抗巨型片形吸虫组织蛋白酶L1H的scFv片段的构建、表达和表征。

IF 2 3区 医学 Q2 PARASITOLOGY
Phawiya Suksomboon, Komsil Rattanasroi, Supawadee Osotprasit, Supanan Chansap, Apichai Prachasuphap, Panadda Dhepakson, Pornanan Kueakhai, Narin Changklungmoa
{"title":"抗巨型片形吸虫组织蛋白酶L1H的scFv片段的构建、表达和表征。","authors":"Phawiya Suksomboon, Komsil Rattanasroi, Supawadee Osotprasit, Supanan Chansap, Apichai Prachasuphap, Panadda Dhepakson, Pornanan Kueakhai, Narin Changklungmoa","doi":"10.1007/s00436-025-08499-9","DOIUrl":null,"url":null,"abstract":"<p><p>Fasciola spp. infection is a significant zoonotic disease. Fasciola gigantica cathepsin L1H (FgCathL1H) is expressed across the life stages of Fasciola gigantica: newly excysted juvenile (NEJ), juvenile, and adult. An emerging tool for diagnosing fasciolosis in humans and cattle involves single-chain variable fragments (scFv) antibodies. These antibodies, consisting of linked variable regions of heavy chains (VHs) and light chains (VLs), retain binding specificity and affinity. This study aims to construct, express, and characterize an scFv antibody for use in a diagnostic kit for fasciolosis. The study successfully constructed and expressed recombinant scFv antibody genes derived from mouse spleen cells in Escherichia coli HB2151. Specific VH and VL fragments targeting recombinant FgCathL1H were amplified, inserted into a phagemid vector (pCANTAB5E), and transformed into E. coli TG1. Infection with the M13KO7 helper phage produced recombinant phages, and scFv clones with a high binding capacity were selected through three rounds of bio-panning. The expression of scFv proteins was induced with 1 mM IPTG, yielding antibodies detectable in the culture supernatant and periplasmic space. The indirect ELISA revealed strong binding in 10 scFv phage clones, which were sequenced and analyzed via computer-guided homology modeling and showed a similar classification to CDR1-3, consisting of VHs and VLs. The scFv DNA construct was approximately 747 bp in length. The SDS-PAGE, ELISA, and western blot confirmed the specificity of the scFv clone 1B, particularly at ~ 29 kDa. Docking studies showed epitopes on the scFv interacting with FgCathL1H. This scFv reacted specifically with F. gigantica antigens at 36 kDa (whole body (WB) of metacercaria and NEJ) and ~ 28 kDa (WB of 4-week-old juveniles and adults, and adult excretory-secretory protein (ES)). Immunolocalization showed positive staining in the cecal epithelium. Thus, scFv anti-rFgCathL1H shows promise for diagnosing fasciolosis.</p>","PeriodicalId":19968,"journal":{"name":"Parasitology Research","volume":"124 5","pages":"51"},"PeriodicalIF":2.0000,"publicationDate":"2025-05-09","publicationTypes":"Journal Article","fieldsOfStudy":null,"isOpenAccess":false,"openAccessPdf":"https://www.ncbi.nlm.nih.gov/pmc/articles/PMC12064615/pdf/","citationCount":"0","resultStr":"{\"title\":\"Construction, expression, and characterization of scFv fragment against Fasciola gigantica cathepsin L1H.\",\"authors\":\"Phawiya Suksomboon, Komsil Rattanasroi, Supawadee Osotprasit, Supanan Chansap, Apichai Prachasuphap, Panadda Dhepakson, Pornanan Kueakhai, Narin Changklungmoa\",\"doi\":\"10.1007/s00436-025-08499-9\",\"DOIUrl\":null,\"url\":null,\"abstract\":\"<p><p>Fasciola spp. infection is a significant zoonotic disease. Fasciola gigantica cathepsin L1H (FgCathL1H) is expressed across the life stages of Fasciola gigantica: newly excysted juvenile (NEJ), juvenile, and adult. An emerging tool for diagnosing fasciolosis in humans and cattle involves single-chain variable fragments (scFv) antibodies. These antibodies, consisting of linked variable regions of heavy chains (VHs) and light chains (VLs), retain binding specificity and affinity. This study aims to construct, express, and characterize an scFv antibody for use in a diagnostic kit for fasciolosis. The study successfully constructed and expressed recombinant scFv antibody genes derived from mouse spleen cells in Escherichia coli HB2151. Specific VH and VL fragments targeting recombinant FgCathL1H were amplified, inserted into a phagemid vector (pCANTAB5E), and transformed into E. coli TG1. Infection with the M13KO7 helper phage produced recombinant phages, and scFv clones with a high binding capacity were selected through three rounds of bio-panning. The expression of scFv proteins was induced with 1 mM IPTG, yielding antibodies detectable in the culture supernatant and periplasmic space. The indirect ELISA revealed strong binding in 10 scFv phage clones, which were sequenced and analyzed via computer-guided homology modeling and showed a similar classification to CDR1-3, consisting of VHs and VLs. The scFv DNA construct was approximately 747 bp in length. The SDS-PAGE, ELISA, and western blot confirmed the specificity of the scFv clone 1B, particularly at ~ 29 kDa. Docking studies showed epitopes on the scFv interacting with FgCathL1H. This scFv reacted specifically with F. gigantica antigens at 36 kDa (whole body (WB) of metacercaria and NEJ) and ~ 28 kDa (WB of 4-week-old juveniles and adults, and adult excretory-secretory protein (ES)). Immunolocalization showed positive staining in the cecal epithelium. Thus, scFv anti-rFgCathL1H shows promise for diagnosing fasciolosis.</p>\",\"PeriodicalId\":19968,\"journal\":{\"name\":\"Parasitology Research\",\"volume\":\"124 5\",\"pages\":\"51\"},\"PeriodicalIF\":2.0000,\"publicationDate\":\"2025-05-09\",\"publicationTypes\":\"Journal Article\",\"fieldsOfStudy\":null,\"isOpenAccess\":false,\"openAccessPdf\":\"https://www.ncbi.nlm.nih.gov/pmc/articles/PMC12064615/pdf/\",\"citationCount\":\"0\",\"resultStr\":null,\"platform\":\"Semanticscholar\",\"paperid\":null,\"PeriodicalName\":\"Parasitology Research\",\"FirstCategoryId\":\"3\",\"ListUrlMain\":\"https://doi.org/10.1007/s00436-025-08499-9\",\"RegionNum\":3,\"RegionCategory\":\"医学\",\"ArticlePicture\":[],\"TitleCN\":null,\"AbstractTextCN\":null,\"PMCID\":null,\"EPubDate\":\"\",\"PubModel\":\"\",\"JCR\":\"Q2\",\"JCRName\":\"PARASITOLOGY\",\"Score\":null,\"Total\":0}","platform":"Semanticscholar","paperid":null,"PeriodicalName":"Parasitology Research","FirstCategoryId":"3","ListUrlMain":"https://doi.org/10.1007/s00436-025-08499-9","RegionNum":3,"RegionCategory":"医学","ArticlePicture":[],"TitleCN":null,"AbstractTextCN":null,"PMCID":null,"EPubDate":"","PubModel":"","JCR":"Q2","JCRName":"PARASITOLOGY","Score":null,"Total":0}
引用次数: 0

