猫三房心险恶伴部分房室间隔缺损。

IF 0.8 4区 农林科学 Q3 VETERINARY SCIENCES
Veterinarni Medicina Pub Date : 2025-03-24 eCollection Date: 2025-03-01 DOI:10.17221/91/2024-VETMED
Woohyun Go, Wonkyu Park, Gunha Hwang, Soyon An, Hee Chun Lee, Tae Sung Hwang
{"title":"猫三房心险恶伴部分房室间隔缺损。","authors":"Woohyun Go, Wonkyu Park, Gunha Hwang, Soyon An, Hee Chun Lee, Tae Sung Hwang","doi":"10.17221/91/2024-VETMED","DOIUrl":null,"url":null,"abstract":"<p><p>A 6-year-old female neutered Turkish Angora cat was referred due to tachypnoea. The patient was diagnosed with cardiomegaly at a local hospital during a health screening two years ago. Tachypnoea occurred one year ago. On physical examination, the patient presented with a respiratory rate of 72 breaths per minute and a systolic blood pressure of 70 mmHg. Thoracic radiographs revealed severe cardiomegaly, left atrium (LA) enlargement, right atrium (RA) enlargement, right ventricular enlargement, and dilation of pulmonary arteries and veins. An alveolar pattern was identified in the right and left cranial lung lobes. Echocardiography revealed a membrane that divided the LA into two chambers, a defect in the lower atrial septum, and elongation of anterior or posterior tricuspid valves (TV). However, septal TV was not observed. During systole, blood flow from LA to RA was confirmed through a defect in the atrial septum. During diastole, blood flow from LA to left ventricular was confirmed. These findings suggest cor triatriatum sinister (CTS) with partial atrioventricular septal defect (AVSD). This report describes echocardiographic diagnosis of CTS with partial AVSD in a cat.</p>","PeriodicalId":23532,"journal":{"name":"Veterinarni Medicina","volume":"70 3","pages":"110-115"},"PeriodicalIF":0.8000,"publicationDate":"2025-03-24","publicationTypes":"Journal Article","fieldsOfStudy":null,"isOpenAccess":false,"openAccessPdf":"https://www.ncbi.nlm.nih.gov/pmc/articles/PMC12001872/pdf/","citationCount":"0","resultStr":"{\"title\":\"Cor triatriatum sinister with partial atrioventricular septal defect in a cat.\",\"authors\":\"Woohyun Go, Wonkyu Park, Gunha Hwang, Soyon An, Hee Chun Lee, Tae Sung Hwang\",\"doi\":\"10.17221/91/2024-VETMED\",\"DOIUrl\":null,\"url\":null,\"abstract\":\"<p><p>A 6-year-old female neutered Turkish Angora cat was referred due to tachypnoea. The patient was diagnosed with cardiomegaly at a local hospital during a health screening two years ago. Tachypnoea occurred one year ago. On physical examination, the patient presented with a respiratory rate of 72 breaths per minute and a systolic blood pressure of 70 mmHg. Thoracic radiographs revealed severe cardiomegaly, left atrium (LA) enlargement, right atrium (RA) enlargement, right ventricular enlargement, and dilation of pulmonary arteries and veins. An alveolar pattern was identified in the right and left cranial lung lobes. Echocardiography revealed a membrane that divided the LA into two chambers, a defect in the lower atrial septum, and elongation of anterior or posterior tricuspid valves (TV). However, septal TV was not observed. During systole, blood flow from LA to RA was confirmed through a defect in the atrial septum. During diastole, blood flow from LA to left ventricular was confirmed. These findings suggest cor triatriatum sinister (CTS) with partial atrioventricular septal defect (AVSD). This report describes echocardiographic diagnosis of CTS with partial AVSD in a cat.</p>\",\"PeriodicalId\":23532,\"journal\":{\"name\":\"Veterinarni Medicina\",\"volume\":\"70 3\",\"pages\":\"110-115\"},\"PeriodicalIF\":0.8000,\"publicationDate\":\"2025-03-24\",\"publicationTypes\":\"Journal Article\",\"fieldsOfStudy\":null,\"isOpenAccess\":false,\"openAccessPdf\":\"https://www.ncbi.nlm.nih.gov/pmc/articles/PMC12001872/pdf/\",\"citationCount\":\"0\",\"resultStr\":null,\"platform\":\"Semanticscholar\",\"paperid\":null,\"PeriodicalName\":\"Veterinarni Medicina\",\"FirstCategoryId\":\"97\",\"ListUrlMain\":\"https://doi.org/10.17221/91/2024-VETMED\",\"RegionNum\":4,\"RegionCategory\":\"农林科学\",\"ArticlePicture\":[],\"TitleCN\":null,\"AbstractTextCN\":null,\"PMCID\":null,\"EPubDate\":\"2025/3/1 0:00:00\",\"PubModel\":\"eCollection\",\"JCR\":\"Q3\",\"JCRName\":\"VETERINARY SCIENCES\",\"Score\":null,\"Total\":0}","platform":"Semanticscholar","paperid":null,"PeriodicalName":"Veterinarni Medicina","FirstCategoryId":"97","ListUrlMain":"https://doi.org/10.17221/91/2024-VETMED","RegionNum":4,"RegionCategory":"农林科学","ArticlePicture":[],"TitleCN":null,"AbstractTextCN":null,"PMCID":null,"EPubDate":"2025/3/1 0:00:00","PubModel":"eCollection","JCR":"Q3","JCRName":"VETERINARY SCIENCES","Score":null,"Total":0}
引用次数: 0

