以完全十二指肠梗阻为首发表现的壶腹癌1例。

IF 0.7 Q4 SURGERY
Surgical Case Reports Pub Date : 2025-01-01 Epub Date: 2025-04-16 DOI:10.70352/scrj.cr.25-0020
Yuta Kakizaki, Akefumi Sato, Yoshitaka Enomoto
{"title":"以完全十二指肠梗阻为首发表现的壶腹癌1例。","authors":"Yuta Kakizaki, Akefumi Sato, Yoshitaka Enomoto","doi":"10.70352/scrj.cr.25-0020","DOIUrl":null,"url":null,"abstract":"<p><strong>Introduction: </strong>Obstructive jaundice is often the first symptom of ampullary carcinoma, with a straightforward preoperative diagnosis. We report a rare case of ampullary carcinoma without jaundice as the initial symptom.</p><p><strong>Case presentation: </strong>A 53-year-old man was admitted with abdominal distension and recurrent vomiting. Esophagogastroduodenoscopy revealed a complete duodenal obstruction without malignant findings. Computed tomography revealed wall thickening in the second portion of the duodenum. The common bile duct and main pancreatic duct were not dilated. As there was no evidence of malignancy, we performed gastrojejunostomy as a bypass to improve the symptoms. Five months later, follow-up blood examinations showed elevated total bilirubin levels, and computed tomography revealed persistent thickening of the duodenal wall with exacerbated dilation of common bile duct and main pancreatic duct. Mucosal biopsies from the oral and anal sides of the stenosis revealed no malignancy. Due to a strong suspicion of malignant disease and difficulty in preoperative biliary drainage, we performed pancreatoduodenectomy. Pathological examination revealed mucinous adenocarcinoma with submucosal and subserosal invasion of the duodenum. We finally diagnosed this case as ampullary carcinoma.</p><p><strong>Conclusions: </strong>The possibility of malignancy should be considered even in cases of duodenal obstruction that have not been diagnosed as malignant after repeated close examination.</p>","PeriodicalId":22096,"journal":{"name":"Surgical Case Reports","volume":"11 1","pages":""},"PeriodicalIF":0.7000,"publicationDate":"2025-01-01","publicationTypes":"Journal Article","fieldsOfStudy":null,"isOpenAccess":false,"openAccessPdf":"https://www.ncbi.nlm.nih.gov/pmc/articles/PMC12014226/pdf/","citationCount":"0","resultStr":"{\"title\":\"A Rare Case of Ampullary Carcinoma with Complete Duodenal Obstruction as the Initial Manifestation.\",\"authors\":\"Yuta Kakizaki, Akefumi Sato, Yoshitaka Enomoto\",\"doi\":\"10.70352/scrj.cr.25-0020\",\"DOIUrl\":null,\"url\":null,\"abstract\":\"<p><strong>Introduction: </strong>Obstructive jaundice is often the first symptom of ampullary carcinoma, with a straightforward preoperative diagnosis. We report a rare case of ampullary carcinoma without jaundice as the initial symptom.</p><p><strong>Case presentation: </strong>A 53-year-old man was admitted with abdominal distension and recurrent vomiting. Esophagogastroduodenoscopy revealed a complete duodenal obstruction without malignant findings. Computed tomography revealed wall thickening in the second portion of the duodenum. The common bile duct and main pancreatic duct were not dilated. As there was no evidence of malignancy, we performed gastrojejunostomy as a bypass to improve the symptoms. Five months later, follow-up blood examinations showed elevated total bilirubin levels, and computed tomography revealed persistent thickening of the duodenal wall with exacerbated dilation of common bile duct and main pancreatic duct. Mucosal biopsies from the oral and anal sides of the stenosis revealed no malignancy. Due to a strong suspicion of malignant disease and difficulty in preoperative biliary drainage, we performed pancreatoduodenectomy. Pathological examination revealed mucinous adenocarcinoma with submucosal and subserosal invasion of the duodenum. We finally diagnosed this case as ampullary carcinoma.</p><p><strong>Conclusions: </strong>The possibility of malignancy should be considered even in cases of duodenal obstruction that have not been diagnosed as malignant after repeated close examination.</p>\",\"PeriodicalId\":22096,\"journal\":{\"name\":\"Surgical Case Reports\",\"volume\":\"11 1\",\"pages\":\"\"},\"PeriodicalIF\":0.7000,\"publicationDate\":\"2025-01-01\",\"publicationTypes\":\"Journal Article\",\"fieldsOfStudy\":null,\"isOpenAccess\":false,\"openAccessPdf\":\"https://www.ncbi.nlm.nih.gov/pmc/articles/PMC12014226/pdf/\",\"citationCount\":\"0\",\"resultStr\":null,\"platform\":\"Semanticscholar\",\"paperid\":null,\"PeriodicalName\":\"Surgical Case Reports\",\"FirstCategoryId\":\"1085\",\"ListUrlMain\":\"https://doi.org/10.70352/scrj.cr.25-0020\",\"RegionNum\":0,\"RegionCategory\":null,\"ArticlePicture\":[],\"TitleCN\":null,\"AbstractTextCN\":null,\"PMCID\":null,\"EPubDate\":\"2025/4/16 0:00:00\",\"PubModel\":\"Epub\",\"JCR\":\"Q4\",\"JCRName\":\"SURGERY\",\"Score\":null,\"Total\":0}","platform":"Semanticscholar","paperid":null,"PeriodicalName":"Surgical Case Reports","FirstCategoryId":"1085","ListUrlMain":"https://doi.org/10.70352/scrj.cr.25-0020","RegionNum":0,"RegionCategory":null,"ArticlePicture":[],"TitleCN":null,"AbstractTextCN":null,"PMCID":null,"EPubDate":"2025/4/16 0:00:00","PubModel":"Epub","JCR":"Q4","JCRName":"SURGERY","Score":null,"Total":0}
引用次数: 0

