对铂类化疗敏感和耐药上皮性卵巢癌(EOC)患者PD-L1、cr -1、VEGF和p53表达的比较

Narra J Pub Date : 2025-04-01 Epub Date: 2025-01-06 DOI:10.52225/narra.v5i1.1419
Primandono Perbowo, Brahmana A Tjokroprawiro, Aryati Aryati, Etty H Kusumastuti, Grace Ariani
{"title":"对铂类化疗敏感和耐药上皮性卵巢癌(EOC)患者PD-L1、cr -1、VEGF和p53表达的比较","authors":"Primandono Perbowo, Brahmana A Tjokroprawiro, Aryati Aryati, Etty H Kusumastuti, Grace Ariani","doi":"10.52225/narra.v5i1.1419","DOIUrl":null,"url":null,"abstract":"<p><p>The current standard treatment for ovarian cancer is a combination of cytoreductive surgery and platinum-based chemotherapy; however, many patients develop resistance, leading to a high recurrence rate. The aim of this study was to analyze the expression of PD-L1, CTR-1, VEGF, and p53 in epithelial ovarian cancer (EOC) patients, comparing those sensitive and resistant to platinum-based chemotherapy. A cross-sectional study was conducted among EOC patients who underwent surgery and platinum-based chemotherapy between 2020 and 2023 at Dr. Soetomo General Academic Hospital, Surabaya, Indonesia, with evaluations performed six months post-chemotherapy. The expression of PD-L1, CTR-1, VEGF, and p53 were measured using immunohistochemistry (IHC) and compared between chemotherapy-sensitive and resistant patients. A total of 65 patients were included: 31 resistant and 34 sensitive cases. The results showed higher PD- L1 expression in the resistant group compared to the sensitive group (mean combined positive score (CPS) of 0.46 ± 0.29 vs 0.17 ± 0.09, <i>p</i> < 0.00i). The CTR-1 expression was lower in the resistant group (immunoreactive score 2.90 ± 1.30) compared to the sensitive group (immunoreactive score 6.82 ± 2.68) with <i>p</i> < 0.001. VEGF and p53 expression were also higher in the resistant group (6.68 ± 2.59 vs 2.76 ± 1.10 and 64.68 ± 13.54% vs 30.15 ± 13.06%, respectively) compared to the sensitive group, with both having <i>p</i> < 0.001. The study suggests that increased expression of PD-L1, VEGF, and p53 and decreased CTR-1 expression are associated with platinum-based chemotherapy resistance among EOC patients. Therefore, these biomarkers might have the potential for predicting treatment responses and understanding resistance mechanisms.</p>","PeriodicalId":517416,"journal":{"name":"Narra J","volume":"5 1","pages":"e1419"},"PeriodicalIF":0.0000,"publicationDate":"2025-04-01","publicationTypes":"Journal Article","fieldsOfStudy":null,"isOpenAccess":false,"openAccessPdf":"https://www.ncbi.nlm.nih.gov/pmc/articles/PMC12059879/pdf/","citationCount":"0","resultStr":"{\"title\":\"Comparison of PD-L1, CTR-1, VEGF, and p53 expression in sensitive and resistant epithelial ovarian cancer (EOC) patients to platinum-based chemotherapy.\",\"authors\":\"Primandono Perbowo, Brahmana A Tjokroprawiro, Aryati Aryati, Etty H Kusumastuti, Grace Ariani\",\"doi\":\"10.52225/narra.v5i1.1419\",\"DOIUrl\":null,\"url\":null,\"abstract\":\"<p><p>The current standard treatment for ovarian cancer is a combination of cytoreductive surgery and platinum-based chemotherapy; however, many patients develop resistance, leading to a high recurrence rate. The aim of this study was to analyze the expression of PD-L1, CTR-1, VEGF, and p53 in epithelial ovarian cancer (EOC) patients, comparing those sensitive and resistant to platinum-based chemotherapy. A cross-sectional study was conducted among EOC patients who underwent surgery and platinum-based chemotherapy between 2020 and 2023 at Dr. Soetomo General Academic Hospital, Surabaya, Indonesia, with evaluations performed six months post-chemotherapy. The expression of PD-L1, CTR-1, VEGF, and p53 were measured using immunohistochemistry (IHC) and compared between chemotherapy-sensitive and resistant patients. A total of 65 patients were included: 31 resistant and 34 sensitive cases. The results showed higher PD- L1 expression in the resistant group compared to the sensitive group (mean combined positive score (CPS) of 0.46 ± 0.29 vs 0.17 ± 0.09, <i>p</i> < 0.00i). The CTR-1 expression was lower in the resistant group (immunoreactive score 2.90 ± 1.30) compared to the sensitive group (immunoreactive score 6.82 ± 2.68) with <i>p</i> < 0.001. VEGF and p53 expression were also higher in the resistant group (6.68 ± 2.59 vs 2.76 ± 1.10 and 64.68 ± 13.54% vs 30.15 ± 13.06%, respectively) compared to the sensitive group, with both having <i>p</i> < 0.001. The study suggests that increased expression of PD-L1, VEGF, and p53 and decreased CTR-1 expression are associated with platinum-based chemotherapy resistance among EOC patients. Therefore, these biomarkers might have the potential for predicting treatment responses and understanding resistance mechanisms.</p>\",\"PeriodicalId\":517416,\"journal\":{\"name\":\"Narra J\",\"volume\":\"5 1\",\"pages\":\"e1419\"},\"PeriodicalIF\":0.0000,\"publicationDate\":\"2025-04-01\",\"publicationTypes\":\"Journal Article\",\"fieldsOfStudy\":null,\"isOpenAccess\":false,\"openAccessPdf\":\"https://www.ncbi.nlm.nih.gov/pmc/articles/PMC12059879/pdf/\",\"citationCount\":\"0\",\"resultStr\":null,\"platform\":\"Semanticscholar\",\"paperid\":null,\"PeriodicalName\":\"Narra J\",\"FirstCategoryId\":\"1085\",\"ListUrlMain\":\"https://doi.org/10.52225/narra.v5i1.1419\",\"RegionNum\":0,\"RegionCategory\":null,\"ArticlePicture\":[],\"TitleCN\":null,\"AbstractTextCN\":null,\"PMCID\":null,\"EPubDate\":\"2025/1/6 0:00:00\",\"PubModel\":\"Epub\",\"JCR\":\"\",\"JCRName\":\"\",\"Score\":null,\"Total\":0}","platform":"Semanticscholar","paperid":null,"PeriodicalName":"Narra J","FirstCategoryId":"1085","ListUrlMain":"https://doi.org/10.52225/narra.v5i1.1419","RegionNum":0,"RegionCategory":null,"ArticlePicture":[],"TitleCN":null,"AbstractTextCN":null,"PMCID":null,"EPubDate":"2025/1/6 0:00:00","PubModel":"Epub","JCR":"","JCRName":"","Score":null,"Total":0}
引用次数: 0