摘要

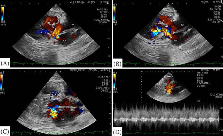
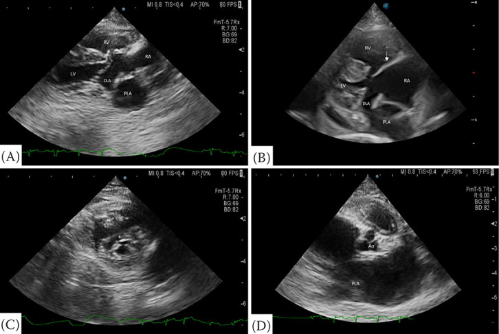
一只6岁的雌性绝育土耳其安哥拉猫因呼吸急促而被转诊。该患者两年前在当地医院进行健康检查时被诊断为心脏肥大。呼吸急促发生在一年前。体格检查时,患者呼吸频率为每分钟72次,收缩压为70 mmHg。胸片显示严重的心脏肥大,左心房(LA)增大,右心房(RA)增大,右心室增大,肺动脉和肺静脉扩张。在右、左颅肺叶可见肺泡型。超声心动图显示一层膜将左心室分为两个腔室,下房间隔缺损,前或后三尖瓣(TV)伸长。然而,没有观察到间隔电视。在心脏收缩期,经房间隔缺损证实血流量从左心房流向右心房。舒张期,血流量从左室到左室被证实。这些结果提示心房三房性心绞痛(CTS)合并部分房室间隔缺损(AVSD)。本报告描述了超声心动图诊断CTS合并部分AVSD的猫。
本文章由计算机程序翻译,如有差异,请以英文原文为准。

Cor triatriatum sinister with partial atrioventricular septal defect in a cat.

Cor triatriatum sinister with partial atrioventricular septal defect in a cat.

Cor triatriatum sinister with partial atrioventricular septal defect in a cat.

Cor triatriatum sinister with partial atrioventricular septal defect in a cat.

A 6-year-old female neutered Turkish Angora cat was referred due to tachypnoea. The patient was diagnosed with cardiomegaly at a local hospital during a health screening two years ago. Tachypnoea occurred one year ago. On physical examination, the patient presented with a respiratory rate of 72 breaths per minute and a systolic blood pressure of 70 mmHg. Thoracic radiographs revealed severe cardiomegaly, left atrium (LA) enlargement, right atrium (RA) enlargement, right ventricular enlargement, and dilation of pulmonary arteries and veins. An alveolar pattern was identified in the right and left cranial lung lobes. Echocardiography revealed a membrane that divided the LA into two chambers, a defect in the lower atrial septum, and elongation of anterior or posterior tricuspid valves (TV). However, septal TV was not observed. During systole, blood flow from LA to RA was confirmed through a defect in the atrial septum. During diastole, blood flow from LA to left ventricular was confirmed. These findings suggest cor triatriatum sinister (CTS) with partial atrioventricular septal defect (AVSD). This report describes echocardiographic diagnosis of CTS with partial AVSD in a cat.

求助全文
通过发布文献求助,成功后即可免费获取论文全文。 去求助
来源期刊
Veterinarni Medicina
Veterinarni Medicina Veterinary Sciences-兽医学
CiteScore
1.30
自引率
0.00%
发文量
62
审稿时长
18-36 weeks
期刊介绍: The journal Veterinarni Medicina publishes in English original papers, short communications, critical reviews and case reports from all fields of veterinary and biomedical sciences.
×
引用
GB/T 7714-2015
复制
MLA
复制
APA
复制
导出至
BibTeX EndNote RefMan NoteFirst NoteExpress
×
提示
您的信息不完整,为了账户安全,请先补充。
现在去补充
×
提示
您因"违规操作"
具体请查看互助需知
我知道了
×
提示
确定
请完成安全验证×
copy
已复制链接
快去分享给好友吧!
我知道了
右上角分享
点击右上角分享
0
联系我们:info@booksci.cn Book学术提供免费学术资源搜索服务,方便国内外学者检索中英文文献。致力于提供最便捷和优质的服务体验。 Copyright © 2023 布克学术 All rights reserved.
京ICP备2023020795号-1
ghs 京公网安备 11010802042870号
Book学术文献互助
Book学术文献互助群
群 号:604180095
Book学术官方微信