从肝静脉延伸的大右房血栓的重复血管扩张。

IF 0.5 Q4 CARDIAC & CARDIOVASCULAR SYSTEMS
Case Reports in Cardiology Pub Date : 2025-04-22 eCollection Date: 2025-01-01 DOI:10.1155/cric/9155374
Leonard Palatnic, Tim Avino, Edward J Spangenthal, David M Zlotnick
{"title":"从肝静脉延伸的大右房血栓的重复血管扩张。","authors":"Leonard Palatnic, Tim Avino, Edward J Spangenthal, David M Zlotnick","doi":"10.1155/cric/9155374","DOIUrl":null,"url":null,"abstract":"<p><p>The AngioVac mechanical aspiration system has emerged in the literature as a viable treatment option for patients with intracardiac masses and thrombi and who are deemed high risk for cardiac surgery. Notably, it has been shown to be an effective treatment modality for the debulking of thrombi in the setting of malignancy. We present a case of repeat AngioVac debulking of a large right atrial thrombus with extension from the hepatic vein in the setting of advanced malignancy complicated by <i>Enterococcus faecium</i> endocarditis.</p>","PeriodicalId":51760,"journal":{"name":"Case Reports in Cardiology","volume":"2025 ","pages":"9155374"},"PeriodicalIF":0.5000,"publicationDate":"2025-04-22","publicationTypes":"Journal Article","fieldsOfStudy":null,"isOpenAccess":false,"openAccessPdf":"https://www.ncbi.nlm.nih.gov/pmc/articles/PMC12041637/pdf/","citationCount":"0","resultStr":"{\"title\":\"Repeat AngioVac Debulking of a Large Right Atrial Thrombus With Extension From the Hepatic Vein.\",\"authors\":\"Leonard Palatnic, Tim Avino, Edward J Spangenthal, David M Zlotnick\",\"doi\":\"10.1155/cric/9155374\",\"DOIUrl\":null,\"url\":null,\"abstract\":\"<p><p>The AngioVac mechanical aspiration system has emerged in the literature as a viable treatment option for patients with intracardiac masses and thrombi and who are deemed high risk for cardiac surgery. Notably, it has been shown to be an effective treatment modality for the debulking of thrombi in the setting of malignancy. We present a case of repeat AngioVac debulking of a large right atrial thrombus with extension from the hepatic vein in the setting of advanced malignancy complicated by <i>Enterococcus faecium</i> endocarditis.</p>\",\"PeriodicalId\":51760,\"journal\":{\"name\":\"Case Reports in Cardiology\",\"volume\":\"2025 \",\"pages\":\"9155374\"},\"PeriodicalIF\":0.5000,\"publicationDate\":\"2025-04-22\",\"publicationTypes\":\"Journal Article\",\"fieldsOfStudy\":null,\"isOpenAccess\":false,\"openAccessPdf\":\"https://www.ncbi.nlm.nih.gov/pmc/articles/PMC12041637/pdf/\",\"citationCount\":\"0\",\"resultStr\":null,\"platform\":\"Semanticscholar\",\"paperid\":null,\"PeriodicalName\":\"Case Reports in Cardiology\",\"FirstCategoryId\":\"1085\",\"ListUrlMain\":\"https://doi.org/10.1155/cric/9155374\",\"RegionNum\":0,\"RegionCategory\":null,\"ArticlePicture\":[],\"TitleCN\":null,\"AbstractTextCN\":null,\"PMCID\":null,\"EPubDate\":\"2025/1/1 0:00:00\",\"PubModel\":\"eCollection\",\"JCR\":\"Q4\",\"JCRName\":\"CARDIAC & CARDIOVASCULAR SYSTEMS\",\"Score\":null,\"Total\":0}","platform":"Semanticscholar","paperid":null,"PeriodicalName":"Case Reports in Cardiology","FirstCategoryId":"1085","ListUrlMain":"https://doi.org/10.1155/cric/9155374","RegionNum":0,"RegionCategory":null,"ArticlePicture":[],"TitleCN":null,"AbstractTextCN":null,"PMCID":null,"EPubDate":"2025/1/1 0:00:00","PubModel":"eCollection","JCR":"Q4","JCRName":"CARDIAC & CARDIOVASCULAR SYSTEMS","Score":null,"Total":0}
引用次数: 0

摘要

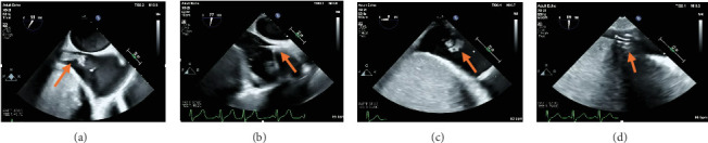
AngioVac机械抽吸系统已在文献中出现,作为一种可行的治疗选择,用于心脏手术高风险的心内肿块和血栓患者。值得注意的是,它已被证明是一种有效的治疗方式,为减少血栓在恶性肿瘤的设置。我们报告一例在晚期恶性肿瘤合并粪肠球菌心内膜炎的情况下,右心房大血栓从肝静脉延伸的重复血管血管消肿。
本文章由计算机程序翻译,如有差异,请以英文原文为准。

Repeat AngioVac Debulking of a Large Right Atrial Thrombus With Extension From the Hepatic Vein.

Repeat AngioVac Debulking of a Large Right Atrial Thrombus With Extension From the Hepatic Vein.

Repeat AngioVac Debulking of a Large Right Atrial Thrombus With Extension From the Hepatic Vein.

The AngioVac mechanical aspiration system has emerged in the literature as a viable treatment option for patients with intracardiac masses and thrombi and who are deemed high risk for cardiac surgery. Notably, it has been shown to be an effective treatment modality for the debulking of thrombi in the setting of malignancy. We present a case of repeat AngioVac debulking of a large right atrial thrombus with extension from the hepatic vein in the setting of advanced malignancy complicated by Enterococcus faecium endocarditis.

求助全文
通过发布文献求助,成功后即可免费获取论文全文。 去求助
来源期刊
Case Reports in Cardiology
Case Reports in Cardiology CARDIAC & CARDIOVASCULAR SYSTEMS-
自引率
0.00%
发文量
63
审稿时长
13 weeks
期刊介绍: Case Reports in Cardiology is a peer-reviewed, Open Access journal that publishes case reports and case series related to hypertension, arrhythmia, congestive heart failure, valvular heart disease, vascular disease, congenital heart disease and cardiomyopathy.
×
引用
GB/T 7714-2015
复制
MLA
复制
APA
复制
导出至
BibTeX EndNote RefMan NoteFirst NoteExpress
×
提示
您的信息不完整,为了账户安全,请先补充。
现在去补充
×
提示
您因"违规操作"
具体请查看互助需知
我知道了
×
提示
确定
请完成安全验证×
copy
已复制链接
快去分享给好友吧!
我知道了
右上角分享
点击右上角分享
0
联系我们:info@booksci.cn Book学术提供免费学术资源搜索服务,方便国内外学者检索中英文文献。致力于提供最便捷和优质的服务体验。 Copyright © 2023 布克学术 All rights reserved.
京ICP备2023020795号-1
ghs 京公网安备 11010802042870号
Book学术文献互助
Book学术文献互助群
群 号:604180095
Book学术官方微信