脾切除术后严重无形体病合并多器官功能衰竭1例。

IF 2.4 Q2 INFECTIOUS DISEASES
Nithin Karnan, Predrag Jancic, Igor Dumic, Emeka Amadi, Vishnu Kommineni, Jelena Stojsavljevic, Aryan Shiari, Melissa Hart, Ra'ed Jabr, Charles W Nordstrom
{"title":"脾切除术后严重无形体病合并多器官功能衰竭1例。","authors":"Nithin Karnan, Predrag Jancic, Igor Dumic, Emeka Amadi, Vishnu Kommineni, Jelena Stojsavljevic, Aryan Shiari, Melissa Hart, Ra'ed Jabr, Charles W Nordstrom","doi":"10.3390/idr17020038","DOIUrl":null,"url":null,"abstract":"<p><strong>Background: </strong><i>Anaplasma phagocytophilum</i> is an emerging tick-borne zoonotic pathogen that typically causes mild infections, which are often successfully managed in outpatient settings. Immunosuppression associated with splenectomy is a well-documented risk factor for severe infections from pathogens such as <i>Babesia microti</i> and encapsulated bacteria. However, splenectomy has not previously been identified as a risk factor for severe anaplasmosis.</p><p><strong>Case presentation: </strong>This report describes a rare case of severe anaplasmosis complicated by multiorgan failure in a patient who had undergone splenectomy several decades earlier. The clinical course was notable for pneumonia, acute respiratory distress syndrome, acute kidney injury, rhabdomyolysis, atrial fibrillation, and possible myocarditis. Despite the severity of the presentation, prompt initiation of doxycycline led to recovery, albeit with a significantly prolonged hospital stay.</p><p><strong>Conclusions: </strong>Patients with splenectomy might be more likely to develop a serious form of <i>Anaplasmosis</i> infection such as multiorgan failure. Clinicians in tick-borne endemic areas should be aware that non-specific symptoms can indicate anaplasmosis.</p>","PeriodicalId":13579,"journal":{"name":"Infectious Disease Reports","volume":"17 2","pages":""},"PeriodicalIF":2.4000,"publicationDate":"2025-04-21","publicationTypes":"Journal Article","fieldsOfStudy":null,"isOpenAccess":false,"openAccessPdf":"https://www.ncbi.nlm.nih.gov/pmc/articles/PMC12026683/pdf/","citationCount":"0","resultStr":"{\"title\":\"Severe Anaplasmosis with Multi-Organ Failure in a Patient with Splenectomy: A Case Report.\",\"authors\":\"Nithin Karnan, Predrag Jancic, Igor Dumic, Emeka Amadi, Vishnu Kommineni, Jelena Stojsavljevic, Aryan Shiari, Melissa Hart, Ra'ed Jabr, Charles W Nordstrom\",\"doi\":\"10.3390/idr17020038\",\"DOIUrl\":null,\"url\":null,\"abstract\":\"<p><strong>Background: </strong><i>Anaplasma phagocytophilum</i> is an emerging tick-borne zoonotic pathogen that typically causes mild infections, which are often successfully managed in outpatient settings. Immunosuppression associated with splenectomy is a well-documented risk factor for severe infections from pathogens such as <i>Babesia microti</i> and encapsulated bacteria. However, splenectomy has not previously been identified as a risk factor for severe anaplasmosis.</p><p><strong>Case presentation: </strong>This report describes a rare case of severe anaplasmosis complicated by multiorgan failure in a patient who had undergone splenectomy several decades earlier. The clinical course was notable for pneumonia, acute respiratory distress syndrome, acute kidney injury, rhabdomyolysis, atrial fibrillation, and possible myocarditis. Despite the severity of the presentation, prompt initiation of doxycycline led to recovery, albeit with a significantly prolonged hospital stay.</p><p><strong>Conclusions: </strong>Patients with splenectomy might be more likely to develop a serious form of <i>Anaplasmosis</i> infection such as multiorgan failure. Clinicians in tick-borne endemic areas should be aware that non-specific symptoms can indicate anaplasmosis.</p>\",\"PeriodicalId\":13579,\"journal\":{\"name\":\"Infectious Disease Reports\",\"volume\":\"17 2\",\"pages\":\"\"},\"PeriodicalIF\":2.4000,\"publicationDate\":\"2025-04-21\",\"publicationTypes\":\"Journal Article\",\"fieldsOfStudy\":null,\"isOpenAccess\":false,\"openAccessPdf\":\"https://www.ncbi.nlm.nih.gov/pmc/articles/PMC12026683/pdf/\",\"citationCount\":\"0\",\"resultStr\":null,\"platform\":\"Semanticscholar\",\"paperid\":null,\"PeriodicalName\":\"Infectious Disease Reports\",\"FirstCategoryId\":\"1085\",\"ListUrlMain\":\"https://doi.org/10.3390/idr17020038\",\"RegionNum\":0,\"RegionCategory\":null,\"ArticlePicture\":[],\"TitleCN\":null,\"AbstractTextCN\":null,\"PMCID\":null,\"EPubDate\":\"\",\"PubModel\":\"\",\"JCR\":\"Q2\",\"JCRName\":\"INFECTIOUS DISEASES\",\"Score\":null,\"Total\":0}","platform":"Semanticscholar","paperid":null,"PeriodicalName":"Infectious Disease Reports","FirstCategoryId":"1085","ListUrlMain":"https://doi.org/10.3390/idr17020038","RegionNum":0,"RegionCategory":null,"ArticlePicture":[],"TitleCN":null,"AbstractTextCN":null,"PMCID":null,"EPubDate":"","PubModel":"","JCR":"Q2","JCRName":"INFECTIOUS DISEASES","Score":null,"Total":0}
引用次数: 0

