因晚期围神经侵犯而行R1切除的升结肠癌加回盲切除罕见病例。

IF 0.7 Q4 SURGERY
Surgical Case Reports Pub Date : 2025-01-01 Epub Date: 2025-05-08 DOI:10.70352/scrj.cr.25-0016
Yoshiaki Kanemoto, Tomonari Amano, Tomohiro Kurokawa, Tetsuya Tanimoto, Masahiro Amano, Kunihisa Miyazaki
{"title":"因晚期围神经侵犯而行R1切除的升结肠癌加回盲切除罕见病例。","authors":"Yoshiaki Kanemoto, Tomonari Amano, Tomohiro Kurokawa, Tetsuya Tanimoto, Masahiro Amano, Kunihisa Miyazaki","doi":"10.70352/scrj.cr.25-0016","DOIUrl":null,"url":null,"abstract":"<p><strong>Introduction: </strong>Perineural invasion (PNI) has been cited as an independent prognostic factor in colorectal cancer. We report the first case of an additional resection after ileocecal resection due to advanced lateral extension of PNI, with a review of the literature.</p><p><strong>Case presentation: </strong>A 67-year-old woman underwent colonoscopy due to positive fecal occult blood. Biopsy revealed a 20-mm type 2 tumor in the ascending colon near the ileocecal valve, which was a poorly differentiated adenocarcinoma. She underwent laparoscopic-assisted ileocecal resection and D3 dissection, and the surgery was completed routinely in which functional end-to-end anastomosis (FEEA) was performed extracorporeally. Postoperative course was good and she was discharged one week postoperatively. The pathology showed AI, type 3, 30 × 23 mm, 40%, por2>sig>tub2, pT3a (SS), int, INFb, v2, ly3, Pn1b, PM1, DM0, pN1. There was widespread cancerous extension along the intermuscular plexus within the intrinsic muscular layer of the ileum, and although grossly separated from the tumor by about 80 mm, the tumor was R1 resected with positive oral margins. Additional anastomotic resection was performed by laparotomy. Intraoperatively, the resected section was submitted to a rapid examination, which was confirmed to be negative, and the surgery was completed. The pathological examination revealed that the resected specimen showed an adenocarcinoma on the ileum side of the anastomosis, which infiltrated and proliferated within the intermuscular plexus by about 15 mm, although the tumor was not visually recognized on the resection specimen. Both bilateral margins were negative, resulting in R0 resection. Postoperative adjuvant chemotherapy was not requested by the patient. Thereafter, periodic imaging follow-up was performed and, nine months after the initial diagnosis, there was no increase in tumor markers and no evidence of recurrence on imaging.</p><p><strong>Conclusions: </strong>Preventing R1 resection due to lateral extension of advanced PNI, which is very rare as in this case, is practically difficult given its frequency and residual bowel function. Instead, prompt additional resection and adjuvant therapy (which was not performed in this case) are essential to minimize the risk of recurrence.</p>","PeriodicalId":22096,"journal":{"name":"Surgical Case Reports","volume":"11 1","pages":""},"PeriodicalIF":0.7000,"publicationDate":"2025-01-01","publicationTypes":"Journal Article","fieldsOfStudy":null,"isOpenAccess":false,"openAccessPdf":"https://www.ncbi.nlm.nih.gov/pmc/articles/PMC12061511/pdf/","citationCount":"0","resultStr":"{\"title\":\"Rare Case of Additional Ileocecal Resection for Ascending Colon Cancer with R1 Resection due to Advanced Perineural Invasion.\",\"authors\":\"Yoshiaki Kanemoto, Tomonari Amano, Tomohiro Kurokawa, Tetsuya Tanimoto, Masahiro Amano, Kunihisa Miyazaki\",\"doi\":\"10.70352/scrj.cr.25-0016\",\"DOIUrl\":null,\"url\":null,\"abstract\":\"<p><strong>Introduction: </strong>Perineural invasion (PNI) has been cited as an independent prognostic factor in colorectal cancer. We report the first case of an additional resection after ileocecal resection due to advanced lateral extension of PNI, with a review of the literature.</p><p><strong>Case presentation: </strong>A 67-year-old woman underwent colonoscopy due to positive fecal occult blood. Biopsy revealed a 20-mm type 2 tumor in the ascending colon near the ileocecal valve, which was a poorly differentiated adenocarcinoma. She underwent laparoscopic-assisted ileocecal resection and D3 dissection, and the surgery was completed routinely in which functional end-to-end anastomosis (FEEA) was performed extracorporeally. Postoperative course was good and she was discharged one week postoperatively. The pathology showed AI, type 3, 30 × 23 mm, 40%, por2>sig>tub2, pT3a (SS), int, INFb, v2, ly3, Pn1b, PM1, DM0, pN1. There was widespread cancerous extension along the intermuscular plexus within the intrinsic muscular layer of the ileum, and although grossly separated from the tumor by about 80 mm, the tumor was R1 resected with positive oral margins. Additional anastomotic resection was performed by laparotomy. Intraoperatively, the resected section was submitted to a rapid examination, which was confirmed to be negative, and the surgery was completed. The pathological examination revealed that the resected specimen showed an adenocarcinoma on the ileum side of the anastomosis, which infiltrated and proliferated within the intermuscular plexus by about 15 mm, although the tumor was not visually recognized on the resection specimen. Both bilateral margins were negative, resulting in R0 resection. Postoperative adjuvant chemotherapy was not requested by the patient. Thereafter, periodic imaging follow-up was performed and, nine months after the initial diagnosis, there was no increase in tumor markers and no evidence of recurrence on imaging.</p><p><strong>Conclusions: </strong>Preventing R1 resection due to lateral extension of advanced PNI, which is very rare as in this case, is practically difficult given its frequency and residual bowel function. Instead, prompt additional resection and adjuvant therapy (which was not performed in this case) are essential to minimize the risk of recurrence.</p>\",\"PeriodicalId\":22096,\"journal\":{\"name\":\"Surgical Case Reports\",\"volume\":\"11 1\",\"pages\":\"\"},\"PeriodicalIF\":0.7000,\"publicationDate\":\"2025-01-01\",\"publicationTypes\":\"Journal Article\",\"fieldsOfStudy\":null,\"isOpenAccess\":false,\"openAccessPdf\":\"https://www.ncbi.nlm.nih.gov/pmc/articles/PMC12061511/pdf/\",\"citationCount\":\"0\",\"resultStr\":null,\"platform\":\"Semanticscholar\",\"paperid\":null,\"PeriodicalName\":\"Surgical Case Reports\",\"FirstCategoryId\":\"1085\",\"ListUrlMain\":\"https://doi.org/10.70352/scrj.cr.25-0016\",\"RegionNum\":0,\"RegionCategory\":null,\"ArticlePicture\":[],\"TitleCN\":null,\"AbstractTextCN\":null,\"PMCID\":null,\"EPubDate\":\"2025/5/8 0:00:00\",\"PubModel\":\"Epub\",\"JCR\":\"Q4\",\"JCRName\":\"SURGERY\",\"Score\":null,\"Total\":0}","platform":"Semanticscholar","paperid":null,"PeriodicalName":"Surgical Case Reports","FirstCategoryId":"1085","ListUrlMain":"https://doi.org/10.70352/scrj.cr.25-0016","RegionNum":0,"RegionCategory":null,"ArticlePicture":[],"TitleCN":null,"AbstractTextCN":null,"PMCID":null,"EPubDate":"2025/5/8 0:00:00","PubModel":"Epub","JCR":"Q4","JCRName":"SURGERY","Score":null,"Total":0}
引用次数: 0

