子宫内膜样癌孤立性胃转移1例并文献复习。

IF 0.7 Q3 MEDICINE, GENERAL & INTERNAL
AME Case Reports Pub Date : 2025-03-10 eCollection Date: 2025-01-01 DOI:10.21037/acr-24-217
Wuming Zhu, Luanbiao Sun, Xinyuan Song, Ruizhi Hou, Shuohui Gao
{"title":"子宫内膜样癌孤立性胃转移1例并文献复习。","authors":"Wuming Zhu, Luanbiao Sun, Xinyuan Song, Ruizhi Hou, Shuohui Gao","doi":"10.21037/acr-24-217","DOIUrl":null,"url":null,"abstract":"<p><strong>Background: </strong>Isolated parenchymal gastric metastasis of endometrial cancer without other recurrence sites is extremely rare. This report presents a case of isolated gastric metastasis from endometrioid carcinoma characterized by a giant ulcer, which was managed with radical resection. Additionally, we review the recently published literature regarding isolated gastric metastases originating from ovarian and endometrial cancers.</p><p><strong>Case description: </strong>A 60-year-old female was admitted with discomfort in the upper abdomen accompanied by melena and a 6-year history of ovarian and endometrial cancer. Gastroscopy revealed a giant ulcer located in the gastric body, and biopsy pathology indicated a reproductive system origin. Subsequent <sup>18</sup>F-fluorodeoxyglucose positron emission tomography/computed tomography (<sup>18</sup>F-FDG PET/CT) revealed a hypermetabolic lesion within the gastric wall on the lesser curvature [standardized uptake value (SUV): 23.23]. Final pathology following total gastrectomy confirmed the presence of an isolated gastric metastasis tumor originating from primary endometrial endometrioid carcinoma. The patient was discharged 11 days postsurgery and exhibited no signs of recurrence or metastasis during a 3-month postoperative follow-up.</p><p><strong>Conclusions: </strong>Early diagnosis and treatment are paramount for identifying metastatic gastric lesions. If surgery is feasible and safe, cytoreductive surgery followed by adjuvant chemotherapy represents an effective and widely endorsed treatment approach, significantly improving patient prognosis and enhancing long-term survival rates.</p>","PeriodicalId":29752,"journal":{"name":"AME Case Reports","volume":"9 ","pages":"58"},"PeriodicalIF":0.7000,"publicationDate":"2025-03-10","publicationTypes":"Journal Article","fieldsOfStudy":null,"isOpenAccess":false,"openAccessPdf":"https://www.ncbi.nlm.nih.gov/pmc/articles/PMC12053438/pdf/","citationCount":"0","resultStr":"{\"title\":\"Isolated gastric metastasis of endometrioid carcinoma: a case report and literature review.\",\"authors\":\"Wuming Zhu, Luanbiao Sun, Xinyuan Song, Ruizhi Hou, Shuohui Gao\",\"doi\":\"10.21037/acr-24-217\",\"DOIUrl\":null,\"url\":null,\"abstract\":\"<p><strong>Background: </strong>Isolated parenchymal gastric metastasis of endometrial cancer without other recurrence sites is extremely rare. This report presents a case of isolated gastric metastasis from endometrioid carcinoma characterized by a giant ulcer, which was managed with radical resection. Additionally, we review the recently published literature regarding isolated gastric metastases originating from ovarian and endometrial cancers.</p><p><strong>Case description: </strong>A 60-year-old female was admitted with discomfort in the upper abdomen accompanied by melena and a 6-year history of ovarian and endometrial cancer. Gastroscopy revealed a giant ulcer located in the gastric body, and biopsy pathology indicated a reproductive system origin. Subsequent <sup>18</sup>F-fluorodeoxyglucose positron emission tomography/computed tomography (<sup>18</sup>F-FDG PET/CT) revealed a hypermetabolic lesion within the gastric wall on the lesser curvature [standardized uptake value (SUV): 23.23]. Final pathology following total gastrectomy confirmed the presence of an isolated gastric metastasis tumor originating from primary endometrial endometrioid carcinoma. The patient was discharged 11 days postsurgery and exhibited no signs of recurrence or metastasis during a 3-month postoperative follow-up.</p><p><strong>Conclusions: </strong>Early diagnosis and treatment are paramount for identifying metastatic gastric lesions. If surgery is feasible and safe, cytoreductive surgery followed by adjuvant chemotherapy represents an effective and widely endorsed treatment approach, significantly improving patient prognosis and enhancing long-term survival rates.</p>\",\"PeriodicalId\":29752,\"journal\":{\"name\":\"AME Case Reports\",\"volume\":\"9 \",\"pages\":\"58\"},\"PeriodicalIF\":0.7000,\"publicationDate\":\"2025-03-10\",\"publicationTypes\":\"Journal Article\",\"fieldsOfStudy\":null,\"isOpenAccess\":false,\"openAccessPdf\":\"https://www.ncbi.nlm.nih.gov/pmc/articles/PMC12053438/pdf/\",\"citationCount\":\"0\",\"resultStr\":null,\"platform\":\"Semanticscholar\",\"paperid\":null,\"PeriodicalName\":\"AME Case Reports\",\"FirstCategoryId\":\"1085\",\"ListUrlMain\":\"https://doi.org/10.21037/acr-24-217\",\"RegionNum\":0,\"RegionCategory\":null,\"ArticlePicture\":[],\"TitleCN\":null,\"AbstractTextCN\":null,\"PMCID\":null,\"EPubDate\":\"2025/1/1 0:00:00\",\"PubModel\":\"eCollection\",\"JCR\":\"Q3\",\"JCRName\":\"MEDICINE, GENERAL & INTERNAL\",\"Score\":null,\"Total\":0}","platform":"Semanticscholar","paperid":null,"PeriodicalName":"AME Case Reports","FirstCategoryId":"1085","ListUrlMain":"https://doi.org/10.21037/acr-24-217","RegionNum":0,"RegionCategory":null,"ArticlePicture":[],"TitleCN":null,"AbstractTextCN":null,"PMCID":null,"EPubDate":"2025/1/1 0:00:00","PubModel":"eCollection","JCR":"Q3","JCRName":"MEDICINE, GENERAL & INTERNAL","Score":null,"Total":0}
引用次数: 0

