14岁男孩腹膜良性囊性间皮瘤发生于大网膜。

IF 0.7 Q4 SURGERY
Surgical Case Reports Pub Date : 2025-01-01 Epub Date: 2025-05-01 DOI:10.70352/scrj.cr.24-0085
Yutaka Hirayama, Naruki Higashidate, Kengo Nakaya, Yasushi Iinuma
{"title":"14岁男孩腹膜良性囊性间皮瘤发生于大网膜。","authors":"Yutaka Hirayama, Naruki Higashidate, Kengo Nakaya, Yasushi Iinuma","doi":"10.70352/scrj.cr.24-0085","DOIUrl":null,"url":null,"abstract":"<p><strong>Introduction: </strong>Mesothelioma arises from mesothelial cells. This tumor is very rare among pediatric abdominal neoplasms. We herein report an extremely rare case of acute abdomen with cystic mesothelioma of the peritoneum in a child.</p><p><strong>Case presentation: </strong>A 14-year-old boy was referred to our hospital for emergency surgery. Surgery revealed a primary tumor arising from the greater omentum. The tumor was macroscopically diagnosed as a benign omental lymphangioma and was resected en bloc with the greater omentum. A histopathological examination of the tumor revealed a simple columnar epithelium-like mesothelioma with poor cell-atypia. Immunohistochemical examination showed antibody reactivity in the cyst epithelium, including an anti-calretinin antibody. The final pathological diagnosis was a mesothelioma originating from the peritoneum.</p><p><strong>Conclusions: </strong>In pediatric cases diagnosed with cystic lymphatic malformation, the possibility of peritoneal mesothelioma needs to be considered and carefully confirmed or ruled out.</p>","PeriodicalId":22096,"journal":{"name":"Surgical Case Reports","volume":"11 1","pages":""},"PeriodicalIF":0.7000,"publicationDate":"2025-01-01","publicationTypes":"Journal Article","fieldsOfStudy":null,"isOpenAccess":false,"openAccessPdf":"https://www.ncbi.nlm.nih.gov/pmc/articles/PMC12055440/pdf/","citationCount":"0","resultStr":"{\"title\":\"Benign Cystic Mesothelioma of the Peritoneum Arising at the Greater Omentum in a 14-Year-Old Boy.\",\"authors\":\"Yutaka Hirayama, Naruki Higashidate, Kengo Nakaya, Yasushi Iinuma\",\"doi\":\"10.70352/scrj.cr.24-0085\",\"DOIUrl\":null,\"url\":null,\"abstract\":\"<p><strong>Introduction: </strong>Mesothelioma arises from mesothelial cells. This tumor is very rare among pediatric abdominal neoplasms. We herein report an extremely rare case of acute abdomen with cystic mesothelioma of the peritoneum in a child.</p><p><strong>Case presentation: </strong>A 14-year-old boy was referred to our hospital for emergency surgery. Surgery revealed a primary tumor arising from the greater omentum. The tumor was macroscopically diagnosed as a benign omental lymphangioma and was resected en bloc with the greater omentum. A histopathological examination of the tumor revealed a simple columnar epithelium-like mesothelioma with poor cell-atypia. Immunohistochemical examination showed antibody reactivity in the cyst epithelium, including an anti-calretinin antibody. The final pathological diagnosis was a mesothelioma originating from the peritoneum.</p><p><strong>Conclusions: </strong>In pediatric cases diagnosed with cystic lymphatic malformation, the possibility of peritoneal mesothelioma needs to be considered and carefully confirmed or ruled out.</p>\",\"PeriodicalId\":22096,\"journal\":{\"name\":\"Surgical Case Reports\",\"volume\":\"11 1\",\"pages\":\"\"},\"PeriodicalIF\":0.7000,\"publicationDate\":\"2025-01-01\",\"publicationTypes\":\"Journal Article\",\"fieldsOfStudy\":null,\"isOpenAccess\":false,\"openAccessPdf\":\"https://www.ncbi.nlm.nih.gov/pmc/articles/PMC12055440/pdf/\",\"citationCount\":\"0\",\"resultStr\":null,\"platform\":\"Semanticscholar\",\"paperid\":null,\"PeriodicalName\":\"Surgical Case Reports\",\"FirstCategoryId\":\"1085\",\"ListUrlMain\":\"https://doi.org/10.70352/scrj.cr.24-0085\",\"RegionNum\":0,\"RegionCategory\":null,\"ArticlePicture\":[],\"TitleCN\":null,\"AbstractTextCN\":null,\"PMCID\":null,\"EPubDate\":\"2025/5/1 0:00:00\",\"PubModel\":\"Epub\",\"JCR\":\"Q4\",\"JCRName\":\"SURGERY\",\"Score\":null,\"Total\":0}","platform":"Semanticscholar","paperid":null,"PeriodicalName":"Surgical Case Reports","FirstCategoryId":"1085","ListUrlMain":"https://doi.org/10.70352/scrj.cr.24-0085","RegionNum":0,"RegionCategory":null,"ArticlePicture":[],"TitleCN":null,"AbstractTextCN":null,"PMCID":null,"EPubDate":"2025/5/1 0:00:00","PubModel":"Epub","JCR":"Q4","JCRName":"SURGERY","Score":null,"Total":0}
引用次数: 0