摘要

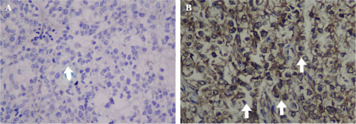
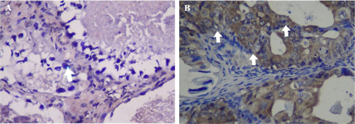
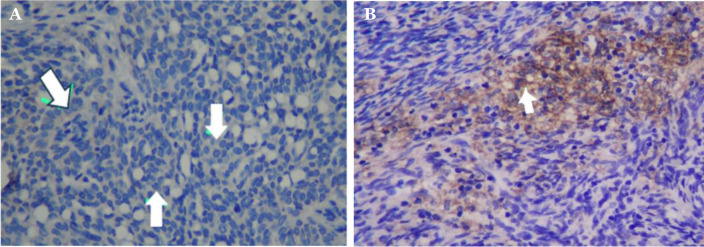
目前卵巢癌的标准治疗是细胞减少手术和铂基化疗的结合;然而,许多患者产生耐药性,导致高复发率。本研究旨在分析上皮性卵巢癌(EOC)患者中PD-L1、cr -1、VEGF和p53的表达,比较其对铂类化疗的敏感和耐药情况。在印度尼西亚泗水Dr. Soetomo综合学术医院,对2020年至2023年期间接受手术和铂类化疗的EOC患者进行了一项横断面研究,并在化疗后6个月进行了评估。采用免疫组化(IHC)检测PD-L1、cr -1、VEGF和p53的表达,并比较化疗敏感患者和化疗耐药患者的差异。共纳入65例患者:耐药31例,敏感34例。结果显示,耐药组PD- L1表达高于敏感组(平均联合阳性评分(CPS)为0.46±0.29 vs 0.17±0.09,p p p p
本文章由计算机程序翻译,如有差异,请以英文原文为准。