摘要

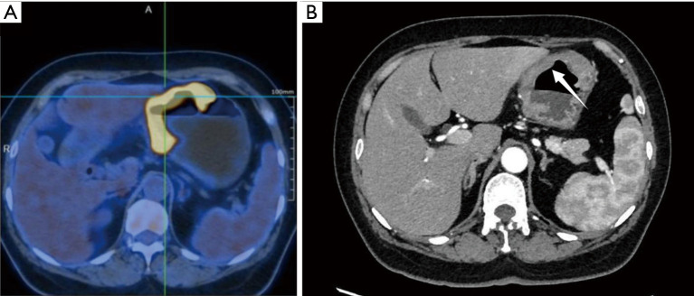
背景:子宫内膜癌发生孤立性胃实质转移而无其他复发部位是极为罕见的。本文报告一例以巨大溃疡为特征的子宫内膜样癌孤立性胃转移,并行根治性切除。此外,我们回顾了最近发表的关于起源于卵巢癌和子宫内膜癌的分离性胃转移的文献。病例描述:60岁女性,因上腹部不适伴黑黑,6年卵巢癌和子宫内膜癌病史入院。胃镜检查显示位于胃体的巨大溃疡,活检病理提示生殖系统起源。随后的18f -氟脱氧葡萄糖正电子发射断层扫描/计算机断层扫描(18F-FDG PET/CT)显示胃壁小弯处出现高代谢病变[标准化摄取值(SUV): 23.23]。全胃切除术后的最终病理证实了原发性子宫内膜样癌的孤立性胃转移瘤的存在。患者术后11天出院,术后随访3个月无复发或转移迹象。结论:早期诊断和治疗是鉴别转移性胃病变的关键。如果手术可行且安全,细胞减少手术后辅助化疗是一种有效且广泛认可的治疗方法,可显著改善患者预后并提高长期生存率。
本文章由计算机程序翻译,如有差异,请以英文原文为准。

Isolated gastric metastasis of endometrioid carcinoma: a case report and literature review.

Isolated gastric metastasis of endometrioid carcinoma: a case report and literature review.

Isolated gastric metastasis of endometrioid carcinoma: a case report and literature review.

Isolated gastric metastasis of endometrioid carcinoma: a case report and literature review.

Background: Isolated parenchymal gastric metastasis of endometrial cancer without other recurrence sites is extremely rare. This report presents a case of isolated gastric metastasis from endometrioid carcinoma characterized by a giant ulcer, which was managed with radical resection. Additionally, we review the recently published literature regarding isolated gastric metastases originating from ovarian and endometrial cancers.

Case description: A 60-year-old female was admitted with discomfort in the upper abdomen accompanied by melena and a 6-year history of ovarian and endometrial cancer. Gastroscopy revealed a giant ulcer located in the gastric body, and biopsy pathology indicated a reproductive system origin. Subsequent 18F-fluorodeoxyglucose positron emission tomography/computed tomography (18F-FDG PET/CT) revealed a hypermetabolic lesion within the gastric wall on the lesser curvature [standardized uptake value (SUV): 23.23]. Final pathology following total gastrectomy confirmed the presence of an isolated gastric metastasis tumor originating from primary endometrial endometrioid carcinoma. The patient was discharged 11 days postsurgery and exhibited no signs of recurrence or metastasis during a 3-month postoperative follow-up.

Conclusions: Early diagnosis and treatment are paramount for identifying metastatic gastric lesions. If surgery is feasible and safe, cytoreductive surgery followed by adjuvant chemotherapy represents an effective and widely endorsed treatment approach, significantly improving patient prognosis and enhancing long-term survival rates.

求助全文
通过发布文献求助,成功后即可免费获取论文全文。 去求助
来源期刊
自引率
0.00%
发文量
0
×
引用
GB/T 7714-2015
复制
MLA
复制
APA
复制
导出至
BibTeX EndNote RefMan NoteFirst NoteExpress
×
提示
您的信息不完整,为了账户安全,请先补充。
现在去补充
×
提示
您因"违规操作"
具体请查看互助需知
我知道了
×
提示
确定
请完成安全验证×
copy
已复制链接
快去分享给好友吧!
我知道了
右上角分享
点击右上角分享
0
联系我们:info@booksci.cn Book学术提供免费学术资源搜索服务,方便国内外学者检索中英文文献。致力于提供最便捷和优质的服务体验。 Copyright © 2023 布克学术 All rights reserved.
京ICP备2023020795号-1
ghs 京公网安备 11010802042870号
Book学术文献互助
Book学术文献互助群
群 号:604180095
Book学术官方微信