自结扎托架系统结合矫正对正畸牙齿移动率的影响:一项对照临床试验。

Q2 Dentistry
Journal of Orthodontic Science Pub Date : 2025-03-25 eCollection Date: 2025-01-01 DOI:10.4103/jos.jos_97_24
Hazem Abd Elhafeez, Mahmoud M Fathy Aboelmahasen, Mohamed Helmi Saleh, Ahmed Ahmed Hussein Alfeqy, Ahmed Mohammed Abouelnour
{"title":"自结扎托架系统结合矫正对正畸牙齿移动率的影响:一项对照临床试验。","authors":"Hazem Abd Elhafeez, Mahmoud M Fathy Aboelmahasen, Mohamed Helmi Saleh, Ahmed Ahmed Hussein Alfeqy, Ahmed Mohammed Abouelnour","doi":"10.4103/jos.jos_97_24","DOIUrl":null,"url":null,"abstract":"<p><strong>Background: </strong>The self-ligating bracket system and corticision are two methods for acceleration of orthodontic tooth movement (OTM).</p><p><strong>Objectives: </strong>The current study aimed to assess the effect of a self-ligating bracket system combined with corticision on the rate of OTM.</p><p><strong>Patients and methods: </strong>The present study was conducted on 16 female patients divided into two groups: an experimental group of eight patients treated by self-ligating bracket systems used as fixed orthodontic appliances combined with a corticision as a minimally invasive surgical technique for accelerating OTM, and a control group of eight patients treated only by self-ligating bracket systems used as fixed orthodontic appliances. The primary outcome was the percentage of change in Little's Index of Irregularity (LII). The secondary outcome was the time taken to finish the leveling and alignment stage.</p><p><strong>Results: </strong>In a comparison of the percentage of change in LII for the upper arch between the two groups, the experimental group recorded values that were significantly greater than those recorded in the control group at all time intervals T0-T7, except for T8-T10, which were similar. Both groups recorded (100 ± 0%), with no significant difference between groups (<i>P</i> = 1).</p><p><strong>Conclusion: </strong>The combination of two methods for acceleration of OTM, a self-ligating bracket system combined with corticision, accelerates the rate of OTM more than in the case of using a self-ligating bracket system only.</p>","PeriodicalId":16604,"journal":{"name":"Journal of Orthodontic Science","volume":"14 ","pages":"4"},"PeriodicalIF":0.0000,"publicationDate":"2025-03-25","publicationTypes":"Journal Article","fieldsOfStudy":null,"isOpenAccess":false,"openAccessPdf":"https://www.ncbi.nlm.nih.gov/pmc/articles/PMC12036755/pdf/","citationCount":"0","resultStr":"{\"title\":\"Effect of a self-ligating bracket system combined with corticision on the rate of orthodontic tooth movement: A controlled clinical trial.\",\"authors\":\"Hazem Abd Elhafeez, Mahmoud M Fathy Aboelmahasen, Mohamed Helmi Saleh, Ahmed Ahmed Hussein Alfeqy, Ahmed Mohammed Abouelnour\",\"doi\":\"10.4103/jos.jos_97_24\",\"DOIUrl\":null,\"url\":null,\"abstract\":\"<p><strong>Background: </strong>The self-ligating bracket system and corticision are two methods for acceleration of orthodontic tooth movement (OTM).</p><p><strong>Objectives: </strong>The current study aimed to assess the effect of a self-ligating bracket system combined with corticision on the rate of OTM.</p><p><strong>Patients and methods: </strong>The present study was conducted on 16 female patients divided into two groups: an experimental group of eight patients treated by self-ligating bracket systems used as fixed orthodontic appliances combined with a corticision as a minimally invasive surgical technique for accelerating OTM, and a control group of eight patients treated only by self-ligating bracket systems used as fixed orthodontic appliances. The primary outcome was the percentage of change in Little's Index of Irregularity (LII). The secondary outcome was the time taken to finish the leveling and alignment stage.</p><p><strong>Results: </strong>In a comparison of the percentage of change in LII for the upper arch between the two groups, the experimental group recorded values that were significantly greater than those recorded in the control group at all time intervals T0-T7, except for T8-T10, which were similar. Both groups recorded (100 ± 0%), with no significant difference between groups (<i>P</i> = 1).</p><p><strong>Conclusion: </strong>The combination of two methods for acceleration of OTM, a self-ligating bracket system combined with corticision, accelerates the rate of OTM more than in the case of using a self-ligating bracket system only.</p>\",\"PeriodicalId\":16604,\"journal\":{\"name\":\"Journal of Orthodontic Science\",\"volume\":\"14 \",\"pages\":\"4\"},\"PeriodicalIF\":0.0000,\"publicationDate\":\"2025-03-25\",\"publicationTypes\":\"Journal Article\",\"fieldsOfStudy\":null,\"isOpenAccess\":false,\"openAccessPdf\":\"https://www.ncbi.nlm.nih.gov/pmc/articles/PMC12036755/pdf/\",\"citationCount\":\"0\",\"resultStr\":null,\"platform\":\"Semanticscholar\",\"paperid\":null,\"PeriodicalName\":\"Journal of Orthodontic Science\",\"FirstCategoryId\":\"1085\",\"ListUrlMain\":\"https://doi.org/10.4103/jos.jos_97_24\",\"RegionNum\":0,\"RegionCategory\":null,\"ArticlePicture\":[],\"TitleCN\":null,\"AbstractTextCN\":null,\"PMCID\":null,\"EPubDate\":\"2025/1/1 0:00:00\",\"PubModel\":\"eCollection\",\"JCR\":\"Q2\",\"JCRName\":\"Dentistry\",\"Score\":null,\"Total\":0}","platform":"Semanticscholar","paperid":null,"PeriodicalName":"Journal of Orthodontic Science","FirstCategoryId":"1085","ListUrlMain":"https://doi.org/10.4103/jos.jos_97_24","RegionNum":0,"RegionCategory":null,"ArticlePicture":[],"TitleCN":null,"AbstractTextCN":null,"PMCID":null,"EPubDate":"2025/1/1 0:00:00","PubModel":"eCollection","JCR":"Q2","JCRName":"Dentistry","Score":null,"Total":0}
引用次数: 0