摘要

间皮瘤起源于间皮瘤细胞。这种肿瘤在小儿腹部肿瘤中非常罕见。我们在此报告一例极为罕见的儿童腹膜囊性间皮瘤急腹症。病例介绍:一个14岁的男孩被转介到我们医院进行紧急手术。手术发现原发肿瘤起源于大网膜。肿瘤经宏观诊断为良性大网膜淋巴管瘤,并与大网膜整体切除。肿瘤的组织病理学检查显示为单纯性柱状上皮样间皮瘤,细胞异型性差。免疫组化检查显示囊肿上皮有抗体反应,包括抗calretinin抗体。最终病理诊断为起源于腹膜的间皮瘤。结论:在诊断为囊性淋巴畸形的儿童病例中,需要考虑腹膜间皮瘤的可能性,仔细确认或排除。
本文章由计算机程序翻译,如有差异,请以英文原文为准。

Benign Cystic Mesothelioma of the Peritoneum Arising at the Greater Omentum in a 14-Year-Old Boy.

Benign Cystic Mesothelioma of the Peritoneum Arising at the Greater Omentum in a 14-Year-Old Boy.

Benign Cystic Mesothelioma of the Peritoneum Arising at the Greater Omentum in a 14-Year-Old Boy.

Benign Cystic Mesothelioma of the Peritoneum Arising at the Greater Omentum in a 14-Year-Old Boy.

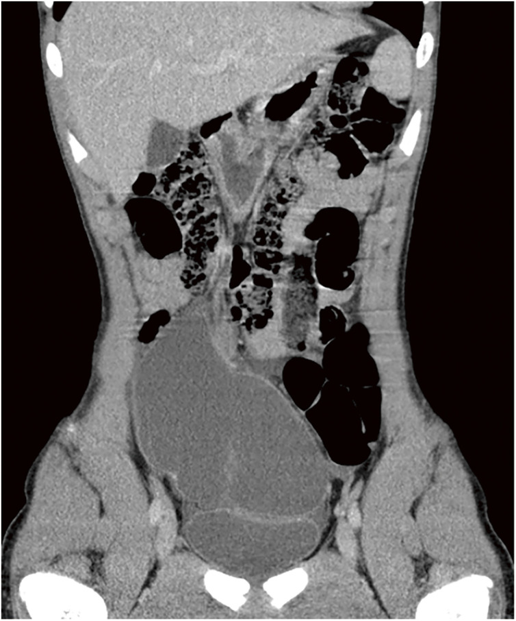
Introduction: Mesothelioma arises from mesothelial cells. This tumor is very rare among pediatric abdominal neoplasms. We herein report an extremely rare case of acute abdomen with cystic mesothelioma of the peritoneum in a child.

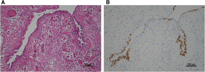
Case presentation: A 14-year-old boy was referred to our hospital for emergency surgery. Surgery revealed a primary tumor arising from the greater omentum. The tumor was macroscopically diagnosed as a benign omental lymphangioma and was resected en bloc with the greater omentum. A histopathological examination of the tumor revealed a simple columnar epithelium-like mesothelioma with poor cell-atypia. Immunohistochemical examination showed antibody reactivity in the cyst epithelium, including an anti-calretinin antibody. The final pathological diagnosis was a mesothelioma originating from the peritoneum.

Conclusions: In pediatric cases diagnosed with cystic lymphatic malformation, the possibility of peritoneal mesothelioma needs to be considered and carefully confirmed or ruled out.

求助全文
通过发布文献求助,成功后即可免费获取论文全文。 去求助
来源期刊
自引率
0.00%
发文量
218
审稿时长
13 weeks
×
引用
GB/T 7714-2015
复制
MLA
复制
APA
复制
导出至
BibTeX EndNote RefMan NoteFirst NoteExpress
×
提示
您的信息不完整,为了账户安全,请先补充。
现在去补充
×
提示
您因"违规操作"
具体请查看互助需知
我知道了
×
提示
确定
请完成安全验证×
copy
已复制链接
快去分享给好友吧!
我知道了
右上角分享
点击右上角分享
0
联系我们:info@booksci.cn Book学术提供免费学术资源搜索服务,方便国内外学者检索中英文文献。致力于提供最便捷和优质的服务体验。 Copyright © 2023 布克学术 All rights reserved.
京ICP备2023020795号-1
ghs 京公网安备 11010802042870号
Book学术文献互助
Book学术文献互助群
群 号:604180095
Book学术官方微信