摘要

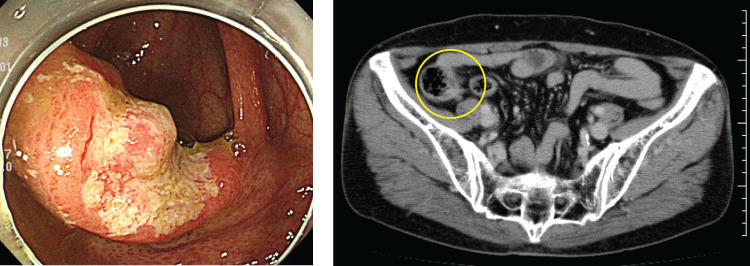
导读:围神经侵犯(PNI)已被认为是结直肠癌的独立预后因素。我们报告了第一例因PNI的晚期外侧延伸而在回盲切除后进行额外切除的病例,并对文献进行了回顾。病例介绍:一名67岁女性因粪便隐血阳性接受结肠镜检查。活检示升结肠回盲瓣附近一20mm 2型肿瘤,为低分化腺癌。患者行腹腔镜辅助回盲切除和D3夹层,常规完成手术,体外行功能性端到端吻合(FEEA)。术后过程良好,术后1周出院。病理示AI, 3型,30 × 23 mm, 40%, por2>sig>tub2, pT3a (SS), int, INFb, v2, ly3, Pn1b, PM1, DM0, pN1。肿瘤沿回肠固有肌层肌间神经丛广泛扩散,虽然大体与肿瘤相距约80mm,但肿瘤切除后呈口缘阳性。经剖腹手术行吻合口切除术。术中对切除的部分进行快速检查,结果为阴性,完成手术。病理检查显示,切除标本在吻合口回肠侧见腺癌,在肌间丛内浸润增生约15mm,但肉眼未见肿瘤。双侧边缘均为阴性,因此R0切除。患者未要求术后辅助化疗。此后,定期进行影像学随访,在初次诊断后9个月,肿瘤标志物未增加,影像学检查无复发迹象。结论:考虑到其发生频率和残留的肠功能,预防因进展期PNI侧展引起的R1切除实际上是困难的,这种情况与本病例一样非常罕见。相反,及时的额外切除和辅助治疗(在本病例中没有进行)对于最小化复发风险至关重要。
本文章由计算机程序翻译,如有差异,请以英文原文为准。