摘要

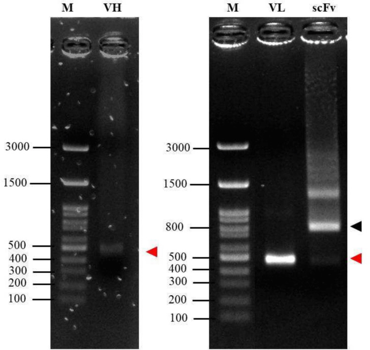
片形吸虫感染是一种重要的人畜共患疾病。巨型片形吸虫组织蛋白酶L1H (FgCathL1H)在整个巨型片形吸虫的生命阶段表达:新排出的幼年期(NEJ)、幼年期和成年期。一种用于诊断人类和牛片形吸虫病的新兴工具涉及单链可变片段(scFv)抗体。这些抗体由重链(VHs)和轻链(VLs)的连接可变区组成,保持结合特异性和亲和力。本研究旨在构建、表达和表征一种用于片形吸虫病诊断试剂盒的scFv抗体。本研究成功构建并表达了大肠杆菌HB2151中小鼠脾细胞的重组scFv抗体基因。扩增靶向重组FgCathL1H的特异性VH和VL片段,插入噬菌体载体(pCANTAB5E),转化大肠杆菌TG1。M13KO7辅助噬菌体感染产生重组噬菌体,并通过三轮生物筛选筛选出具有高结合能力的scFv克隆。用1 mM IPTG诱导scFv蛋白表达,产生抗体,在培养上清和质周间隙中检测到。间接ELISA结果显示,10个scFv噬菌体克隆具有较强的结合性,通过计算机引导的同源性建模对其进行测序和分析,显示出与CDR1-3相似的分类,由VHs和VLs组成。scFv DNA结构长度约为747 bp。SDS-PAGE, ELISA和western blot证实了scFv克隆1B的特异性,特别是在~ 29 kDa处。对接研究显示scFv上的表位与FgCathL1H相互作用。该抗体在36 kDa(囊蚴和NEJ的全身(WB))和~ 28 kDa(4周龄幼虫和成虫的全身(WB)和成虫的排泄-分泌蛋白(ES))的水平上特异反应。盲肠上皮免疫定位呈阳性染色。因此,scFv抗rfgcathl1h有望用于诊断筋膜吸虫病。
本文章由计算机程序翻译,如有差异,请以英文原文为准。

