猫的透明化胰腺腺癌。

IF 0.7 Q3 VETERINARY SCIENCES
Journal of Feline Medicine and Surgery Open Reports Pub Date : 2025-04-16 eCollection Date: 2025-01-01 DOI:10.1177/20551169251325333
Taylor C Chan, Elisa Heacock, Ashleigh Cournoyer, Koranda Walsh, Amy C Durham
{"title":"猫的透明化胰腺腺癌。","authors":"Taylor C Chan, Elisa Heacock, Ashleigh Cournoyer, Koranda Walsh, Amy C Durham","doi":"10.1177/20551169251325333","DOIUrl":null,"url":null,"abstract":"<p><strong>Case summary: </strong>A 6-year-old female spayed domestic shorthair cat was presented for abdominal distension and weight loss. Abdominal radiographs and ultrasound revealed two cranial abdominal masses and another mass adjacent to the jejunum. Cytologic features of the cranial abdominal masses were consistent with exocrine pancreatic tissue. Four months later, a repeat abdominal ultrasound revealed progressive enlargement of the abdominal masses and medial iliac lymphadenopathy. On exploratory laparotomy, two abdominal masses were associated with the pancreas and incorporated large blood vessels supplying the liver, pancreas and spleen. The masses were non-resectable and incisional biopsies were obtained. The histologic features were diagnostic for a hyalinizing subtype of exocrine pancreatic adenocarcinoma. Chemotherapy was not pursued. Over 28 months after the initial detection of abdominal masses, the cat was still alive and reportedly doing well.</p><p><strong>Relevance and novel information: </strong>To the authors' knowledge, this is the first report of a hyalinizing subtype of pancreatic adenocarcinoma in a cat. This subtype is considered to behave less aggressively in dogs, and this case may support that a similar, more indolent behavior may be seen in cats.</p>","PeriodicalId":36588,"journal":{"name":"Journal of Feline Medicine and Surgery Open Reports","volume":"11 1","pages":"20551169251325333"},"PeriodicalIF":0.7000,"publicationDate":"2025-04-16","publicationTypes":"Journal Article","fieldsOfStudy":null,"isOpenAccess":false,"openAccessPdf":"https://www.ncbi.nlm.nih.gov/pmc/articles/PMC12033424/pdf/","citationCount":"0","resultStr":"{\"title\":\"Hyalinizing pancreatic adenocarcinoma in a cat.\",\"authors\":\"Taylor C Chan, Elisa Heacock, Ashleigh Cournoyer, Koranda Walsh, Amy C Durham\",\"doi\":\"10.1177/20551169251325333\",\"DOIUrl\":null,\"url\":null,\"abstract\":\"<p><strong>Case summary: </strong>A 6-year-old female spayed domestic shorthair cat was presented for abdominal distension and weight loss. Abdominal radiographs and ultrasound revealed two cranial abdominal masses and another mass adjacent to the jejunum. Cytologic features of the cranial abdominal masses were consistent with exocrine pancreatic tissue. Four months later, a repeat abdominal ultrasound revealed progressive enlargement of the abdominal masses and medial iliac lymphadenopathy. On exploratory laparotomy, two abdominal masses were associated with the pancreas and incorporated large blood vessels supplying the liver, pancreas and spleen. The masses were non-resectable and incisional biopsies were obtained. The histologic features were diagnostic for a hyalinizing subtype of exocrine pancreatic adenocarcinoma. Chemotherapy was not pursued. Over 28 months after the initial detection of abdominal masses, the cat was still alive and reportedly doing well.</p><p><strong>Relevance and novel information: </strong>To the authors' knowledge, this is the first report of a hyalinizing subtype of pancreatic adenocarcinoma in a cat. This subtype is considered to behave less aggressively in dogs, and this case may support that a similar, more indolent behavior may be seen in cats.</p>\",\"PeriodicalId\":36588,\"journal\":{\"name\":\"Journal of Feline Medicine and Surgery Open Reports\",\"volume\":\"11 1\",\"pages\":\"20551169251325333\"},\"PeriodicalIF\":0.7000,\"publicationDate\":\"2025-04-16\",\"publicationTypes\":\"Journal Article\",\"fieldsOfStudy\":null,\"isOpenAccess\":false,\"openAccessPdf\":\"https://www.ncbi.nlm.nih.gov/pmc/articles/PMC12033424/pdf/\",\"citationCount\":\"0\",\"resultStr\":null,\"platform\":\"Semanticscholar\",\"paperid\":null,\"PeriodicalName\":\"Journal of Feline Medicine and Surgery Open Reports\",\"FirstCategoryId\":\"1085\",\"ListUrlMain\":\"https://doi.org/10.1177/20551169251325333\",\"RegionNum\":0,\"RegionCategory\":null,\"ArticlePicture\":[],\"TitleCN\":null,\"AbstractTextCN\":null,\"PMCID\":null,\"EPubDate\":\"2025/1/1 0:00:00\",\"PubModel\":\"eCollection\",\"JCR\":\"Q3\",\"JCRName\":\"VETERINARY SCIENCES\",\"Score\":null,\"Total\":0}","platform":"Semanticscholar","paperid":null,"PeriodicalName":"Journal of Feline Medicine and Surgery Open Reports","FirstCategoryId":"1085","ListUrlMain":"https://doi.org/10.1177/20551169251325333","RegionNum":0,"RegionCategory":null,"ArticlePicture":[],"TitleCN":null,"AbstractTextCN":null,"PMCID":null,"EPubDate":"2025/1/1 0:00:00","PubModel":"eCollection","JCR":"Q3","JCRName":"VETERINARY SCIENCES","Score":null,"Total":0}
引用次数: 0

