Growing Skull Base Chordoma.

Background: Chordomas are rare slow-growing tumors occurring in the axial skeleton and can demonstrate local aggressive behavior, typically extending from the median axis, compressing surrounding tissue. Complete surgical resection and adjuvant radiotherapy are the preferred treatments. We present an unusual case of a spontaneously shrinking and growing off-midline petroclival chordoma.

Case description: A 23-year-old woman presented with right abducens nerve palsy. Computed tomography and magnetic resonance imaging (MRI) revealed an off-midline petroclival lesion compressing the abducens nerve with characteristics of a chondrosarcoma. Preoperative MRI indicated spontaneous lesion regression, and the abducens nerve showed clinical improvement. Hence, the planned surgery was canceled. During the wait-and-scan period, abducens nerve palsy recurred. MRI confirmed lesion growth and showed an intratumoral linear structure indicative of blood. Even though preoperative MRI again demonstrated shrinkage, the lesion was surgically removed. Despite the unusual presentation, histopathological examination diagnosed a conventional chordoma. A second surgery was required to remove the residual tumor, after which the patient received high-dose photon beam therapy.

Conclusion: This article discusses the uncommon presentation and behavior of a petroclival chordoma, showing fluctuating cycles of off-midline growth and spontaneous regression. While intratumoral hemorrhage is hypothesized to explain this tumor behavior, the exact etiology needs further investigation. The case presented here emphasizes the importance of considering chordoma in the differential diagnosis despite an atypical disease course.

求助全文
通过发布文献求助,成功后即可免费获取论文全文。 去求助
来源期刊
自引率
0.00%
发文量
31
审稿时长
12 weeks
×
引用
GB/T 7714-2015
复制
MLA
复制
APA
复制
导出至
BibTeX EndNote RefMan NoteFirst NoteExpress
×
提示
您的信息不完整,为了账户安全,请先补充。
现在去补充
×
提示
您因"违规操作"
具体请查看互助需知
我知道了
×
提示
确定
请完成安全验证×
copy
已复制链接
快去分享给好友吧!
我知道了
右上角分享
点击右上角分享
0
联系我们:info@booksci.cn Book学术提供免费学术资源搜索服务,方便国内外学者检索中英文文献。致力于提供最便捷和优质的服务体验。 Copyright © 2023 布克学术 All rights reserved.
京ICP备2023020795号-1
ghs 京公网安备 11010802042870号
Book学术文献互助
Book学术文献互助群
群 号:604180095
Book学术官方微信