猫淋巴结t区淋巴瘤的临床病理特征和临床转归。

IF 0.7 Q3 VETERINARY SCIENCES
Journal of Feline Medicine and Surgery Open Reports Pub Date : 2025-04-18 eCollection Date: 2025-01-01 DOI:10.1177/20551169251329189
Amanda K Midkiff, Matthew R Cook, William Vernau, Brian D Husbands
{"title":"猫淋巴结t区淋巴瘤的临床病理特征和临床转归。","authors":"Amanda K Midkiff, Matthew R Cook, William Vernau, Brian D Husbands","doi":"10.1177/20551169251329189","DOIUrl":null,"url":null,"abstract":"<p><strong>Case summary: </strong>An 11-year-old male castrated domestic shorthair cat presented with increased respiratory effort, pleural effusion, lymphadenopathy, lethargy and decreased appetite with weight loss. A diagnosis of T-zone lymphoma was made from histopathology of an extirpated popliteal lymph node that had a marked paracortical expansion of small lymphocytes and prominent high endothelial venule proliferation. T-cell receptor gamma (TRG) molecular clonality PCR yielded a clonal rearrangement and immunohistochemistry demonstrated that the neoplastic lymphocytes expressed CD3 and did not express CD20. The cat was initially treated with two doses of intravenous vincristine and oral prednisolone followed by oral chlorambucil. The pleural effusion, lymphadenopathy, lymphocytosis, abdominal organomegaly and lethargy resolved, and the cat's appetite and body weight returned to normal. At the time of manuscript submission, the cat continued to do well, more than 24 months after presentation.</p><p><strong>Relevance and novel information: </strong>T-zone lymphoma is a common indolent lymphoma in dogs, but it has only been histopathologically described in one cat before this report. This is the first report to describe the clinical presentation, clinicopathologic findings and outcome for a cat with T-zone lymphoma.</p>","PeriodicalId":36588,"journal":{"name":"Journal of Feline Medicine and Surgery Open Reports","volume":"11 1","pages":"20551169251329189"},"PeriodicalIF":0.7000,"publicationDate":"2025-04-18","publicationTypes":"Journal Article","fieldsOfStudy":null,"isOpenAccess":false,"openAccessPdf":"https://www.ncbi.nlm.nih.gov/pmc/articles/PMC12033875/pdf/","citationCount":"0","resultStr":"{\"title\":\"Clinicopathologic features and clinical outcome in a cat with nodal T-zone lymphoma.\",\"authors\":\"Amanda K Midkiff, Matthew R Cook, William Vernau, Brian D Husbands\",\"doi\":\"10.1177/20551169251329189\",\"DOIUrl\":null,\"url\":null,\"abstract\":\"<p><strong>Case summary: </strong>An 11-year-old male castrated domestic shorthair cat presented with increased respiratory effort, pleural effusion, lymphadenopathy, lethargy and decreased appetite with weight loss. A diagnosis of T-zone lymphoma was made from histopathology of an extirpated popliteal lymph node that had a marked paracortical expansion of small lymphocytes and prominent high endothelial venule proliferation. T-cell receptor gamma (TRG) molecular clonality PCR yielded a clonal rearrangement and immunohistochemistry demonstrated that the neoplastic lymphocytes expressed CD3 and did not express CD20. The cat was initially treated with two doses of intravenous vincristine and oral prednisolone followed by oral chlorambucil. The pleural effusion, lymphadenopathy, lymphocytosis, abdominal organomegaly and lethargy resolved, and the cat's appetite and body weight returned to normal. At the time of manuscript submission, the cat continued to do well, more than 24 months after presentation.</p><p><strong>Relevance and novel information: </strong>T-zone lymphoma is a common indolent lymphoma in dogs, but it has only been histopathologically described in one cat before this report. This is the first report to describe the clinical presentation, clinicopathologic findings and outcome for a cat with T-zone lymphoma.</p>\",\"PeriodicalId\":36588,\"journal\":{\"name\":\"Journal of Feline Medicine and Surgery Open Reports\",\"volume\":\"11 1\",\"pages\":\"20551169251329189\"},\"PeriodicalIF\":0.7000,\"publicationDate\":\"2025-04-18\",\"publicationTypes\":\"Journal Article\",\"fieldsOfStudy\":null,\"isOpenAccess\":false,\"openAccessPdf\":\"https://www.ncbi.nlm.nih.gov/pmc/articles/PMC12033875/pdf/\",\"citationCount\":\"0\",\"resultStr\":null,\"platform\":\"Semanticscholar\",\"paperid\":null,\"PeriodicalName\":\"Journal of Feline Medicine and Surgery Open Reports\",\"FirstCategoryId\":\"1085\",\"ListUrlMain\":\"https://doi.org/10.1177/20551169251329189\",\"RegionNum\":0,\"RegionCategory\":null,\"ArticlePicture\":[],\"TitleCN\":null,\"AbstractTextCN\":null,\"PMCID\":null,\"EPubDate\":\"2025/1/1 0:00:00\",\"PubModel\":\"eCollection\",\"JCR\":\"Q3\",\"JCRName\":\"VETERINARY SCIENCES\",\"Score\":null,\"Total\":0}","platform":"Semanticscholar","paperid":null,"PeriodicalName":"Journal of Feline Medicine and Surgery Open Reports","FirstCategoryId":"1085","ListUrlMain":"https://doi.org/10.1177/20551169251329189","RegionNum":0,"RegionCategory":null,"ArticlePicture":[],"TitleCN":null,"AbstractTextCN":null,"PMCID":null,"EPubDate":"2025/1/1 0:00:00","PubModel":"eCollection","JCR":"Q3","JCRName":"VETERINARY SCIENCES","Score":null,"Total":0}
引用次数: 0