摘要

梗阻性黄疸常为壶腹癌的首发症状,术前诊断简单。我们报告一例罕见的壶腹癌无黄疸为首发症状。病例介绍:一名53岁男性因腹胀和反复呕吐入院。食管胃十二指肠镜检查显示完全的十二指肠梗阻,无恶性表现。计算机断层扫描显示十二指肠第二段壁增厚。胆总管和主胰管未扩张。由于没有恶性肿瘤的证据,我们进行了胃空肠吻合术作为旁路手术来改善症状。5个月后,随访血液检查显示总胆红素水平升高,计算机断层扫描显示十二指肠壁持续增厚,胆总管和主胰管扩张加剧。口侧及肛门侧的粘膜活检未发现恶性肿瘤。由于强烈怀疑恶性疾病和术前胆道引流困难,我们行胰十二指肠切除术。病理检查显示粘液腺癌伴粘膜下及浆膜下侵犯十二指肠。我们最终诊断为壶腹癌。结论:即使十二指肠梗阻经反复仔细检查仍未确诊为恶性,也应考虑其可能为恶性。
本文章由计算机程序翻译,如有差异,请以英文原文为准。

A Rare Case of Ampullary Carcinoma with Complete Duodenal Obstruction as the Initial Manifestation.

A Rare Case of Ampullary Carcinoma with Complete Duodenal Obstruction as the Initial Manifestation.

A Rare Case of Ampullary Carcinoma with Complete Duodenal Obstruction as the Initial Manifestation.

A Rare Case of Ampullary Carcinoma with Complete Duodenal Obstruction as the Initial Manifestation.

Introduction: Obstructive jaundice is often the first symptom of ampullary carcinoma, with a straightforward preoperative diagnosis. We report a rare case of ampullary carcinoma without jaundice as the initial symptom.

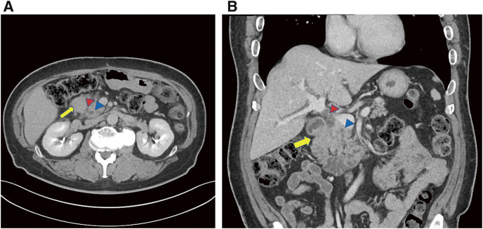
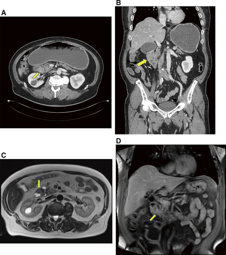
Case presentation: A 53-year-old man was admitted with abdominal distension and recurrent vomiting. Esophagogastroduodenoscopy revealed a complete duodenal obstruction without malignant findings. Computed tomography revealed wall thickening in the second portion of the duodenum. The common bile duct and main pancreatic duct were not dilated. As there was no evidence of malignancy, we performed gastrojejunostomy as a bypass to improve the symptoms. Five months later, follow-up blood examinations showed elevated total bilirubin levels, and computed tomography revealed persistent thickening of the duodenal wall with exacerbated dilation of common bile duct and main pancreatic duct. Mucosal biopsies from the oral and anal sides of the stenosis revealed no malignancy. Due to a strong suspicion of malignant disease and difficulty in preoperative biliary drainage, we performed pancreatoduodenectomy. Pathological examination revealed mucinous adenocarcinoma with submucosal and subserosal invasion of the duodenum. We finally diagnosed this case as ampullary carcinoma.

Conclusions: The possibility of malignancy should be considered even in cases of duodenal obstruction that have not been diagnosed as malignant after repeated close examination.

求助全文
通过发布文献求助,成功后即可免费获取论文全文。 去求助
来源期刊
自引率
0.00%
发文量
218
审稿时长
13 weeks
×
引用
GB/T 7714-2015
复制
MLA
复制
APA
复制
导出至
BibTeX EndNote RefMan NoteFirst NoteExpress
×
提示
您的信息不完整,为了账户安全,请先补充。
现在去补充
×
提示
您因"违规操作"
具体请查看互助需知
我知道了
×
提示
确定
请完成安全验证×
copy
已复制链接
快去分享给好友吧!
我知道了
右上角分享
点击右上角分享
0
联系我们:info@booksci.cn Book学术提供免费学术资源搜索服务,方便国内外学者检索中英文文献。致力于提供最便捷和优质的服务体验。 Copyright © 2023 布克学术 All rights reserved.
京ICP备2023020795号-1
ghs 京公网安备 11010802042870号
Book学术文献互助
Book学术文献互助群
群 号:604180095
Book学术官方微信