Rare Case of Additional Ileocecal Resection for Ascending Colon Cancer with R1 Resection due to Advanced Perineural Invasion.

Rare Case of Additional Ileocecal Resection for Ascending Colon Cancer with R1 Resection due to Advanced Perineural Invasion.

Rare Case of Additional Ileocecal Resection for Ascending Colon Cancer with R1 Resection due to Advanced Perineural Invasion.

Rare Case of Additional Ileocecal Resection for Ascending Colon Cancer with R1 Resection due to Advanced Perineural Invasion.

Introduction: Perineural invasion (PNI) has been cited as an independent prognostic factor in colorectal cancer. We report the first case of an additional resection after ileocecal resection due to advanced lateral extension of PNI, with a review of the literature.

Case presentation: A 67-year-old woman underwent colonoscopy due to positive fecal occult blood. Biopsy revealed a 20-mm type 2 tumor in the ascending colon near the ileocecal valve, which was a poorly differentiated adenocarcinoma. She underwent laparoscopic-assisted ileocecal resection and D3 dissection, and the surgery was completed routinely in which functional end-to-end anastomosis (FEEA) was performed extracorporeally. Postoperative course was good and she was discharged one week postoperatively. The pathology showed AI, type 3, 30 × 23 mm, 40%, por2>sig>tub2, pT3a (SS), int, INFb, v2, ly3, Pn1b, PM1, DM0, pN1. There was widespread cancerous extension along the intermuscular plexus within the intrinsic muscular layer of the ileum, and although grossly separated from the tumor by about 80 mm, the tumor was R1 resected with positive oral margins. Additional anastomotic resection was performed by laparotomy. Intraoperatively, the resected section was submitted to a rapid examination, which was confirmed to be negative, and the surgery was completed. The pathological examination revealed that the resected specimen showed an adenocarcinoma on the ileum side of the anastomosis, which infiltrated and proliferated within the intermuscular plexus by about 15 mm, although the tumor was not visually recognized on the resection specimen. Both bilateral margins were negative, resulting in R0 resection. Postoperative adjuvant chemotherapy was not requested by the patient. Thereafter, periodic imaging follow-up was performed and, nine months after the initial diagnosis, there was no increase in tumor markers and no evidence of recurrence on imaging.

Conclusions: Preventing R1 resection due to lateral extension of advanced PNI, which is very rare as in this case, is practically difficult given its frequency and residual bowel function. Instead, prompt additional resection and adjuvant therapy (which was not performed in this case) are essential to minimize the risk of recurrence.

求助全文
通过发布文献求助,成功后即可免费获取论文全文。 去求助
来源期刊
自引率
0.00%
发文量
218
审稿时长
13 weeks
×
引用
GB/T 7714-2015
复制
MLA
复制
APA
复制
导出至
BibTeX EndNote RefMan NoteFirst NoteExpress
×
提示
您的信息不完整,为了账户安全,请先补充。
现在去补充
×
提示
您因"违规操作"
具体请查看互助需知
我知道了
×
提示
确定
请完成安全验证×
copy
已复制链接
快去分享给好友吧!
我知道了
右上角分享
点击右上角分享
0
联系我们:info@booksci.cn Book学术提供免费学术资源搜索服务,方便国内外学者检索中英文文献。致力于提供最便捷和优质的服务体验。 Copyright © 2023 布克学术 All rights reserved.
京ICP备2023020795号-1
ghs 京公网安备 11010802042870号
Book学术文献互助
Book学术文献互助群
群 号:604180095
Book学术官方微信