摘要

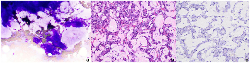
病例总结:一只6岁雌性家养短毛猫因腹胀和体重减轻而出现。腹部x光片和超声显示两个颅腹部肿块和另一个靠近空肠的肿块。颅腹部肿块的细胞学特征与外分泌胰腺组织一致。4个月后,复查腹部超声显示腹部肿块进行性增大和内侧髂淋巴结病。在剖腹探查时,两个腹部肿块与胰腺有关,并合并了供应肝脏、胰腺和脾脏的大血管。肿块不能切除,行切口活检。组织学特征可诊断为外分泌胰腺腺癌的透明化亚型。没有进行化疗。在最初发现腹部肿块后的28个多月里,这只猫还活着,据报道状况良好。相关性和新信息:据作者所知,这是猫胰腺腺癌透明化亚型的首次报道。这种亚型被认为在狗身上表现得不那么咄咄逼人,这个案例可能支持类似的,更懒惰的行为可能在猫身上看到。
本文章由计算机程序翻译,如有差异,请以英文原文为准。

Hyalinizing pancreatic adenocarcinoma in a cat.

Hyalinizing pancreatic adenocarcinoma in a cat.

Hyalinizing pancreatic adenocarcinoma in a cat.

Hyalinizing pancreatic adenocarcinoma in a cat.

Case summary: A 6-year-old female spayed domestic shorthair cat was presented for abdominal distension and weight loss. Abdominal radiographs and ultrasound revealed two cranial abdominal masses and another mass adjacent to the jejunum. Cytologic features of the cranial abdominal masses were consistent with exocrine pancreatic tissue. Four months later, a repeat abdominal ultrasound revealed progressive enlargement of the abdominal masses and medial iliac lymphadenopathy. On exploratory laparotomy, two abdominal masses were associated with the pancreas and incorporated large blood vessels supplying the liver, pancreas and spleen. The masses were non-resectable and incisional biopsies were obtained. The histologic features were diagnostic for a hyalinizing subtype of exocrine pancreatic adenocarcinoma. Chemotherapy was not pursued. Over 28 months after the initial detection of abdominal masses, the cat was still alive and reportedly doing well.

Relevance and novel information: To the authors' knowledge, this is the first report of a hyalinizing subtype of pancreatic adenocarcinoma in a cat. This subtype is considered to behave less aggressively in dogs, and this case may support that a similar, more indolent behavior may be seen in cats.

求助全文
通过发布文献求助,成功后即可免费获取论文全文。 去求助
来源期刊
CiteScore
1.30
自引率
14.30%
发文量
57
审稿时长
15 weeks
×
引用
GB/T 7714-2015
复制
MLA
复制
APA
复制
导出至
BibTeX EndNote RefMan NoteFirst NoteExpress
×
提示
您的信息不完整,为了账户安全,请先补充。
现在去补充
×
提示
您因"违规操作"
具体请查看互助需知
我知道了
×
提示
确定
请完成安全验证×
copy
已复制链接
快去分享给好友吧!
我知道了
右上角分享
点击右上角分享
0
联系我们:info@booksci.cn Book学术提供免费学术资源搜索服务,方便国内外学者检索中英文文献。致力于提供最便捷和优质的服务体验。 Copyright © 2023 布克学术 All rights reserved.
京ICP备2023020795号-1
ghs 京公网安备 11010802042870号
Book学术文献互助
Book学术文献互助群
群 号:604180095
Book学术官方微信