摘要

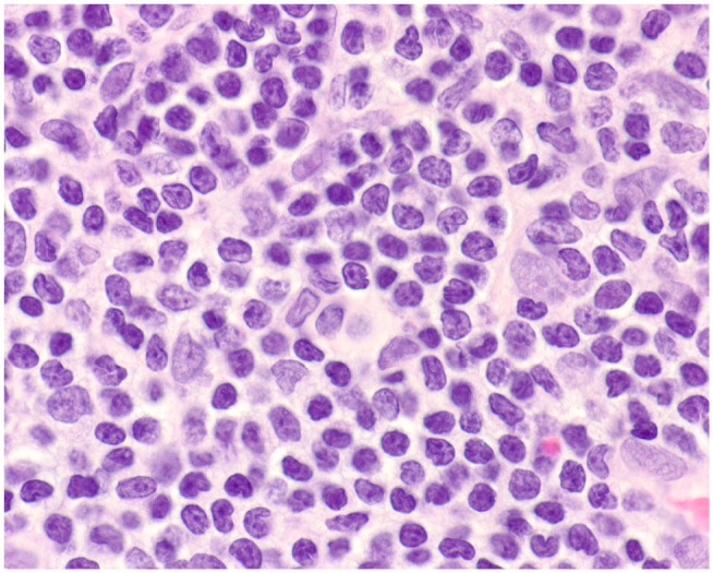
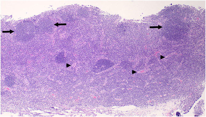
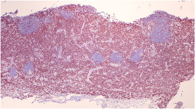
病例总结:一只11岁雄性阉割家养短毛猫,表现为呼吸困难、胸腔积液、淋巴结病、嗜睡和食欲下降并体重减轻。从组织病理学上诊断为t区淋巴瘤,切除腘窝淋巴结,有明显的皮质旁小淋巴细胞扩张和明显的高内皮小静脉增生。t细胞受体γ (TRG)分子克隆PCR显示克隆重排,免疫组化显示肿瘤淋巴细胞表达CD3而不表达CD20。猫最初接受两剂静脉注射长春新碱和口服强的松龙,随后口服氯苯。胸腔积液、淋巴结病、淋巴细胞增多、腹部脏器肿大、嗜睡等症状消失,猫的食欲和体重恢复正常。在提交论文时,猫在发表后的24个多月里继续表现良好。相关性和新信息:t区淋巴瘤是犬中常见的一种惰性淋巴瘤,但在此报告之前,仅在一只猫中进行过组织病理学描述。这是第一个报告描述临床表现,临床病理结果和结果的猫与t区淋巴瘤。
本文章由计算机程序翻译,如有差异,请以英文原文为准。

Clinicopathologic features and clinical outcome in a cat with nodal T-zone lymphoma.

Clinicopathologic features and clinical outcome in a cat with nodal T-zone lymphoma.

Clinicopathologic features and clinical outcome in a cat with nodal T-zone lymphoma.

Clinicopathologic features and clinical outcome in a cat with nodal T-zone lymphoma.

Case summary: An 11-year-old male castrated domestic shorthair cat presented with increased respiratory effort, pleural effusion, lymphadenopathy, lethargy and decreased appetite with weight loss. A diagnosis of T-zone lymphoma was made from histopathology of an extirpated popliteal lymph node that had a marked paracortical expansion of small lymphocytes and prominent high endothelial venule proliferation. T-cell receptor gamma (TRG) molecular clonality PCR yielded a clonal rearrangement and immunohistochemistry demonstrated that the neoplastic lymphocytes expressed CD3 and did not express CD20. The cat was initially treated with two doses of intravenous vincristine and oral prednisolone followed by oral chlorambucil. The pleural effusion, lymphadenopathy, lymphocytosis, abdominal organomegaly and lethargy resolved, and the cat's appetite and body weight returned to normal. At the time of manuscript submission, the cat continued to do well, more than 24 months after presentation.

Relevance and novel information: T-zone lymphoma is a common indolent lymphoma in dogs, but it has only been histopathologically described in one cat before this report. This is the first report to describe the clinical presentation, clinicopathologic findings and outcome for a cat with T-zone lymphoma.

求助全文
通过发布文献求助,成功后即可免费获取论文全文。 去求助
来源期刊
CiteScore
1.30
自引率
14.30%
发文量
57
审稿时长
15 weeks
×
引用
GB/T 7714-2015
复制
MLA
复制
APA
复制
导出至
BibTeX EndNote RefMan NoteFirst NoteExpress
×
提示
您的信息不完整,为了账户安全,请先补充。
现在去补充
×
提示
您因"违规操作"
具体请查看互助需知
我知道了
×
提示
确定
请完成安全验证×
copy
已复制链接
快去分享给好友吧!
我知道了
右上角分享
点击右上角分享
0
联系我们:info@booksci.cn Book学术提供免费学术资源搜索服务,方便国内外学者检索中英文文献。致力于提供最便捷和优质的服务体验。 Copyright © 2023 布克学术 All rights reserved.
京ICP备2023020795号-1
ghs 京公网安备 11010802042870号
Book学术文献互助
Book学术文献互助群
群 号:604180095
Book学术官方微信