摘要

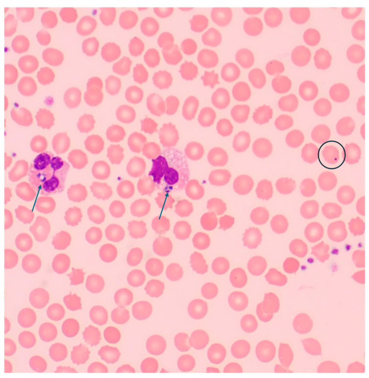
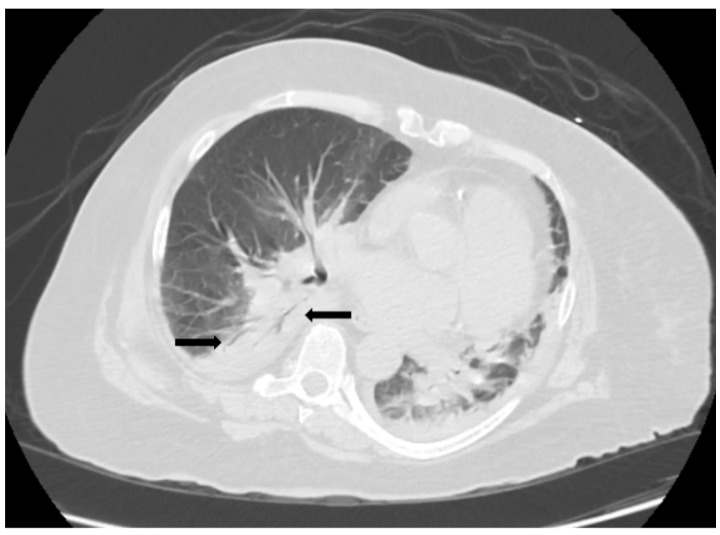
背景:嗜吞噬细胞无原体是一种新兴的蜱传人畜共患病原体,通常引起轻度感染,通常在门诊环境中成功管理。脾切除术相关的免疫抑制是由巴贝斯虫和包封细菌等病原体引起的严重感染的一个有充分证据的危险因素。然而,脾切除术以前没有被确定为严重无形体病的危险因素。病例介绍:本报告描述了一例罕见的严重无形体病合并多器官功能衰竭的病例,该患者于几十年前接受了脾切除术。临床表现为肺炎、急性呼吸窘迫综合征、急性肾损伤、横纹肌溶解、心房颤动,并可能出现心肌炎。尽管病情严重,但及时开始使用强力霉素导致康复,尽管住院时间明显延长。结论:脾切除术患者更容易发生严重的无形体病感染,如多器官功能衰竭。蜱传流行地区的临床医生应意识到,非特异性症状可能表明无形体病。
本文章由计算机程序翻译,如有差异,请以英文原文为准。

Severe Anaplasmosis with Multi-Organ Failure in a Patient with Splenectomy: A Case Report.

Severe Anaplasmosis with Multi-Organ Failure in a Patient with Splenectomy: A Case Report.

Severe Anaplasmosis with Multi-Organ Failure in a Patient with Splenectomy: A Case Report.

Severe Anaplasmosis with Multi-Organ Failure in a Patient with Splenectomy: A Case Report.

Background: Anaplasma phagocytophilum is an emerging tick-borne zoonotic pathogen that typically causes mild infections, which are often successfully managed in outpatient settings. Immunosuppression associated with splenectomy is a well-documented risk factor for severe infections from pathogens such as Babesia microti and encapsulated bacteria. However, splenectomy has not previously been identified as a risk factor for severe anaplasmosis.

Case presentation: This report describes a rare case of severe anaplasmosis complicated by multiorgan failure in a patient who had undergone splenectomy several decades earlier. The clinical course was notable for pneumonia, acute respiratory distress syndrome, acute kidney injury, rhabdomyolysis, atrial fibrillation, and possible myocarditis. Despite the severity of the presentation, prompt initiation of doxycycline led to recovery, albeit with a significantly prolonged hospital stay.

Conclusions: Patients with splenectomy might be more likely to develop a serious form of Anaplasmosis infection such as multiorgan failure. Clinicians in tick-borne endemic areas should be aware that non-specific symptoms can indicate anaplasmosis.

求助全文
通过发布文献求助,成功后即可免费获取论文全文。 去求助
来源期刊
Infectious Disease Reports
Infectious Disease Reports INFECTIOUS DISEASES-
CiteScore
5.10
自引率
0.00%
发文量
82
审稿时长
11 weeks
×
引用
GB/T 7714-2015
复制
MLA
复制
APA
复制
导出至
BibTeX EndNote RefMan NoteFirst NoteExpress
×
提示
您的信息不完整,为了账户安全,请先补充。
现在去补充
×
提示
您因"违规操作"
具体请查看互助需知
我知道了
×
提示
确定
请完成安全验证×
copy
已复制链接
快去分享给好友吧!
我知道了
右上角分享
点击右上角分享
0
联系我们:info@booksci.cn Book学术提供免费学术资源搜索服务,方便国内外学者检索中英文文献。致力于提供最便捷和优质的服务体验。 Copyright © 2023 布克学术 All rights reserved.
京ICP备2023020795号-1
ghs 京公网安备 11010802042870号
Book学术文献互助
Book学术文献互助群
群 号:604180095
Book学术官方微信