Construction, expression, and characterization of scFv fragment against Fasciola gigantica cathepsin L1H.

Construction, expression, and characterization of scFv fragment against Fasciola gigantica cathepsin L1H.

Construction, expression, and characterization of scFv fragment against Fasciola gigantica cathepsin L1H.

Construction, expression, and characterization of scFv fragment against Fasciola gigantica cathepsin L1H.

Fasciola spp. infection is a significant zoonotic disease. Fasciola gigantica cathepsin L1H (FgCathL1H) is expressed across the life stages of Fasciola gigantica: newly excysted juvenile (NEJ), juvenile, and adult. An emerging tool for diagnosing fasciolosis in humans and cattle involves single-chain variable fragments (scFv) antibodies. These antibodies, consisting of linked variable regions of heavy chains (VHs) and light chains (VLs), retain binding specificity and affinity. This study aims to construct, express, and characterize an scFv antibody for use in a diagnostic kit for fasciolosis. The study successfully constructed and expressed recombinant scFv antibody genes derived from mouse spleen cells in Escherichia coli HB2151. Specific VH and VL fragments targeting recombinant FgCathL1H were amplified, inserted into a phagemid vector (pCANTAB5E), and transformed into E. coli TG1. Infection with the M13KO7 helper phage produced recombinant phages, and scFv clones with a high binding capacity were selected through three rounds of bio-panning. The expression of scFv proteins was induced with 1 mM IPTG, yielding antibodies detectable in the culture supernatant and periplasmic space. The indirect ELISA revealed strong binding in 10 scFv phage clones, which were sequenced and analyzed via computer-guided homology modeling and showed a similar classification to CDR1-3, consisting of VHs and VLs. The scFv DNA construct was approximately 747 bp in length. The SDS-PAGE, ELISA, and western blot confirmed the specificity of the scFv clone 1B, particularly at ~ 29 kDa. Docking studies showed epitopes on the scFv interacting with FgCathL1H. This scFv reacted specifically with F. gigantica antigens at 36 kDa (whole body (WB) of metacercaria and NEJ) and ~ 28 kDa (WB of 4-week-old juveniles and adults, and adult excretory-secretory protein (ES)). Immunolocalization showed positive staining in the cecal epithelium. Thus, scFv anti-rFgCathL1H shows promise for diagnosing fasciolosis.

求助全文
通过发布文献求助,成功后即可免费获取论文全文。 去求助
来源期刊
Parasitology Research
Parasitology Research 医学-寄生虫学
CiteScore
4.10
自引率
5.00%
发文量
346
审稿时长
6 months
期刊介绍: The journal Parasitology Research covers the latest developments in parasitology across a variety of disciplines, including biology, medicine and veterinary medicine. Among many topics discussed are chemotherapy and control of parasitic disease, and the relationship of host and parasite. Other coverage includes: Protozoology, Helminthology, Entomology; Morphology (incl. Pathomorphology, Ultrastructure); Biochemistry, Physiology including Pathophysiology; Parasite-Host-Relationships including Immunology and Host Specificity; life history, ecology and epidemiology; and Diagnosis, Chemotherapy and Control of Parasitic Diseases.
×
引用
GB/T 7714-2015
复制
MLA
复制
APA
复制
导出至
BibTeX EndNote RefMan NoteFirst NoteExpress
×
提示
您的信息不完整,为了账户安全,请先补充。
现在去补充
×
提示
您因"违规操作"
具体请查看互助需知
我知道了
×
提示
确定
请完成安全验证×
copy
已复制链接
快去分享给好友吧!
我知道了
右上角分享
点击右上角分享
0
联系我们:info@booksci.cn Book学术提供免费学术资源搜索服务,方便国内外学者检索中英文文献。致力于提供最便捷和优质的服务体验。 Copyright © 2023 布克学术 All rights reserved.
京ICP备2023020795号-1
ghs 京公网安备 11010802042870号
Book学术文献互助
Book学术文献互助群
群 号:604180095
Book学术官方微信