Comparison of PD-L1, CTR-1, VEGF, and p53 expression in sensitive and resistant epithelial ovarian cancer (EOC) patients to platinum-based chemotherapy.

Comparison of PD-L1, CTR-1, VEGF, and p53 expression in sensitive and resistant epithelial ovarian cancer (EOC) patients to platinum-based chemotherapy.

Comparison of PD-L1, CTR-1, VEGF, and p53 expression in sensitive and resistant epithelial ovarian cancer (EOC) patients to platinum-based chemotherapy.

Comparison of PD-L1, CTR-1, VEGF, and p53 expression in sensitive and resistant epithelial ovarian cancer (EOC) patients to platinum-based chemotherapy.

The current standard treatment for ovarian cancer is a combination of cytoreductive surgery and platinum-based chemotherapy; however, many patients develop resistance, leading to a high recurrence rate. The aim of this study was to analyze the expression of PD-L1, CTR-1, VEGF, and p53 in epithelial ovarian cancer (EOC) patients, comparing those sensitive and resistant to platinum-based chemotherapy. A cross-sectional study was conducted among EOC patients who underwent surgery and platinum-based chemotherapy between 2020 and 2023 at Dr. Soetomo General Academic Hospital, Surabaya, Indonesia, with evaluations performed six months post-chemotherapy. The expression of PD-L1, CTR-1, VEGF, and p53 were measured using immunohistochemistry (IHC) and compared between chemotherapy-sensitive and resistant patients. A total of 65 patients were included: 31 resistant and 34 sensitive cases. The results showed higher PD- L1 expression in the resistant group compared to the sensitive group (mean combined positive score (CPS) of 0.46 ± 0.29 vs 0.17 ± 0.09, p < 0.00i). The CTR-1 expression was lower in the resistant group (immunoreactive score 2.90 ± 1.30) compared to the sensitive group (immunoreactive score 6.82 ± 2.68) with p < 0.001. VEGF and p53 expression were also higher in the resistant group (6.68 ± 2.59 vs 2.76 ± 1.10 and 64.68 ± 13.54% vs 30.15 ± 13.06%, respectively) compared to the sensitive group, with both having p < 0.001. The study suggests that increased expression of PD-L1, VEGF, and p53 and decreased CTR-1 expression are associated with platinum-based chemotherapy resistance among EOC patients. Therefore, these biomarkers might have the potential for predicting treatment responses and understanding resistance mechanisms.

求助全文
通过发布文献求助,成功后即可免费获取论文全文。 去求助
来源期刊
CiteScore
3.90
自引率
0.00%
发文量
0
×
引用
GB/T 7714-2015
复制
MLA
复制
APA
复制
导出至
BibTeX EndNote RefMan NoteFirst NoteExpress
×
提示
您的信息不完整,为了账户安全,请先补充。
现在去补充
×
提示
您因"违规操作"
具体请查看互助需知
我知道了
×
提示
确定
请完成安全验证×
copy
已复制链接
快去分享给好友吧!
我知道了
右上角分享
点击右上角分享
0
联系我们:info@booksci.cn Book学术提供免费学术资源搜索服务,方便国内外学者检索中英文文献。致力于提供最便捷和优质的服务体验。 Copyright © 2023 布克学术 All rights reserved.
京ICP备2023020795号-1
ghs 京公网安备 11010802042870号
Book学术文献互助
Book学术文献互助群
群 号:604180095
Book学术官方微信