摘要

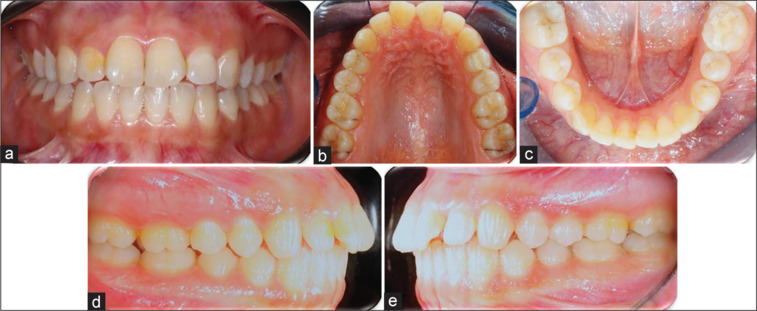
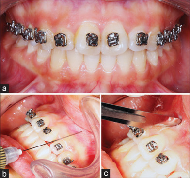
背景:自结扎托架系统和矫正是加速正畸牙齿移动的两种方法。目的:目前的研究旨在评估自结扎支架系统结合矫正对OTM率的影响。患者和方法:16例女性患者分为两组:实验组8例采用自结扎支架系统作为固定正畸器,联合皮质化作为加速OTM的微创手术技术;对照组8例仅采用自结扎支架系统作为固定正畸器。主要观察指标为利特尔不规则指数(LII)变化百分比。次要结果是完成平准阶段所需的时间。结果:比较两组间上弓LII变化百分比,除T8-T10相似外,实验组在T0-T7各时间间隔记录的数值均显著大于对照组。两组均记录(100±0%),组间差异无统计学意义(P = 1)。结论:联合使用自结扎托架系统和矫治比单独使用自结扎托架系统更能加速OTM的发生。
本文章由计算机程序翻译,如有差异,请以英文原文为准。

Effect of a self-ligating bracket system combined with corticision on the rate of orthodontic tooth movement: A controlled clinical trial.

Effect of a self-ligating bracket system combined with corticision on the rate of orthodontic tooth movement: A controlled clinical trial.

Effect of a self-ligating bracket system combined with corticision on the rate of orthodontic tooth movement: A controlled clinical trial.

Effect of a self-ligating bracket system combined with corticision on the rate of orthodontic tooth movement: A controlled clinical trial.

Background: The self-ligating bracket system and corticision are two methods for acceleration of orthodontic tooth movement (OTM).

Objectives: The current study aimed to assess the effect of a self-ligating bracket system combined with corticision on the rate of OTM.

Patients and methods: The present study was conducted on 16 female patients divided into two groups: an experimental group of eight patients treated by self-ligating bracket systems used as fixed orthodontic appliances combined with a corticision as a minimally invasive surgical technique for accelerating OTM, and a control group of eight patients treated only by self-ligating bracket systems used as fixed orthodontic appliances. The primary outcome was the percentage of change in Little's Index of Irregularity (LII). The secondary outcome was the time taken to finish the leveling and alignment stage.

Results: In a comparison of the percentage of change in LII for the upper arch between the two groups, the experimental group recorded values that were significantly greater than those recorded in the control group at all time intervals T0-T7, except for T8-T10, which were similar. Both groups recorded (100 ± 0%), with no significant difference between groups (P = 1).

Conclusion: The combination of two methods for acceleration of OTM, a self-ligating bracket system combined with corticision, accelerates the rate of OTM more than in the case of using a self-ligating bracket system only.

求助全文
通过发布文献求助,成功后即可免费获取论文全文。 去求助
来源期刊
Journal of Orthodontic Science
Journal of Orthodontic Science Dentistry-Orthodontics
CiteScore
0.90
自引率
0.00%
发文量
46
审稿时长
19 weeks
×
引用
GB/T 7714-2015
复制
MLA
复制
APA
复制
导出至
BibTeX EndNote RefMan NoteFirst NoteExpress
×
提示
您的信息不完整,为了账户安全,请先补充。
现在去补充
×
提示
您因"违规操作"
具体请查看互助需知
我知道了
×
提示
确定
请完成安全验证×
copy
已复制链接
快去分享给好友吧!
我知道了
右上角分享
点击右上角分享
0
联系我们:info@booksci.cn Book学术提供免费学术资源搜索服务,方便国内外学者检索中英文文献。致力于提供最便捷和优质的服务体验。 Copyright © 2023 布克学术 All rights reserved.
京ICP备2023020795号-1
ghs 京公网安备 11010802042870号
Book学术文献互助
Book学术文献互助群
群 号:604180095
Book学术官方微信